基本信息 产品详情 公司简介 推荐产品
网站主页 Histone H4 (Acetyl Lys8)兔多抗 Histone H4 (Acetyl Lys8)兔多抗
  • Histone H4 (Acetyl Lys8) Rabbit Polyclonal Antibody | 兔多抗 | EnkiLife恩玑生命
  • Histone H4 (Acetyl Lys8) Rabbit Polyclonal Antibody | 兔多抗 | EnkiLife恩玑生命
  • Histone H4 (Acetyl Lys8) Rabbit Polyclonal Antibody | 兔多抗 | EnkiLife恩玑生命

1/3

Histone H4 (Acetyl Lys8) Rabbit Polyclonal Antibody | 兔多抗 | EnkiLife恩玑生命

Histone H4 (Acetyl Lys8) Rabbit Polyclonal Antibody
询价 1支 起订
湖北 更新日期:2026-03-23

武汉恩玑生命科技有限公司

VIP1年
联系人:Kiki
电话:027-87002838拨打
手机:13212728378 拨打
邮箱:order@enkilife.cn

产品详情:

中文名称:
Histone H4 (Acetyl Lys8)兔多抗
英文名称:
Histone H4 (Acetyl Lys8) Rabbit Polyclonal Antibody
品牌:
EnkiLife
产地:
中国
保存条件:
Store at 4°C short term. Aliquot and store at -20°C long term. Avoid freeze/thaw cycles.
产品类别:
抗体
用途:
科研
是否进口:

产品概述

产品名称(Product Name)

Histone H4 (Acetyl Lys8) Rabbit Polyclonal Antibody

描述(Description)

Rabbit Polyclonal Antibody

宿主(Host)

Rabbit

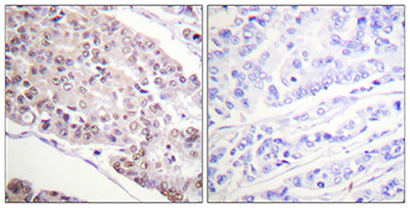
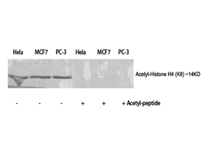
应用(Application)

WB,IHC-P,IF-P,IF-F,ICC/IF,ELISA

种属反应性(Reactivity)

Human,Mouse,Rat,Monkey

 

产品性能

偶联物(Conjugation)

Unconjugated

修饰(Modification)

Acetyl Antibody

同种型(Isotype)

IgG

克隆(Clonality)

Polyclonal

形式(Form)

Liquid

存放说明(Storage)

Store at 4°C short term. Aliquot and store at -20°C long term. Avoid freeze/thaw cycles.

储存溶液(Buffer)

Liquid in PBS containing 50% glycerol, 0.5% BSA and 0.02% New type preservative N.

纯化方式(Purification)

Affinity purification

 

免疫原

基因名(Gene Name)

HIST1H4A

别名(Alternative Names)

HIST1H4A; H4/A; H4FA; HIST1H4B; H4/I; H4FI; HIST1H4C; H4/G; H4FG; HIST1H4D; H4/B; H4FB; HIST1H4E; H4/J; H4FJ; HIST1H4F; H4/C; H4FC; HIST1H4H; H4/H; H4FH; HIST1H4I; H4/M; H4FM; HIST1H4J; H4/E; H4FE; HIST1H4K; H4/D; H4FD; HIST1H4L; H4/K; H4FK;H4K8AC

基因ID(Gene ID)

121504/554313/8294/8359/8360/8361/8362/8363/8364/8365/8366/8367/8368/8370

蛋白ID(SwissProt ID)

P62805

 

产品应用

稀释比(Dilution Ratio)

WB 1:500-1:2000, IHC-P 1:100-1:300, IF-P/IF-F/ICC/IF 1:200-1:1000, ELISA 1:5000.Not yet tested in other applications.

蛋白分子量(Molecular Weight)

11kDa

 

研究背景

Histones are basic nuclear proteins that are responsible for the nucleosome structure of the chromosomal fiber in eukaryotes. Two molecules of each of the four core histones (H2A, H2B, H3, and H4) form an octamer, around which approximately 146 bp of DNA is wrapped in repeating units, called nucleosomes. The linker histone, H1, interacts with linker DNA between nucleosomes and functions in the compaction of chromatin into higher order structures. This gene is intronless and encodes a replication-dependent histone that is a member of the histone H4 family. Transcripts from this gene lack polyA tails but instead contain a palindromic termination element. This gene is found in the histone microcluster on chromosome 6p21.33. [provided by RefSeq, Aug 2015],function:Core component of nucleosome. Nucleosomes wrap and compact DNA into chromatin, limiting DNA accessibility to the cellular machineries which require DNA as a template. Histones thereby play a central role in transcription regulation, DNA repair, DNA replication and chromosomal stability. DNA accessibility is regulated via a complex set of post-translational modifications of histones, also called histone code, and nucleosome remodeling.,PTM:Acetylation at Lys-6, Lys-9, Lys-13 and Lys-17 occurs in coding regions of the genome but not in heterochromatin.,PTM:Citrullination at Arg-4 by PADI4 impairs methylation.,PTM:Monomethylated, dimethylated or trimethylated at Lys-21. Monomethylation is performed by SET8. Trimethylation is performed by SUV420H1 and SUV420H2 and induces gene silencing.,PTM:Monomethylation at Arg-4 by PRMT1 favors acetylation at Lys-9 and Lys-13. Demethylation is performed by JMJD6.,PTM:Sumoylated, which is associated with transcriptional repression.,PTM:Ubiquitinated by the CUL4-DDB-RBX1 complex in response to ultraviolet irradiation. This may weaken the interaction between histones and DNA and facilitate DNA accessibility to repair proteins.,similarity:Belongs to the histone H4 family.,subunit:The nucleosome is a histone octamer containing two molecules each of H2A, H2B, H3 and H4 assembled in one H3-H4 heterotetramer and two H2A-H2B heterodimers. The octamer wraps approximately 147 bp of DNA.,

 

研究领域

Protein_Acetylation

HIST1H4A/HIST1H4B/HIST1H4C/HIST1H4D/HIST1H4E/HIST1H4F/HIST1H4H/HIST1H4I/HIST1H4J/HIST1H4K/HIST1H4L/HIST2H4A/HIST2H4B/HIST4H4;Histone;H4;(Acetyl;Lys8);Rabbit;Polyclonal;Antibody;一抗

公司简介

武汉恩玑生命科技有限公司(EnkiLife)是一家深耕生命科学,专注细胞生物学和免疫学科研试剂的研发、生产与销售的生物技术企业,在全球100多个国家和地区开展业务,致力于为科研工作者提供高质量的产品和卓越的客户服务,推动生命科学的发展。 EnkiLife的产品线涵盖细胞系、原代细胞、细胞培养基、血清、细胞检测试剂盒、重组靶点蛋白、细胞因子、重组抗体、ELISA试剂盒、生化试剂盒等,并提供技术服务与定制开发,覆盖了生命科学研究的各大关键领域,包括细胞生物学、癌症、免疫学、神经科学、心血管疾病、干细胞、表观遗传学、内分泌、蛋白质组学、代谢组学等,全方位满足您的实验需求,让您享受科研的乐趣! 公司现已建立四大技术平台: EnCyto?细胞培养及检测平台:拥有细胞系库(500+)、原代细胞库(500+)、基础培养基和完全培养基(1200+) EnkiPro?重组蛋白平台:现货产品2000+,可提供定制化表达服务 EnAb?重组抗体平台:重组兔单抗(3000+),可提供定制化和标记服务 EnKits?试剂盒开发平台:可提供优质的ELISA试剂盒、配套试剂、抗体对、生化试剂盒等相关产品 EnkiLife在生产管理方面引入ISO9001质量管理体系和信息化、自动化的管理工具,拥有高效稳定的交付能力,与全球知名品牌建立了紧密的合作。 EnkiLife始终坚持以技术创新为驱动,以匠心铸就品质,以品质服务客户。 我们期待与更多的全球科研工作者和企业携手合作,共同推动生命科学领域的进步与发展。

成立日期 (2年)
注册资本 271万人民币
员工人数 10-50人
年营业额 ¥ 100万-300万
经营模式 工厂,试剂,定制,服务
主营行业 生化试剂,抗体,细胞培养,癌症研究,细胞生物学

Histone H4 (Acetyl Lys8)兔多抗相关厂家报价

内容声明
拨打电话 立即询价