基本信息 产品详情 公司简介 推荐产品
网站主页 FRS2 (phospho Tyr436)兔多抗 FRS2 (phospho Tyr436)兔多抗
  • FRS2 (phospho Tyr436) Rabbit Polyclonal Antibody | 兔多抗 | EnkiLife恩玑生命
  • FRS2 (phospho Tyr436) Rabbit Polyclonal Antibody | 兔多抗 | EnkiLife恩玑生命
  • FRS2 (phospho Tyr436) Rabbit Polyclonal Antibody | 兔多抗 | EnkiLife恩玑生命

1/3

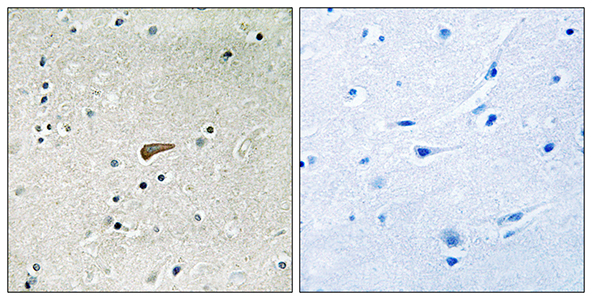
FRS2 (phospho Tyr436) Rabbit Polyclonal Antibody | 兔多抗 | EnkiLife恩玑生命

FRS2 (phospho Tyr436) Rabbit Polyclonal Antibody
询价 1支 起订
湖北 更新日期:2026-03-23

武汉恩玑生命科技有限公司

VIP1年
联系人:Kiki
电话:027-87002838拨打
手机:13212728378 拨打
邮箱:order@enkilife.cn

产品详情:

中文名称:
FRS2 (phospho Tyr436)兔多抗
英文名称:
FRS2 (phospho Tyr436) Rabbit Polyclonal Antibody
品牌:
EnkiLife
产地:
中国
保存条件:
Store at 4°C short term. Aliquot and store at -20°C long term. Avoid freeze/thaw cycles.
产品类别:
抗体
用途:
科研
是否进口:

产品概述

产品名称(Product Name)

FRS2 (phospho Tyr436) Rabbit Polyclonal Antibody

描述(Description)

Rabbit Polyclonal Antibody

宿主(Host)

Rabbit

应用(Application)

WB,IHC-P,IF-P,IF-F,ICC/IF,ELISA

种属反应性(Reactivity)

Human,Mouse,Monkey

 

产品性能

偶联物(Conjugation)

Unconjugated

修饰(Modification)

Phospho Antibody

同种型(Isotype)

IgG

克隆(Clonality)

Polyclonal

形式(Form)

Liquid

存放说明(Storage)

Store at 4°C short term. Aliquot and store at -20°C long term. Avoid freeze/thaw cycles.

储存溶液(Buffer)

Liquid in PBS containing 50% glycerol, 0.5% BSA and 0.02% New type preservative N.

纯化方式(Purification)

Affinity purification

 

免疫原

基因名(Gene Name)

FRS2

别名(Alternative Names)

FRS2; Fibroblast growth factor receptor substrate 2; FGFR substrate 2; FGFR-signaling adaptor SNT; Suc1-associated neurotrophic factor target 1; SNT-1

基因ID(Gene ID)

10818

蛋白ID(SwissProt ID)

Q8WU20

 

产品应用

稀释比(Dilution Ratio)

WB 1:500-1:2000, IHC-P 1:100-1:300, ELISA 1:10000, IF-P/IF-F/ICC/IF 1:50-200

蛋白分子量(Molecular Weight)

65kDa

 

研究背景

function:Adapter protein that links FGR and NGF receptors to downstream signaling pathways. Involved in the activation of MAP kinases. Modulates signaling via SHC1 by competing for a common binding site on NTRK1.,PTM:Phosphorylated on tyrosine residues upon stimulation by NGF.,PTM:Ubiquitinated when tyrosine phosphorylated and in a complex with GRB2. The unphosphorylated form is not subject to ubiquitination.,sequence caution:Translated as stop.,similarity:Contains 1 IRS-type PTB domain.,subcellular location:Cytoplasmic, membrane-bound.,subunit:Part of a complex containing FRS2, GRB2 and SOS1. Part of a complex containing GRB2 and CBL. Binds RET (By similarity). Binds FGFR1, SUC1, NTRK1, NTRK2, NTRK3 and SRC. The tyrosine-phosphorylated protein binds the SH2 domains of GRB2 and PTPN11.,tissue specificity:Highly expressed in heart, brain, spleen, lung, liver, skeletal muscle, kidney and testis.,function:Adapter protein that links FGR and NGF receptors to downstream signaling pathways. Involved in the activation of MAP kinases. Modulates signaling via SHC1 by competing for a common binding site on NTRK1.,PTM:Phosphorylated on tyrosine residues upon stimulation by NGF.,PTM:Ubiquitinated when tyrosine phosphorylated and in a complex with GRB2. The unphosphorylated form is not subject to ubiquitination.,sequence caution:Translated as stop.,similarity:Contains 1 IRS-type PTB domain.,subcellular location:Cytoplasmic, membrane-bound.,subunit:Part of a complex containing FRS2, GRB2 and SOS1. Part of a complex containing GRB2 and CBL. Binds RET (By similarity). Binds FGFR1, SUC1, NTRK1, NTRK2, NTRK3 and SRC. The tyrosine-phosphorylated protein binds the SH2 domains of GRB2 and PTPN11.,tissue specificity:Highly expressed in heart, brain, spleen, lung, liver, skeletal muscle, kidney and testis.,

 

研究领域

Neurotrophin;

FRS2;FRS2;(phospho;Tyr436);Rabbit;Polyclonal;Antibody;一抗

公司简介

武汉恩玑生命科技有限公司(EnkiLife)是一家深耕生命科学,专注细胞生物学和免疫学科研试剂的研发、生产与销售的生物技术企业,在全球100多个国家和地区开展业务,致力于为科研工作者提供高质量的产品和卓越的客户服务,推动生命科学的发展。 EnkiLife的产品线涵盖细胞系、原代细胞、细胞培养基、血清、细胞检测试剂盒、重组靶点蛋白、细胞因子、重组抗体、ELISA试剂盒、生化试剂盒等,并提供技术服务与定制开发,覆盖了生命科学研究的各大关键领域,包括细胞生物学、癌症、免疫学、神经科学、心血管疾病、干细胞、表观遗传学、内分泌、蛋白质组学、代谢组学等,全方位满足您的实验需求,让您享受科研的乐趣! 公司现已建立四大技术平台: EnCyto?细胞培养及检测平台:拥有细胞系库(500+)、原代细胞库(500+)、基础培养基和完全培养基(1200+) EnkiPro?重组蛋白平台:现货产品2000+,可提供定制化表达服务 EnAb?重组抗体平台:重组兔单抗(3000+),可提供定制化和标记服务 EnKits?试剂盒开发平台:可提供优质的ELISA试剂盒、配套试剂、抗体对、生化试剂盒等相关产品 EnkiLife在生产管理方面引入ISO9001质量管理体系和信息化、自动化的管理工具,拥有高效稳定的交付能力,与全球知名品牌建立了紧密的合作。 EnkiLife始终坚持以技术创新为驱动,以匠心铸就品质,以品质服务客户。 我们期待与更多的全球科研工作者和企业携手合作,共同推动生命科学领域的进步与发展。

成立日期 (2年)
注册资本 271万人民币
员工人数 10-50人
年营业额 ¥ 100万-300万
经营模式 工厂,试剂,定制,服务
主营行业 生化试剂,抗体,细胞培养,癌症研究,细胞生物学

FRS2 (phospho Tyr436)兔多抗相关厂家报价

内容声明
拨打电话 立即询价