基本信息 产品详情 公司简介 推荐产品
网站主页 Ly-6G (E6Z1T) 兔单克隆抗体 Ly-6G (E6Z1T) 兔单克隆抗体
  • Ly-6G (E6Z1T) 兔单克隆抗体
  • Ly-6G (E6Z1T) 兔单克隆抗体

1/2

Ly-6G (E6Z1T) 兔单克隆抗体

Ly-6G (E6Z1T) Rabbit mAb
询价 100ul 起订
上海 更新日期:2026-04-17

上海优宁维生物科技股份有限公司

VIP5年
联系人:
电话:15921930842拨打
手机:15921930842 拨打
邮箱:yh-wang@univ-bio.com

产品详情:

中文名称:
Ly-6G (E6Z1T) 兔单克隆抗体
英文名称:
Ly-6G (E6Z1T) Rabbit mAb
品牌:
CST
产品类别:
抗体
货号:
87048S

在免疫学研究的精密领域中,细胞表面标志物的精准识别是揭示免疫细胞功能与疾病机制的关键。作为CST(Cell Signaling Technology)推出的重组兔单克隆抗体,Ly-6G (E6Z1T) Rabbit mAb(货号:87048)凭借其卓越的特异性、灵敏度及多平台兼容性,已成为中性粒细胞与髓系抑制细胞研究领域的核心工具。以下从科学背景、技术优势及前沿应用三方面展开论述。

一、科学背景:Ly-6G的生物学功能与免疫学意义

Ly-6G是淋巴细胞抗原6(Ly-6)超家族中21-25 kDa的糖基磷脂酰肌醇(GPI)锚定蛋白,其编码基因位于小鼠15号染色体。该蛋白通过LU结构域的8-10个半胱氨酸形成的三对二硫键,介导细胞信号传导与跨膜相互作用,成为髓系细胞发育分化的关键标志物。研究表明,Ly-6G在中性粒细胞、单核细胞及多形核髓源性抑制细胞(PMN-MDSCs)表面特异性表达,其动态变化直接反映免疫应答与炎症进程。

在疾病模型中,Ly-6G+细胞的作用具有双重性:

  1. 炎症调控:作为中性粒细胞标志物,Ly-6G参与炎症因子释放与组织浸润,其表达水平与急性肺损伤、脓毒症等病理过程密切相关。

  2. 肿瘤免疫:PMN-MDSCs通过Ly-6G表达抑制T细胞活性,促进肿瘤免疫逃逸,成为肿瘤微环境研究的重要靶点。

二、技术优势:精准设计与严苛质控

Ly-6G (E6Z1T) Rabbit mAb通过重组技术制备,具有以下核心优势:

  1. 种属特异性

    • 仅识别小鼠Ly-6G,不与Ly-6C1、Ly-6C2等家族成员交叉反应,避免信号干扰。

    • 免疫原为重组小鼠Ly-6G蛋白,确保抗原表位覆盖全面。

  2. 多平台验证

    • Western Blot:1:1000稀释下可检测20-40 kDa内源性Ly-6G蛋白,适用于蛋白表达定量分析。

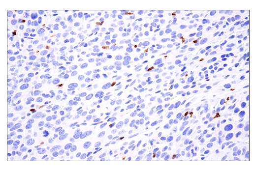
    • 免疫组化(IHC):在石蜡切片中1:300-1:1200稀释可清晰定位组织浸润的中性粒细胞。

    • 流式细胞术:兼容单细胞分选,助力免疫细胞亚群功能研究。

  3. 批次一致性

    • 重组抗体技术消除批次间差异,保障长期实验可重复性。

    • 严格质控包含SDS-PAGE纯度检测及ELISA交叉反应验证。

三、前沿应用:从基础研究到临床转化

  1. 疾病模型机制解析

    • 在急性肺损伤模型中,该抗体可追踪Ly-6G+中性粒细胞在肺泡的浸润动态,揭示炎症风暴的细胞基础。

    • 肿瘤研究中,联合PMN-MDSCs标记物(如CD11b、Gr-1),可解析Ly-6G+细胞对免疫检查点抑制剂疗效的影响。

  2. 药物靶点验证

    • 用于评估Ly-6G靶向疗法(如抗Ly-6G抗体)的细胞耗竭效率,支持抗肿瘤新药研发。

    • 在自身免疫病模型中,监测Ly-6G+细胞凋亡信号通路(如Caspase-3活化),验证治疗靶点。

  3. 生物标志物开发

    • 结合单细胞测序技术,该抗体可富集特定免疫细胞亚群,加速疾病预后标志物的筛选。

四、用户见证与文献支持

该抗体已被广泛应用于《Nature Immunology》《Journal of Leukocyte Biology》等顶刊研究,例如:

  • 揭示呼吸道病毒感染后Ly-6G+非典型巨噬细胞在肺泡再生中的修复作用。

  • 阐明Ly-6G+ PMN-MDSCs通过IL-17信号通路促进乳腺癌转移的机制。

结语
作为免疫学研究的“分子显微镜”,Ly-6G (E6Z1T) Rabbit mAb以精准的靶点识别、卓越的实验表现及严格的质量控制,为中性粒细胞生物学、肿瘤免疫及炎症疾病研究提供强有力支持。无论是探索基础免疫机制,还是开发创新疗法,这款抗体都将成为您科研工具箱中的核心利器。

产品信息

  • 货号:87048

  • 规格:100 μL(支持20次Western blot实验)

  • 保存条件:-20℃,避免反复冻融


CST;抗体; 兔单克隆抗体;Ly-6G;E6Z1T;

公司简介

上海优宁维生物科技股份有限公司(简称:优宁维,股票代码:301166)自2004年成立以来一直专注于抗体及相关产品,是国内专业、全面的抗体供应商和抗体专家,十多年来,正努力发展成为生命科学一站式供应商。公司总部位于上海,全国设有26个办事处,10个境内销售子公司。 我们长期聚焦于生命科学、生物医药、医疗诊断、分析检测等领域,公司整合了国内外50多家行业知名品牌,提供800多万种以抗体为核心的生命科学试剂、耗材、仪器、软件、定制、实验室服务、供应链服务等,形成了以第三方品牌产品为主、自主品牌产品为辅的全面供应体系,为更多的生命科学科研工作者提供专业、全面、安全、快捷的产品和服务。产品覆盖基因、蛋白、细胞、组织、动物等水平的各种研究。 公司2018年建立了南京研发中心,2021年筹建了杭州研发中心,并于2021年在南京投资建设GMP级生产中心,满足更多工业级客户的生命科学试剂需求。 公司秉承 向正 · 向善 · 向上 的价值观,以助力生命科学发展和创新为使命,在世界知名生物制品供应商为愿景下,砥砺前行。

成立日期 (22年)
注册资本 6500.000000万人民币
员工人数 100-500人
年营业额 ¥ 1亿以上
经营模式 试剂,服务,试剂,服务
主营行业 生化试剂,生化试剂,抗体,抗体,蛋白组学,蛋白组学,分子生物学,分子生物学,免疫安全,免疫安全

Ly-6G (E6Z1T) 兔单克隆抗体相关厂家报价

内容声明
拨打电话 立即询价