基本信息 产品详情 公司简介 推荐产品
网站主页 MEF-2 (phospho Thr312)兔多抗 MEF-2 (phospho Thr312)兔多抗
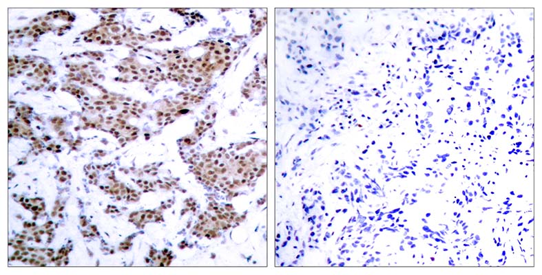
  • MEF-2 (phospho Thr312) Rabbit Polyclonal Antibody | 兔多抗 | EnkiLife恩玑生命
  • MEF-2 (phospho Thr312) Rabbit Polyclonal Antibody | 兔多抗 | EnkiLife恩玑生命

1/2

MEF-2 (phospho Thr312) Rabbit Polyclonal Antibody | 兔多抗 | EnkiLife恩玑生命

MEF-2 (phospho Thr312) Rabbit Polyclonal Antibody
询价 1支 起订
湖北 更新日期:2026-03-23

武汉恩玑生命科技有限公司

VIP1年
联系人:Kiki
电话:027-87002838拨打
手机:13212728378 拨打
邮箱:order@enkilife.cn

产品详情:

中文名称:
MEF-2 (phospho Thr312)兔多抗
英文名称:
MEF-2 (phospho Thr312) Rabbit Polyclonal Antibody
品牌:
EnkiLife
产地:
中国
保存条件:
Store at 4°C short term. Aliquot and store at -20°C long term. Avoid freeze/thaw cycles.
产品类别:
抗体
用途:
科研
是否进口:

产品概述

产品名称(Product Name)

MEF-2 (phospho Thr312) Rabbit Polyclonal Antibody

描述(Description)

Rabbit Polyclonal Antibody

宿主(Host)

Rabbit

应用(Application)

WB,IHC-P,IF-P,IF-F,ICC/IF,IP,ELISA

种属反应性(Reactivity)

Human,Mouse,Rat

 

产品性能

偶联物(Conjugation)

Unconjugated

修饰(Modification)

Phospho Antibody

同种型(Isotype)

IgG

克隆(Clonality)

Polyclonal

形式(Form)

Liquid

存放说明(Storage)

Store at 4°C short term. Aliquot and store at -20°C long term. Avoid freeze/thaw cycles.

储存溶液(Buffer)

Liquid in PBS containing 50% glycerol, 0.5% BSA and 0.02% New type preservative N.

纯化方式(Purification)

Affinity purification

 

免疫原

基因名(Gene Name)

MEF2A

别名(Alternative Names)

MEF2A; MEF2; Myocyte-specific enhancer factor 2A; Serum response factor-like protein 1

基因ID(Gene ID)

4205

蛋白ID(SwissProt ID)

Q02078

 

产品应用

稀释比(Dilution Ratio)

WB 1:500-1:2000, IHC-P 1:100-1:300, Immunoprecipitation 2-5 ug/mg lysate, ELISA 1:20000, IF-P/IF-F/ICC/IF 1:50-200

蛋白分子量(Molecular Weight)

 

研究背景

The protein encoded by this gene is a DNA-binding transcription factor that activates many muscle-specific, growth factor-induced, and stress-induced genes. The encoded protein can act as a homodimer or as a heterodimer and is involved in several cellular processes, including muscle development, neuronal differentiation, cell growth control, and apoptosis. Defects in this gene could be a cause of autosomal dominant coronary artery disease 1 with myocardial infarction (ADCAD1). Several transcript variants encoding different isoforms have been found for this gene.[provided by RefSeq, Jan 2010],disease:Defects in MEF2A might be a cause of autosomal dominant coronary artery disease 1 with myocardial infarction (ADCAD1) [MIM:608320].,function:Transcriptional activator which binds specifically to the MEF2 element, 5'-YTA[AT](4)TAR-3', found in numerous muscle-specific genes. Also involved in the activation of numerous growth factor- and stress-induced genes. Mediates cellular functions not only in skeletal and cardiac muscle development, but also in neuronal differentiation and survival. Plays diverse roles in the control of cell growth, survival and apoptosis via p38 MAPK signaling in muscle-specific and/or growth factor-related transcription. In cerebellar granule neurons, phosphorylated and sumoylated MEF2A represses transcription of NUR77 promoting synaptic differentiation.,PTM:Acetylation on Lys-403 activates transcriptional activity. Acetylated by p300 on several sites in diffentiating myocytes. Acetylation on Lys-4 increases DNA binding and transactivation (By similarity). Hyperacetylation by p300 leads to enhanced cardiac myocyte growth and heart failure.,PTM:Constitutive phosphorylation on Ser-408 promotes Lys-403 sumoylation thus preventing acetylation at this site. Dephosphorylation on Ser-408 by PPP3CA upon neuron depolarization promotes a switch from sumoylation to acetylation on residue Lys-403 leading to inhibition of dendrite claw differentiation. Phosphorylation on Thr-312 and Thr-319 are the main sites involved in p38 MAPK signaling and activate transcription. Phosphorylated on these sites by MAPK14/p38alpha and MAPK11/p38beta, but not by MAPK13/p38delta nor by MAPK12/p38gamma. Phosphorylation on Ser-408 by CDK5 induced by neurotoxicity inhibits MEF2A transciptional activation leading to apoptosis of cortical neurons. Phosphorylation on Thr-312, Thr-319 and Ser-355 can be induced by EGF.,PTM:Proteolytically cleaved in cerebellar granule neurons on several sites by caspase 3 and caspase 7 following neurotoxicity. Preferentially cleaves the CDK5-mediated hyperphosphorylated form which leads to neuron apoptosis and transcriptional inactivation.,PTM:Sumoylation on Lys-403 is enhanced by PIAS1 and represses transcriptional activity. Phosphorylation on Ser-408 is required for sumoylation. Has no effect on nuclear location nor on DNA binding. Sumoylated by SUMO1 and, to a lesser extent by SUMO2 and SUMO3. PIASx facilitates sumoylation in postsynaptic dendrites in the cerebellar cortex and promotes their morphogenesis.,similarity:Belongs to the MEF2 family.,similarity:Contains 1 MADS-box domain.,similarity:Contains 1 Mef2-type DNA-binding domain.,subunit:Binds DNA as a homo- or heterodimer. Dimerizes with MEF2D. Interacts with HDAC7 (By similarity). Interacts with PIAS1; the interaction enhances sumoylation. Interacts with HDAC4, HDAC9 and SLC2A4RG. Interacts (via the N-terminal) with MAPK7; the interaction results in the phosphorylation and transcriptional activity of MEF2A.,tissue specificity:Isoform MEF2 and isoform MEFA are expressed only in skeletal and cardiac muscle and in the brain while isoform RSRFC4 and isoform RSRFC9 are expressed in all tissues examined.,

 

研究领域

AMPK; Protein_Acetylation

MEF2A;MEF-2;(phospho;Thr312);Rabbit;Polyclonal;Antibody;一抗

公司简介

武汉恩玑生命科技有限公司(EnkiLife)是一家深耕生命科学,专注细胞生物学和免疫学科研试剂的研发、生产与销售的生物技术企业,在全球100多个国家和地区开展业务,致力于为科研工作者提供高质量的产品和卓越的客户服务,推动生命科学的发展。 EnkiLife的产品线涵盖细胞系、原代细胞、细胞培养基、血清、细胞检测试剂盒、重组靶点蛋白、细胞因子、重组抗体、ELISA试剂盒、生化试剂盒等,并提供技术服务与定制开发,覆盖了生命科学研究的各大关键领域,包括细胞生物学、癌症、免疫学、神经科学、心血管疾病、干细胞、表观遗传学、内分泌、蛋白质组学、代谢组学等,全方位满足您的实验需求,让您享受科研的乐趣! 公司现已建立四大技术平台: EnCyto?细胞培养及检测平台:拥有细胞系库(500+)、原代细胞库(500+)、基础培养基和完全培养基(1200+) EnkiPro?重组蛋白平台:现货产品2000+,可提供定制化表达服务 EnAb?重组抗体平台:重组兔单抗(3000+),可提供定制化和标记服务 EnKits?试剂盒开发平台:可提供优质的ELISA试剂盒、配套试剂、抗体对、生化试剂盒等相关产品 EnkiLife在生产管理方面引入ISO9001质量管理体系和信息化、自动化的管理工具,拥有高效稳定的交付能力,与全球知名品牌建立了紧密的合作。 EnkiLife始终坚持以技术创新为驱动,以匠心铸就品质,以品质服务客户。 我们期待与更多的全球科研工作者和企业携手合作,共同推动生命科学领域的进步与发展。

成立日期 (2年)
注册资本 271万人民币
员工人数 10-50人
年营业额 ¥ 100万-300万
经营模式 工厂,试剂,定制,服务
主营行业 生化试剂,抗体,细胞培养,癌症研究,细胞生物学

MEF-2 (phospho Thr312)兔多抗相关厂家报价

内容声明
拨打电话 立即询价