基本信息 产品详情 公司简介 推荐产品
网站主页 IRS1(Phospho Ser307) Rabbit Polyclonal Antibody IRS-1 (phospho Ser307)兔多抗
  • IRS-1 (phospho Ser307) Rabbit Polyclonal Antibody | 兔多抗 | EnkiLife恩玑生命
  • IRS-1 (phospho Ser307) Rabbit Polyclonal Antibody | 兔多抗 | EnkiLife恩玑生命
  • IRS-1 (phospho Ser307) Rabbit Polyclonal Antibody | 兔多抗 | EnkiLife恩玑生命

1/3

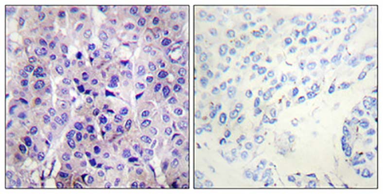
IRS-1 (phospho Ser307) Rabbit Polyclonal Antibody | 兔多抗 | EnkiLife恩玑生命

IRS-1 (phospho Ser307) Rabbit Polyclonal Antibody
询价 1支 起订
湖北 更新日期:2026-03-23

武汉恩玑生命科技有限公司

VIP1年
联系人:Kiki
电话:027-87002838拨打
手机:13212728378 拨打
邮箱:order@enkilife.cn

产品详情:

中文名称:
IRS-1 (phospho Ser307)兔多抗
英文名称:
IRS-1 (phospho Ser307) Rabbit Polyclonal Antibody
品牌:
EnkiLife
产地:
中国
产品类别:
抗体
是否进口:
用途:
科研

产品概述

产品名称(Product Name)

IRS-1 (phospho Ser307) Rabbit Polyclonal Antibody

描述(Description)

Rabbit Polyclonal Antibody

宿主(Host)

Rabbit

应用(Application)

WB,IHC-P,IF-P,IF-F,ICC/IF,ELISA

种属反应性(Reactivity)

Human,Mouse,Rat,Monkey

 

产品性能

偶联物(Conjugation)

Unconjugated

修饰(Modification)

Phospho Antibody

同种型(Isotype)

IgG

克隆(Clonality)

Polyclonal

形式(Form)

Liquid

存放说明(Storage)

Store at 4°C short term. Aliquot and store at -20°C long term. Avoid freeze/thaw cycles.

储存溶液(Buffer)

Liquid in PBS containing 50% glycerol, 0.5% BSA and 0.02% New type preservative N.

纯化方式(Purification)

Affinity purification

 

免疫原

基因名(Gene Name)

IRS1

别名(Alternative Names)

IRS1; Insulin receptor substrate 1; IRS-1

基因ID(Gene ID)

3667

蛋白ID(SwissProt ID)

P35568

 

产品应用

稀释比(Dilution Ratio)

WB 1:500-1:2000, IHC-P 1:100-1:300, ELISA 1:5000, IF-P/IF-F/ICC/IF 1:50-200

蛋白分子量(Molecular Weight)

170kDa

 

研究背景

This gene encodes a protein which is phosphorylated by insulin receptor tyrosine kinase. Mutations in this gene are associated with type II diabetes and susceptibility to insulin resistance. [provided by RefSeq, Nov 2009],disease:Polymorphisms in IRS1 may be involved in the etiology of non-insulin-dependent diabetes mellitus (NIDDM) [MIM:125853].,function:May mediate the control of various cellular processes by insulin. When phosphorylated by the insulin receptor binds specifically to various cellular proteins containing SH2 domains such as phosphatidylinositol 3-kinase p85 subunit or GRB2. Activates phosphatidylinositol 3-kinase when bound to the regulatory p85 subunit.,polymorphism:The Arg-971 polymorphism impairs the ability of insulin to stimulate glucose transport, glucose transporter translocation, and glycogen synthesis by affecting the PI3K/AKT1/GSK3 signaling pathway. The polymorphism at Arg-971 may contribute to the in vivo insulin resistance observed in carriers of this variant. Arg-971 could contribute to the risk for atherosclerotic cardiovascular diseases associated with non-insulin-dependent diabetes mellitus (NIDDM) by producing a cluster of insulin resistance-related metabolic abnormalities. In insulin-stimulated human endothelial cells from carriers of the Arg-971 polymorphism, genetic impairment of the IRS1/PI3K/PDPK1/AKT1 insulin signaling cascade results in impaired insulin-stimulated nitric oxide (NO) release and suggested that this may be a mechanism through which the Arg-971 polymorphism contributes to the genetic predisposition to develop endothelial dysfunction and cardiovascular disease. The Arg-971 polymorphism not only reduces phosphorylation of the substrate but allows IRS1 to act as an inhibitor of PI3K, producing global insulin resistance.,PTM:Phosphorylation of Tyr-896 is required for GRB2-binding.,PTM:Serine phosphorylation of IRS1 is a mechanism for insulin resistance. Ser-312 phosphorylation inhibits insulin action through disruption of IRS1 interaction with the insulin receptor.,similarity:Contains 1 IRS-type PTB domain.,similarity:Contains 1 PH domain.,subunit:Interacts with the NPXY motif of tyrosine-phosphorylated IGF1R and INSR via the PTB domain. Binds to phosphatidylinositol 3-kinase p85 subunit via the phosphorylated YXXM motifs. Binds ROCK1. Binds to UBTF and PIK3CA in nuclear extracts (By similarity). Interacts with SOCS7.,

 

研究领域

Neurotrophin;Insulin_Receptor;Adipocytokine;Type II diabetes mellitus;Aldosterone-regulated sodium reabsorption;

IRS1;IRS-1;(phospho;Ser307);Rabbit;Polyclonal;Antibody;一抗

公司简介

武汉恩玑生命科技有限公司(EnkiLife)是一家深耕生命科学,专注细胞生物学和免疫学科研试剂的研发、生产与销售的生物技术企业,在全球100多个国家和地区开展业务,致力于为科研工作者提供高质量的产品和卓越的客户服务,推动生命科学的发展。 EnkiLife的产品线涵盖细胞系、原代细胞、细胞培养基、血清、细胞检测试剂盒、重组靶点蛋白、细胞因子、重组抗体、ELISA试剂盒、生化试剂盒等,并提供技术服务与定制开发,覆盖了生命科学研究的各大关键领域,包括细胞生物学、癌症、免疫学、神经科学、心血管疾病、干细胞、表观遗传学、内分泌、蛋白质组学、代谢组学等,全方位满足您的实验需求,让您享受科研的乐趣! 公司现已建立四大技术平台: EnCyto?细胞培养及检测平台:拥有细胞系库(500+)、原代细胞库(500+)、基础培养基和完全培养基(1200+) EnkiPro?重组蛋白平台:现货产品2000+,可提供定制化表达服务 EnAb?重组抗体平台:重组兔单抗(3000+),可提供定制化和标记服务 EnKits?试剂盒开发平台:可提供优质的ELISA试剂盒、配套试剂、抗体对、生化试剂盒等相关产品 EnkiLife在生产管理方面引入ISO9001质量管理体系和信息化、自动化的管理工具,拥有高效稳定的交付能力,与全球知名品牌建立了紧密的合作。 EnkiLife始终坚持以技术创新为驱动,以匠心铸就品质,以品质服务客户。 我们期待与更多的全球科研工作者和企业携手合作,共同推动生命科学领域的进步与发展。

成立日期 (2年)
注册资本 271万人民币
员工人数 10-50人
年营业额 ¥ 100万-300万
经营模式 工厂,试剂,定制,服务
主营行业 生化试剂,抗体,细胞培养,癌症研究,细胞生物学

IRS-1 (phospho Ser307)兔多抗相关厂家报价

内容声明
拨打电话 立即询价