基本信息 产品详情 公司简介 推荐产品
网站主页 CBP 35兔多抗 CBP 35兔多抗
  • CBP 35 Rabbit Polyclonal Antibody | 兔多抗 | EnkiLife恩玑生命
  • CBP 35 Rabbit Polyclonal Antibody | 兔多抗 | EnkiLife恩玑生命
  • CBP 35 Rabbit Polyclonal Antibody | 兔多抗 | EnkiLife恩玑生命

1/3

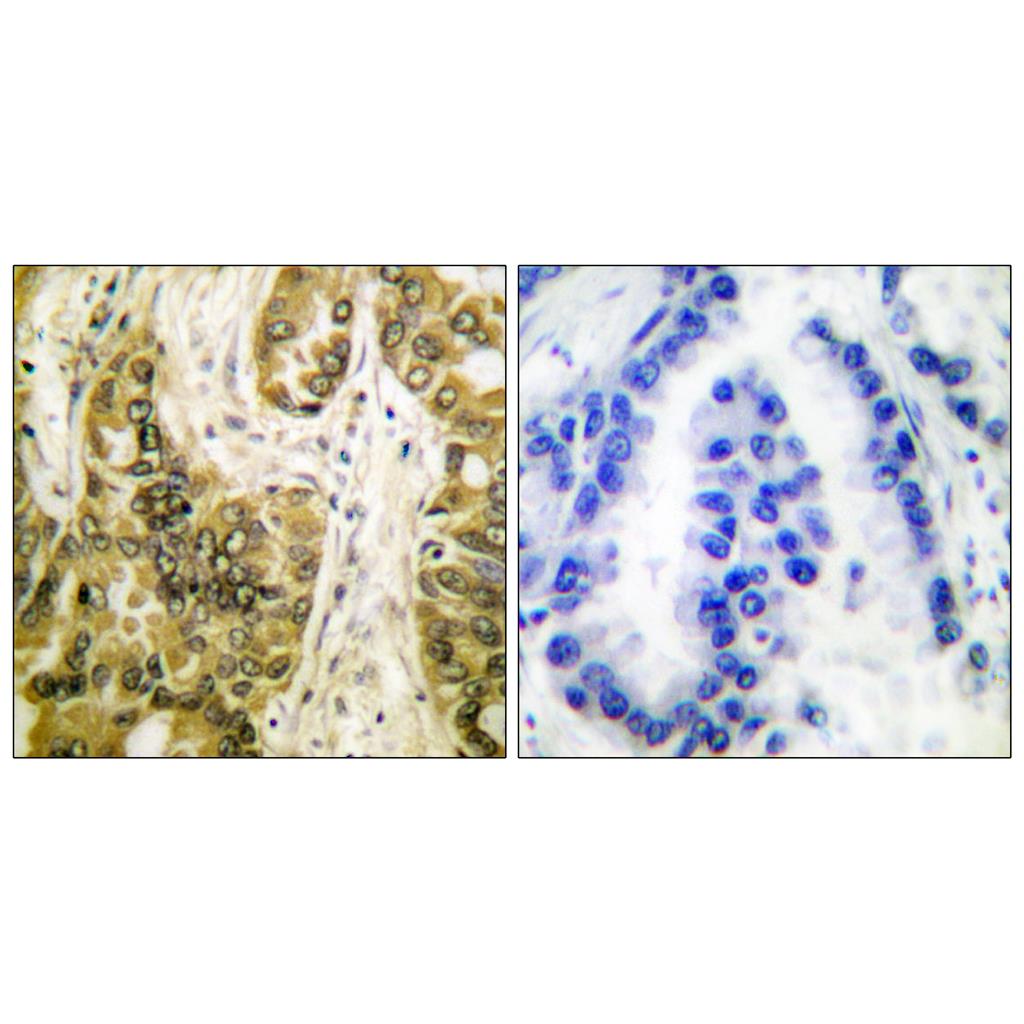
CBP 35 Rabbit Polyclonal Antibody | 兔多抗 | EnkiLife恩玑生命

CBP 35 Rabbit Polyclonal Antibody
询价 1支 起订
湖北 更新日期:2026-03-23

武汉恩玑生命科技有限公司

VIP1年
联系人:Kiki
电话:027-87002838拨打
手机:13212728378 拨打
邮箱:order@enkilife.cn

产品详情:

中文名称:
CBP 35兔多抗
英文名称:
CBP 35 Rabbit Polyclonal Antibody
品牌:
EnkiLife
产地:
中国
保存条件:
Store at 4°C short term. Aliquot and store at -20°C long term. Avoid freeze/thaw cycles.
产品类别:
抗体
是否进口:
用途:
科研

产品概述

产品名称(Product Name)

CBP 35 Rabbit Polyclonal Antibody

描述(Description)

Rabbit Polyclonal Antibody

宿主(Host)

Rabbit

应用(Application)

WB,IHC-P,IF-P,IF-F,ICC/IF,ELISA

种属反应性(Reactivity)

Human,Mouse,Rat

 

产品性能

偶联物(Conjugation)

Unconjugated

修饰(Modification)

Unmodified

同种型(Isotype)

IgG

克隆(Clonality)

Polyclonal

形式(Form)

Liquid

存放说明(Storage)

Store at 4°C short term. Aliquot and store at -20°C long term. Avoid freeze/thaw cycles.

储存溶液(Buffer)

Liquid in PBS containing 50% glycerol, 0.5% BSA and 0.02% New type preservative N.

纯化方式(Purification)

Affinity purification

 

免疫原

基因名(Gene Name)

LGALS3

别名(Alternative Names)

LGALS3; MAC2; Galectin-3; Gal-3; 35 kDa lectin; Carbohydrate-binding protein 35; CBP 35; Galactose-specific lectin 3; Galactoside-binding protein; GALBP; IgE-binding protein; L-31; Laminin-binding protein; Lectin L-29; Mac-2 antigen

基因ID(Gene ID)

3958

蛋白ID(SwissProt ID)

P17931

 

产品应用

稀释比(Dilution Ratio)

WB 1:500-1:2000, IHC-P 1:100-1:300, IF-P/IF-F/ICC/IF 1:200-1:1000, ELISA 1:20000.Not yet tested in other applications.

蛋白分子量(Molecular Weight)

33kDa

 

研究背景

This gene encodes a member of the galectin family of carbohydrate binding proteins. Members of this protein family have an affinity for beta-galactosides. The encoded protein is characterized by an N-terminal proline-rich tandem repeat domain and a single C-terminal carbohydrate recognition domain. This protein can self-associate through the N-terminal domain allowing it to bind to multivalent saccharide ligands. This protein localizes to the extracellular matrix, the cytoplasm and the nucleus. This protein plays a role in numerous cellular functions including apoptosis, innate immunity, cell adhesion and T-cell regulation. The protein exhibits antimicrobial activity against bacteria and fungi. Alternate splicing results in multiple transcript variants.[provided by RefSeq, Oct 2014],function:Galactose-specific lectin which binds IgE. May mediate with the alpha-3, beta-1 integrin the stimulation by CSPG4 of endothelial cells migration. Together with DMBT1, required for terminal differentiation of columnar epithelial cells during early embryogenesis.,online information:Galectin-3,similarity:Contains 1 galectin domain.,subcellular location:Cytoplasmic in adenomas and carcinomas. May be secreted by a non-classical secretory pathway and associate with the cell surface.,subunit:Probably forms homo- or heterodimers. Interacts with DMBT1 (By similarity). Forms a complex with the ITGA3, ITGB1 and CSPG4. Interacts with LGALS3BP, LYPD3, CYHR1 and UACA.,tissue specificity:A major expression is found in the colonic epithelium. It is also abundant in the activated macrophages.,

 

研究领域

LGALS3;CBP;35;Rabbit;Polyclonal;Antibody;一抗

公司简介

武汉恩玑生命科技有限公司(EnkiLife)是一家深耕生命科学,专注细胞生物学和免疫学科研试剂的研发、生产与销售的生物技术企业,在全球100多个国家和地区开展业务,致力于为科研工作者提供高质量的产品和卓越的客户服务,推动生命科学的发展。 EnkiLife的产品线涵盖细胞系、原代细胞、细胞培养基、血清、细胞检测试剂盒、重组靶点蛋白、细胞因子、重组抗体、ELISA试剂盒、生化试剂盒等,并提供技术服务与定制开发,覆盖了生命科学研究的各大关键领域,包括细胞生物学、癌症、免疫学、神经科学、心血管疾病、干细胞、表观遗传学、内分泌、蛋白质组学、代谢组学等,全方位满足您的实验需求,让您享受科研的乐趣! 公司现已建立四大技术平台: EnCyto?细胞培养及检测平台:拥有细胞系库(500+)、原代细胞库(500+)、基础培养基和完全培养基(1200+) EnkiPro?重组蛋白平台:现货产品2000+,可提供定制化表达服务 EnAb?重组抗体平台:重组兔单抗(3000+),可提供定制化和标记服务 EnKits?试剂盒开发平台:可提供优质的ELISA试剂盒、配套试剂、抗体对、生化试剂盒等相关产品 EnkiLife在生产管理方面引入ISO9001质量管理体系和信息化、自动化的管理工具,拥有高效稳定的交付能力,与全球知名品牌建立了紧密的合作。 EnkiLife始终坚持以技术创新为驱动,以匠心铸就品质,以品质服务客户。 我们期待与更多的全球科研工作者和企业携手合作,共同推动生命科学领域的进步与发展。

成立日期 (2年)
注册资本 271万人民币
员工人数 10-50人
年营业额 ¥ 100万-300万
经营模式 工厂,试剂,定制,服务
主营行业 生化试剂,抗体,细胞培养,癌症研究,细胞生物学

CBP 35兔多抗相关厂家报价

内容声明
拨打电话 立即询价