网站主页
化工产品目录
生物化工
抗体
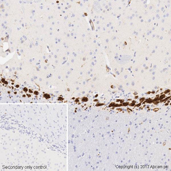
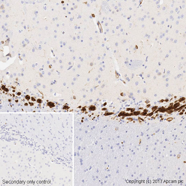
重组ANTI-DOUBLECORTIN抗体[EPR19997] (AB207175)
重组Anti-Doublecortin抗体[EPR19997] (ab207175)
重组Anti-Doublecortin抗体[EPR19997] (ab207175) 新品
询价
1件
起订
北京 更新日期:2026-03-02
产品详情:
- 中文名称:
- 重组Anti-Doublecortin抗体[EPR19997] (ab207175)
- 品牌:
- Abcam
- 产品类别:
- 特价奥特莱斯专区
- 货号:
- ab207175
- 是否进口:
- 是
公司简介
维百奥(北京)生物科技有限公司成立于2014年,经过多年的发展,已成为一家集生产、销售、代理、咨询为一体的,具有完备的生产、研发、技术支持能力,优异的售前售后服务的高新技术公司。致力于为生命科学、制药、诊断、化工、材料、食品、环境、检测等行业的企业,提供仪器、耗材、试剂、设备、服务的一站式服务。
公司经营范围涵盖分子生物学试剂、免疫学试剂、细胞生物学试剂、蛋白质研究试剂、微生物学试剂、化学及生化试剂、材料学试剂、天然提取物、仪器设备等9大门类,累计约10万余种产品,充分满足不同客户的个性化需求;公司代理国外50余种一线品牌试剂,以“高性价比、迅捷的物流速度、专业的技术支持”,让客户充分享受全球化带来的便利;公司还增加了基因编辑、蛋白表达、细胞鉴定等定制项目,大大提升了为客户服务能力。“不忘初心,方得始终”,维百奥生物将继续秉持“专心、专业、为您”的宗旨,以客户为根本,以诚信为基础,持续地为各界客户提供更加优质的产品和服务。
| 成立日期 | (13年) |
| 注册资本 | 300万人民币 |
| 员工人数 | 10-50人 |
| 年营业额 | ¥ 1000万-5000万 |
| 经营模式 | 贸易,工厂,试剂,定制,服务 |
| 主营行业 | 化学试剂 |
重组Anti-Doublecortin抗体[EPR19997] (ab207175)相关厂家报价
-
- Anti-DCX/Doublecortin antibody-双皮质素抗体
- 上海沪震实业有限公司 VIP
- 2026-04-03
- ¥1138
-
- 重组抗体/重组羊驼纳米抗体/重组单链抗体/重组人源化抗体
- 小小睿(上海)生物科技有限公司
- 2026-03-28
- 询价
-
- Anti-SPO11:减数分裂重组蛋白SPO11抗体
- 上海冠导生物工程有限公司 VIP
- 2026-04-10
- 询价
