基本信息 产品详情 公司简介 推荐产品
网站主页 化工产品目录 生物化工 抗体 一抗 p53 (phospho Ser366)兔多抗 p53(Phospho-Ser366)兔多抗
  • p53(Phospho-Ser366) Rabbit Polyclonal Antibody | 兔多抗 | EnkiLife恩玑生命

p53(Phospho-Ser366) Rabbit Polyclonal Antibody | 兔多抗 | EnkiLife恩玑生命

p53(Phospho-Ser366) Rabbit Polyclonal Antibody
询价 1支 起订
湖北 更新日期:2026-03-23

武汉恩玑生命科技有限公司

VIP1年
联系人:Kiki
电话:027-87002838拨打
手机:13212728378 拨打
邮箱:order@enkilife.cn

产品详情:

中文名称:
p53(Phospho-Ser366)兔多抗
英文名称:
p53(Phospho-Ser366) Rabbit Polyclonal Antibody
品牌:
EnkiLife
产地:
中国
保存条件:
Store at 4°C short term. Aliquot and store at -20°C long term. Avoid freeze/thaw cycles.
产品类别:
抗体
用途:
科研
是否进口:

产品概述

产品名称(Product Name)

p53(Phospho-Ser366) Rabbit Polyclonal Antibody

描述(Description)

Rabbit Polyclonal Antibody

宿主(Host)

Rabbit

应用(Application)

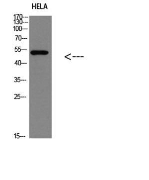
WB,ELISA

种属反应性(Reactivity)

Human,Rat,Mouse

 

产品性能

偶联物(Conjugation)

Unconjugated

修饰(Modification)

Phospho Antibody

同种型(Isotype)

IgG

克隆(Clonality)

Polyclonal

形式(Form)

Liquid

存放说明(Storage)

Store at 4°C short term. Aliquot and store at -20°C long term. Avoid freeze/thaw cycles.

储存溶液(Buffer)

Liquid in PBS containing 50% glycerol, 0.5% BSA and 0.02% New type preservative N.

纯化方式(Purification)

Affinity purification

 

免疫原

基因名(Gene Name)

TP53 P53

别名(Alternative Names)

Cellular tumor antigen p53 (Antigen NY-CO-13) (Phosphoprotein p53) (Tumor suppressor p53)

基因ID(Gene ID)

7157

蛋白ID(SwissProt ID)

P04637

 

产品应用

稀释比(Dilution Ratio)

WB 1:500-2000, ELISA 1:10000-20000

蛋白分子量(Molecular Weight)

53kDa

 

研究背景

tumor protein p53(TP53) Homo sapiens This gene encodes a tumor suppressor protein containing transcriptional activation, DNA binding, and oligomerization domains. The encoded protein responds to diverse cellular stresses to regulate expression of target genes, thereby inducing cell cycle arrest, apoptosis, senescence, DNA repair, or changes in metabolism. Mutations in this gene are associated with a variety of human cancers, including hereditary cancers such as Li-Fraumeni syndrome. Alternative splicing of this gene and the use of alternate promoters result in multiple transcript variants and isoforms. Additional isoforms have also been shown to result from the use of alternate translation initiation codons (PMIDs: 12032546, 20937277). [provided by RefSeq, Feb 2013],cofactor:Binds 1 zinc ion per subunit.,disease:Defects in TP53 are a cause of choroid plexus papilloma [MIM:260500]. Choroid plexus papilloma is a slow-growing benign tumor of the choroid plexus that often invades the leptomeninges. In children it is usually in a lateral ventricle but in adults it is more often in the fourth ventricle. Hydrocephalus is common, either from obstruction or from tumor secretion of cerebrospinal fluid. If it undergoes malignant transformation it is called a choroid plexus carcinoma. Primary choroid plexus tumors are rare and usually occur in early childhood.,disease:Defects in TP53 are a cause of Li-Fraumeni syndrome (LFS) [MIM:151623]. LFS is an autosomal dominant familial cancer syndrome that in its classic form is defined by the existence of a proband affected by a sarcoma before 45 years with a first degree relative affected by any tumor before 45 years and another first degree relative with any tumor before 45 years or a sarcoma at any age. Other clinical definitions for LFS have been proposed (PubMed:8118819 and PubMed:8718514) and called Li-Fraumeni like syndrome (LFL). In these families affected relatives develop a diverse set of malignancies at unusually early ages. Four types of cancers account for 80% of tumors occurring in TP53 germline mutation carriers: breast cancers, soft tissue and bone sarcomas, brain tumors (astrocytomas) and adrenocortical carcinomas. Less frequent tumors include choroid plexus carcinoma or papilloma before the age of 15, rhabdomyosarcoma before the age of 5, leukemia, Wilms tumor, malignant phyllodes tumor, colorectal and gastric cancers.,disease:Defects in TP53 are a cause of lung cancer [MIM:211980].,disease:Defects in TP53 are a cause of one form of hereditary adrenocortical carcinoma (ADCC) [MIM:202300]. ADCC is a rare childhood tumor, representing about 0.4% of childhood tumors, with a high incidence of associated tumors. ADCC occurs with increased frequency in patients with the Beckwith-Wiedemann syndrome [MIM:130650] and is a component tumor in Li-Fraumeni syndrome [MIM:151623].,disease:Defects in TP53 are found in Barrett metaplasia; also known as Barrett esophagus. It is a condition in which the normally stratified squamous epithelium of the lower esophagus is replaced by a metaplastic columnar epithelium. The condition develops as a complication in approximately 10% of patients with chronic gastroesophageal reflux disease and predisposes to the development of esophageal adenocarcinoma.,disease:Defects in TP53 are involved in esophageal squamous cell carcinoma (ESCC) [MIM:133239]. ESCC is a tumor of the esophagus.,disease:Defects in TP53 are involved in head and neck squamous cell carcinomas (HNSCC) [MIM:275355].,disease:Defects in TP53 are involved in oral squamous cell carcinoma (OSCC). Cigarette smoke is a prime mutagenic agent in cancer of the aerodigestive tract.,disease:Defects in TP53 may be associated with nasopharyngeal carcinoma [MIM:161550]; also known as nasopharyngeal cancer.,disease:TP53 is found in increased amounts in a wide variety of transformed cells. TP53 is frequently mutated or inactivated in about 60% of cancers.,domain:The nuclear export signal acts as a transcriptional repression domain.,function:Acts as a tumor suppressor in many tumor types; induces growth arrest or apoptosis depending on the physiological circumstances and cell type. Involved in cell cycle regulation as a trans-activator that acts to negatively regulate cell division by controlling a set of genes required for this process. One of the activated genes is an inhibitor of cyclin-dependent kinases. Apoptosis induction seems to be mediated either by stimulation of BAX and FAS antigen expression, or by repression of Bcl-2 expression.,function:Acts as a tumor suppressor in many tumor types; induces growth arrest or apoptosis depending on the physiological circumstances and cell type. Involved in cell cycle regulation as a trans-activator that acts to negatively regulate cell division by controlling a set of genes required for this process. One of the activated genes is an inhibitor of cyclin-dependent kinases. Apoptosis induction seems to be mediated either by stimulation of BAX and FAS antigen expression, or by repression of Bcl-2 expression. Implicated in Notch signaling cross-over.,online information:P53 entry,online information:Somatic and germline TP53 mutations in human cancers,online information:The Singapore human mutation and polymorphism database,PTM:Acetylated. Acetylation of Lys-382 by CREBBP enhances transcriptional activity. Deacetylation of Lys-382 by SIRT1 impairs its ability to induce proapoptotic program and modulate cell senescence.,PTM:Demethylation of di-methylated Lys-370 by KDM1/LSD1 prevents interaction with TP53BP1 and represses TP53-mediated transcriptional activation.,PTM:Dephosphorylated by PP2A. SV40 small T antigen inhibits the dephosphorylation by the AC form of PP2A.,PTM:May be O-glycosylated in the C-terminal basic region. Studied in EB-1 cell line.,PTM:Monomethylated at Lys-372 by SETD7, leading to stabilize it and increase transcriptional activation. Monomethylated at Lys-370 by SMYD2, leading to decrease DNA-binding activity and subsequent transcriptional regulation activity. Lys-372 monomethylation prevents the interaction with SMYD2 and subsequenct monomethylation at Lys-370.,PTM:Phosphorylation on Ser residues mediates transcriptional activation. Phosphorylated by HIPK1 (By similarity). Phosphorylation at Ser-9 by HIPK4 increases repression activity on BIRC5 promoter. Phosphorylated on Thr-18 by VRK1, which may prevent the interaction with MDM2. Phosphorylated on Thr-55 by TAF1, which promotes MDM2-mediated degradation. Phosphorylated on Ser-46 by HIPK2 upon UV irradiation. Phosphorylation on Ser-46 is required for acetylation by CREBBP. Phosphorylated on Ser-392 following UV but not gamma irradiation. Phosphorylated upon DNA damage, probably by ATM or ATR. Phosphorylated on Ser-15 upon ultraviolet irradiation; which is enhanced by interaction with BANP.,PTM:Sumoylated by SUMO1.,PTM:Ubiquitinated by SYVN1, which leads to proteasomal degradation.,similarity:Belongs to the p53 family.,subcellular location:Interaction with BANP promotes nuclear localization.,subunit:Binds DNA as a homotetramer.,subunit:Interacts with AXIN1. Probably part of a complex consisting of TP53, HIPK2 and AXIN1 (By similarity). Binds DNA as a homotetramer. Interacts with histone acetyltransferases EP300 and methyltransferases HRMT1L2 and CARM1, and recruits them to promoters. In vitro, the interaction of TP53 with cancer-associated/HPV (E6) viral proteins leads to ubiquitination and degradation of TP53 giving a possible model for cell growth regulation. This complex formation requires an additional factor, E6-AP, which stably associates with TP53 in the presence of E6. Interacts (via C-terminus) with TAF1; when TAF1 is part of the TFIID complex. Interacts with ING4; this interaction may be indirect. Found in a complex with CABLES1 and TP73. Interacts with HIPK1, HIPK2, and P53DINP1. Interacts with WWOX. May interact with HCV core protein. Interacts with USP7 and SYVN1. Interacts with HSP90AB1. Interacts with CHD8; leading to recruit histone H1 and prevent transactivation activity (By similarity). Interacts with ARMC10, BANP, CDKN2AIP and E4F1. Interacts with YWHAZ; the interaction enhances P53 transcriptional activity. Phosphorylation of YWHAZ on 'Ser-58' inhibits this interaction. Interacts (via DNA-binding domain) with MAML1 (via N-terminus).,

 

研究领域

MAPK_ERK_Growth;MAPK_G_Protein;Cell_Cycle_G1S;Cell_Cycle_G2M_DNA;p53;Apoptosis_Inhibition;Apoptosis_Mitochondrial;Apoptosis_Overview;WNT;WNT-T CELLNeurotrophin;Amyotrophic lateral sclerosis (ALS);Huntington's disease;Pathways in cancer;Colorectal cancer;Pancreatic cancer;Endometrial cancer;Glioma;Prostate cancer;Thyroid cancer;Basal cell carcinoma;Melanoma;Bladder cancer;Chronic myeloid leukemia;Small cell lung cancer;Non-small cell lung cancer;

TP53 P53;p53(Phospho-Ser366);Rabbit;Polyclonal;Antibody;一抗

公司简介

武汉恩玑生命科技有限公司(EnkiLife)是一家深耕生命科学,专注细胞生物学和免疫学科研试剂的研发、生产与销售的生物技术企业,在全球100多个国家和地区开展业务,致力于为科研工作者提供高质量的产品和卓越的客户服务,推动生命科学的发展。 EnkiLife的产品线涵盖细胞系、原代细胞、细胞培养基、血清、细胞检测试剂盒、重组靶点蛋白、细胞因子、重组抗体、ELISA试剂盒、生化试剂盒等,并提供技术服务与定制开发,覆盖了生命科学研究的各大关键领域,包括细胞生物学、癌症、免疫学、神经科学、心血管疾病、干细胞、表观遗传学、内分泌、蛋白质组学、代谢组学等,全方位满足您的实验需求,让您享受科研的乐趣! 公司现已建立四大技术平台: EnCyto?细胞培养及检测平台:拥有细胞系库(500+)、原代细胞库(500+)、基础培养基和完全培养基(1200+) EnkiPro?重组蛋白平台:现货产品2000+,可提供定制化表达服务 EnAb?重组抗体平台:重组兔单抗(3000+),可提供定制化和标记服务 EnKits?试剂盒开发平台:可提供优质的ELISA试剂盒、配套试剂、抗体对、生化试剂盒等相关产品 EnkiLife在生产管理方面引入ISO9001质量管理体系和信息化、自动化的管理工具,拥有高效稳定的交付能力,与全球知名品牌建立了紧密的合作。 EnkiLife始终坚持以技术创新为驱动,以匠心铸就品质,以品质服务客户。 我们期待与更多的全球科研工作者和企业携手合作,共同推动生命科学领域的进步与发展。

成立日期 (2年)
注册资本 271万人民币
员工人数 10-50人
年营业额 ¥ 100万-300万
经营模式 工厂,试剂,定制,服务
主营行业 生化试剂,抗体,细胞培养,癌症研究,细胞生物学

p53(Phospho-Ser366)兔多抗相关厂家报价

内容声明
拨打电话 立即询价