基本信息 产品详情 公司简介 推荐产品
网站主页 Akt (phospho Ser124)兔多抗 Akt (phospho Ser124)兔多抗
  • Akt (phospho Ser124) Rabbit Polyclonal Antibody | 兔多抗 | EnkiLife恩玑生命
  • Akt (phospho Ser124) Rabbit Polyclonal Antibody | 兔多抗 | EnkiLife恩玑生命
  • Akt (phospho Ser124) Rabbit Polyclonal Antibody | 兔多抗 | EnkiLife恩玑生命

1/3

Akt (phospho Ser124) Rabbit Polyclonal Antibody | 兔多抗 | EnkiLife恩玑生命

Akt (phospho Ser124) Rabbit Polyclonal Antibody
询价 1支 起订
湖北 更新日期:2026-03-23

武汉恩玑生命科技有限公司

VIP1年
联系人:Kiki
电话:027-87002838拨打
手机:13212728378 拨打
邮箱:order@enkilife.cn

产品详情:

中文名称:
Akt (phospho Ser124)兔多抗
英文名称:
Akt (phospho Ser124) Rabbit Polyclonal Antibody
品牌:
EnkiLife
产地:
中国
保存条件:
Store at 4°C short term. Aliquot and store at -20°C long term. Avoid freeze/thaw cycles.
产品类别:
抗体
是否进口:
用途:
科研

产品概述

产品名称(Product Name)

Akt (phospho Ser124) Rabbit Polyclonal Antibody

描述(Description)

Rabbit Polyclonal Antibody

宿主(Host)

Rabbit

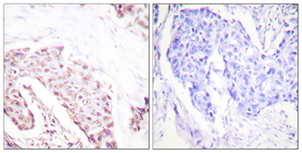
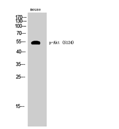
应用(Application)

WB,IHC-P,IF-P,IF-F,ICC/IF,ELISA

种属反应性(Reactivity)

Human,Mouse,Rat

 

产品性能

偶联物(Conjugation)

Unconjugated

修饰(Modification)

Phospho Antibody

同种型(Isotype)

IgG

克隆(Clonality)

Polyclonal

形式(Form)

Liquid

存放说明(Storage)

Store at 4°C short term. Aliquot and store at -20°C long term. Avoid freeze/thaw cycles.

储存溶液(Buffer)

Liquid in PBS containing 50% glycerol, 0.5% BSA and 0.02% New type preservative N.

纯化方式(Purification)

Affinity purification

 

免疫原

基因名(Gene Name)

AKT1/AKT2/AKT3

别名(Alternative Names)

AKT1; PKB; RAC; RAC-alpha serine/threonine-protein kinase; Protein kinase B; PKB; Protein kinase B alpha; PKB alpha; Proto-oncogene c-Akt; RAC-PK-alpha

基因ID(Gene ID)

207

蛋白ID(SwissProt ID)

P31749

 

产品应用

稀释比(Dilution Ratio)

WB 1:500-1:2000, IHC-P 1:100-1:300, ELISA 1:5000, IF-P/IF-F/ICC/IF 1:50-200

蛋白分子量(Molecular Weight)

56kDa

 

研究背景

The serine-threonine protein kinase encoded by the AKT1 gene is catalytically inactive in serum-starved primary and immortalized fibroblasts. AKT1 and the related AKT2 are activated by platelet-derived growth factor. The activation is rapid and specific, and it is abrogated by mutations in the pleckstrin homology domain of AKT1. It was shown that the activation occurs through phosphatidylinositol 3-kinase. In the developing nervous system AKT is a critical mediator of growth factor-induced neuronal survival. Survival factors can suppress apoptosis in a transcription-independent manner by activating the serine/threonine kinase AKT1, which then phosphorylates and inactivates components of the apoptotic machinery. Mutations in this gene have been associated with the Proteus syndrome. Multiple alternatively spliced transcript variants have been found for this gene. [provided by RefSeq, Jul 2011]catalytic activity:ATP + a protein = ADP + a phosphoprotein.,disease:Defects in AKT1 are associated with breast cancer (BC) [MIM:114480]. BC is an extremely common malignancy, affecting one in eight women during their lifetime.,disease:Defects in AKT1 are associated with colorectal cancer (CRC) [MIM:114500].,disease:Defects in AKT1 are associated with susceptibility to ovarian cancer [MIM:604370]; also called susceptibility to familial breast-ovarian cancer type 1 (BROVCA1).,domain:Binding of the PH domain to the phosphatidylinositol 3-kinase alpha (PI(3)K) results in its targeting to the plasma membrane.,domain:The AGC-kinase C-terminal mediates interaction with THEM4.,enzyme regulation:Three specific sites, one in the kinase domain (Thr-308) and the two other ones in the C-terminal regulatory region (Ser-473 and Tyr-474), need to be phosphorylated for its full activation.,function:General protein kinase capable of phosphorylating several known proteins. Phosphorylates TBC1D4. Signals downstream of phosphatidylinositol 3-kinase (PI(3)K) to mediate the effects of various growth factors such as platelet-derived growth factor (PDGF), epidermal growth factor (EGF), insulin and insulin-like growth factor I (IGF-I). Plays a role in glucose transport by mediating insulin-induced translocation of the GLUT4 glucose transporter to the cell surface. Mediates the antiapoptotic effects of IGF-I. Mediates insulin-stimulated protein synthesis, partly by playing a role in both insulin-induced phosphorylation of 4E-BP1 and in insulin-induced activation of p70 S6 kinase. Promotes glycogen synthesis by mediating the insulin-induced activation of glycogen synthase.,PTM:Phosphorylation on Thr-308, Ser-473 and Tyr-474 is required for full activity. Ser-473 phosphorylation by the Rictor-mTor complex favors Thr-308 phosphorylation by PDPK1. Ser-473 phosphorylation is enhanced by interaction with AGAP2 isoform 2 (PIKE-A). Ser-473 phosphorylation is enhanced in focal cortical dysplasias with Taylor-type balloon cells.,similarity:Belongs to the protein kinase superfamily.,similarity:Belongs to the protein kinase superfamily. AGC Ser/Thr protein kinase family. RAC subfamily.,similarity:Contains 1 AGC-kinase C-terminal domain.,similarity:Contains 1 PH domain.,similarity:Contains 1 protein kinase domain.,subcellular location:Nucleus after activation by integrin-linked protein kinase 1 (ILK1). Nuclear translocation is enhanced by interaction with TCL1A.,subunit:Interacts with AGAP2 isoform 2 (PIKE-A) in the presence of guanine nucleotides. The C-terminus interacts with CCDC88A/GRDN and THEM4. Interacts with AKTIP. Interacts (via PH domain) with MTCP1, TCL1A AND TCL1B. Interacts with CDKN1B; the interaction phosphorylates CDKN1B promoting 14-3-3 binding and cell-cycle progression.,tissue specificity:In all human cell types so far analyzed.,

 

研究领域

Regulation_Microtubule; T_Cell_Receptor; Regulates Angiogenesis; SAPK_JNK; Stem cell pathway; Insulin Receptor; Toll_Like; ErbB/HER; AMPK; MAPK_ERK_Growth;MAPK_G_Protein; B_Cell_Antigen; Adherens_Junction; PI3K/Akt; mTOR

AKT1/AKT2/AKT3;Akt;(phospho;Ser124);Rabbit;Polyclonal;Antibody;一抗

公司简介

武汉恩玑生命科技有限公司(EnkiLife)是一家深耕生命科学,专注细胞生物学和免疫学科研试剂的研发、生产与销售的生物技术企业,在全球100多个国家和地区开展业务,致力于为科研工作者提供高质量的产品和卓越的客户服务,推动生命科学的发展。 EnkiLife的产品线涵盖细胞系、原代细胞、细胞培养基、血清、细胞检测试剂盒、重组靶点蛋白、细胞因子、重组抗体、ELISA试剂盒、生化试剂盒等,并提供技术服务与定制开发,覆盖了生命科学研究的各大关键领域,包括细胞生物学、癌症、免疫学、神经科学、心血管疾病、干细胞、表观遗传学、内分泌、蛋白质组学、代谢组学等,全方位满足您的实验需求,让您享受科研的乐趣! 公司现已建立四大技术平台: EnCyto?细胞培养及检测平台:拥有细胞系库(500+)、原代细胞库(500+)、基础培养基和完全培养基(1200+) EnkiPro?重组蛋白平台:现货产品2000+,可提供定制化表达服务 EnAb?重组抗体平台:重组兔单抗(3000+),可提供定制化和标记服务 EnKits?试剂盒开发平台:可提供优质的ELISA试剂盒、配套试剂、抗体对、生化试剂盒等相关产品 EnkiLife在生产管理方面引入ISO9001质量管理体系和信息化、自动化的管理工具,拥有高效稳定的交付能力,与全球知名品牌建立了紧密的合作。 EnkiLife始终坚持以技术创新为驱动,以匠心铸就品质,以品质服务客户。 我们期待与更多的全球科研工作者和企业携手合作,共同推动生命科学领域的进步与发展。

成立日期 (2年)
注册资本 271万人民币
员工人数 10-50人
年营业额 ¥ 100万-300万
经营模式 工厂,试剂,定制,服务
主营行业 生化试剂,抗体,细胞培养,癌症研究,细胞生物学

Akt (phospho Ser124)兔多抗相关厂家报价

内容声明
拨打电话 立即询价