基本信息 产品详情 公司简介 推荐产品
网站主页 Abl1 (phospho Tyr204)兔多抗 Abl1 (phospho Tyr204)兔多抗
  • Abl1 (phospho Tyr204) Rabbit Polyclonal Antibody | 兔多抗 | EnkiLife恩玑生命
  • Abl1 (phospho Tyr204) Rabbit Polyclonal Antibody | 兔多抗 | EnkiLife恩玑生命
  • Abl1 (phospho Tyr204) Rabbit Polyclonal Antibody | 兔多抗 | EnkiLife恩玑生命

1/3

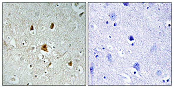
Abl1 (phospho Tyr204) Rabbit Polyclonal Antibody | 兔多抗 | EnkiLife恩玑生命

Abl1 (phospho Tyr204) Rabbit Polyclonal Antibody
询价 1支 起订
湖北 更新日期:2026-03-23

武汉恩玑生命科技有限公司

VIP1年
联系人:Kiki
电话:027-87002838拨打
手机:13212728378 拨打
邮箱:order@enkilife.cn

产品详情:

中文名称:
Abl1 (phospho Tyr204)兔多抗
英文名称:
Abl1 (phospho Tyr204) Rabbit Polyclonal Antibody
品牌:
EnkiLife
产地:
中国
保存条件:
Store at 4°C short term. Aliquot and store at -20°C long term. Avoid freeze/thaw cycles.
产品类别:
抗体
是否进口:
用途:
科研

产品概述

产品名称(Product Name)

Abl1 (phospho Tyr204) Rabbit Polyclonal Antibody

描述(Description)

Rabbit Polyclonal Antibody

宿主(Host)

Rabbit

应用(Application)

WB,IHC-P,IF-P,IF-F,ICC/IF,ELISA

种属反应性(Reactivity)

Human,Mouse,Rat,Monkey

 

产品性能

偶联物(Conjugation)

Unconjugated

修饰(Modification)

Phospho Antibody

同种型(Isotype)

IgG

克隆(Clonality)

Polyclonal

形式(Form)

Liquid

存放说明(Storage)

Store at 4°C short term. Aliquot and store at -20°C long term. Avoid freeze/thaw cycles.

储存溶液(Buffer)

Liquid in PBS containing 50% glycerol, 0.5% BSA and 0.02% New type preservative N.

纯化方式(Purification)

Affinity purification

 

免疫原

基因名(Gene Name)

ABL1

别名(Alternative Names)

ABL1; ABL; JTK7; Tyrosine-protein kinase ABL1; Abelson murine leukemia viral oncogene homolog 1; Abelson tyrosine-protein kinase 1; Proto-oncogene c-Abl; p150

基因ID(Gene ID)

25

蛋白ID(SwissProt ID)

P00519

 

产品应用

稀释比(Dilution Ratio)

WB 1:500-1:2000, IHC-P 1:100-1:300, ELISA 1:5000, IF-P/IF-F/ICC/IF 1:50-200

蛋白分子量(Molecular Weight)

125(200kDa BCR-ABL complex)

 

研究背景

This gene is a protooncogene that encodes a protein tyrosine kinase involved in a variety of cellular processes, including cell division, adhesion, differentiation, and response to stress. The activity of the protein is negatively regulated by its SH3 domain, whereby deletion of the region encoding this domain results in an oncogene. The ubiquitously expressed protein has DNA-binding activity that is regulated by CDC2-mediated phosphorylation, suggesting a cell cycle function. This gene has been found fused to a variety of translocation partner genes in various leukemias, most notably the t(9;22) translocation that results in a fusion with the 5' end of the breakpoint cluster region gene (BCR; MIM:151410). Alternative splicing of this gene results in two transcript variants, which contain alternative first exons that are spliced to the remaining common exons. [prcatalytic activity:ATP + a [protein]-L-tyrosine = ADP + a [protein]-L-tyrosine phosphate.,cofactor:Magnesium or manganese.,disease:A chromosomal aberration involving ABL1 is a cause of chronic myeloid leukemia (CML) [MIM:608232]. Translocation t(9;22)(q34;q11) with BCR. The translocation produces a BCR-ABL found also in acute myeloid leukemia (AML) and acute lymphoblastic leukemia (ALL).,enzyme regulation:Stabilized in the inactive form by an association between the SH3 domain and the SH2-TK linker region, interactions of the amino-terminal cap, and contributions from an amino-terminal myristoyl group and phospholipids. Activated by autophosphorylation as well as by SRC-family kinase-mediated phosphorylation. Activated by RIN1 binding to the SH2 and SH3 domains. Inhibited by imatinib mesylate (Gleevec) which is used for the treatment of chronic myeloid leukemia (CML).,function:Regulates cytoskeleton remodeling during cell differentiation, cell division and cell adhesion. Localizes to dynamic actin structures, and phosphorylates CRK and CRKL, DOK1, and other proteins controlling cytoskeleton dynamics. Regulates DNA repair potentially by activating the proapoptotic pathway when the DNA damage is too severe to be repaired.,online information:Abl entry,PTM:Phosphorylated by PRKDC (By similarity). DNA damage-induced activation of c-Abl requires the function of ATM and Ser-446 phosphorylation. Isoform IB is myristoylated on Gly-2. Phosphorylation on Thr-735 is required for binding 14-3-3 proteins for cytoplasmic translocation.,similarity:Belongs to the protein kinase superfamily. Tyr protein kinase family.,similarity:Belongs to the protein kinase superfamily. Tyr protein kinase family. ABL subfamily.,similarity:Contains 1 protein kinase domain.,similarity:Contains 1 SH2 domain.,similarity:Contains 1 SH3 domain.,subcellular location:The myristoylated c-ABL protein is reported to be nuclear. Sequestered into the cytoplasm through interaction with 14-3-3 proteins.,subunit:Interacts with SORBS1 following insulin stimulation. Found in a trimolecular complex containing CDK5 and CABLES1. Interacts with CABLES1 and PSTPIP1. Interacts with ZDHHC16 (By similarity). Interacts with INPPL1/SHIP2. Interacts with the 14-3-3 proteins, YWHAB, YWHAE, YWHAG, YWHAH, SFN AND YWHAZ; the interaction with 14-3-3 proteins requires phosphorylation on Thr-735 and, sequesters ABL1 into the cytoplasm.,tissue specificity:Widely expressed.,

 

研究领域

ErbB_HER;Cell_Cycle_G1S;Cell_Cycle_G2M_DNA;Axon guidance;Neurotrophin;Pathogenic Escherichia coli infection;Pathways in cancer;Chronic myeloid leukemia;Viral myocarditis;

ABL1;Abl1;(phospho;Tyr204);Rabbit;Polyclonal;Antibody;一抗

公司简介

武汉恩玑生命科技有限公司(EnkiLife)是一家深耕生命科学,专注细胞生物学和免疫学科研试剂的研发、生产与销售的生物技术企业,在全球100多个国家和地区开展业务,致力于为科研工作者提供高质量的产品和卓越的客户服务,推动生命科学的发展。 EnkiLife的产品线涵盖细胞系、原代细胞、细胞培养基、血清、细胞检测试剂盒、重组靶点蛋白、细胞因子、重组抗体、ELISA试剂盒、生化试剂盒等,并提供技术服务与定制开发,覆盖了生命科学研究的各大关键领域,包括细胞生物学、癌症、免疫学、神经科学、心血管疾病、干细胞、表观遗传学、内分泌、蛋白质组学、代谢组学等,全方位满足您的实验需求,让您享受科研的乐趣! 公司现已建立四大技术平台: EnCyto?细胞培养及检测平台:拥有细胞系库(500+)、原代细胞库(500+)、基础培养基和完全培养基(1200+) EnkiPro?重组蛋白平台:现货产品2000+,可提供定制化表达服务 EnAb?重组抗体平台:重组兔单抗(3000+),可提供定制化和标记服务 EnKits?试剂盒开发平台:可提供优质的ELISA试剂盒、配套试剂、抗体对、生化试剂盒等相关产品 EnkiLife在生产管理方面引入ISO9001质量管理体系和信息化、自动化的管理工具,拥有高效稳定的交付能力,与全球知名品牌建立了紧密的合作。 EnkiLife始终坚持以技术创新为驱动,以匠心铸就品质,以品质服务客户。 我们期待与更多的全球科研工作者和企业携手合作,共同推动生命科学领域的进步与发展。

成立日期 (2年)
注册资本 271万人民币
员工人数 10-50人
年营业额 ¥ 100万-300万
经营模式 工厂,试剂,定制,服务
主营行业 生化试剂,抗体,细胞培养,癌症研究,细胞生物学

Abl1 (phospho Tyr204)兔多抗相关厂家报价

内容声明
拨打电话 立即询价