基本信息 产品详情 公司简介 推荐产品
网站主页 GR (phospho Ser211)兔多抗 GR (phospho Ser211)兔多抗
  • GR (phospho Ser211) Rabbit Polyclonal Antibody | 兔多抗 | EnkiLife恩玑生命
  • GR (phospho Ser211) Rabbit Polyclonal Antibody | 兔多抗 | EnkiLife恩玑生命

1/2

GR (phospho Ser211) Rabbit Polyclonal Antibody | 兔多抗 | EnkiLife恩玑生命

GR (phospho Ser211) Rabbit Polyclonal Antibody
询价 1支 起订
湖北 更新日期:2026-03-23

武汉恩玑生命科技有限公司

VIP1年
联系人:Kiki
电话:027-87002838拨打
手机:13212728378 拨打
邮箱:order@enkilife.cn

产品详情:

中文名称:
GR (phospho Ser211)兔多抗
英文名称:
GR (phospho Ser211) Rabbit Polyclonal Antibody
品牌:
EnkiLife
产地:
中国
保存条件:
Store at 4°C short term. Aliquot and store at -20°C long term. Avoid freeze/thaw cycles.
产品类别:
抗体
用途:
科研
是否进口:

产品概述

产品名称(Product Name)

GR (phospho Ser211) Rabbit Polyclonal Antibody

描述(Description)

Rabbit Polyclonal Antibody

宿主(Host)

Rabbit

应用(Application)

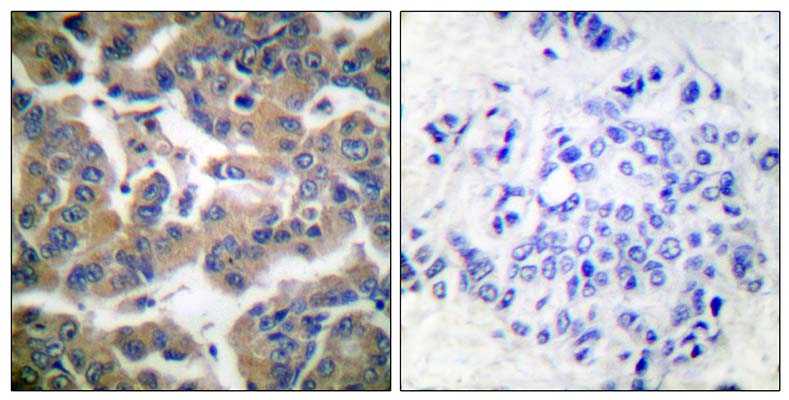
WB,IHC-P,IF-P,IF-F,ICC/IF,ELISA

种属反应性(Reactivity)

Human,Mouse,Rat

 

产品性能

偶联物(Conjugation)

Unconjugated

修饰(Modification)

Phospho Antibody

同种型(Isotype)

IgG

克隆(Clonality)

Polyclonal

形式(Form)

Liquid

存放说明(Storage)

Store at 4°C short term. Aliquot and store at -20°C long term. Avoid freeze/thaw cycles.

储存溶液(Buffer)

Liquid in PBS containing 50% glycerol, 0.5% BSA and 0.02% New type preservative N.

纯化方式(Purification)

Affinity purification

 

免疫原

基因名(Gene Name)

NR3C1

别名(Alternative Names)

NR3C1; GRL; Glucocorticoid receptor; GR; Nuclear receptor subfamily 3 group C member 1

基因ID(Gene ID)

2908

蛋白ID(SwissProt ID)

P04150

 

产品应用

稀释比(Dilution Ratio)

WB 1:500-1:2000, IHC-P 1:100-1:300, ELISA 1:5000, IF-P/IF-F/ICC/IF 1:50-200

蛋白分子量(Molecular Weight)

95kDa

 

研究背景

This gene encodes glucocorticoid receptor, which can function both as a transcription factor that binds to glucocorticoid response elements in the promoters of glucocorticoid responsive genes to activate their transcription, and as a regulator of other transcription factors. This receptor is typically found in the cytoplasm, but upon ligand binding, is transported into the nucleus. It is involved in inflammatory responses, cellular proliferation, and differentiation in target tissues. Mutations in this gene are associated with generalized glucocorticoid resistance. Alternative splicing of this gene results in transcript variants encoding either the same or different isoforms. Additional isoforms resulting from the use of alternate in-frame translation initiation sites have also been described, and shown to be functional, displaying diverse cytoplasm-to-nucleus trafficking patalternative products:At least 4 isoforms, Alpha (shown here), Alpha-B, Beta and Beta-B, are produced by alternative initiation at Met-1 and Met-27. The existence of isoform Alpha and isoform Alpha-B has been proved by mutagenesis. As the sequence environment of the 2 potential ATG initiator codons is the same for the other altrnatively spliced isoforms, alternative initiation of translation could also occur on these transcripts. Additional isoforms seem to exist,disease:Defects in NR3C1 are a cause of glucocorticoid resistance [MIM:138040]; also known as cortisol resistance. It is a hypertensive, hyperandrogenic disorder characterized by increased serum cortisol concentrations. Inheritance is autosomal dominant.,domain:Composed of three domains: a modulating N-terminal domain, a DNA-binding domain and a C-terminal steroid-binding domain.,function:Receptor for glucocorticoids (GC). Has a dual mode of action: as a transcription factor that binds to glucocorticoid response elements (GRE) and as a modulator of other transcription factors. Affects inflammatory responses, cellular proliferation and differentiation in target tissues. Could act as a coactivator for STAT5-dependent transcription upon growth hormone (GH) stimulation and could reveal an essential role of hepatic GR in the control of body growth. Involved in chromatin remodeling. Plays a significant role in transactivation. Involved in nuclear translocation.,miscellaneous:Can up- or down-modulate aggregation and nuclear localization of expanded polyglutamine polypeptides derived from AR and HD through specific regulation of gene expression. Aggregation and nuclear localization of expanded polyglutamine proteins are regulated cellular processes that can be modulated by this receptor, a well-characterized transcriptional regulator.,miscellaneous:High constitutive expression of isoform beta by neutrophils may provide a mechanism by which these cells escape glucocorticoid-induced cell death. Up-regulation by proinflammatory cytokines such as IL8 further enhances their survival in the presence of glucocorticoids during inflammation.,online information:Glucocorticoid receptor entry,polymorphism:Carriers of the 22-Glu-Lys-23 allele are relatively more resistant to the effects of GCs with respect to the sensitivity of the adrenal feedback mechanism than non-carriers, resulting in a better metabolic health profile. Carriers have a better survival than non-carriers, as well as lower serum CRP levels. The 22-Glu-Lys-23 polymorphism is associated with a sex-specific, beneficial body composition at young-adult age, as well as greater muscle strength in males.,PTM:Increased proteasome-mediated degradation in response to glucocorticoids.,PTM:Phosphorylated in the absence of hormone; becomes hyperphosphorylated in the presence of glucocorticoid. The Ser-203-phosphorylated form is mainly cytoplasmic, and the Ser-211-phosphorylated form is nuclear. Transcriptional activity correlates with the amount of phosphorylation at Ser-211.,PTM:Sumoylated; this reduces transcription transactivation.,PTM:Ubiquitinated; restricts glucocorticoid-mediated transcriptional signaling.,similarity:Belongs to the nuclear hormone receptor family. NR3 subfamily.,similarity:Contains 1 nuclear receptor DNA-binding domain.,subcellular location:Cytoplasmic in the absence of ligand, nuclear after ligand-binding.,subunit:Heteromultimeric cytoplasmic complex with HSP90, HSP70, and FKBP5 or another immunophilin, or the immunophilin homolog PPP5C. Directly interacts with UNC45A. Upon ligand binding FKBP5 dissociates from the complex and FKBP4 takes its place, thereby linking the complex to dynein and mediating transport to the nucleus, where the complex dissociates (By similarity). Binds to DNA as a homodimer, and as a heterodimer with NR3C2 or the retinoid X receptor. Binds STAT5A and STAT5B homodimers and heterodimers. Interacts with NRIP1, POU2F1, POU2F2 and TRIM28. Interacts with NCOA1, NCOA3, SMARCA4, SMARCC1, SMARCD1, and SMARCE1 (By similarity). Interacts with several coactivator complexes, including the SMARCA4 complex, CREBBP/EP300, TADA2L and p160 coactivators such as NCOA2 and NCOA6. Interaction with BAG1 inhibits transactivation. Interacts with HEXIM1, PELP1 and TGFB1I1.,tissue specificity:Widely expressed. In the heart, detected in left and right atria, left and right ventricles, aorta, apex, intraventricular septum, and atrioventricular node as well as whole adult and fetal heart.,

 

研究领域

Neuroactive ligand-receptor interaction;

NR3C1;GR;(phospho;Ser211);Rabbit;Polyclonal;Antibody;一抗

公司简介

武汉恩玑生命科技有限公司(EnkiLife)是一家深耕生命科学,专注细胞生物学和免疫学科研试剂的研发、生产与销售的生物技术企业,在全球100多个国家和地区开展业务,致力于为科研工作者提供高质量的产品和卓越的客户服务,推动生命科学的发展。 EnkiLife的产品线涵盖细胞系、原代细胞、细胞培养基、血清、细胞检测试剂盒、重组靶点蛋白、细胞因子、重组抗体、ELISA试剂盒、生化试剂盒等,并提供技术服务与定制开发,覆盖了生命科学研究的各大关键领域,包括细胞生物学、癌症、免疫学、神经科学、心血管疾病、干细胞、表观遗传学、内分泌、蛋白质组学、代谢组学等,全方位满足您的实验需求,让您享受科研的乐趣! 公司现已建立四大技术平台: EnCyto?细胞培养及检测平台:拥有细胞系库(500+)、原代细胞库(500+)、基础培养基和完全培养基(1200+) EnkiPro?重组蛋白平台:现货产品2000+,可提供定制化表达服务 EnAb?重组抗体平台:重组兔单抗(3000+),可提供定制化和标记服务 EnKits?试剂盒开发平台:可提供优质的ELISA试剂盒、配套试剂、抗体对、生化试剂盒等相关产品 EnkiLife在生产管理方面引入ISO9001质量管理体系和信息化、自动化的管理工具,拥有高效稳定的交付能力,与全球知名品牌建立了紧密的合作。 EnkiLife始终坚持以技术创新为驱动,以匠心铸就品质,以品质服务客户。 我们期待与更多的全球科研工作者和企业携手合作,共同推动生命科学领域的进步与发展。

成立日期 (2年)
注册资本 271万人民币
员工人数 10-50人
年营业额 ¥ 100万-300万
经营模式 工厂,试剂,定制,服务
主营行业 生化试剂,抗体,细胞培养,癌症研究,细胞生物学

GR (phospho Ser211)兔多抗相关厂家报价

内容声明
拨打电话 立即询价