基本信息 产品详情 公司简介 推荐产品
网站主页 AR Rabbit Polyclonal Antibody AR兔多抗
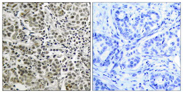
  • AR Rabbit Polyclonal Antibody | 兔多抗 | EnkiLife恩玑生命
  • AR Rabbit Polyclonal Antibody | 兔多抗 | EnkiLife恩玑生命
  • AR Rabbit Polyclonal Antibody | 兔多抗 | EnkiLife恩玑生命

1/3

AR Rabbit Polyclonal Antibody | 兔多抗 | EnkiLife恩玑生命

AR Rabbit Polyclonal Antibody
询价 1支 起订
湖北 更新日期:2026-03-23

武汉恩玑生命科技有限公司

VIP1年
联系人:Kiki
电话:027-87002838拨打
手机:13212728378 拨打
邮箱:order@enkilife.cn

产品详情:

中文名称:
AR兔多抗
英文名称:
AR Rabbit Polyclonal Antibody
品牌:
EnkiLife
产地:
中国
保存条件:
Store at 4°C short term. Aliquot and store at -20°C long term. Avoid freeze/thaw cycles.
产品类别:
抗体
用途:
科研
是否进口:

产品概述

产品名称(Product Name)

AR Rabbit Polyclonal Antibody

描述(Description)

Rabbit Polyclonal Antibody

宿主(Host)

Rabbit

应用(Application)

WB,IHC-P,IF-P,IF-F,ICC/IF,ELISA

种属反应性(Reactivity)

Human,Rat,Mouse

 

产品性能

偶联物(Conjugation)

Unconjugated

修饰(Modification)

Unmodified

同种型(Isotype)

IgG

克隆(Clonality)

Polyclonal

形式(Form)

Liquid

存放说明(Storage)

Store at 4°C short term. Aliquot and store at -20°C long term. Avoid freeze/thaw cycles.

储存溶液(Buffer)

Liquid in PBS containing 50% glycerol, 0.5% BSA and 0.02% New type preservative N.

纯化方式(Purification)

Affinity purification

 

免疫原

基因名(Gene Name)

AR

别名(Alternative Names)

AR; DHTR; NR3C4; Androgen receptor; Dihydrotestosterone receptor; Nuclear receptor subfamily 3 group C member 4

基因ID(Gene ID)

367

蛋白ID(SwissProt ID)

P10275

 

产品应用

稀释比(Dilution Ratio)

WB 1:500-1:2000, IHC-P 1:100-1:300, ELISA 1:40000, IF-P/IF-F/ICC/IF 1:50-200

蛋白分子量(Molecular Weight)

99kDa

 

研究背景

The androgen receptor gene is more than 90 kb long and codes for a protein that has 3 major functional domains: the N-terminal domain, DNA-binding domain, and androgen-binding domain. The protein functions as a steroid-hormone activated transcription factor. Upon binding the hormone ligand, the receptor dissociates from accessory proteins, translocates into the nucleus, dimerizes, and then stimulates transcription of androgen responsive genes. This gene contains 2 polymorphic trinucleotide repeat segments that encode polyglutamine and polyglycine tracts in the N-terminal transactivation domain of its protein. Expansion of the polyglutamine tract from the normal 9-34 repeats to the pathogenic 38-62 repeats causes spinal bulbar muscular atrophy (Kennedy disease). Mutations in this gene are also associated with complete androgen insensitivity (CAIS). Two alternatively spliced variants encoding distinct isoformdisease:Defects in AR are the cause of androgen insensitivity syndrome (AIS) [MIM:300068]; previously known as testicular feminization syndrome (TFM). AIS is an X-linked recessive form of pseudohermaphroditism due end-organ resistance to androgen. Affected males have female external genitalia, female breast development, blind vagina, absent uterus and female adnexa, and abdominal or inguinal testes, despite a normal 46,XY karyotype.,disease:Defects in AR are the cause of androgen insensitivity syndrome partial (PAIS) [MIM:312300]; also known as Reifenstein syndrome. PAIS is characterized by hypospadias, hypogonadism, gynecomastia, genital ambiguity, normal XY karyotype, and a pedigree pattern consistent with X-linked recessive inheritance. Some patients present azoospermia or severe oligospermia without other clinical manifestations.,disease:Defects in AR are the cause of spinal and bulbar muscular atrophy X-linked type 1 (SMAX1) [MIM:313200]; also known as Kennedy disease. SMAX1 is an X-linked recessive form of spinal muscular atrophy. Spinal muscular atrophy refers to a group of neuromuscular disorders characterized by degeneration of the anterior horn cells of the spinal cord, leading to symmetrical muscle weakness and atrophy. SMAX1 occurs only in men. Age at onset is usually in the third to fifth decade of life, but earlier involvement has been reported. It is characterized by slowly progressive limb and bulbar muscle weakness with fasciculations, muscle atrophy, and gynecomastia. The disorder is clinically similar to classic forms of autosomal spinal muscular atrophy. SMAX1 is caused by trinucleotide CAG repeat expansion. In SMAX1 patients the number of Gln ranges from 38 to 62. Longer expansions result in earlier onset and more severe clinical manifestations of the disease.,disease:Defects in AR may play a role in metastatic prostate cancer. The mutated receptor stimulates prostate growth and metastases development despite of androgen ablation. This treatment can reduce primary and metastatic lesions probably by inducing apoptosis of tumor cells when they express the wild-type receptor.,domain:Composed of three domains: a modulating N-terminal domain, a DNA-binding domain and a C-terminal steroid-binding domain. In the presence of bound steroid the ligand-binding domain interacts with the N-terminal modulating domain, and thereby activates AR transcription factor activity. Agonist binding is required for dimerization and binding to target DNA. The transcription factor activity of the complex formed by ligand-activated AR and DNA is modulated by interactions with coactivator and corepressor proteins. Interaction with RANBP9 is mediated by both the N-terminal domain and the DNA-binding domain. Interaction with EFCAB6/DJBP is mediated by the DNA-binding domain.,function:Steroid hormone receptors are ligand-activated transcription factors that regulate eukaryotic gene expression and affect cellular proliferation and differentiation in target tissues. Transcription factor activity is modulated by bound coactivator and corepressor proteins. Transcription activation is down-regulated by NR0B2. Activated, but not phosphorylated, by HIPK3.,miscellaneous:In the absence of ligand, steroid hormone receptors are thought to be weakly associated with nuclear components; hormone binding greatly increases receptor affinity. The hormone-receptor complex appears to recognize discrete DNA sequences upstream of transcriptional start sites.,miscellaneous:The level of tyrosine phosphorylation may serve as a diagnostic tool to predict patient outcome in response to hormone-ablation therapy. Inhibition of tyrosine phosphorylation may be an effective intervention target for hormone-refractory prostate cancer.,miscellaneous:Transcriptional activity is enhanced by binding to RANBP9.,online information:Androgen receptor entry,polymorphism:The poly-Gln region of AR is highly polymorphic and the number of Gln varies in the population (from 17 to 26). A smaller size of the poly-Gln region may be associated with the development of prostate cancer.,polymorphism:The poly-Gly region of AR is polymorphic and ranges from 24 to 31 Gly. A poly-Gly region shorter or equal to 23 may be associated with the development of androgenetic alopecia.,PTM:Phosphorylated in prostate cancer cells in response to several growth factors including EGF. Phosphorylation is induced by c-Src kinase (CSK). Tyr-534 is one of the major phosphorylation sites and an increase in phosphorylation and Src kinase activity is associated with prostate cancer progression.,PTM:Sumoylated on Lys-386 (major) and Lys-520.,similarity:Belongs to the nuclear hormone receptor family.,similarity:Belongs to the nuclear hormone receptor family. NR3 subfamily.,similarity:Contains 1 nuclear receptor DNA-binding domain.,subunit:Binds DNA as a homodimer. Part of a ternary complex containing AR, EFCAB6/DJBP and PARK7. Interacts with HIPK3 and NR0B2 in the presence of androgen. The ligand binding domain interacts with MYST2/HBO1 in the presence of dihydrotestosterone. Interacts with EFCAB6/DJBP, PELP1, PQBP1, RANBP9, RBAK, SPDEF, SRA1, TGFB1I1, ZNF318 and RREB1. Interacts with ZMIZ1/ZIMP10 and ZMIZ2/ZMIP7 which both enhance its transactivation activity. Interacts with SLC30A9 and RAD54L2/ARIP4 (By similarity). Interacts via the ligand-binding domain with LXXLL and FXXLF motifs from NCOA1, NCOA2, NCOA3, NCOA4 and MAGEA11. The AR N-terminal poly-Gln region binds Ran resulting in enhancement of AR-mediated transactivation. Ran-binding decreases as the poly-Gln length increases. Interacts with HIP1 (via coiled coil domain).,tissue specificity:Isoform 2 is mainly expressed in heart and skeletal muscle.,

 

研究领域

Protein_Acetylation

AR;AR;Rabbit;Polyclonal;Antibody;一抗

公司简介

武汉恩玑生命科技有限公司(EnkiLife)是一家深耕生命科学,专注细胞生物学和免疫学科研试剂的研发、生产与销售的生物技术企业,在全球100多个国家和地区开展业务,致力于为科研工作者提供高质量的产品和卓越的客户服务,推动生命科学的发展。 EnkiLife的产品线涵盖细胞系、原代细胞、细胞培养基、血清、细胞检测试剂盒、重组靶点蛋白、细胞因子、重组抗体、ELISA试剂盒、生化试剂盒等,并提供技术服务与定制开发,覆盖了生命科学研究的各大关键领域,包括细胞生物学、癌症、免疫学、神经科学、心血管疾病、干细胞、表观遗传学、内分泌、蛋白质组学、代谢组学等,全方位满足您的实验需求,让您享受科研的乐趣! 公司现已建立四大技术平台: EnCyto?细胞培养及检测平台:拥有细胞系库(500+)、原代细胞库(500+)、基础培养基和完全培养基(1200+) EnkiPro?重组蛋白平台:现货产品2000+,可提供定制化表达服务 EnAb?重组抗体平台:重组兔单抗(3000+),可提供定制化和标记服务 EnKits?试剂盒开发平台:可提供优质的ELISA试剂盒、配套试剂、抗体对、生化试剂盒等相关产品 EnkiLife在生产管理方面引入ISO9001质量管理体系和信息化、自动化的管理工具,拥有高效稳定的交付能力,与全球知名品牌建立了紧密的合作。 EnkiLife始终坚持以技术创新为驱动,以匠心铸就品质,以品质服务客户。 我们期待与更多的全球科研工作者和企业携手合作,共同推动生命科学领域的进步与发展。

成立日期 (2年)
注册资本 271万人民币
员工人数 10-50人
年营业额 ¥ 100万-300万
经营模式 工厂,试剂,定制,服务
主营行业 生化试剂,抗体,细胞培养,癌症研究,细胞生物学

AR兔多抗相关厂家报价

内容声明
拨打电话 立即询价