基本信息 产品详情 公司简介 推荐产品
网站主页 CRMP-2 (phospho Thr509)兔多抗 CRMP-2 (phospho Thr509)兔多抗
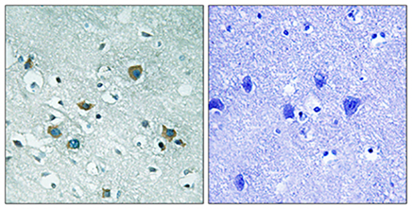
  • CRMP-2 (phospho Thr509) Rabbit Polyclonal Antibody | 兔多抗 | EnkiLife恩玑生命
  • CRMP-2 (phospho Thr509) Rabbit Polyclonal Antibody | 兔多抗 | EnkiLife恩玑生命
  • CRMP-2 (phospho Thr509) Rabbit Polyclonal Antibody | 兔多抗 | EnkiLife恩玑生命

1/3

CRMP-2 (phospho Thr509) Rabbit Polyclonal Antibody | 兔多抗 | EnkiLife恩玑生命

CRMP-2 (phospho Thr509) Rabbit Polyclonal Antibody
询价 1支 起订
湖北 更新日期:2026-03-23

武汉恩玑生命科技有限公司

VIP1年
联系人:Kiki
电话:027-87002838拨打
手机:13212728378 拨打
邮箱:order@enkilife.cn

产品详情:

中文名称:
CRMP-2 (phospho Thr509)兔多抗
英文名称:
CRMP-2 (phospho Thr509) Rabbit Polyclonal Antibody
品牌:
EnkiLife
产地:
中国
保存条件:
Store at 4°C short term. Aliquot and store at -20°C long term. Avoid freeze/thaw cycles.
产品类别:
抗体
是否进口:
用途:
科研

产品概述

产品名称(Product Name)

CRMP-2 (phospho Thr509) Rabbit Polyclonal Antibody

描述(Description)

Rabbit Polyclonal Antibody

宿主(Host)

Rabbit

应用(Application)

WB,IHC-P,IF-P,IF-F,ICC/IF,ELISA

种属反应性(Reactivity)

Human,Mouse,Rat

 

产品性能

偶联物(Conjugation)

Unconjugated

修饰(Modification)

Phospho Antibody

同种型(Isotype)

IgG

克隆(Clonality)

Polyclonal

形式(Form)

Liquid

存放说明(Storage)

Store at 4°C short term. Aliquot and store at -20°C long term. Avoid freeze/thaw cycles.

储存溶液(Buffer)

Liquid in PBS containing 50% glycerol, 0.5% BSA and 0.02% New type preservative N.

纯化方式(Purification)

Affinity purification

 

免疫原

基因名(Gene Name)

DPYSL2

别名(Alternative Names)

DPYSL2; CRMP2; ULIP2; Dihydropyrimidinase-related protein 2; DRP-2; Collapsin response mediator protein 2; CRMP-2; N2A3; Unc-33-like phosphoprotein 2; ULIP-2

基因ID(Gene ID)

1808

蛋白ID(SwissProt ID)

Q16555

 

产品应用

稀释比(Dilution Ratio)

WB 1:500-1:2000, IHC-P 1:100-1:300, ELISA 1:5000, IF-P/IF-F/ICC/IF 1:50-200

蛋白分子量(Molecular Weight)

50kDa

 

研究背景

This gene encodes a member of the collapsin response mediator protein family. Collapsin response mediator proteins form homo- and hetero-tetramers and facilitate neuron guidance, growth and polarity. The encoded protein promotes microtubule assembly and is required for Sema3A-mediated growth cone collapse, and also plays a role in synaptic signaling through interactions with calcium channels. This gene has been implicated in multiple neurological disorders, and hyperphosphorylation of the encoded protein may play a key role in the development of Alzheimer's disease. Alternatively spliced transcript variants encoding multiple isoforms have been observed for this gene. [provided by RefSeq, Sep 2011],function:Necessary for signaling by class 3 semaphorins and subsequent remodeling of the cytoskeleton. Plays a role in axon guidance, neuronal growth cone collapse and cell migration.,PTM:3F4, a monoclonal antibody which strongly stains neurofibrillary tangles in Alzheimer disease brains, specifically labels DPYSL2 when phosphorylated on Ser-518, Ser-522 and Thr-509.,similarity:Belongs to the DHOase family. Hydantoinase/dihydropyrimidinase subfamily.,subunit:Homotetramer, and heterotetramer with CRMP1, DPYSL3, DPYSL4 or DPYSL5 (By similarity). Interacts through its C-terminus with the C-terminus of CYFIP1/SRA1. Interacts with HTR4.,tissue specificity:Ubiquitous.,

 

研究领域

Axon guidance;

DPYSL2;CRMP-2;(phospho;Thr509);Rabbit;Polyclonal;Antibody;一抗

公司简介

武汉恩玑生命科技有限公司(EnkiLife)是一家深耕生命科学,专注细胞生物学和免疫学科研试剂的研发、生产与销售的生物技术企业,在全球100多个国家和地区开展业务,致力于为科研工作者提供高质量的产品和卓越的客户服务,推动生命科学的发展。 EnkiLife的产品线涵盖细胞系、原代细胞、细胞培养基、血清、细胞检测试剂盒、重组靶点蛋白、细胞因子、重组抗体、ELISA试剂盒、生化试剂盒等,并提供技术服务与定制开发,覆盖了生命科学研究的各大关键领域,包括细胞生物学、癌症、免疫学、神经科学、心血管疾病、干细胞、表观遗传学、内分泌、蛋白质组学、代谢组学等,全方位满足您的实验需求,让您享受科研的乐趣! 公司现已建立四大技术平台: EnCyto?细胞培养及检测平台:拥有细胞系库(500+)、原代细胞库(500+)、基础培养基和完全培养基(1200+) EnkiPro?重组蛋白平台:现货产品2000+,可提供定制化表达服务 EnAb?重组抗体平台:重组兔单抗(3000+),可提供定制化和标记服务 EnKits?试剂盒开发平台:可提供优质的ELISA试剂盒、配套试剂、抗体对、生化试剂盒等相关产品 EnkiLife在生产管理方面引入ISO9001质量管理体系和信息化、自动化的管理工具,拥有高效稳定的交付能力,与全球知名品牌建立了紧密的合作。 EnkiLife始终坚持以技术创新为驱动,以匠心铸就品质,以品质服务客户。 我们期待与更多的全球科研工作者和企业携手合作,共同推动生命科学领域的进步与发展。

成立日期 (2年)
注册资本 271万人民币
员工人数 10-50人
年营业额 ¥ 100万-300万
经营模式 工厂,试剂,定制,服务
主营行业 生化试剂,抗体,细胞培养,癌症研究,细胞生物学

CRMP-2 (phospho Thr509)兔多抗相关厂家报价

内容声明
拨打电话 立即询价