基本信息 产品详情 公司简介 推荐产品
网站主页 JAK2 Rabbit Polyclonal Antibody JAK2兔多抗
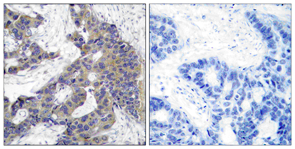
  • JAK2 Rabbit Polyclonal Antibody | 兔多抗 | EnkiLife恩玑生命

JAK2 Rabbit Polyclonal Antibody | 兔多抗 | EnkiLife恩玑生命

JAK2 Rabbit Polyclonal Antibody
询价 1支 起订
湖北 更新日期:2026-03-23

武汉恩玑生命科技有限公司

VIP1年
联系人:Kiki
电话:027-87002838拨打
手机:13212728378 拨打
邮箱:order@enkilife.cn

产品详情:

中文名称:
JAK2兔多抗
英文名称:
JAK2 Rabbit Polyclonal Antibody
品牌:
EnkiLife
产地:
中国
保存条件:
Store at 4°C short term. Aliquot and store at -20°C long term. Avoid freeze/thaw cycles.
产品类别:
抗体
是否进口:
用途:
科研

产品概述

产品名称(Product Name)

JAK2 Rabbit Polyclonal Antibody

描述(Description)

Rabbit Polyclonal Antibody

宿主(Host)

Rabbit

应用(Application)

IF-P,IF-F,ICC/IF,WB,IHC-P,ELISA

种属反应性(Reactivity)

Human,Mouse,Rat

 

产品性能

偶联物(Conjugation)

Unconjugated

修饰(Modification)

Unmodified

同种型(Isotype)

IgG

克隆(Clonality)

Polyclonal

形式(Form)

Liquid

存放说明(Storage)

Store at 4°C short term. Aliquot and store at -20°C long term. Avoid freeze/thaw cycles.

储存溶液(Buffer)

Liquid in PBS containing 50% glycerol, 0.5% BSA and 0.02% New type preservative N.

纯化方式(Purification)

Affinity purification

 

免疫原

基因名(Gene Name)

JAK2

别名(Alternative Names)

JAK2; Tyrosine-protein kinase JAK2; Janus kinase 2; JAK-2

基因ID(Gene ID)

3717

蛋白ID(SwissProt ID)

O60674

 

产品应用

稀释比(Dilution Ratio)

IF-P/IF-F/ICC/IF 1:50-200, WB 1:500-1:2000, IHC-P 1:100-1:300, ELISA 1:10000.Not yet tested in other applications.

蛋白分子量(Molecular Weight)

130kDa

 

研究背景

This gene product is a protein tyrosine kinase involved in a specific subset of cytokine receptor signaling pathways. It has been found to be constituitively associated with the prolactin receptor and is required for responses to gamma interferon. Mice that do not express an active protein for this gene exhibit embryonic lethality associated with the absence of definitive erythropoiesis. [provided by RefSeq, Jul 2008],catalytic activity:ATP + a [protein]-L-tyrosine = ADP + a [protein]-L-tyrosine phosphate.,disease:Chromosomal aberrations involving JAK2 are found in both chronic and acute forms of eosinophilic, lymphoblastic and myeloid leukemia. Translocation t(8;9)(p22;p24) with PCM1 links the protein kinase domain of JAK2 to the major portion of PCM1. Translocation t(9;12)(p24;p13) with ETV6.,disease:Defects in JAK2 are a cause of acute myelogenous leukemia (AML) [MIM:601626]. AML is a malignant disease in which hematopoietic precursors are arrested in an early stage of development.,disease:Defects in JAK2 are a cause of susceptibility to Budd-Chiari syndrome [MIM:600880]. Budd-Chiari syndrome is a spectrum of disease states, including anatomic abnormalities and hypercoagulable disorders, resulting in hepatic venous outflow occlusion. Clinical manifestations observed in the majority of patients include hepatomegaly, right upper quadrant pain, and abdominal ascites.,disease:Defects in JAK2 are associated with familial myelofibrosis [MIM:254450]. Myelofibrosis with myeloid metaplasia is a myeloproliferative disease with annual incidence of 0.5-1.5 cases per 100,000 individuals and age at diagnosis around 60 (an increased prevalence is noted in Ashkenazi Jews). Clinical manifestations depend on the type of blood cell affected and may include anemia, pallor, splenomegaly, hypermetabolic state, petechiae, ecchymosis, bleeding, lymphadenopathy, hepatomegaly, portal hypertension.,disease:Defects in JAK2 are associated with polycythemia vera (PV) [MIM:263300]. PV, the most common form of primary polycythemia, is caused by somatic mutation in a single hematopoietic stem cell leading to clonal hematopoiesis. PV is a myeloproliferative disorder characterized predominantly by erythroid hyperplasia, but also by myeloid leukocytosis, thrombocytosis, and splenomegaly. Familial cases of PV are very rare and usually manifest in elderly patients.,disease:Defects in JAK2 gene may be a cause of essential thrombocythemia (ET) [MIM:187950]. ET is characterized by elevated platelet levels due to sustained proliferation of megakaryocytes, and frequently lead to thrombotic and haemorrhagic complications.,domain:Possesses two phosphotransferase domains. The second one probably contains the catalytic domain (By similarity), while the presence of slight differences suggest a different role for domain 1.,function:Plays a role in leptin signaling and control of body weight (By similarity). Tyrosine kinase of the non-receptor type, involved in interleukin-3 and probably interleukin-23 signal transduction.,PTM:Leptin promotes phosphorylation on tyrosine residues, including phosphorylation on Tyr-813.,similarity:Belongs to the protein kinase superfamily. Tyr protein kinase family.,similarity:Belongs to the protein kinase superfamily. Tyr protein kinase family. JAK subfamily.,similarity:Contains 1 FERM domain.,similarity:Contains 1 protein kinase domain.,similarity:Contains 1 SH2 domain.,subcellular location:Wholly intracellular, possibly membrane associated.,subunit:Interacts with SIRPA and SH2B1 (By similarity). Interacts with IL23R, SKB1 and STAM2.,tissue specificity:Expressed in blood, bone marrow and lymph node.,

 

研究领域

Chemokine;Jak_STAT;Adipocytokine;

JAK2;JAK2;Rabbit;Polyclonal;Antibody;一抗

公司简介

武汉恩玑生命科技有限公司(EnkiLife)是一家深耕生命科学,专注细胞生物学和免疫学科研试剂的研发、生产与销售的生物技术企业,在全球100多个国家和地区开展业务,致力于为科研工作者提供高质量的产品和卓越的客户服务,推动生命科学的发展。 EnkiLife的产品线涵盖细胞系、原代细胞、细胞培养基、血清、细胞检测试剂盒、重组靶点蛋白、细胞因子、重组抗体、ELISA试剂盒、生化试剂盒等,并提供技术服务与定制开发,覆盖了生命科学研究的各大关键领域,包括细胞生物学、癌症、免疫学、神经科学、心血管疾病、干细胞、表观遗传学、内分泌、蛋白质组学、代谢组学等,全方位满足您的实验需求,让您享受科研的乐趣! 公司现已建立四大技术平台: EnCyto?细胞培养及检测平台:拥有细胞系库(500+)、原代细胞库(500+)、基础培养基和完全培养基(1200+) EnkiPro?重组蛋白平台:现货产品2000+,可提供定制化表达服务 EnAb?重组抗体平台:重组兔单抗(3000+),可提供定制化和标记服务 EnKits?试剂盒开发平台:可提供优质的ELISA试剂盒、配套试剂、抗体对、生化试剂盒等相关产品 EnkiLife在生产管理方面引入ISO9001质量管理体系和信息化、自动化的管理工具,拥有高效稳定的交付能力,与全球知名品牌建立了紧密的合作。 EnkiLife始终坚持以技术创新为驱动,以匠心铸就品质,以品质服务客户。 我们期待与更多的全球科研工作者和企业携手合作,共同推动生命科学领域的进步与发展。

成立日期 (2年)
注册资本 271万人民币
员工人数 10-50人
年营业额 ¥ 100万-300万
经营模式 工厂,试剂,定制,服务
主营行业 生化试剂,抗体,细胞培养,癌症研究,细胞生物学

JAK2兔多抗相关厂家报价

内容声明
拨打电话 立即询价