基本信息 产品详情 公司简介 推荐产品
网站主页 大鼠骨肉瘤细胞UMR-106 大鼠骨肉瘤细胞UMR-106
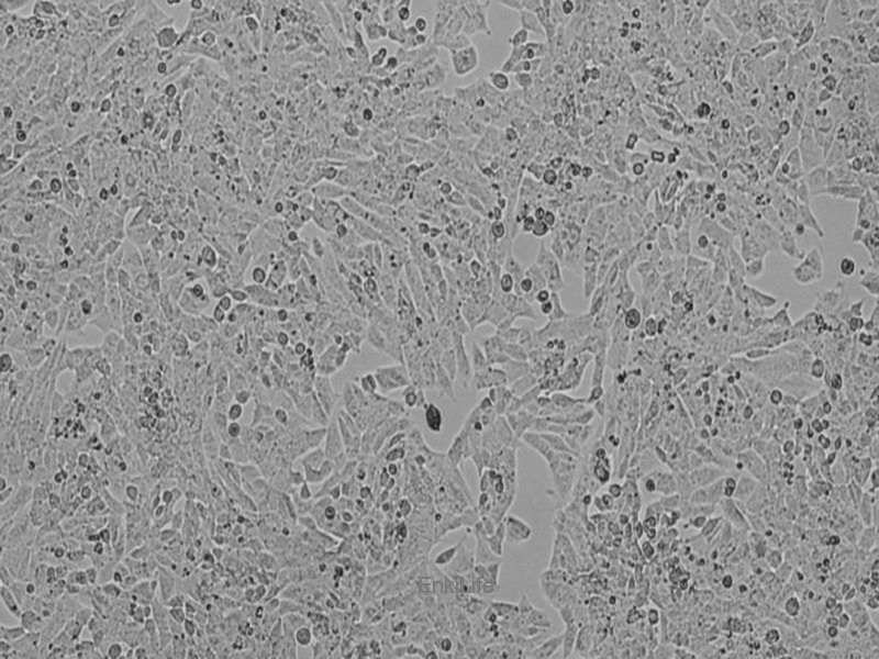
  • 大鼠骨肉瘤细胞UMR-106(种属鉴定) | EnkiLife恩玑生命
  • 大鼠骨肉瘤细胞UMR-106(种属鉴定) | EnkiLife恩玑生命

1/2

大鼠骨肉瘤细胞UMR-106(种属鉴定) | EnkiLife恩玑生命

询价 1瓶 起订
湖北 更新日期:2026-03-23

武汉恩玑生命科技有限公司

VIP1年
联系人:Kiki
电话:027-87002838拨打
手机:13212728378 拨打
邮箱:order@enkilife.cn

产品详情:

中文名称:
大鼠骨肉瘤细胞UMR-106
品牌:
EnkiLife
产地:
中国
保存条件:
无血清细胞冻存液 液氮保存
产品类别:
细胞系
是否进口:
用途:
科研
细胞中文名

大鼠骨肉瘤细胞

细胞英文名

UMR-106  

细胞别称

UMR106;UMR106

建系背景

UMR-106细胞是注射放射性同位素磷(32P)诱导产生的可移植性大鼠骨肉瘤克隆建立的细胞系最初的肉瘤和克隆株都是由谢菲尔德大学的T.J.Martin开发的。UMR-106细胞对PTH、前列腺素及破骨甾体有响应UMR-106细胞对PTH的响应度比细胞株UMR-108要高。蛋白激酶C的活化抑制ATP诱导的UMR-106细胞胞内钙水平的升高。UMR-106细胞可以用于3D细胞培养。

组织来源

骨肉瘤;Sprague Dawley;成年

生长特性

贴壁细胞

细胞形态

上皮细胞样

培养基

DMEM+10% FBS+1% P/S

推荐冻存条件

无血清细胞冻存液 液氮保存

液氮保存

推荐传代比例

1:2-1:4(具体情况视细胞生长速度及密度决定)

推荐换液频率

2-3次/周

生物安全等级

1

成瘤性

 

 

注意事项

本司产品仅用于科研,不用于临床诊断和治疗;在线咨询联系销售技术支持。

 

大鼠;骨肉瘤细胞;UMR-106;细胞系

公司简介

武汉恩玑生命科技有限公司(EnkiLife)是一家深耕生命科学,专注细胞生物学和免疫学科研试剂的研发、生产与销售的生物技术企业,在全球100多个国家和地区开展业务,致力于为科研工作者提供高质量的产品和卓越的客户服务,推动生命科学的发展。 EnkiLife的产品线涵盖细胞系、原代细胞、细胞培养基、血清、细胞检测试剂盒、重组靶点蛋白、细胞因子、重组抗体、ELISA试剂盒、生化试剂盒等,并提供技术服务与定制开发,覆盖了生命科学研究的各大关键领域,包括细胞生物学、癌症、免疫学、神经科学、心血管疾病、干细胞、表观遗传学、内分泌、蛋白质组学、代谢组学等,全方位满足您的实验需求,让您享受科研的乐趣! 公司现已建立四大技术平台: EnCyto?细胞培养及检测平台:拥有细胞系库(500+)、原代细胞库(500+)、基础培养基和完全培养基(1200+) EnkiPro?重组蛋白平台:现货产品2000+,可提供定制化表达服务 EnAb?重组抗体平台:重组兔单抗(3000+),可提供定制化和标记服务 EnKits?试剂盒开发平台:可提供优质的ELISA试剂盒、配套试剂、抗体对、生化试剂盒等相关产品 EnkiLife在生产管理方面引入ISO9001质量管理体系和信息化、自动化的管理工具,拥有高效稳定的交付能力,与全球知名品牌建立了紧密的合作。 EnkiLife始终坚持以技术创新为驱动,以匠心铸就品质,以品质服务客户。 我们期待与更多的全球科研工作者和企业携手合作,共同推动生命科学领域的进步与发展。

成立日期 (2年)
注册资本 271万人民币
员工人数 10-50人
年营业额 ¥ 100万-300万
经营模式 工厂,试剂,定制,服务
主营行业 生化试剂,抗体,细胞培养,癌症研究,细胞生物学

大鼠骨肉瘤细胞UMR-106相关厂家报价

内容声明
拨打电话 立即询价