基本信息 产品详情 公司简介 推荐产品
网站主页 Cleaved Gasdermin D (Asp275) (E7H9G) Rabbit mAb 抗体 裂解的Gasdermin D(Asp275)(E7H9G)兔单克隆抗体
  • 裂解的Gasdermin D(Asp275)(E7H9G)兔单克隆抗体
  • 裂解的Gasdermin D(Asp275)(E7H9G)兔单克隆抗体
  • 裂解的Gasdermin D(Asp275)(E7H9G)兔单克隆抗体

1/3

裂解的Gasdermin D(Asp275)(E7H9G)兔单克隆抗体

Cleaved Gasdermin D (Asp275) (E7H9G) Rabbit mAb
询价 100ul 起订
上海 更新日期:2026-04-10

上海优宁维生物科技股份有限公司

VIP5年
联系人:
电话:15921930842拨打
手机:15921930842 拨打
邮箱:yh-wang@univ-bio.com

产品详情:

中文名称:
裂解的Gasdermin D(Asp275)(E7H9G)兔单克隆抗体
英文名称:
Cleaved Gasdermin D (Asp275) (E7H9G) Rabbit mAb
品牌:
CST
产品类别:
抗体
货号:
36425T

Cleaved Gasdermin D (Asp275) (E7H9G) Rabbit mAb 产品描述

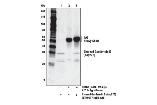
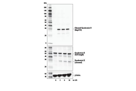
Cleaved Gasdermin D (Asp275) (E7H9G) Rabbit mAb 是一种特异性识别裂解的 Gasdermin D(Asp275)的高品质兔单克隆抗体。该抗体采用与人类 Gasdermin D 蛋白 Asp275 周围残基相对应的合成肽免疫动物而产生,能够特异性识别内源性水平的 Gasdermin D 蛋白,仅在其于 Asp275 位点发生裂解时才会被检测到。

在实验应用方面,该抗体在 Western Blotting 中的推荐稀释比例为 1:1000,在免疫沉淀(Immunoprecipitation)中的稀释比例为 1:50,免疫组织化学(石蜡切片)(Immunohistochemistry (Paraffin))中的稀释比例为 1:500 - 1:2000。其宿主为兔,同种型为兔 IgG,检测的分子量约为 30 kDa。

Gasdermin D(GSDMD)是 gasdermin 家族成员之一,该家族还包括 GSDMA、GSDMB 和 GSDMC。Gasdermin D 在炎性坏死(pyroptosis)过程中发挥关键作用。炎性坏死是由炎性体介导的一种裂解性细胞死亡形式,炎性体是响应病原体相关分子模式(PAMPs)或危险相关分子模式(DAMPs)而组装的多蛋白复合体,最终导致 caspase-1 的激活以及促炎性细胞因子 IL-1β 和 IL-18 的成熟。Gasdermin D 被鉴定为炎性半胱天冬酶(caspase-1 和 caspase-11/4/5)的底物,裂解后产生两个片段:GSDMD-N 和 GSDMD-C。裂解作用释放了 N 端和 C 端结构域之间的分子内抑制相互作用,使得 N 端片段 GSDMD-N 能够通过在细胞膜上形成孔洞来启动炎性坏死过程。

Cleaved Gasdermin D (Asp275) (E7H9G) Rabbit mAb 为研究 Gasdermin D 的裂解及其在炎性坏死和免疫反应中的作用提供了一种灵敏而特异的工具。该抗体适用于癌症、细胞生物学、纤维化和神经科学研究领域,有助于深入理解 Gasdermin D 在细胞死亡和炎症反应中的机制。产品保存方式为 -20°C 保存,无需分装抗体。如需无载体(不含 BSA 和叠氮化钠)版本的该产品,可参见产品 #37349。


兔单克隆抗体 ;抗体;裂解的Gasdermin D;Asp275;E7H9G;

公司简介

上海优宁维生物科技股份有限公司(简称:优宁维,股票代码:301166)自2004年成立以来一直专注于抗体及相关产品,是国内专业、全面的抗体供应商和抗体专家,十多年来,正努力发展成为生命科学一站式供应商。公司总部位于上海,全国设有26个办事处,10个境内销售子公司。 我们长期聚焦于生命科学、生物医药、医疗诊断、分析检测等领域,公司整合了国内外50多家行业知名品牌,提供800多万种以抗体为核心的生命科学试剂、耗材、仪器、软件、定制、实验室服务、供应链服务等,形成了以第三方品牌产品为主、自主品牌产品为辅的全面供应体系,为更多的生命科学科研工作者提供专业、全面、安全、快捷的产品和服务。产品覆盖基因、蛋白、细胞、组织、动物等水平的各种研究。 公司2018年建立了南京研发中心,2021年筹建了杭州研发中心,并于2021年在南京投资建设GMP级生产中心,满足更多工业级客户的生命科学试剂需求。 公司秉承 向正 · 向善 · 向上 的价值观,以助力生命科学发展和创新为使命,在世界知名生物制品供应商为愿景下,砥砺前行。

成立日期 (22年)
注册资本 6500.000000万人民币
员工人数 100-500人
年营业额 ¥ 1亿以上
经营模式 试剂,服务,试剂,服务
主营行业 生化试剂,生化试剂,抗体,抗体,蛋白组学,蛋白组学,分子生物学,分子生物学,免疫安全,免疫安全

裂解的Gasdermin D(Asp275)(E7H9G)兔单克隆抗体相关厂家报价

内容声明
拨打电话 立即询价