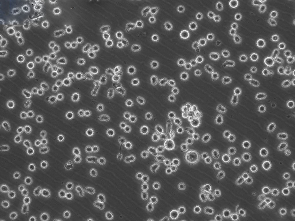
"RS4:11人急性淋巴白血病细胞实验室|已有STR图谱
传代比例:1:2-1:4(首次传代建议1:2)
生长特性:悬浮生长
MTC-TT Cells;背景说明:TT细胞由LeongSS等,自一位77岁白人女性甲状腺髓样癌患者的穿刺活检样本中建立。TT细胞持续产生高水平的降血素和CEA。更换培养基后24h和72h,在培养基中检测到的免疫活性的降血素浓度分别为3900pg/106个细胞和7700pg/106个细胞。72小时后CEA积累浓度超过27ng/106个细胞;该细胞最初是在RPMI1640培养液中培养,可产生神经肽,但还不知道在F12培养液中培养是否会产生。;传代方法:1:3-1:4传代,每周换液2次。;生长特性:贴壁生长;形态特性:上皮样;相关产品有:UMC11细胞、MeWo细胞、HBVSMC细胞
LX-2 Cells;背景说明:详见相关文献介绍;传代方法:1:3传代,2-3天换液一次;生长特性:贴壁生长;形态特性:详见产品说明书;相关产品有:MDA-MB-435S细胞、OVCA433_Bast细胞、GM04678细胞
HM Cells;背景说明:小神经胶质 Cells;传代方法:1:2-1:3传代;每周换液2-3次。;生长特性:贴壁;形态特性:详见产品说明书;相关产品有:HCC1143细胞、P388D1细胞、SK-Mel 1细胞
细胞复苏后贴壁细胞较少的问题分析:总结1:复苏过程没有问题,是否是从拿出直接放入温水,还有培养箱,二氧化碳浓度,培养基、PH值等环节。要么加GAO浓度FBS 15-20%,看看能否帮助贴壁,当然也需要考虑血清问题,还有确信拿来的细胞没问题。总结2:首先应该怀疑冻存,实际上复苏出问题的可能非常小,因为操作简单,而且死板。1、你冻存的时候是不是消化的时间过长,这是一般人所注意不到的,即使书上也不讲这个问题,太长的消化时间会让细胞复苏时失去贴壁能力,表现为先贴后死,原因是在你复苏的时候细胞已进入凋亡程序,不可逆转的死亡。2、你的冻存HAO不HAO,是什么,甘油还是DMSO,质量非常重要,否则也会死亡。3、你的冻存的量加的是不是太多,AC推荐是不超过7%,大于5%,太多也不HAO。4、你在冻存的时候是不是把DMSO混均匀,这个有一些影响,但不算太大。5、你的冻存是否按部就班,就是所温度梯度是不是把握严格,很多人容易忘却这个事情,因为这个东西流程长。6、如果你细胞污染,你是否能很快看到,我比我的导师能早一天看到污染。从这个角度讲建议去除离心这步。7、你的细胞在冻存前是否过密。还有,不赞成孵箱污染这个概念的,所有在一个孵箱里的细胞都污染一个细菌的话,这个细菌是源于孵箱的,但这不代表孵箱污染,因为孵箱无论你如何处理都有大量的细菌,问题在操作。每次污染的原因都要尽可能的找,以后就不犯同样的问题,这个很重要,不能靠猜,否则你就有可能细胞养绝Zui后换课题,这个见得太多了,别不当会事。
换液周期:每周2-3次
RS4:11人急性淋巴白血病细胞实验室|已有STR图谱
背景信息:是从一名患有急性淋巴细胞白血病的32岁白人女性患者的骨髓中分离出来的淋巴母细胞。
产品包装:复苏发货:T25培养瓶(一瓶)或冻存发货:1ml冻存管(两支)
【细胞培养经验分享】启蒙老师的重要性:一般进实验室都有师兄师姐带着做,他们就是你做细胞的启蒙老师。他们的操作手法、细节、理论讲解就成了你操作的准则,如营养液、细胞瓶的摆放位置、灭菌处理程序、开盖手法、细胞吹打手法等等。要学会他们的正确操作,在第一次的时候就要重视。像养孩子一样养细胞,细胞有时真的很脆弱,最好每天都去看看它,以防止出现培养箱缺水、缺二氧化碳、停电、温度不够等异常现象,也好及时解决这些意外,避免重复实验带来的更大痛苦。好细胞要及时保种:细胞要分批传代,这样即使有一批出了问题,还有一批备用的。像后者一般人可能不容易做到。但这是我血的教训,有一次细胞污染了,全军覆没。当时可后悔没有保种。细胞跟人一样,不同的细胞,培养特性是不一样的。培养过程中要细细体会,不同细胞系使用不同的培养基和血清。
来源说明:细胞主要来源ATCC、ECACC、DSMZ、RIKEN等细胞库
15H6 Cells(提供STR鉴定图谱)
H676B Cells;背景说明:详见相关文献介绍;传代方法:1:2-1:3传代;每周换液2-3次。;生长特性:贴壁或悬浮,详见产品说明书部分;形态特性:详见产品说明书;相关产品有:CEM T4细胞、AN3细胞、ROS1728细胞
MH-22a Cells;背景说明:肝癌;C3HA;传代方法:1:2-1:3传代;每周换液2-3次。;生长特性:贴壁;形态特性:详见产品说明书;相关产品有:High-5细胞、NCI-H2286细胞、P3-NS1/1Ag 4.1细胞
GTL16 Cells;背景说明:胃癌;肝转移;女性;传代方法:1:2-1:3传代;每周换液2-3次。;生长特性:贴壁;形态特性:详见产品说明书;相关产品有:NCI-H1184细胞、H-1341细胞、MBVP细胞
RS4:11人急性淋巴白血病细胞实验室|已有STR图谱
物种来源:人源、鼠源等其它物种来源
形态特性:淋巴母细胞样
有一些细胞是数量多一点比较HAO生长,生长状态也比较HAO。这种一般是属于生长速度慢的细胞。譬如内皮细胞。而有一些是细胞是数量少一点细胞状态会生长的比较HAO,譬如巨噬细胞和某些肿瘤细胞。尤其是巨噬细胞,生长速度非常得快,贴壁速度很快,所以传代时就应该留很少量的细胞,这样细胞状态会比较HAO。并且巨噬细胞比较喜欢扎堆生长,而堆与堆之间是有空间的。如果长成相连在一起的一满片的时候,细胞形态基本上就会差了,老化的会比较多,对后期实验结果是不HAO的。所以在养细胞的时候应该摸索该细胞喜欢的生长空间密度问题。这个其实是有一个方法可以改善的。对于贴壁细胞,如果细胞形态不HAO,(或者细胞形态不清晰,表面似有异物等)可以在传代的时候进行如下操作:首先,倒掉旧的培养基,加入3ml新的培养基(有无血清的都可)洗涤一次,用滴管吸走,然后再加入3ml的培养基,进行预吹打,控制吹打力度,轻轻地大概沿着瓶底过一遍,然后吸走。这时侯再开始正式的消化、吹打。(巨噬细胞建议只吹打,不消化)其次,把吹打下来的细胞悬加入到新的培养瓶内,培养瓶事先加入培养基,放入培养箱内培养,按时间点观察细胞贴壁情况。10分钟观察一次,20分钟,30分钟观察一次。选择一个时间点,已经有部分细胞贴壁的情况下,重新置于洁净台,底面朝上迅速倒出其中的培养基,加入3ml新培养基再轻轻洗一次。然后加入完全培养基培养。后续观察细胞生长情况以及形态。通常称之为“二传”。如果一次效果还不理想,可重复多次。直到找到细胞上乘形态。其中要注意,结合细胞喜欢的生长情况。喜欢多一点数量长得HAO的细胞你就等贴壁细胞比较多点的时候再传。反之亦然。
NCI-H220 Cells;背景说明:详见相关文献介绍;传代方法:1:2-1:3传代;每周换液2-3次。;生长特性:贴壁或悬浮,详见产品说明书部分;形态特性:详见产品说明书;相关产品有:HEC-1A细胞、WM 239细胞、MUTZ1细胞
A375-MEL Cells;背景说明:A375源自一位54岁女性,是Giard DJ等人建立的一系列细胞株中的一株。该细胞可在免疫抑制小鼠上成瘤,在琼脂上形成克隆。;传代方法:1:2-1:3传代;每周换液2-3次。;生长特性:贴壁;形态特性:上皮细胞样;相关产品有:Hs 746.T细胞、SKLU-1细胞、Porcine Kidney-15细胞
NB19 Cells;背景说明:神经母细胞瘤;女性;传代方法:1:2-1:3传代;每周换液2-3次。;生长特性:贴壁;形态特性:详见产品说明书;相关产品有:IHC-ST1细胞、U-251 MG细胞、NCI-H1869细胞
Mino Cells;背景说明:详见相关文献介绍;传代方法:1:2传代;生长特性:悬浮生长 ;形态特性:淋巴母细胞样;相关产品有:EoL-1-cell细胞、LM6细胞、RPMI.8226细胞
AR42J Cells;背景说明:在肾上腺皮质激素刺激下可诱导出外分泌活性,并伴有广泛的内质网重构。;传代方法:消化3-5分钟。1:2。3天内可长满。;生长特性:贴壁生长;形态特性:上皮样;相关产品有:COR-L88细胞、TI-73细胞、HeLa S 3细胞
143B TK- Cells;背景说明:详见相关文献介绍;传代方法:1:2—1:5传代;每周换液2-3次;生长特性:贴壁生长;形态特性:混合型;相关产品有:GM03571细胞、MH-22a细胞、SK RC 52细胞
Wills Eye Research Institute-Retinoblastoma-1 Cells;背景说明:WERI-Rb-I细胞株是1974年R.M. McFall 和 T.W. Sery建立的两株人眼癌细胞系中的一株。 细胞能在Difco Bacto-Agar中存活但不形成克隆。 扫描电镜显示在表面囊泡,板状伪足和微绒毛在数量上和频率上的改变。 细胞分化研究,肿瘤治疗的动物模型和生化评价都涉及这株细胞。;传代方法:消化3-5分钟。1:2。3天内可长满。;生长特性:贴壁生长;形态特性:圆形细胞聚集成葡萄状;相关产品有:18G3.cl 1细胞、NCIH226细胞、Pa16C细胞
MD Anderson-Metastatic Breast-436 Cells;背景说明:该细胞源于一名43岁患有乳腺腺癌女性的胸腔积液。;传代方法:1:2传代,每周换液2—3次;生长特性:贴壁生长;形态特性:多角形;相关产品有:GLRK 13细胞、EJ1细胞、HTR-8/SVneo细胞
IALM Cells;背景说明:详见相关文献介绍;传代方法:1:2-1:3传代;每周换液2-3次。;生长特性:贴壁或悬浮,详见产品说明书部分;形态特性:详见产品说明书;相关产品有:DMS273细胞、COS7细胞、C28/I2细胞
U20S Cells;背景说明:骨肉瘤;女性;传代方法:1:2-1:3传代;每周换液2-3次。;生长特性:贴壁;形态特性:详见产品说明书;相关产品有:GP-293细胞、HNE-1细胞、GA-10(Clone 4)细胞
MLE 12 Cells;背景说明:肺;上皮细胞;SV40转化;FVB/N;传代方法:1:2-1:3传代;每周换液2-3次。;生长特性:贴壁;形态特性:详见产品说明书;相关产品有:MLA144细胞、MDA MB 453细胞、GM03569细胞
Hs-578-T Cells;背景说明:详见相关文献介绍;传代方法:1:2-1:3传代;每周换液2-3次。;生长特性:贴壁或悬浮,详见产品说明书部分;形态特性:详见产品说明书;相关产品有:H2196细胞、OKa-C-1细胞、H-2228细胞
CATH-a Cells;背景说明:神经;SV40转化;C57BL/6 x DBA/2;传代方法:1:2-1:3传代;每周换液2-3次。;生长特性:贴壁;形态特性:详见产品说明书;相关产品有:M210B4细胞、HCFB(HCF)细胞、Hs-688A-T细胞
HTori3 Cells;背景说明:甲状腺;SV40转化;女性;传代方法:1:2-1:3传代;每周换液2-3次。;生长特性:贴壁;形态特性:详见产品说明书;相关产品有:GM637A细胞、MDA330细胞、P30/Ohkubo细胞
WM239A Cells;背景说明:黑色素瘤;女性;传代方法:1:2-1:3传代;每周换液2-3次。;生长特性:贴壁;形态特性:详见产品说明书;相关产品有:PC-3M-IE8细胞、OVCAR420细胞、TCMK1细胞
GM15452 Cells;背景说明:1957年,PuckTT从成年中国仓鼠卵巢的活检组织建立了CHO细胞,CHO-K1是CHO的一个亚克隆。CHO-K1的生长需要脯酸。;传代方法:1:2传代;生长特性:贴壁生长;形态特性:上皮样;相关产品有:Hs 343.T细胞、Human Hepatocyte Line 5细胞、COLO 320细胞
Panc 8.13 Cells;背景说明:详见相关文献介绍;传代方法:1:2传代;生长特性:贴壁生长;形态特性:上皮样;相关产品有:BC-3H-1细胞、TOV-112D细胞、Medical Research Council cell strain-5细胞
RS4:11人急性淋巴白血病细胞实验室|已有STR图谱
A549-Dual KO-MDA5 hACE2-TMPRSS2 Cells(提供STR鉴定图谱)
Abcam PC-3 SOCS3 KO Cells(提供STR鉴定图谱)
Ba/F3 EGFR-C797S Cells(提供STR鉴定图谱)
BayGenomics ES cell line RRR159 Cells(提供STR鉴定图谱)
BayGenomics ES cell line YHD131 Cells(提供STR鉴定图谱)
CFBE45o- Cells(提供STR鉴定图谱)
DA01471 Cells(提供STR鉴定图谱)
DA05045 Cells(提供STR鉴定图谱)
G5 Cells(提供STR鉴定图谱)
F-81 Cells;背景说明:肾;自发永生;雌性;传代方法:1:2-1:3传代;每周换液2-3次。;生长特性:贴壁;形态特性:详见产品说明书;相关产品有:BIC细胞、WM266细胞、X63细胞
OVCA420 Cells;背景说明:卵巢癌;女性;传代方法:1:2-1:3传代;每周换液2-3次。;生长特性:贴壁;形态特性:详见产品说明书;相关产品有:H 9细胞、MGH-U1细胞、CEM-CCRF细胞
OCI-AML-5 Cells;背景说明:急性髓系白血病细胞;男性;传代方法:1:2-1:3传代;每周换液2-3次。;生长特性:悬浮;形态特性:详见产品说明书;相关产品有:SNU398细胞、16HBE细胞、SK-N-BE(2C)细胞
H1930 Cells;背景说明:详见相关文献介绍;传代方法:3-4天换液1次。;生长特性:悬浮生长;形态特性:详见产品说明书;相关产品有:NB.4细胞、HPBALL细胞、HuTu 80细胞
U266S Cells;背景说明:详见相关文献介绍;传代方法:1:3传代,2-3天传一代;生长特性:悬浮生长 ;形态特性:淋巴母细胞样;相关产品有:MC3T3-E1细胞、NCI-H2198细胞、SNU-449细胞
SU-DHL-8 Cells;背景说明:弥漫大B淋巴瘤;腹腔积液转移;男性;传代方法:1:2-1:3传代;每周换液2-3次。;生长特性:悬浮;形态特性:详见产品说明书;相关产品有:CII细胞、HMrSV5细胞、MCA38细胞
Hs 688(A).T Cells;背景说明:详见相关文献介绍;传代方法:1:2-1:3传代;生长特性:贴壁生长;形态特性:成纤维细胞;相关产品有:SCC25细胞、E.G7-OVA细胞、SK LU 1细胞
NS1-Ag4/1 Cells;背景说明:这是P3X63Ag8(ATCCTIB-9)的一个不分泌克隆。Kappa链合成了但不分泌。能抗0.1mM8-氮杂鸟嘌呤但不能在HAT培养基中生长。据报道它是由于缺失了3-酮类固醇还原酶活性的胆固醇营养缺陷型。检测表明肢骨发育畸形病毒(鼠痘)阴性。;传代方法:1:2传代,3天内可长满。;生长特性:悬浮生长;形态特性:淋巴母细胞;相关产品有:MHH-CALL2细胞、MDA-MB-175细胞、BHK细胞
NCI-H1882 Cells;背景说明:详见相关文献介绍;传代方法:1:2-1:3传代;每周换液2-3次。;生长特性:贴壁或悬浮,详见产品说明书部分;形态特性:详见产品说明书;相关产品有:HOPC细胞、SEM细胞、SKCO-1细胞
ROS17/2.8 Cells;背景说明:骨肉瘤;ACI 9935;传代方法:1:2-1:3传代;每周换液2-3次。;生长特性:贴壁;形态特性:详见产品说明书;相关产品有:WERI细胞、HOS TE 85细胞、SKNAS细胞
P31-FUJ Cells;背景说明:详见相关文献介绍;传代方法:1:5传代;生长特性:悬浮生长;形态特性:淋巴母细胞;相关产品有:801-D细胞、HCT 15细胞、SL-29细胞
IOSE-29 Cells;背景说明:卵巢;上皮细胞;女性;传代方法:1:2-1:3传代;每周换液2-3次。;生长特性:贴壁;形态特性:详见产品说明书;相关产品有:LTEP-a-2细胞、SNU-C2B细胞、MAntle cell VERona-1细胞
LAC Cells;背景说明:肺癌;传代方法:1:2-1:3传代;每周换液2-3次。;生长特性:贴壁;形态特性:详见产品说明书;相关产品有:SGC 7901细胞、CFSC-8B细胞、Panc 5.04细胞
LAC Cells;背景说明:肺癌;传代方法:1:2-1:3传代;每周换液2-3次。;生长特性:贴壁;形态特性:详见产品说明书;相关产品有:SGC 7901细胞、CFSC-8B细胞、Panc 5.04细胞
AZ521 Cells;背景说明:详见相关文献介绍;传代方法:1:4传代;生长特性:贴壁或悬浮,详见产品说明书部分;形态特性:上皮样;相关产品有:3T6 Swiss Albino细胞、X63Ag8-653细胞、Uhth-74细胞
GQPC2.27 Cells(提供STR鉴定图谱)
HAP1 PODXL (-) 1 Cells(提供STR鉴定图谱)
Clone M-3 Cells;背景说明:黑色素瘤;雄性;DBA;传代方法:1:2-1:3传代;每周换液2-3次。;生长特性:贴壁;形态特性:详见产品说明书;相关产品有:MDA-MB435细胞、MOPC细胞、SNU-368细胞
Jurkat-FHCRC Cells;背景说明:该细胞源自一位14岁患有T淋巴细胞白血病男性的外周血;传代方法:保持细胞密度在3—9×105cells/ml之间,1:5—1:10传代,每周换液2—3次;生长特性:悬浮生长;形态特性:圆形,单个或呈片;相关产品有:SNK-1细胞、SKLMS1细胞、H-508细胞
LN 382 Cells;背景说明:胶质瘤;男性;传代方法:1:2-1:3传代;每周换液2-3次。;生长特性:贴壁;形态特性:详见产品说明书;相关产品有:SK-N-FI细胞、T98G细胞、HuNS1细胞
HEK 293-H Cells;背景说明:详见相关文献介绍;传代方法:1:2-1:3传代;每周换液2-3次。;生长特性:贴壁或悬浮,详见产品说明书部分;形态特性:详见产品说明书;相关产品有:Hs870T细胞、KYSE510细胞、PLA801-95C细胞
PC-3M-1E8 Cells;背景说明:前列腺癌;男性;传代方法:1:2-1:3传代;每周换液2-3次。;生长特性:贴壁;形态特性:详见产品说明书;相关产品有:OVCAR-4细胞、ARH 77细胞、QBI-293A细胞
NCIH2030 Cells;背景说明:详见相关文献介绍;传代方法:1:3-1:4传代;每周换液2-3次。;生长特性:贴壁生长;形态特性:上皮细胞样;相关产品有:DoHH-2细胞、RH-30细胞、GP2-293细胞
NT-2 Cells;背景说明:畸胎瘤;男性;传代方法:1:2-1:3传代;每周换液2-3次。;生长特性:贴壁;形态特性:详见产品说明书;相关产品有:CATH.a细胞、CT 26细胞、3T3-L1细胞
HuT 78 Cells;背景说明:皮肤;T淋巴瘤;男性;传代方法:1:2-1:3传代;每周换液2-3次。;生长特性:悬浮;形态特性:详见产品说明书;相关产品有:LS 174T细胞、SKMEL3细胞、ST细胞
HT29 LM3 Cells(提供STR鉴定图谱)
KSCBi012-A Cells(提供STR鉴定图谱)
MPNST-90 Cells(提供STR鉴定图谱)
NYU08-175 Cells(提供STR鉴定图谱)
RIRI-GG3 Cells(提供STR鉴定图谱)
Ubigene HEK293 SLC3A2 KO Cells(提供STR鉴定图谱)
WILL-2 Cells(提供STR鉴定图谱)
HCT116-SPNS1-KO-c15 Cells(提供STR鉴定图谱)
HCT/Taxo1 Cells;背景说明:详见相关文献介绍;传代方法:1:2-1:3传代;每周换液2-3次。;生长特性:贴壁或悬浮,详见产品说明书部分;形态特性:详见产品说明书;相关产品有:NTERA2-D1细胞、RKN细胞、NW-MEL-38细胞
H1581 Cells;背景说明:详见相关文献介绍;传代方法:每周换液2次。;生长特性:混合型;形态特性:上皮样;相关产品有:HSC-6细胞、L 132细胞、SPDC-CCL141细胞
NFHIOSE-29 Cells;背景说明:卵巢;上皮细胞;女性;传代方法:1:2-1:3传代;每周换液2-3次。;生长特性:贴壁;形态特性:详见产品说明书;相关产品有:NCM356细胞、NCI-H2029细胞、NCIH1341细胞
B-95-8 Cells;背景说明:详见相关文献介绍;传代方法:1:2传代;生长特性:贴壁生长 ;形态特性:详见产品说明书;相关产品有:L-cell细胞、CAMA细胞、KTC-1细胞
MLE 12 Cells;背景说明:肺;上皮细胞;SV40转化;FVB/N;传代方法:1:2-1:3传代;每周换液2-3次。;生长特性:贴壁;形态特性:详见产品说明书;相关产品有:MLA144细胞、MDA MB 453细胞、GM03569细胞
MLE 12 Cells;背景说明:肺;上皮细胞;SV40转化;FVB/N;传代方法:1:2-1:3传代;每周换液2-3次。;生长特性:贴壁;形态特性:详见产品说明书;相关产品有:MLA144细胞、MDA MB 453细胞、GM03569细胞
JB6Cl30 Cells;背景说明:详见相关文献介绍;传代方法:1:2传代;生长特性:贴壁生长;形态特性:上皮样;相关产品有:MLO-Y4细胞、H661细胞、DHL4细胞
CMT 64 Cells;背景说明:肺腺癌;雌性;C57;传代方法:1:2-1:3传代;每周换液2-3次。;生长特性:贴壁;形态特性:详见产品说明书;相关产品有:TGBC11T细胞、M20 [Human melanoma]细胞、NEC8细胞
Hs 888.T Cells;背景说明:详见相关文献介绍;传代方法:1:2传代;每周换液2-3次;生长特性:贴壁生长;形态特性:成纤维细胞和上皮细胞的混合样;相关产品有:SPDC-CCL141细胞、LC-MS细胞、TCC-PAN2细胞
NALM 6 Cells;背景说明:急性B淋巴细胞白血病;男性;传代方法:1:2-1:3传代;每周换液2-3次。;生长特性:悬浮;形态特性:详见产品说明书;相关产品有:MDA-1386细胞、BT-549细胞、EC-109细胞
MLE12 Cells;背景说明:肺;上皮细胞;SV40转化;FVB/N;传代方法:1:2-1:3传代;每周换液2-3次。;生长特性:贴壁;形态特性:详见产品说明书;相关产品有:KATO 3细胞、Hs 606.T细胞、SK-ES1细胞
MM1S Cells;背景说明:详见相关文献介绍;传代方法:1:2-1:4传代,2-3天换液1次。;生长特性:混合生长;形态特性:淋巴母细胞样;相关产品有:L-1210细胞、FAT细胞、B5537SKIN细胞
M4e Cells;背景说明:详见相关文献介绍;传代方法:1:2-1:3传代;每周换液2-3次。;生长特性:贴壁或悬浮,详见产品说明书部分;形态特性:详见产品说明书;相关产品有:GBCSD细胞、JeKo 1细胞、H676B细胞
XuanWei Lung Cancer-05 Cells;背景说明:肺癌;女性;传代方法:1:2-1:3传代;每周换液2-3次。;生长特性:贴壁;形态特性:详见产品说明书;相关产品有:GM 2132细胞、MFE 280细胞、R D细胞
KU 19-19 Cells;背景说明:膀胱癌;男性;传代方法:1:2-1:3传代;每周换液2-3次。;生长特性:贴壁;形态特性:详见产品说明书;相关产品有:Bovine Turbinate细胞、NCIH2141细胞、Caco-2BBe细胞
SV40imMyo Cells(提供STR鉴定图谱)
Centre Antoine Lacassagne-148 Cells;背景说明:乳腺癌;胸腔积液转移;女性;传代方法:1:2-1:3传代;每周换液2-3次。;生长特性:贴壁;形态特性:详见产品说明书;相关产品有:ARO-81细胞、A2058细胞、AdHek细胞
RS4:11人急性淋巴白血病细胞实验室|已有STR图谱
SKGIIIA Cells;背景说明:详见相关文献介绍;传代方法:2x10^4 cells/ml;生长特性:贴壁生长;形态特性:上皮细胞样;相关产品有:Strain L-929细胞、MDAMB415细胞、H1672细胞
YH Cells;背景说明:详见相关文献介绍;传代方法:1:2传代;生长特性:贴壁生长;形态特性:上皮细胞;相关产品有:NL-20细胞、Virginia Mason Research Center-Lung Cancer D细胞、NCIH596细胞
LIPF178C Cells;背景说明:胆管癌;传代方法:1:2-1:3传代;每周换液2-3次。;生长特性:贴壁;形态特性:详见产品说明书;相关产品有:NEC8细胞、GM04154细胞、C41细胞
A-101D Cells;背景说明:详见相关文献介绍;传代方法:1:4-1:6传代,2-3天换液1次。;生长特性:贴壁生长;形态特性:上皮细胞;相关产品有:OCI/AML-3细胞、FRTL-5 Cl 2细胞、TE-15细胞
MLM Cells;背景说明:急性粒白血病;传代方法:1:2-1:3传代;每周换液2-3次。;生长特性:悬浮;形态特性:详见产品说明书;相关产品有:NCI-H1581细胞、NPA-87细胞、GM03320D细胞
NCI-H2170 Cells;背景说明:该细胞1989年建系,源自一位患有肺鳞状细胞癌的男性,该患者不吸烟;传代方法:1:3—1:6传代,3—5天换液1次;生长特性:贴壁生长;形态特性:上皮细胞;相关产品有:Intestinal Porcine Epithelial Cell line-J2细胞、BHT101细胞、COLO-824细胞
K7M2-WT Cells;背景说明:骨肉瘤;肺转移;雌性;BALB/c;传代方法:1:2-1:3传代;每周换液2-3次。;生长特性:贴壁;形态特性:详见产品说明书;相关产品有:SW.620细胞、CMT93细胞、SCL-I细胞
Stanford University-Diffuse Histiocytic Lymphoma-10 Cells;背景说明:详见相关文献介绍;传代方法:1:2-1:3传代;每周换液2-3次。;生长特性:悬浮;形态特性:淋巴母细胞;相关产品有:NHEK细胞、T-HEECs细胞、SV40-MES13细胞
BetaTC6 Cells;背景说明:这株细胞来源于转基因小鼠中生长的一个胰肿瘤(胰岛素瘤)。这种小鼠携带了大鼠胰岛素II基因启动子调控的SV40早期基因的假基因结构。细胞包含丰富的胰岛素和小量的胰高血糖素及生长抑素。响应葡萄糖而分泌胰岛素;传代方法:1:2-1:4传代,每2-3天换液一次;生长特性:贴壁生长;形态特性:上皮细胞样;相关产品有:NIH-OVCAR-3细胞、SW 579细胞、HANK细胞
TE 85.T Cells;背景说明:骨肉瘤;女性;传代方法:1:2-1:3传代;每周换液2-3次。;生长特性:贴壁;形态特性:详见产品说明书;相关产品有:BE(2)M17细胞、GP293细胞、HLE细胞
SK-N-BE(2C) Cells;背景说明:神经母细胞瘤;骨髓转移;男性;传代方法:1:2-1:3传代;每周换液2-3次。;生长特性:贴壁;形态特性:详见产品说明书;相关产品有:MOLP8细胞、HBMEC细胞、YD-38细胞
ARO81-1 Cells;背景说明:甲状腺癌;女性;传代方法:1:2-1:3传代;每周换液2-3次。;生长特性:贴壁;形态特性:详见产品说明书;相关产品有:RIN Cl-5F细胞、DSL-6A-C1细胞、NCIH2122细胞
P3-X63-Ag8-653 Cells;背景说明:详见相关文献介绍;传代方法:1:2-1:3传代;每周换液2-3次。;生长特性:贴壁或悬浮,详见产品说明书部分;形态特性:详见产品说明书;相关产品有:MUTZ1细胞、U-118-MG细胞、VMM39细胞
BayGenomics ES cell line HMA398 Cells(提供STR鉴定图谱)
BayGenomics ES cell line XB599 Cells(提供STR鉴定图谱)
Clone 218 Cells(提供STR鉴定图谱)
MANEX1011E-8H7 Cells(提供STR鉴定图谱)
S-98-10 Cells(提供STR鉴定图谱)
WKPT-1292 Cl.10 Cells(提供STR鉴定图谱)
"