基本信息 产品详情 公司简介 推荐产品
网站主页 小鼠乳腺上皮细胞HC11 小鼠乳腺上皮细胞HC11
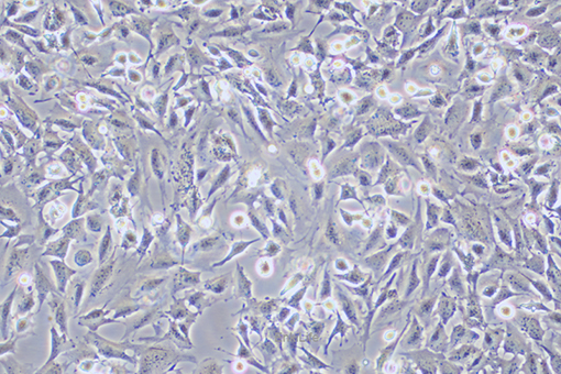
  • 小鼠乳腺上皮细胞HC11(种属鉴定) | EnkiLife恩玑生命
  • 小鼠乳腺上皮细胞HC11(种属鉴定) | EnkiLife恩玑生命
  • 小鼠乳腺上皮细胞HC11(种属鉴定) | EnkiLife恩玑生命

1/3

小鼠乳腺上皮细胞HC11(种属鉴定) | EnkiLife恩玑生命

询价 1瓶 起订
湖北 更新日期:2026-03-23

武汉恩玑生命科技有限公司

VIP1年
联系人:Kiki
电话:027-87002838拨打
手机:13212728378 拨打
邮箱:order@enkilife.cn

产品详情:

中文名称:
小鼠乳腺上皮细胞HC11
品牌:
EnkiLife
产地:
中国
保存条件:
无血清细胞冻存液 液氮保存
产品类别:
细胞系
是否进口:
用途:
科研
细胞中文名

小鼠乳腺上皮细胞

细胞英文名

HC11  

细胞别称

HC-11;HC11MammaryEpithelium

建系背景

HC11细胞是通过转染从亲本细胞系COMMA-1D中分离的催乳素应答克隆。HC11细胞能够在培养中分化无需添加复合物、外源添加的细胞外基质或与其他细胞类型共培养。HC11细胞产生自己的细胞外基质蛋白如层粘连蛋白。HC11细胞对产乳激素(催乳素、胰岛素和地塞米松)产生反应产生乳蛋白如β-酪蛋白。HC11细胞可作为体外模型研究乳腺上皮细胞增殖、信号转导和分化。

组织来源

乳腺;上皮细胞;雌性;BALB/c;1岁

生长特性

贴壁细胞

细胞形态

上皮细胞样

培养基

1640+10% FBS+1% P/S

推荐冻存条件

无血清细胞冻存液 液氮保存

液氮保存

推荐传代比例

1:2-1:4(具体情况视细胞生长速度及密度决定)

推荐换液频率

2-3次/周

生物安全等级

1

成瘤性

 

 

注意事项

本司产品仅用于科研,不用于临床诊断和治疗;在线咨询联系销售技术支持。

 

小鼠;乳腺上皮细胞;HC11;细胞系

公司简介

武汉恩玑生命科技有限公司(EnkiLife)是一家深耕生命科学,专注细胞生物学和免疫学科研试剂的研发、生产与销售的生物技术企业,在全球100多个国家和地区开展业务,致力于为科研工作者提供高质量的产品和卓越的客户服务,推动生命科学的发展。 EnkiLife的产品线涵盖细胞系、原代细胞、细胞培养基、血清、细胞检测试剂盒、重组靶点蛋白、细胞因子、重组抗体、ELISA试剂盒、生化试剂盒等,并提供技术服务与定制开发,覆盖了生命科学研究的各大关键领域,包括细胞生物学、癌症、免疫学、神经科学、心血管疾病、干细胞、表观遗传学、内分泌、蛋白质组学、代谢组学等,全方位满足您的实验需求,让您享受科研的乐趣! 公司现已建立四大技术平台: EnCyto?细胞培养及检测平台:拥有细胞系库(500+)、原代细胞库(500+)、基础培养基和完全培养基(1200+) EnkiPro?重组蛋白平台:现货产品2000+,可提供定制化表达服务 EnAb?重组抗体平台:重组兔单抗(3000+),可提供定制化和标记服务 EnKits?试剂盒开发平台:可提供优质的ELISA试剂盒、配套试剂、抗体对、生化试剂盒等相关产品 EnkiLife在生产管理方面引入ISO9001质量管理体系和信息化、自动化的管理工具,拥有高效稳定的交付能力,与全球知名品牌建立了紧密的合作。 EnkiLife始终坚持以技术创新为驱动,以匠心铸就品质,以品质服务客户。 我们期待与更多的全球科研工作者和企业携手合作,共同推动生命科学领域的进步与发展。

成立日期 (2年)
注册资本 271万人民币
员工人数 10-50人
年营业额 ¥ 100万-300万
经营模式 工厂,试剂,定制,服务
主营行业 生化试剂,抗体,细胞培养,癌症研究,细胞生物学

小鼠乳腺上皮细胞HC11相关厂家报价

内容声明
拨打电话 立即询价