基本信息 产品详情 公司简介 推荐产品
网站主页 化工产品目录 生物 细胞培养 细胞系 人细胞系 IHH-4 IHH4人甲状腺乳头状癌细胞实验室|已有STR图谱
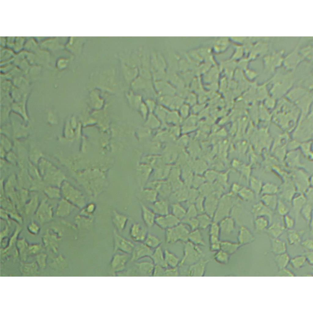
  • IHH4人甲状腺乳头状癌细胞实验室|已有STR图谱

IHH4人甲状腺乳头状癌细胞实验室|已有STR图谱

IHH4
询价 1000000细胞数 起订
2000000细胞数 起订
上海 更新日期:2026-04-05

上海冠导生物工程有限公司

VIP5年
联系人:全经理
电话:18818239863拨打
邮箱:3171921642@qq.com

产品详情:

中文名称:
IHH4人甲状腺乳头状癌细胞实验室|已有STR图谱
英文名称:
IHH4
品牌:
ATCC\RCB等
产地:
国外
保存条件:
常温培养或液氮冻存
纯度规格:
IHH4人甲状腺乳头状癌细胞实验室|已有STR图谱
产品类别:
化学试剂
种属:
详见产品资料
组织:
详见产品资料
细胞系:
详见产品资料
细胞形态:
详见产品资料
生长状态:
详见产品资料
靶点:
详见产品资料
应用:
详见产品资料

"IHH4人甲状腺乳头状癌细胞实验室|已有STR图谱

传代比例:1:2-1:4(首次传代建议1:2)

生长特性:贴壁生长

IMR 90 Cells;背景说明:W.W. Nichols及其同事从一位16周女婴的肺中取材,建立了人二倍体成纤维细胞株IMR-90。分裂潜能,病毒感受性和其它性质都得到了充分研究,因而这株细胞可以作为WI-38或其它标准人肺细胞株的替代株。有报道称这株细胞在表现出衰老前可倍增58次。;传代方法:1:2传代;生长特性:贴壁生长 ;形态特性:详见产品说明书;相关产品有:SNU-398细胞、SCLC-21H细胞、Sp2/mIL-6细胞

H1299 Cells;背景说明:这株细胞来源于一个淋巴结转移。患者接受了初期放疗。细胞均一性的部分缺失p53蛋白,并缺少p53蛋白表达。细胞可以合成0.1pmol/毫克蛋白的NMB蛋白,而不合成促胃液释放肽(GRP)。;传代方法:1:2传代;3天传代一次。;生长特性:贴壁生长;形态特性:上皮样;多角形;相关产品有:C-4-I细胞、Jurkat细胞、T8细胞

P3J Cells;背景说明:详见相关文献介绍;传代方法:每周2-3次。;生长特性:悬浮生长;形态特性:淋巴母细胞;相关产品有:SW48细胞、P3-x63-Ag8 653细胞、CHOK1细胞

细胞冻存复苏材料与方法步骤:常用的细胞冷冻贮存器为贮存器,规格有35L和50L两种。使用时要注意以下几点:(1)一般两周需充一次,至少一个月充一次。温度达-196℃,使用时注意勿让溅到皮肤上,以免引起冻伤。(2)容器为双层结构,中间为真空层,瓶口有双层焊接处,应防止焊接部裂开。(3)在装入时,要注意缓慢小心,并用厚纸卷筒或制漏斗作引导,使直达瓶底,如有专用灌注装置则更HAO。若为初次使用,加时更要缓慢,以免温度骤降而使容器损坏。细胞冻存时常备的材料有:0.25%胰蛋白酶,含10%~20%的血清培养,DMSO(分析纯)或无色新鲜甘油(121°C蒸气GAO压消毒),2mL安瓿(或专用细胞冻存管)、吸管、离心管、喷灯、纱布袋(或冻存管架)等。主要操作步骤为:(1)选择处于对数生长期的细胞,在冻存前一天ZuiHAO换。将多个培养瓶中的细胞培养 去掉,用0.25%胰蛋白酶消化。适时去掉胰蛋白酶,加入少量新培养。用吸管吸取培养反复吹打瓶壁上的细胞,使其成为均匀分散的细胞悬。悬浮生产细胞则不要消化处理。然后将细胞收集于离心管中离心(1000r/min,10分钟)。(2)去上清,加入含20%小牛血清的完全培养基,于4℃预冷15分钟后,逐滴加入已无菌的DMSO或甘油,用吸管轻轻吹打使细胞均匀,细胞浓度为3×106~1×107/mL之间。(3)将上述细胞分装于安瓿或专用冷冻塑料管中,安瓿装1~1.5mL在火焰喷灯上封口,封口处要完全封闭,圆滑无勾。冷冻管要将盖子盖紧,并标记HAO细胞名称和冻存日期,同时作HAO登记(日期、细胞种类及代次、冻存支数)。(4)将装HAO细胞的安瓿或冻存管装入沙布袋内;置于容器颈口处存放过夜,次日转入中。采用控制降温速度的方法也可采用下列步骤:先将安瓿置入4℃冰箱中2~3小时,再移至冰箱冷冻室内3~4小时,再吊入容器颈气态部分存放2小时,Zui后沉入中。细胞冻存在中可以长期保存,但为妥善起见,冻存半年后,ZuiHAO取出一只安瓿细胞复苏培养,观察生长情况,然后再继续冻存。

换液周期:每周2-3次

IHH4人甲状腺乳头状癌细胞实验室|已有STR图谱

背景信息:详见相关文献介绍

产品包装:复苏发货:T25培养瓶(一瓶)或冻存发货:1ml冻存管(两支)

【细胞培养经验分享】启蒙老师的重要性:一般进实验室都有师兄师姐带着做,他们就是你做细胞的启蒙老师。他们的操作手法、细节、理论讲解就成了你操作的准则,如营养液、细胞瓶的摆放位置、灭菌处理程序、开盖手法、细胞吹打手法等等。要学会他们的正确操作,在第一次的时候就要重视。像养孩子一样养细胞,细胞有时真的很脆弱,最好每天都去看看它,以防止出现培养箱缺水、缺二氧化碳、停电、温度不够等异常现象,也好及时解决这些意外,避免重复实验带来的更大痛苦。好细胞要及时保种:细胞要分批传代,这样即使有一批出了问题,还有一批备用的。像后者一般人可能不容易做到。但这是我血的教训,有一次细胞污染了,全军覆没。当时可后悔没有保种。细胞跟人一样,不同的细胞,培养特性是不一样的。培养过程中要细细体会,不同细胞系使用不同的培养基和血清。

来源说明:细胞主要来源ATCC、ECACC、DSMZ、RIKEN等细胞库

3C2 [Mouse hybridoma against human MX1] Cells(提供STR鉴定图谱)

HCC1008 Cells;背景说明:详见相关文献介绍;传代方法:1:2-1:3传代;每周换液2-3次。;生长特性:贴壁或悬浮,详见产品说明书部分;形态特性:详见产品说明书;相关产品有:HCC1588细胞、REC细胞、SNU-16细胞

SW982 Cells;背景说明:详见相关文献介绍;传代方法:1:2-1:3传代;每周换液2-3次。;生长特性:贴壁或悬浮,详见产品说明书部分;形态特性:详见产品说明书;相关产品有:MD Anderson-Metastatic Breast-436细胞、HEI-193细胞、HS 1.Tes细胞

NU-GC-3 Cells;背景说明:详见相关文献介绍;传代方法:1:6传代;生长特性:贴壁生长;形态特性:上皮样;相关产品有:MGC803细胞、ACCM细胞、MC 116细胞

IHH4人甲状腺乳头状癌细胞实验室|已有STR图谱

物种来源:人源、鼠源等其它物种来源

形态特性:上皮细胞样

可以这样说,对于需要消化传代的细胞,每一次的消化都是对这个细胞存活与否,状态HAO与不HAO至关重要的考验。很多同学都遇到过这个问题,自己养的细胞开始的几代长的还挺HAO的,可是穿过几代之后就发现自己的细胞不行了,状态越来越差劲了。对于这个问题,可以非常肯定地说,你的消化环节出问题了。你每一次的消化都让细胞受到较大损伤了。所以,越长越差。在消化的过程中,你加入胰酶后,所有细胞都在被胰酶消化着,但是我们忽视了一个问题就是,细胞的生长状态是不一样的,每一个细胞的贴壁情况也是不一样的,有的贴壁牢固,有的贴壁没有那么牢固的,所以,让所有的细胞消化同样的时间对细胞是不公平的,他们受到了差别待遇当然会有脾气的,大家争取做到因材施教,比如试试下面的“四步消化法”。(以难消化细胞为例),具体操作:1)首先不加胰酶,倒掉旧培养基加入少量新培养基洗1-2遍(目的是将漂浮着的死细胞之类尽量洗掉)。2)然后再加入少量新培养基直接吹打一遍,这一遍是把贴壁不牢固的细胞吹打下来。再用培养基洗一遍,两次所得悬混合传入新瓶。(你可以将这些传入新瓶培养,以与后面胰酶消化过的细胞对比观察看谁长的更HAO一点就知道该细胞对胰酶的敏感度了)3)吸干净瓶内剩余体,加入0.3ml左右的胰酶润洗一遍,吸掉弃之,再加入1ml左右的胰酶消化。消化的同时置于显微镜下观察,待细胞与细胞之间间隙明显的时候立即吸掉胰酶,加入新培养基开始吹打,吹打2-3遍后吸取悬于试管或新瓶暂存。用2ml左右新培养基洗一遍与前面的混合。(也可以传入新瓶培养,以与后面及前面的做对比)4)然后把前面刚吸出来的胰酶重新加进去瓶里继续消化剩余的贴壁牢固的细胞。当然你也可以用新的胰酶,如果你们那比较富裕的话,继续镜下观察,待剩余细胞间隙明显,细胞独立开来的时候,吸掉胰酶,加入新培养基吹打。悬传入新瓶培养(根据实际情况把握)。

MV3 Cells;背景说明:黑色素瘤;淋巴结转移;男性;传代方法:1:2-1:3传代;每周换液2-3次。;生长特性:贴壁;形态特性:详见产品说明书;相关产品有:TE7细胞、IHH-4细胞、RD-2细胞

PG-4 (S+L-) Cells;背景说明:详见相关文献介绍;传代方法:1:2-1:3传代;每周换液2-3次。;生长特性:贴壁或悬浮,详见产品说明书部分;形态特性:详见产品说明书;相关产品有:SB细胞、MCF7细胞、COC1/CDDP细胞

MeSoTheliOma-211H Cells;背景说明:MSTO-211H细胞株是1985年从一位肺二相间皮瘤患者的胸水中建株的。这个病人接受过多种药物联合前期化疗。MSTO-211H细胞具有高亲和力的EGF结合位点,并表达神经元特异性烯醇酶(NSE)及人绒毛膜促性腺激素(HCG)的α与β亚基。未检测到左旋多巴胺脱羧酶(DDC),邦巴辛与神经tensin。细胞过表达c-myc原癌基因,并没有观察到基因重排或扩增。V-src,v-abl,v-erbB,c-raf1,Ha-ras,Ki-ras,和N-ras的表达呈阳性。未检测到N-m;传代方法:消化3-5分钟。1:2。3天内可长满。;生长特性:贴壁生长;形态特性:成纤维细胞样;相关产品有:BIU-87细胞、Instituto Biologico-Rim Suino-2细胞、SU-DHL-1细胞

MEL-526 Cells;背景说明:黑色素瘤;传代方法:1:2-1:3传代;每周换液2-3次。;生长特性:贴壁;形态特性:详见产品说明书;相关产品有:Tj-905细胞、HEK 293-H细胞、WILL2细胞

KBM-5 Cells;背景说明:慢性髓白血病;女性;传代方法:1:2-1:3传代;每周换液2-3次。;生长特性:悬浮;形态特性:详见产品说明书;相关产品有:BPH-1细胞、University of Michigan-Urothelial Carcinoma-1细胞、Oregon J-111细胞

M1 Cells;背景说明:髓系白血病;SL;传代方法:1:2-1:3传代;每周换液2-3次。;生长特性:悬浮;形态特性:详见产品说明书;相关产品有:VM-CUB-1细胞、COLO-320细胞、MDA-MB-435S细胞

U87 MG Cells;背景说明:详见相关文献介绍;传代方法:1:2-1:3传代;每周换液2-3次。;生长特性:贴壁或悬浮,详见产品说明书部分;形态特性:详见产品说明书;相关产品有:F56 [Human neoplasm]细胞、Chinese Hamster Lung细胞、NCI-H929细胞

P3X63 Ag8 Cells;背景说明:详见相关文献介绍;传代方法:1:2-1:3传代;每周换液2-3次。;生长特性:贴壁或悬浮,详见产品说明书部分;形态特性:详见产品说明书;相关产品有:H-2291细胞、FCCH1024细胞、SU-DHL6细胞

H1573 Cells;背景说明:详见相关文献介绍;传代方法:1:2-1:3传代,每周2-3次。;生长特性:贴壁生长;形态特性:详见产品说明书;相关产品有:HUT 125细胞、OSK-1细胞、NK-10A细胞

SiHa Cells;背景说明:该细胞来源于一位日本病人的手术切除的肿瘤组织。电镜下可以看到细胞间典型的桥粒和细胞质中大量的张力丝。1975年发现有支原体污染,而后被去除。该细胞整合有HPV16基因组,每个细胞中有1~2个拷贝。;传代方法:1:3传代,2-3天换液一次;生长特性:贴壁生长;形态特性:上皮样;相关产品有:SW 620细胞、HCT8细胞、A.704细胞

HuO9 Cells;背景说明:详见相关文献介绍;传代方法:1:2-1:3传代;每周换液2-3次。;生长特性:贴壁或悬浮,详见产品说明书部分;形态特性:详见产品说明书;相关产品有:SW1990细胞、MDA-436细胞、BT.549细胞

COLO206 Cells;背景说明:详见相关文献介绍;传代方法:1:2-1:3传代;每周换液2-3次。;生长特性:贴壁或悬浮,详见产品说明书部分;形态特性:详见产品说明书;相关产品有:NALM-6-M1细胞、H-II-E-C3细胞、SU-DHL-16细胞

NCIH1299 Cells;背景说明:这株细胞来源于一个淋巴结转移。患者接受了初期放疗。细胞均一性的部分缺失p53蛋白,并缺少p53蛋白表达。细胞可以合成0.1pmol/毫克蛋白的NMB蛋白,而不合成促胃液释放肽(GRP)。;传代方法:1:2传代;3天传代一次。;生长特性:贴壁生长;形态特性:上皮样;多角形;相关产品有:H1650_CO细胞、JS1细胞、Swiss 3T6细胞

OCI/AML3 Cells;背景说明:急性髓系白血病;男性;传代方法:1:2-1:3传代;每周换液2-3次。;生长特性:悬浮;形态特性:详见产品说明书;相关产品有:hRMECs细胞、Fetal Bovine Heart Endothelial细胞、PC.3细胞

SW-962 Cells;背景说明:详见相关文献介绍;传代方法:1:3-1:6传代,2-3天换液1次。;生长特性:贴壁生长;形态特性:混合;相关产品有:H2126细胞、Jiyoye (P-2003)细胞、CFPAC1细胞

MN-9D Cells;背景说明:多巴胺能神经元 Cells;传代方法:1:2-1:3传代;每周换液2-3次。;生长特性:贴壁;形态特性:详见产品说明书;相关产品有:Mono Mac6细胞、BT549细胞、H-2405细胞

Neuro-2a Cells;背景说明:详见相关文献介绍;传代方法:1:2-1:4传代;2-3天换液1次;生长特性:贴壁生长;形态特性:详见产品说明书;相关产品有:HBSMC细胞、IOSE80细胞、Madin Darby Bovine Kidney细胞

IHH4人甲状腺乳头状癌细胞实验室|已有STR图谱

Abcam HCT 116 PRKAA1 KO Cells(提供STR鉴定图谱)

AG08125 Cells(提供STR鉴定图谱)

BayGenomics ES cell line Ex312 Cells(提供STR鉴定图谱)

BayGenomics ES cell line XA449 Cells(提供STR鉴定图谱)

BMD-iPS4 Cells(提供STR鉴定图谱)

CMGANTi008-A Cells(提供STR鉴定图谱)

DA03595 Cells(提供STR鉴定图谱)

DCH036 Cells(提供STR鉴定图谱)

GM01602 Cells(提供STR鉴定图谱)

SBC5 Cells;背景说明:详见相关文献介绍;传代方法:每周换液2-3次。;生长特性:贴壁或悬浮,详见产品说明书部分;形态特性:详见产品说明书;相关产品有:NCI-SNU-C2A细胞、KLE细胞、RD细胞

HS-294T Cells;背景说明:详见相关文献介绍;传代方法:1:2-1:4传代,2-3天换液1次。;生长特性:贴壁生长;形态特性:混合星状和多边形;相关产品有:HF-91细胞、Hep 2细胞、LIXC002细胞

MOLT16 Cells;背景说明:详见相关文献介绍;传代方法:1:2-1:3传代;每周换液2-3次。;生长特性:贴壁或悬浮,详见产品说明书部分;形态特性:详见产品说明书;相关产品有:J774A1细胞、NCIH292细胞、NeHepLxHT细胞

HAVSMC Cells;背景说明:详见相关文献介绍;传代方法:1:2-1:3传代;每周换液2-3次。;生长特性:贴壁或悬浮,详见产品说明书部分;形态特性:详见产品说明书;相关产品有:HCC95细胞、P3/NS1/1-Ag4-1细胞、Colon-38细胞

BIC1 Cells;背景说明:食管腺癌;男性;传代方法:1:2-1:3传代;每周换液2-3次。;生长特性:贴壁;形态特性:详见产品说明书;相关产品有:NCI-H1048细胞、TR 146细胞、AHH-1细胞

TALL 1 Cells;背景说明:该细胞源于一名复发T-ALL(急性T淋巴细胞性白血病)的儿童的外周血;具有很强的细胞毒性,体内体外实验中都能破坏肿瘤细胞;IL-2可使细胞更好地生长;α/β TCR阳性,γ/δ TCR阴性;可产生IFNγ、TNF-α和GM-CSF。;传代方法:维持细胞密度在4×105-1×106 cells/ml之间,2-3天换液1次 ;生长特性:悬浮生长;形态特性:淋巴母细胞;相关产品有:Michigan Cancer Foundation-12F细胞、SW837细胞、MPC-5细胞

COLO-1 Cells;背景说明:角质形成层;传代方法:1:2-1:3传代;每周换液2-3次。;生长特性:贴壁;形态特性:详见产品说明书;相关产品有:Hs 766T细胞、OACP4 C细胞、Hs-675-T细胞

Acanthosis Nigricans 3rd attempt-CArcinoma Cells;背景说明:AN3CA细胞建系于1964年。它衍生于子宫内膜癌患者淋巴结转移组织,具有癌细胞的基本特性,能在体外长期传代培养,接种实验动物产生明显肿瘤。但细胞的生物学特性及超微结构尚未深入研究,仅发现该细胞系促黑激素合成为阴性。细胞常用于人子宫内膜癌细胞生物学及其相关特性研究。;传代方法:1:2传代;生长特性:贴壁生长;形态特性:上皮样;相关产品有:U251细胞、SNU1040细胞、MLFC细胞

MLE 12 Cells;背景说明:肺;上皮细胞;SV40转化;FVB/N;传代方法:1:2-1:3传代;每周换液2-3次。;生长特性:贴壁;形态特性:详见产品说明书;相关产品有:MLA144细胞、MDA MB 453细胞、GM03569细胞

NRK Cells;背景说明:肾;自发永生;Osborne-Mendel;传代方法:1:2-1:3传代;每周换液2-3次。;生长特性:贴壁;形态特性:详见产品说明书;相关产品有:DC2.4细胞、Sp2/O-Ag14细胞、NCTC-3960细胞

Wistar Institute-38 Cells;背景说明:LeonardHayflick建系;有限传代细胞系;寿命为50±10代(倍增时间24h);来自妊娠3个月的正常胚胎肺组织。该细胞系是第一个用于人制备的人二倍体细胞;培养基中添加TNFα可以加快细胞生长。;传代方法:1:2-1:4传代;2-3天换液1次;生长特性:贴壁生长;形态特性:成纤维细胞样;相关产品有:PK(15)细胞、WM115细胞、PC 61-5-3细胞

NCI-H740 Cells;背景说明:详见相关文献介绍;传代方法:1:2-1:3传代;每周换液2-3次。;生长特性:贴壁或悬浮,详见产品说明书部分;形态特性:详见产品说明书;相关产品有:LA-N-6细胞、AM细胞、Panc_08_13细胞

PA-1 Cells;背景说明:详见相关文献介绍;传代方法:1:4-1:10传代;每周2-3次。 ;生长特性:贴壁生长;形态特性:上皮细胞;相关产品有:Becker细胞、NUGC-2细胞、NCIH1819细胞

NTERA-2 cl.D1 Cells;背景说明:详见相关文献介绍;传代方法:1:2-1:3传代;每周换液2-3次。;生长特性:贴壁或悬浮,详见产品说明书部分;形态特性:详见产品说明书;相关产品有:GM02219细胞、HMC3细胞、B16/F1细胞

Mv 1 Lu (NBL-7) Cells;背景说明:详见相关文献介绍;传代方法:1:2-1:3传代;每周换液2-3次。;生长特性:贴壁或悬浮,详见产品说明书部分;形态特性:详见产品说明书;相关产品有:BCaP 37细胞、H-1944细胞、NCI-UMC-11细胞

GM09551 Cells(提供STR鉴定图谱)

HAP1 ATN1 (-) 1 Cells(提供STR鉴定图谱)

THEECs Cells;背景说明:食管;上皮细胞;女性;传代方法:1:2-1:3传代;每周换液2-3次。;生长特性:贴壁;形态特性:详见产品说明书;相关产品有:SK-N-BE2细胞、NTC200细胞、L-5178-Y-R细胞

CRFK Cells;背景说明:肾;自发永生;女性;传代方法:1:2-1:3传代;每周换液2-3次。;生长特性:贴壁;形态特性:详见产品说明书;相关产品有:TCC-PAN2细胞、JVM3细胞、NCI.H522细胞

NCIH841 Cells;背景说明:详见相关文献介绍;传代方法:1:3—1:5传代,;生长特性:混合型生长;形态特性:详见产品说明书;相关产品有:C33-A细胞、HARAB细胞、NCI-SNU-761细胞

3LL Cells;背景说明:详见相关文献介绍;传代方法:1:2传代;生长特性:贴壁生长;形态特性:详见产品说明书;相关产品有:HT-22细胞、PA-TU S细胞、SH-SY5Y Parental细胞

F56 [Human neoplasm] Cells;背景说明:F56是一株人的腺癌细胞系,可用于腺癌发生机制的研究,也可用于抗癌药物的筛选。;传代方法:1:2传代;生长特性:贴壁生长;形态特性:上皮细胞样;相关产品有:CL-11细胞、PANC-02-03细胞、TE-85 clone 5细胞

LNCaP-FGC Cells;背景说明:人前列腺癌细胞LNCaP克隆FGC是从一位50岁白人男性(血型B+)的左锁骨淋巴结针刺活检中分离,该患者经确诊为前列腺癌转移。 这株细胞对5-α-二睾酮(生长调节子和酸性脂酶产物)有响应。这株细胞并不形成一致的单层,而是形成集落,在传代时可以用滴管反复吹吸打碎。它们仅仅轻轻地吸附在基底上,不形成汇合,很快使培养基变酸。生长很慢。传代后48小时内不应扰动。当培养瓶封包后,多数细胞从培养瓶底分离,悬浮在培养基中。收到后,在通常培养单层细胞的条件下培养24到48小时,以合细胞再贴壁。;传代方法:消化3-5分钟。1:2。3天内可长满。;生长特性:贴壁生长;形态特性:上皮细胞;相关产品有:CORL26细胞、NCI-H250细胞、RA 1细胞

SW-900 Cells;背景说明:详见相关文献介绍;传代方法:1:2-1:3传代;每周换液2-3次。;生长特性:贴壁或悬浮,详见产品说明书部分;形态特性:详见产品说明书;相关产品有:HD11细胞、Hs68细胞、AMO1细胞

B16 melanoma F10 Cells;背景说明:B16-F10是B16-F0的亚系。;传代方法:消化3-5分钟。1:2。3天内可长满。;生长特性:贴壁生长;形态特性:详见产品说明书;相关产品有:NCIH69细胞、OKT3细胞、EFO-27细胞

HG03007 Cells(提供STR鉴定图谱)

iBMK BLNB-A4 Cells(提供STR鉴定图谱)

Lis51_FXS9N Cells(提供STR鉴定图谱)

NCE-G 55 Cells(提供STR鉴定图谱)

PathHunter CHO-K1 GPR120L beta-arrestin Cells(提供STR鉴定图谱)

Ubigene HEK293 SLC8A1 KO Cells(提供STR鉴定图谱)

WILTU-1 Cells(提供STR鉴定图谱)

HG02733 Cells(提供STR鉴定图谱)

TE6 Cells;背景说明:详见相关文献介绍;传代方法:消化3-5分钟。1:2。3天内可长满。;生长特性:贴壁生长;形态特性:上皮样;相关产品有:MEF细胞、Hs 274.T细胞、DLM8细胞

SO-Rb 50 Cells;背景说明:视网膜母细胞瘤;女性;传代方法:1:2-1:3传代;每周换液2-3次。;生长特性:悬浮;形态特性:详见产品说明书;相关产品有:293/EBNA细胞、H-1385细胞、RASMC细胞

KMS11 Cells;背景说明:多发性骨髓瘤;传代方法:1:2-1:3传代;每周换液2-3次。;生长特性:悬浮;形态特性:详见产品说明书;相关产品有:B 95-8细胞、HCA-7细胞、RBMEC细胞

FRO Cells;背景说明:未分化甲状腺癌;男性;传代方法:1:2-1:3传代;每周换液2-3次。;生长特性:贴壁;形态特性:详见产品说明书;相关产品有:NCI-H441-4细胞、hUC-MSC细胞、H716细胞

MES-SA Dx5 Cells;背景说明:详见相关文献介绍;传代方法:1:2-1:8传代;每周2-3次。;生长特性:贴壁生长;形态特性:成纤维细胞样 ;相关产品有:Hs294细胞、HSC6细胞、C-33 A细胞

MES-SA Dx5 Cells;背景说明:详见相关文献介绍;传代方法:1:2-1:8传代;每周2-3次。;生长特性:贴壁生长;形态特性:成纤维细胞样 ;相关产品有:Hs294细胞、HSC6细胞、C-33 A细胞

Radiation Effects Research Foundation-Lung Cancer-MS Cells;背景说明:详见相关文献介绍;传代方法:每周换液2次。;生长特性:贴壁生长;形态特性:上皮细胞样;相关产品有:OCLY8细胞、HCC-15细胞、HPAF细胞

RPMI8226 Cells;背景说明:来源于一位61岁的男性浆细胞瘤患者;可产生免疫球蛋白轻链,未检测到重链。;传代方法:按1:2传代,5-6小时可以看到细胞分裂;生长特性:悬浮生长;形态特性:淋巴母细胞样;相关产品有:TERT-RPE1细胞、PLA801-95C细胞、LIPF178C细胞

BAEC Cells;背景说明:主动脉;内皮 Cells;传代方法:1:2-1:3传代;每周换液2-3次。;生长特性:贴壁;形态特性:详见产品说明书;相关产品有:C28/I2细胞、H295细胞、LK2细胞

NCI-H441 Cells;背景说明:NCI-H441建系于1982年(A.F.Gazdar,etal.)。该细胞分离自一名肺腺癌患者的心包液。该细胞能在半固体琼脂糖中形成克隆,并能表达肺泡表面活性蛋白A。该细胞在有血清培养基中倍增时间为58小时,在无血清培养基中倍增时间为99-138小时。;传代方法:1:3传代,2-3天传一代;生长特性:贴壁生长;形态特性:上皮细胞样;相关产品有:HCC-366细胞、MN 60细胞、DITNC1细胞

MES-SA/Dx-5 Cells;背景说明:详见相关文献介绍;传代方法:1:2-1:8传代;每周2-3次。;生长特性:贴壁生长;形态特性:成纤维细胞样 ;相关产品有:RS1细胞、HEK 293T/17细胞、HSCT6细胞

MES-SA-Dx5 Cells;背景说明:详见相关文献介绍;传代方法:1:2-1:8传代;每周2-3次。;生长特性:贴壁生长;形态特性:成纤维细胞样 ;相关产品有:CAL-39细胞、3T3细胞、38C13细胞

MOVAS Cells;背景说明:主动脉平滑肌;SV40转化;C57BL/6;传代方法:1:2-1:3传代;每周换液2-3次。;生长特性:贴壁;形态特性:详见产品说明书;相关产品有:SUM159PT细胞、KHYG细胞、M-O7e细胞

FRTL-5 Cl 2 Cells;背景说明:甲状腺;自发永生;Fischer;传代方法:1:2-1:3传代;每周换液2-3次。;生长特性:贴壁;形态特性:详见产品说明书;相关产品有:P3X63Ag8.653细胞、HUCEC细胞、MCF-7/AdrR细胞

CCFSTTG1 Cells;背景说明:详见相关文献介绍;传代方法:1:3—1:6传代;每周换液2-3次;生长特性:贴壁生长;形态特性:星形胶质细胞;相关产品有:CORL105细胞、HSAEC1-KT细胞、HCC2279细胞

S2-Mt-GFP-Act5C Cells(提供STR鉴定图谱)

AU-565 Cells;背景说明:详见相关文献介绍;传代方法:1:4—1:6传代;每3-5天换一次液。;生长特性:贴壁生长;形态特性:上皮细胞;相关产品有:LCLC-103H细胞、Clone 166细胞、Panc04.03细胞

IHH4人甲状腺乳头状癌细胞实验室|已有STR图谱

MFE-280 Cells;背景说明:详见相关文献介绍;传代方法:1:2传代;生长特性:贴壁生长;形态特性:详见产品说明书;相关产品有:HSAS3细胞、JB6Cl30细胞、L- cell细胞

Kit225-K6 Cells;背景说明:详见相关文献介绍;传代方法:1:2-1:3传代;每周换液2-3次。;生长特性:贴壁或悬浮,详见产品说明书部分;形态特性:详见产品说明书;相关产品有:NCI-H358细胞、Okayama University Medical School-27细胞、HeLa.S3细胞

KOSC-2 cl3-43 Cells;背景说明:详见相关文献介绍;传代方法:2.2 x 10^4 cells/ml ;生长特性:贴壁生长;形态特性:上皮样;相关产品有:Calu6细胞、MDCC-MSB1细胞、MD Anderson-Metastatic Breast-175-VIII细胞

TM4 Cells;背景说明:该细胞在FSH的作用下cAMP产量增加,但对LH无反应;与原代Sertoli细胞相比,该细胞对FSH的反应性降低。据报道,该细胞组成性纤溶酶原激活物的产量很低,但可被FSH刺激产生,受维刺激可有大幅增高。该细胞可产生视黄醇结合蛋白、组织纤溶酶原激活物和转铁蛋白;表达FSH受体、雄激素受体和孕激素受体。鼠痘病毒阴性。;传代方法:1:3-1:6传代;每周2-3次。;生长特性:贴壁生长;形态特性:上皮样;相关产品有:UC-3细胞、CWR22R-V1细胞、TE-11细胞

NCIH1437 Cells;背景说明:详见相关文献介绍;传代方法:1:2-1:6传代,每周换液2次。;生长特性:贴壁生长;形态特性:上皮样;相关产品有:H1385细胞、Madison lung细胞、PL11细胞

FHL 124 Cells;背景说明:晶状体上皮;自发永生;传代方法:1:2-1:3传代;每周换液2-3次。;生长特性:贴壁;形态特性:详见产品说明书;相关产品有:38C13细胞、L-M[TK-]细胞、FRO 81-2细胞

H441 Cells;背景说明:NCI-H441建系于1982年(A.F.Gazdar,etal.)。该细胞分离自一名肺腺癌患者的心包液。该细胞能在半固体琼脂糖中形成克隆,并能表达肺泡表面活性蛋白A。该细胞在有血清培养基中倍增时间为58小时,在无血清培养基中倍增时间为99-138小时。;传代方法:1:3传代,2-3天传一代;生长特性:贴壁生长;形态特性:上皮细胞样;相关产品有:HHL5细胞、H748细胞、MNNG/HOS Clone F-5细胞

IMR 90 Cells;背景说明:W.W. Nichols及其同事从一位16周女婴的肺中取材,建立了人二倍体成纤维细胞株IMR-90。分裂潜能,病毒感受性和其它性质都得到了充分研究,因而这株细胞可以作为WI-38或其它标准人肺细胞株的替代株。有报道称这株细胞在表现出衰老前可倍增58次。;传代方法:1:2传代;生长特性:贴壁生长 ;形态特性:详见产品说明书;相关产品有:SNU-398细胞、SCLC-21H细胞、Sp2/mIL-6细胞

CX1 Cells;背景说明:详见相关文献介绍;传代方法:1:2-1:3传代;每周换液2-3次。;生长特性:贴壁或悬浮,详见产品说明书部分;形态特性:详见产品说明书;相关产品有:RH7777细胞、SW 954细胞、Jurkat, Clone E6-1细胞

M059K Cells;背景说明:详见相关文献介绍;传代方法:1:6-1:8传代;每周换液2-3次。;生长特性:贴壁生长;形态特性:成纤维细胞;相关产品有:NMCG1细胞、COLO 320 HSR细胞、HPB-ALL细胞

E.G7-OVA Cells;背景说明:详见相关文献介绍;传代方法:细胞密度保持在1×105—1×106 cells/ml,每周换液2—3次 ;生长特性:悬浮生长;形态特性:详见产品说明书;相关产品有:EOC20细胞、D-341Med细胞、Fetal Human Lens-124细胞

L1210 Cells;背景说明:该细胞源于用0.2%甲基胆蒽(溶解)涂抹雌性小鼠的皮肤诱发的肿瘤,鼠痘病毒阴性。;传代方法:1:2传代;生长特性:悬浮生长;形态特性:淋巴母细胞样;相关产品有:293/EBNA-1细胞、PNEC30细胞、U138细胞

CII Cells;背景说明:慢性淋巴细胞白血病;女性;传代方法:1:2-1:3传代;每周换液2-3次。;生长特性:悬浮;形态特性:详见产品说明书;相关产品有:J774 A.1细胞、MLO-Y4细胞、NCIH1299细胞

BayGenomics ES cell line RRI077 Cells(提供STR鉴定图谱)

BayGenomics ES cell line XH537 Cells(提供STR鉴定图谱)

ESC-BLC 1 T1 Cells(提供STR鉴定图谱)

NC10.10 Cells(提供STR鉴定图谱)

ULK1+ULK2 DKO MEF (SV40) Cells(提供STR鉴定图谱)

MC3T3-G2/PA6 Cells(提供STR鉴定图谱)

"



IHH4人甲状腺乳头状癌细胞实验室|已有;传代细胞;复苏细胞;实验细胞;科研细胞;

公司简介

上海冠导生物工程有限公司,先后从ATCC、DSMZ、ECACC、RIKEN、PromoCell、ScienCell、JCRB等国内外细胞库引进细胞2000余株。以此为契机,公司组建了冠导细胞库,我司细胞均由资深细胞培养工程师进行培养。我司可以提供的细胞有:①细胞系②原代细胞③稳转株④耐药株⑤标记细胞⑥细胞配套试剂等。

成立日期 (11年)
注册资本 100万(元)
员工人数 50-100人
年营业额 ¥ 1000万-5000万
经营模式 工厂,试剂,定制,服务
主营行业 细胞培养,微生物学,细胞生物学

IHH4人甲状腺乳头状癌细胞实验室|已有STR图谱相关厂家报价 更多

  • IHH-4细胞
  • IHH-4细胞
  • 吉奥蓝图(广东)生命科学技术中心 VIP
  • 2026-04-03
  • ¥10000
内容声明
拨打电话 立即询价