基本信息 产品详情 公司简介 推荐产品
网站主页 Integrin β3兔多抗 Integrin β3兔多抗
  • Integrin β3 Rabbit Polyclonal Antibody | 兔多抗 | EnkiLife恩玑生命

Integrin β3 Rabbit Polyclonal Antibody | 兔多抗 | EnkiLife恩玑生命

Integrin β3 Rabbit Polyclonal Antibody
询价 1支 起订
湖北 更新日期:2026-03-23

武汉恩玑生命科技有限公司

VIP1年
联系人:Kiki
电话:027-87002838拨打
手机:13212728378 拨打
邮箱:order@enkilife.cn

产品详情:

中文名称:
Integrin β3兔多抗
英文名称:
Integrin β3 Rabbit Polyclonal Antibody
品牌:
EnkiLife
产地:
中国
保存条件:
Store at 4°C short term. Aliquot and store at -20°C long term. Avoid freeze/thaw cycles.
产品类别:
抗体
是否进口:
用途:
科研

产品概述

产品名称(Product Name)

Integrin β3 Rabbit Polyclonal Antibody

描述(Description)

Rabbit Polyclonal Antibody

宿主(Host)

Rabbit

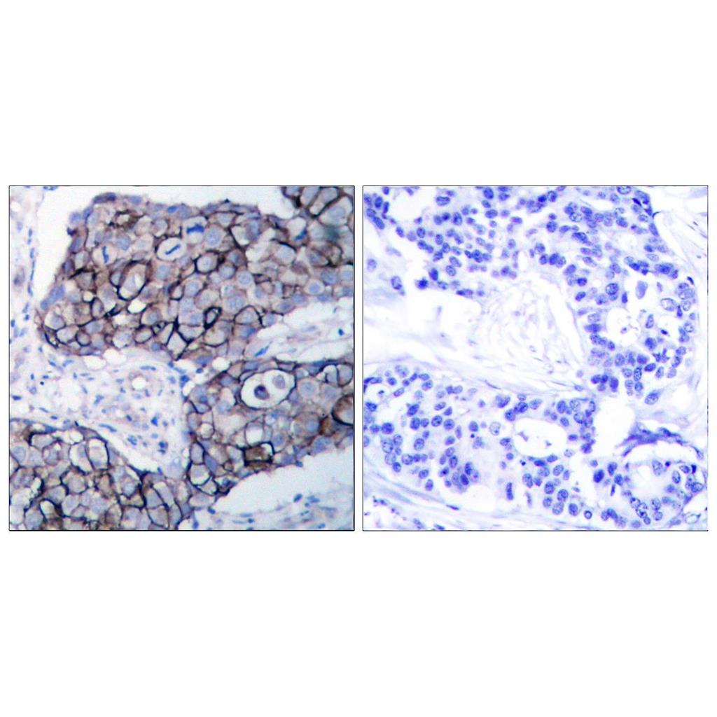
应用(Application)

WB,IHC-P,IF-P,IF-F,ICC/IF,ELISA

种属反应性(Reactivity)

Human,Mouse,Rat

 

产品性能

偶联物(Conjugation)

Unconjugated

修饰(Modification)

Unmodified

同种型(Isotype)

IgG

克隆(Clonality)

Polyclonal

形式(Form)

Liquid

存放说明(Storage)

Store at 4°C short term. Aliquot and store at -20°C long term. Avoid freeze/thaw cycles.

储存溶液(Buffer)

Liquid in PBS containing 50% glycerol, 0.5% BSA and 0.02% New type preservative N.

纯化方式(Purification)

Affinity purification

 

免疫原

基因名(Gene Name)

ITGB3

别名(Alternative Names)

ITGB3; GP3A; Integrin beta-3; Platelet membrane glycoprotein IIIa; GPIIIa; CD antigen CD61

基因ID(Gene ID)

3690

蛋白ID(SwissProt ID)

P05106

 

产品应用

稀释比(Dilution Ratio)

WB 1:500-1:2000, IHC-P 1:100-300, ELISA 1:20000, IF-P/IF-F/ICC/IF 1:100-300, Not yet tested in other applications.

蛋白分子量(Molecular Weight)

110kDa

 

研究背景

The ITGB3 protein product is the integrin beta chain beta 3. Integrins are integral cell-surface proteins composed of an alpha chain and a beta chain. A given chain may combine with multiple partners resulting in different integrins. Integrin beta 3 is found along with the alpha IIb chain in platelets. Integrins are known to participate in cell adhesion as well as cell-surface mediated signalling. [provided by RefSeq, Jul 2008],disease:Defects in ITGB3 are a cause of Glanzmann thrombasthenia (GT) [MIM:273800]; also known as thrombasthenia of Glanzmann and Naegeli. GT is the most common inherited disease of platelets. Its inheritance is autosomal recessive. It is characterized by mucocutaneous bleeding of mild-to-moderate severity and the inability of this integrin to recognize macromolecular or synthetic peptide ligands. GT has been classified clinically into types I and II. In type I, platelets show absence of the glycoprotein IIb-IIIa complexes at their surface and lack fibrinogen and clot retraction capability. In type II, the platelets express the GPIIb-IIIa complex at reduced levels (5-20% controls), have detectable amounts of fibrinogen, and have low or moderate clot retraction capability. The platelets of GT variants have normal or near normal (60-100%) expression of dysfunctional receptors.,function:Integrin alpha-V/beta-3 is a receptor for cytotactin, fibronectin, laminin, matrix metalloproteinase-2, osteopontin, osteomodulin, prothrombin, thrombospondin, vitronectin and von Willebrand factor. Integrin alpha-IIb/beta-3 is a receptor for fibronectin, fibrinogen, plasminogen, prothrombin, thrombospondin and vitronectin. Integrins alpha-IIb/beta-3 and alpha-V/beta-3 recognize the sequence R-G-D in a wide array of ligands. Integrin alpha-IIb/beta-3 recognizes the sequence H-H-L-G-G-G-A-K-Q-A-G-D-V in fibrinogen gamma chain. Following activation integrin alpha-IIb/beta-3 brings about platelet/platelet interaction through binding of soluble fibrinogen. This step leads to rapid platelet aggregation which physically plugs ruptured endothelial surface. In case of HIV-1 infection, the interaction with extracellular viral Tat protein seems to enhance angiogenesis in Kaposi's sarcoma lesions.,online information:The Singapore human mutation and polymorphism database,polymorphism:Position 169 is associated with platelet-specific alloantigen HPA-4 (PEN or YUK). HPA-4A/PEN(A)/YUK(A) has Arg-169 and HPA-4B/PEN(B)/YUK(B) has Gln-169. HPA-4B is involved in neonatal alloimmune thrombocytopenia (NAIT or NATP).,polymorphism:Position 433 is associated with platelet-specific alloantigen MO. MO(-) has Pro-433 and MO(+) has Ala-433. MO(+) is involved in NAIT.,polymorphism:Position 515 is associated with platelet-specific alloantigen CA/TU. CA(-)/TU(-) has Arg-515 and CA(+)/TU(+) has Gln-515. CA(+) is involved in NAIT.,polymorphism:Position 59 is associated with platelet-specific alloantigen HPA-1 (ZW or PL(A)). HPA-1A/ZW(A)/PL(A1) has Leu-59 and HPA-1B/ZW(B)/PL(A2) has Pro-59.,polymorphism:Position 662 is associated with platelet-specific alloantigen SR(A). SR(A)(-) has Arg-662 and SR(A)(+) has Cys-662.,PTM:Phosphorylated on tyrosine residues in response to thrombin-induced platelet aggregation. Probably involved in outside-in signaling. A peptide (AA 740-762) is capable of binding GRB2 only when both Tyr-773 and Tyr-785 are phosphorylated. Phosphorylation of Thr-779 inhibits SHC binding.,similarity:Belongs to the integrin beta chain family.,similarity:Contains 1 VWFA domain.,subunit:Heterodimer of an alpha and a beta subunit. Beta-3 associates with either alpha-IIb or alpha-V. Isoform Beta-3C interacts with FLNB. Interacts with HIV-1 Tat.,tissue specificity:Isoform beta-3A and isoform beta-3C are widely expressed. Isoform beta-3A is specifically expressed in osteoblast cells; isoform beta-3C is specifically expressed in prostate and testis.,

 

研究领域

Focal adhesion;ECM-receptor interaction;Hematopoietic cell lineage;Regulates Actin and Cytoskeleton;Hypertrophic cardiomyopathy (HCM);Arrhythmogenic right ventricular cardiomyopathy (ARVC);Dilated cardiomyopathy;

ITGB3;Integrin;β3;Rabbit;Polyclonal;Antibody;一抗

公司简介

武汉恩玑生命科技有限公司(EnkiLife)是一家深耕生命科学,专注细胞生物学和免疫学科研试剂的研发、生产与销售的生物技术企业,在全球100多个国家和地区开展业务,致力于为科研工作者提供高质量的产品和卓越的客户服务,推动生命科学的发展。 EnkiLife的产品线涵盖细胞系、原代细胞、细胞培养基、血清、细胞检测试剂盒、重组靶点蛋白、细胞因子、重组抗体、ELISA试剂盒、生化试剂盒等,并提供技术服务与定制开发,覆盖了生命科学研究的各大关键领域,包括细胞生物学、癌症、免疫学、神经科学、心血管疾病、干细胞、表观遗传学、内分泌、蛋白质组学、代谢组学等,全方位满足您的实验需求,让您享受科研的乐趣! 公司现已建立四大技术平台: EnCyto?细胞培养及检测平台:拥有细胞系库(500+)、原代细胞库(500+)、基础培养基和完全培养基(1200+) EnkiPro?重组蛋白平台:现货产品2000+,可提供定制化表达服务 EnAb?重组抗体平台:重组兔单抗(3000+),可提供定制化和标记服务 EnKits?试剂盒开发平台:可提供优质的ELISA试剂盒、配套试剂、抗体对、生化试剂盒等相关产品 EnkiLife在生产管理方面引入ISO9001质量管理体系和信息化、自动化的管理工具,拥有高效稳定的交付能力,与全球知名品牌建立了紧密的合作。 EnkiLife始终坚持以技术创新为驱动,以匠心铸就品质,以品质服务客户。 我们期待与更多的全球科研工作者和企业携手合作,共同推动生命科学领域的进步与发展。

成立日期 (2年)
注册资本 271万人民币
员工人数 10-50人
年营业额 ¥ 100万-300万
经营模式 工厂,试剂,定制,服务
主营行业 生化试剂,抗体,细胞培养,癌症研究,细胞生物学

Integrin β3兔多抗相关厂家报价

内容声明
拨打电话 立即询价