基本信息 产品详情 公司简介 推荐产品
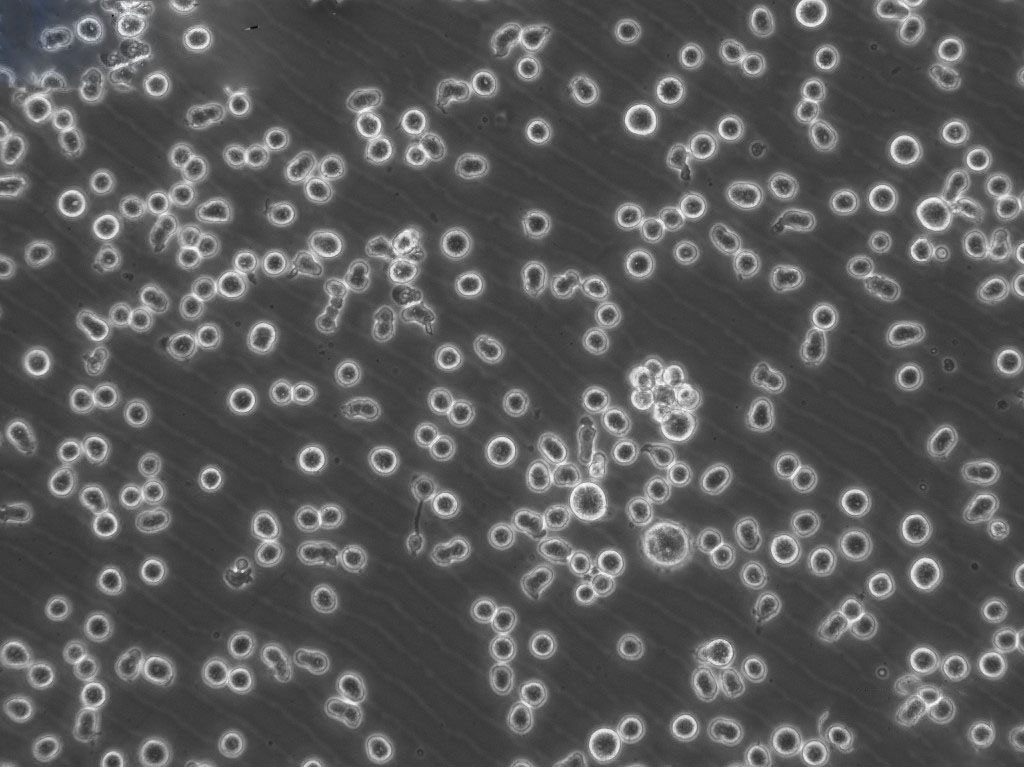
网站主页 U-138 MG CELLS:人脑胶质母细胞瘤细胞系 U-138MG Cells人脑星形胶质母细胞瘤细胞种子库代次低
  • U-138MG Cells人脑星形胶质母细胞瘤细胞种子库代次低

U-138MG Cells人脑星形胶质母细胞瘤细胞种子库代次低

U-138MG Cells
询价 1000000细胞数 起订
2000000细胞数 起订
上海 更新日期:2026-04-15

上海冠导生物工程有限公司

VIP6年
联系人:全经理
电话:18818239863拨打
邮箱:3171921642@qq.com

产品详情:

中文名称:
U-138MG Cells人脑星形胶质母细胞瘤细胞种子库代次低
英文名称:
U-138MG Cells
品牌:
ATCC\RCB等
产地:
国外
保存条件:
常温培养或液氮冻存
纯度规格:
U-138MG Cells人脑星形胶质母细胞瘤细胞种子库代次低
产品类别:
生物科研试剂
种属:
详见产品资料
组织:
详见产品资料
细胞系:
详见产品资料
细胞形态:
详见产品资料
生长状态:
详见产品资料
靶点:
详见产品资料
应用:
详见产品资料

"U-138MG Cells人脑星形胶质母细胞瘤细胞种子库代次低

U-138MG Cells人脑星形胶质母细胞瘤细胞种子库代次低英文别名::U-138 MG; U-138-MG; U138-MG; U 138 MG; U138MG; U138; 138 MG; 138MG

传代比例:1:2-1:4(U-138MG Cells人脑星形胶质母细胞瘤细胞种子库代次低首次传代建议1:2)

背景信息:U-138MG Cells人脑星形胶质母细胞瘤细胞种子库代次低详见相关文献介绍

消化条件:室温下用胰酶消化1-3分钟。

生物安全等级:1级。

空泡现象:在密集培养时,细胞中可见巨大的空泡,这是细胞的正常特性,无需担心。

血清比例:使用10%-20%的血清浓度有助于优化U-138MG Cells人脑星形胶质母细胞瘤细胞种子库代次低实验条件,提高实验的重复性和稳定性。这一浓度范围经过多年实验和实践的验证,被认为是较为适宜的选择。

污染防控:严格无菌操作,定期检测支原体污染,必要时使用双抗预防细菌污染。

换液周期:U-138MG Cells人脑星形胶质母细胞瘤细胞种子库代次低每周2-3次

形态特性:U-138MG Cells人脑星形胶质母细胞瘤细胞种子库代次低上皮细胞样或成纤维细胞样或淋巴母细胞样

来源说明:U-138MG Cells人脑星形胶质母细胞瘤细胞种子库代次低主要来源ATCC、ECACC、DSMZ、RCB等细胞库

生长特性:U-138MG Cells人脑星形胶质母细胞瘤细胞种子库代次低贴壁生长或悬浮生长

培养条件:37°C、5%CO₂、饱和湿度环境,使用含10%-20%FBS的基础培养基。

消化传代:使用0.25%胰酶-EDTA溶液,37°C孵育1-2分钟,轻拍培养瓶促进细胞脱落。(悬浮细胞可省略这步操作)

产品包装:复苏发货:U-138MG Cells人脑星形胶质母细胞瘤细胞种子库代次低T25培养瓶(一瓶)或冻存发货:1ml冻存管(两支)

物种来源:U-138MG Cells人脑星形胶质母细胞瘤细胞种子库代次低来源于人源、鼠源等其它物种来源

细胞冻存:待细胞生长状态良好时,可进行细胞冻存。一般使用冻存液进行冻存,并置于液氮中储存。

污染检测:支原体、细菌、酵母和真菌检测为阴性。

细胞接收流程:收到细胞后,应首先观察细胞状态,然后进行75%酒精消毒处理。将细胞置于37℃培养箱中放置2-4小时以稳定U-138MG Cells人脑星形胶质母细胞瘤细胞种子库代次低状态。当细胞密度达到80%-90%时,即可进行首次传代培养。细胞状态:传代和消化过程中,应密切关注细胞状态,避免过度消化或机械损伤导致细胞活性下降。

培养观察:定期观察U-138MG Cells人脑星形胶质母细胞瘤细胞种子库代次低生长状态,注意培养基的pH值变化和细胞密度,及时换液和传代。细胞复苏:复苏细胞时,应快速将冻存管从液氮中取出并置于37℃水浴中解冻,然后转移到含新鲜培养基的无菌管中并吹打混匀。整个复苏过程应尽可能在5-10分钟内完成,以确保细胞的高存活率。

细胞传代:传代时,应使用适量的胰蛋白酶溶液进行消化,并在显微镜下观察细胞消化情况。消化下来的细胞容易成团,需要吹打吹散。传代后,应确保细胞均匀分布在培养瓶或培养皿中。

操作规范:在细胞培养和处理过程中,需严格遵守无菌操作规范,以避免细胞污染和交叉污染。

RCC_7860细胞保种库复苏;背景说明:该细胞源自一位原发性肾透明细胞癌患者。该细胞有微绒毛和桥粒,能在软琼脂上生长。此细胞生成一种PTH(甲状旁腺素)样的多肽,与乳癌和肺癌中生成的肽相似,其N端序列与PTH相似,具有PTH样活性,分子量为6000D。;传代方法:1:2传代;生长特性:贴壁生长;形态特性:上皮样;相关产品有:U-2 OS细胞复苏代次低、IOSE80UBC细胞复苏代次低、OLN93细胞

HC-11细胞保种库复苏;背景说明:详见相关文献介绍;传代方法:1:2-1:3传代;每周换液2-3次。;生长特性:贴壁或悬浮,详见产品说明书部分;形态特性:详见产品说明书;相关产品有:Hca-F细胞复苏代次低、BT-483细胞复苏代次低、KATO 3细胞

COLO 738细胞保种库复苏;背景说明:详见相关文献介绍;传代方法:1:2-1:3传代;每周换液2-3次。;生长特性:贴壁或悬浮,详见产品说明书部分;形态特性:详见产品说明书;相关产品有:T 98 G细胞复苏代次低、Hs 688(A).T细胞复苏代次低、P560细胞

BEL-7402细胞保种库复苏;背景说明:BEL-7402细胞株是1974年从临床肝癌手术标本中建立的。;传代方法:消化3-5分钟,1:2,3天内可长满;生长特性:贴壁生长;形态特性:上皮样;相关产品有:5-8F细胞复苏代次低、P-36细胞复苏代次低、Epithelioma Papulosum Cyprini细胞

PG-BE1细胞保种库复苏;背景说明:肺巨细胞癌;传代方法:1:2-1:3传代;每周换液2-3次。;生长特性:贴壁;形态特性:详见产品说明书;相关产品有:H-1792细胞复苏代次低、SUPT-1细胞复苏代次低、H510A细胞

HCC44细胞保种库复苏;背景说明:详见相关文献介绍;传代方法:1:2-1:3传代;每周换液2-3次。;生长特性:贴壁或悬浮,详见产品说明书部分;形态特性:详见产品说明书;相关产品有:NCIH358细胞复苏代次低、SF295细胞复苏代次低、ME1细胞

SKM-1 Cells人急性髓系白血病细胞体外培养|STR图谱

93T449 Cells人高分化脂肪肉瘤细胞体外培养|STR图谱

Panc-1-Luc Cells人胰腺癌细胞体外培养|STR图谱

LM8 Cells小鼠骨肉瘤细胞体外培养|STR图谱

BJ [Human fibroblast] Cells人皮肤成纤维细胞体外培养|STR图谱

CCC-HPE-2 Cells人胚胎胰腺组织来源细胞体外培养|STR图谱

B95.8细胞保种库复苏;背景说明:详见相关文献介绍;传代方法:1:2传代;生长特性:贴壁生长 ;形态特性:详见产品说明书;相关产品有:BC-3-H-I细胞复苏代次低、HT29细胞复苏代次低、Kit-225-K6细胞

FU-OV-1细胞保种库复苏;背景说明:详见相关文献介绍;传代方法:1:2-1:3传代;每周换液2-3次。;生长特性:贴壁或悬浮,详见产品说明书部分;形态特性:详见产品说明书;相关产品有:NCIH526细胞复苏代次低、MDA-MB-231-GFP细胞复苏代次低、U-CH1细胞

DMS53细胞保种库复苏;背景说明:详见相关文献介绍;传代方法:1:2-1:3传代,每周2-3次;生长特性:贴壁生长;形态特性:上皮样;相关产品有:Ca-Ski细胞复苏代次低、L428细胞复苏代次低、H1836细胞

BALB/3T3 clone A31 ts22细胞专业复苏|STR图谱

NHLF细胞保种库复苏;背景说明:肺;成纤维 Cells;传代方法:1:2-1:3传代;每周换液2-3次。;生长特性:贴壁;形态特性:详见产品说明书;相关产品有:149PT细胞复苏代次低、A-1847细胞复苏代次低、Anglne细胞

786-0细胞保种库复苏;背景说明:该细胞源自一位原发性肾透明细胞癌患者。该细胞有微绒毛和桥粒,能在软琼脂上生长。此细胞生成一种PTH(甲状旁腺素)样的多肽,与乳癌和肺癌中生成的肽相似,其N端序列与PTH相似,具有PTH样活性,分子量为6000D。;传代方法:1:2传代;生长特性:贴壁生长;形态特性:上皮样;相关产品有:NCIH716细胞复苏代次低、TOG细胞复苏代次低、NCIH2291细胞

Colo-201细胞保种库复苏;背景说明:该细胞源自一位70岁白人男性,CSAp (CSAp-)和CEA阴性。;传代方法:1:2-1:3传代;每周换液2-3次。;生长特性:悬浮+贴壁;形态特性:淋巴细胞;相关产品有:NK-92 MI细胞复苏代次低、BEL 7404细胞复苏代次低、Ha Fe细胞ZR-75-1+luc Cells人乳腺癌细胞体外培养|STR图谱

HepAD38 Cells人肝癌细胞体外培养|STR图谱

H4-II-E Cells大鼠肝细胞瘤细胞体外培养|STR图谱

DB-Luc Cells人弥漫性大B细胞淋巴瘤细胞体外培养|STR图谱

SK-MEL-2+luc Cells人皮肤黑色素瘤细胞体外培养|STR图谱

CMK Cells人急性巨核细胞白血病细胞体外培养|STR图谱

MDCK-II Cells犬肾细胞体外培养|STR图谱

Karpas 422 Cells人非霍奇金淋巴瘤细胞体外培养|STR图谱

NK-92 Cells人恶性非霍奇金淋巴瘤患者的自然杀伤细胞体外培养|STR图谱

MIN-6细胞保种库复苏;背景说明:详见相关文献介绍;传代方法:1:2传代;生长特性:贴壁生长;形态特性:详见产品说明书;相关产品有:SCC090细胞复苏代次低、DCS细胞复苏代次低、Caov-4细胞

PANC-08-13细胞保种库复苏;背景说明:详见相关文献介绍;传代方法:1:2传代;生长特性:贴壁生长;形态特性:上皮样;相关产品有:SUM102细胞复苏代次低、JROECL21细胞复苏代次低、KYSE 150 KYSE150 Kyse150 KY150

细胞

MNNG-HOS (Cl#5)细胞保种库复苏;背景说明:骨肉瘤;女性;传代方法:1:2-1:3传代;每周换液2-3次。;生长特性:贴壁;形态特性:详见产品说明书;相关产品有:P31-FUJ细胞复苏代次低、HCGC细胞复苏代次低、Hi-5细胞

FHL 124细胞保种库复苏;背景说明:晶状体上皮;自发永生;传代方法:1:2-1:3传代;每周换液2-3次。;生长特性:贴壁;形态特性:详见产品说明书;相关产品有:38C13细胞复苏代次低、L-M[TK-]细胞复苏代次低、FRO 81-2细胞

NPA87-1细胞保种库复苏;背景说明:详见相关文献介绍;传代方法:1:2-1:3传代;每周换液2-3次。;生长特性:贴壁或悬浮,详见产品说明书部分;形态特性:详见产品说明书;相关产品有:SUM 52PE细胞复苏代次低、Y3细胞复苏代次低、HT 1376细胞

GM22135细胞专业复苏|STR图谱

HAP1 MECR (-) 2细胞专业复苏|STR图谱

NCI-H1693 Cells人肺腺癌细胞体外培养|STR图谱

HEK293-F Cells人胚肾细胞体外培养|STR图谱

BJ [Human fibroblast] Cells人皮肤成纤维细胞体外培养|STR图谱

HUVEC-GFP Cells人脐静脉内皮细胞体外培养|STR图谱

hFOB1.19 Cells人成骨细胞体外培养|STR图谱

MADB106 Cells大鼠乳腺癌细胞体外培养|STR图谱

MDAMB361细胞保种库复苏;背景说明:该细胞源自40岁女性乳腺癌的脑转移组织。;传代方法: 1:2—1:6传代,每周换液2—3次;生长特性:松散贴壁生长;形态特性:上皮细胞样;相关产品有:HuH-6细胞复苏代次低、SW1783细胞复苏代次低、HT1080细胞

CHL/IU细胞保种库复苏;背景说明:详见相关文献介绍;传代方法:1:2-1:3传代;每周换液2-3次。;生长特性:贴壁或悬浮,详见产品说明书部分;形态特性:详见产品说明书;相关产品有:NCI-747细胞复苏代次低、DoTc2细胞复苏代次低、MOLP8细胞

Ball 1细胞保种库复苏;背景说明:详见相关文献介绍;传代方法:1:2传代;生长特性:悬浮生长;形态特性:淋巴母细胞;相关产品有:KM-H2细胞复苏代次低、HMEC1细胞复苏代次低、GM03569B细胞

SK-N-MC细胞保种库复苏;背景说明:这株细胞与HTB-11都是神经源的。1971年9月分离得到SK-N-MC后,发现它有中性多巴胺-β-羟化酶活性,也有细胞内儿茶胺,用甲醛可以诱导出荧光。;传代方法:1:6-1:12传代,每周2-3次换液。;生长特性:贴壁生长;形态特性:上皮样;相关产品有:Panc-02细胞复苏代次低、TE354T细胞复苏代次低、MDA-MB231细胞

JB6 clone 30, subclone 7b细胞保种库复苏;背景说明:详见相关文献介绍;传代方法:1:2传代;生长特性:贴壁生长;形态特性:上皮样;相关产品有:JB6 Cl 30细胞复苏代次低、RS4;11细胞复苏代次低、RC92A细胞

PaTu8988s细胞保种库复苏;背景说明:胰腺癌;女性;传代方法:1:2-1:3传代;每周换液2-3次。;生长特性:贴壁;形态特性:详见产品说明书;相关产品有:Hs863T细胞复苏代次低、HCEC-B4G12细胞复苏代次低、HPBALL细胞

IGROV细胞保种库复苏;背景说明:详见相关文献介绍;传代方法:1:2-1:3传代;每周换液2-3次。;生长特性:贴壁或悬浮,详见产品说明书部分;形态特性:详见产品说明书;相关产品有:HCT8细胞复苏代次低、NFHIOSE-80细胞复苏代次低、PA-1细胞

RG2 Cells大鼠胶质瘤细胞体外培养|STR图谱

NCI-H460 Cells人大细胞肺癌细胞体外培养|STR图谱

RTgill-W1[ATCC CRL-2523] Cells鱼鳃细胞体外培养|STR图谱

HCT 8 Cells人回盲肠癌细胞体外培养|STR图谱

AsPC-1-Luc Cells人胰腺癌细胞体外培养|STR图谱AE-2 Cells小鼠杂交瘤细胞体外培养|STR图谱

B-3 Cells人晶状体上皮细胞体外培养|STR图谱

Hs 604.T细胞保种库复苏;背景说明:详见相关文献介绍;传代方法:1:2传代;每周换液2-3次。;生长特性:贴壁生长;形态特性:成纤维细胞;相关产品有:H2073细胞复苏代次低、L(TK-)细胞复苏代次低、U266-B1细胞

HPSI0816i-aorf_2细胞专业复苏|STR图谱

KB8021细胞专业复苏|STR图谱

MeWo FOTE 40细胞专业复苏|STR图谱

NIE细胞专业复苏|STR图谱

Ramos-EHRA细胞专业复苏|STR图谱

Ts-B-9细胞专业复苏|STR图谱

AML12 Cells小鼠正常肝细胞体外培养|STR图谱

HepG2-GS Cells人肝癌细胞体外培养|STR图谱

DCS Cells小鼠树突状细胞肉瘤细胞体外培养|STR图谱

MV3 Cells人黑色素瘤细胞体外培养|STR图谱

PUMC-HUVEC-T1 Cells人脐静脉内皮细胞体外培养|STR图谱

MDA-MB-134-VI Cells人乳腺导管癌细胞体外培养|STR图谱

UKTS9074细胞专业复苏|STR图谱

HCT-116-XLoneGemininT25D细胞专业复苏|STR图谱

OVTOKO细胞保种库复苏;背景说明:卵巢透明细胞癌;脾转移;女性;传代方法:1:2-1:3传代;每周换液2-3次。;生长特性:贴壁;形态特性:详见产品说明书;相关产品有:RL-65细胞复苏代次低、Tn 5B1-4细胞复苏代次低、ketr 3细胞

HFL-1细胞保种库复苏;背景说明:详见相关文献介绍;传代方法:消化3-5分钟。1:2。3天内可长满。;生长特性:贴壁生长;形态特性:成纤维细胞样;相关产品有:CCRF-SB细胞复苏代次低、RCC10RGB细胞复苏代次低、H196细胞

Detroit-562细胞保种库复苏;背景说明:器官:咽头 疾病:癌 取材转移灶:胸水;传代方法:1:2-1:4传代,2-3天换液1次。;生长特性:贴壁生长;形态特性:上皮细胞;相关产品有:T98细胞复苏代次低、H-35 Reuber细胞复苏代次低、QGP-1细胞

SCC-25细胞保种库复苏;背景说明:详见相关文献介绍;传代方法:1:3-1:10传代,2-3天换液1次。;生长特性:贴壁生长;形态特性:上皮细胞;相关产品有:ZR75-1细胞复苏代次低、HUT 28细胞复苏代次低、RPMI #1846细胞

X63Ag8-653细胞保种库复苏;背景说明:详见相关文献介绍;传代方法:1:2-1:3传代;每周换液2-3次。;生长特性:贴壁或悬浮,详见产品说明书部分;形态特性:详见产品说明书;相关产品有:HCMEC(BL12-H)细胞复苏代次低、HCCLM3细胞复苏代次低、GNM细胞

MDA-MB-231(DM) Cells人乳腺癌细胞体外培养|STR图谱

hFOB 1.19 Cells人成骨细胞体外培养|STR图谱MH-S Cells小鼠肺泡巨噬细胞体外培养|STR图谱

IAR20 Cells大鼠肝细胞体外培养|STR图谱

X63Ag8-653细胞保种库复苏;背景说明:详见相关文献介绍;传代方法:1:2-1:3传代;每周换液2-3次。;生长特性:贴壁或悬浮,详见产品说明书部分;形态特性:详见产品说明书;相关产品有:HCMEC(BL12-H)细胞复苏代次低、HCCLM3细胞复苏代次低、GNM细胞

RKN细胞保种库复苏;背景说明:详见相关文献介绍;传代方法:1:2传代;生长特性:贴壁生长;形态特性:上皮细胞;相关产品有:Tu177细胞复苏代次低、OE33细胞复苏代次低、ECV304细胞

UCLA NPA871细胞保种库复苏;背景说明:详见相关文献介绍;传代方法:1:2-1:3传代;每周换液2-3次。;生长特性:贴壁或悬浮,详见产品说明书部分;形态特性:详见产品说明书;相关产品有:MADB106细胞复苏代次低、A2780 CP70细胞复苏代次低、MDAMB361细胞

KMS-18细胞保种库复苏;背景说明:浆细胞骨髓瘤;男性;传代方法:1:2-1:3传代;每周换液2-3次。;生长特性:半贴壁;形态特性:详见产品说明书;相关产品有:MALME.3M细胞复苏代次低、TCam 2细胞复苏代次低、HH [Human lymphoma]细胞

HS5细胞保种库复苏;背景说明:详见相关文献介绍;传代方法:1:2-1:3传代;每周换液2-3次。;生长特性:贴壁;形态特性:上皮细胞样;相关产品有:huH 1细胞复苏代次低、PLB985细胞复苏代次低、COLO829细胞

X63Ag8-653细胞保种库复苏;背景说明:详见相关文献介绍;传代方法:1:2-1:3传代;每周换液2-3次。;生长特性:贴壁或悬浮,详见产品说明书部分;形态特性:详见产品说明书;相关产品有:HCMEC(BL12-H)细胞复苏代次低、HCCLM3细胞复苏代次低、GNM细胞

CHO-DXB11 Cells仓鼠卵巢细胞体外培养|STR图谱

CCC-HIE-2 Cells人胚胎肠粘膜组织来源细胞体外培养|STR图谱

MEC-1 Cells人慢性B细胞白血病细胞体外培养|STR图谱

UWB1.289 Cells人卵巢癌细胞体外培养|STR图谱

MDA-MB-231 Cells人乳腺癌细胞体外培养|STR图谱

XWLC-05细胞保种库复苏;背景说明:肺癌;女性;传代方法:1:2-1:3传代;每周换液2-3次。;生长特性:贴壁;形态特性:详见产品说明书;相关产品有:H1770细胞复苏代次低、V79-1细胞复苏代次低、Hela-mock细胞

MCF-7ADR细胞保种库复苏;背景说明:详见相关文献介绍;传代方法:1:2-1:3传代;每周换液2-3次。;生长特性:贴壁或悬浮,详见产品说明书部分;形态特性:详见产品说明书;相关产品有:Walker-Ca.256细胞复苏代次低、KASUMI1细胞复苏代次低、EJ 138细胞

Roswell Park Memorial Institute 8402细胞保种库复苏;背景说明:急性T淋巴细胞白血病;女性;传代方法:1:2-1:3传代;每周换液2-3次。;生长特性:悬浮;形态特性:详见产品说明书;相关产品有:Centre Antoine Lacassagne-39细胞复苏代次低、NCI-H378细胞复苏代次低、CAL-33细胞

SUM149细胞保种库复苏;背景说明:乳腺癌;女性;传代方法:1:2-1:3传代;每周换液2-3次。;生长特性:贴壁;形态特性:详见产品说明书;相关产品有:KBM7细胞复苏代次低、PA317细胞复苏代次低、SP-2/0-AG14细胞

STAN037i-118-1细胞专业复苏|STR图谱

PIGI细胞保种库复苏;背景说明:皮肤;黑色素细胞;HPV16转化;男性;传代方法:1:2-1:3传代;每周换液2-3次。;生长特性:贴壁;形态特性:详见产品说明书;相关产品有:GTL 16细胞复苏代次低、HS-683细胞复苏代次低、Y3细胞

NALM 6细胞保种库复苏;背景说明:急性B淋巴细胞白血病;男性;传代方法:1:2-1:3传代;每周换液2-3次。;生长特性:悬浮;形态特性:详见产品说明书;相关产品有:MDA-1386细胞复苏代次低、BT-549细胞复苏代次低、EC-109细胞

ASH-3细胞保种库复苏;背景说明:详见相关文献介绍;传代方法:1:2-1:3传代;每周换液2-3次。;生长特性:贴壁或悬浮,详见产品说明书部分;形态特性:详见产品说明书;相关产品有:H-1703细胞复苏代次低、SW756细胞复苏代次低、NCI-H2342细胞

B16BL-6细胞保种库复苏;背景说明:黑色素瘤;雄性;C57BL/6;传代方法:1:2-1:3传代;每周换液2-3次。;生长特性:贴壁;形态特性:详见产品说明书;相关产品有:MMQ细胞复苏代次低、Ca 9-22细胞复苏代次低、H1755细胞

OCI-LY-8细胞保种库复苏;背景说明:弥漫大B淋巴瘤;传代方法:1:2-1:3传代;每周换液2-3次。;生长特性:悬浮;形态特性:详见产品说明书;相关产品有:SKO007细胞复苏代次低、NCI-H2591细胞复苏代次低、HOP-62细胞

"



U-138MG Cells人脑星形胶质母;传代细胞;复苏细胞;实验细胞;科研细胞;

公司简介

上海冠导生物工程有限公司,先后从ATCC、DSMZ、ECACC、RIKEN、PromoCell、ScienCell、JCRB等国内外细胞库引进细胞2000余株。以此为契机,公司组建了冠导细胞库,我司细胞均由资深细胞培养工程师进行培养。我司可以提供的细胞有:①细胞系②原代细胞③稳转株④耐药株⑤标记细胞⑥细胞配套试剂等。

成立日期 (11年)
注册资本 100万(元)
员工人数 50-100人
年营业额 ¥ 1000万-5000万
经营模式 工厂,试剂,定制,服务
主营行业 细胞培养,微生物学,细胞生物学

U-138MG Cells人脑星形胶质母细胞瘤细胞种子库代次低相关厂家报价

内容声明
拨打电话 立即询价