基本信息 产品详情 公司简介 推荐产品
网站主页 K63-linkage Specific Polyubiquitin (D7A11) Rabbit mAb K63连接特异性多泛素化(D7A11)兔单克隆抗体
  • K63连接特异性多泛素化(D7A11)兔单克隆抗体
  • K63连接特异性多泛素化(D7A11)兔单克隆抗体
  • K63连接特异性多泛素化(D7A11)兔单克隆抗体

1/3

K63连接特异性多泛素化(D7A11)兔单克隆抗体

K63-linkage Specific Polyubiquitin (D7A11) Rabbit mAb
询价 100ul 起订
上海 更新日期:2026-04-13

上海优宁维生物科技股份有限公司

VIP5年
联系人:
电话:15921930842拨打
手机:15921930842 拨打
邮箱:yh-wang@univ-bio.com

产品详情:

中文名称:
K63连接特异性多泛素化(D7A11)兔单克隆抗体
英文名称:
K63-linkage Specific Polyubiquitin (D7A11) Rabbit mAb
品牌:
CST
产品类别:
抗体
货号:
5621S

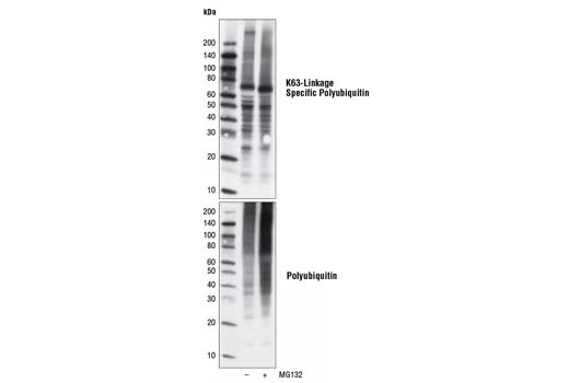
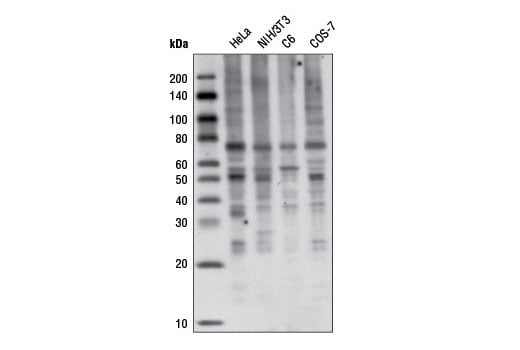
K63-linkage Specific Polyubiquitin (D7A11) Rabbit mAb 产品描述

K63-linkage Specific Polyubiquitin (D7A11) Rabbit mAb 是一种特异性识别 K63 链接的多泛素化链的高品质兔单克隆抗体。该抗体通过使用与人类二泛素链 Lys63 支链周围残基相对应的合成肽免疫动物而产生,能够检测由 Lys63 残基链接形成的多泛素化链,不会与单泛素或多泛素链的其他赖氨酸残基链接发生反应。

在实验应用方面,该抗体在 Western Blotting 中的建议稀释比例为 1:1000,能够识别内源性水平的 K63 链接多泛素化链,适用于所有物种的样本检测。其宿主为兔,同种型为兔 IgG。

从背景知识来看,泛素是一种高度保守的多肽单元,在泛素 - 蛋白酶体途径中发挥重要作用,可通过泛素化过程将蛋白质靶向 26S 蛋白酶体进行降解。泛素化涉及激活成分 E1、泛素载体蛋白 E2 和泛素连接酶 E3 等三种组分的协同作用,将泛素连接到目标蛋白的赖氨酸残基的 ε-NH2 上。该途径参与多种正常生理过程和疾病相关异常的调控,包括细胞周期进程、分化、细胞应激反应和凋亡等。K63 链接的多泛素化链在体内发挥非蛋白水解功能,如蛋白质转运、激酶 / 磷酸酶激活以及 DNA 损伤控制等,对癌症的生存和发展可能具有重要意义。

K63-linkage Specific Polyubiquitin (D7A11) Rabbit mAb 为研究 K63 链接多泛素化在细胞生理过程中的作用提供了一种灵敏而特异的工具,有助于深入理解泛素化修饰在细胞生物学和疾病发生发展中的机制。产品保存方式为 -20°C 保存,无需分装抗体。


CST;兔单克隆抗体;抗体;D7A11;K63;

公司简介

上海优宁维生物科技股份有限公司(简称:优宁维,股票代码:301166)自2004年成立以来一直专注于抗体及相关产品,是国内专业、全面的抗体供应商和抗体专家,十多年来,正努力发展成为生命科学一站式供应商。公司总部位于上海,全国设有26个办事处,10个境内销售子公司。 我们长期聚焦于生命科学、生物医药、医疗诊断、分析检测等领域,公司整合了国内外50多家行业知名品牌,提供800多万种以抗体为核心的生命科学试剂、耗材、仪器、软件、定制、实验室服务、供应链服务等,形成了以第三方品牌产品为主、自主品牌产品为辅的全面供应体系,为更多的生命科学科研工作者提供专业、全面、安全、快捷的产品和服务。产品覆盖基因、蛋白、细胞、组织、动物等水平的各种研究。 公司2018年建立了南京研发中心,2021年筹建了杭州研发中心,并于2021年在南京投资建设GMP级生产中心,满足更多工业级客户的生命科学试剂需求。 公司秉承 向正 · 向善 · 向上 的价值观,以助力生命科学发展和创新为使命,在世界知名生物制品供应商为愿景下,砥砺前行。

成立日期 (22年)
注册资本 6500.000000万人民币
员工人数 100-500人
年营业额 ¥ 1亿以上
经营模式 试剂,服务,试剂,服务
主营行业 生化试剂,生化试剂,抗体,抗体,蛋白组学,蛋白组学,分子生物学,分子生物学,免疫安全,免疫安全

K63连接特异性多泛素化(D7A11)兔单克隆抗体相关厂家报价

内容声明
拨打电话 立即询价