基本信息 产品详情 公司简介 推荐产品
网站主页 TGFβ RII兔多抗 TGFβ RII兔多抗
  • TGFβ RII Rabbit Polyclonal Antibody | 兔多抗 | EnkiLife恩玑生命

TGFβ RII Rabbit Polyclonal Antibody | 兔多抗 | EnkiLife恩玑生命

TGFβ RII Rabbit Polyclonal Antibody
询价 1支 起订
湖北 更新日期:2026-03-23

武汉恩玑生命科技有限公司

VIP1年
联系人:Kiki
电话:027-87002838拨打
手机:13212728378 拨打
邮箱:order@enkilife.cn

产品详情:

中文名称:
TGFβ RII兔多抗
英文名称:
TGFβ RII Rabbit Polyclonal Antibody
品牌:
EnkiLife
产地:
中国
保存条件:
Store at 4°C short term. Aliquot and store at -20°C long term. Avoid freeze/thaw cycles.
产品类别:
抗体
是否进口:
用途:
科研

产品概述

产品名称(Product Name)

TGFβ RII Rabbit Polyclonal Antibody

描述(Description)

Rabbit Polyclonal Antibody

宿主(Host)

Rabbit

应用(Application)

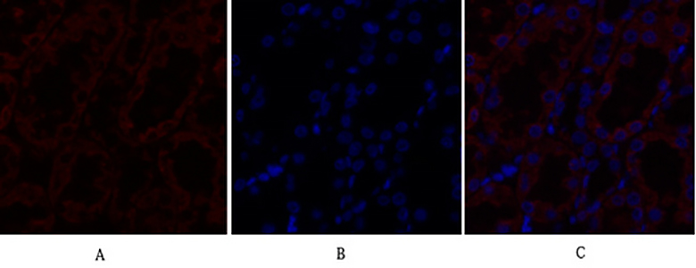
IF-P,IF-F,ICC/IF,WB,IHC-P,ELISA

种属反应性(Reactivity)

Human,Mouse,Rat

 

产品性能

偶联物(Conjugation)

Unconjugated

修饰(Modification)

Unmodified

同种型(Isotype)

IgG

克隆(Clonality)

Polyclonal

形式(Form)

Liquid

存放说明(Storage)

Store at 4°C short term. Aliquot and store at -20°C long term. Avoid freeze/thaw cycles.

储存溶液(Buffer)

Liquid in PBS containing 50% glycerol, 0.5% BSA and 0.02% New type preservative N.

纯化方式(Purification)

Affinity purification

 

免疫原

基因名(Gene Name)

TGFBR2

别名(Alternative Names)

TGFBR2; TGF-beta receptor type-2; TGFR-2; TGF-beta type II receptor; Transforming growth factor-beta receptor type II; TGF-beta receptor type II; TbetaR-II

基因ID(Gene ID)

7048

蛋白ID(SwissProt ID)

P37173

 

产品应用

稀释比(Dilution Ratio)

IF-P/IF-F/ICC/IF 1:50-200, WB 1:500-1:2000, IHC-P 1:100-1:300, ELISA 1:20000.Not yet tested in other applications.

蛋白分子量(Molecular Weight)

65kDa

 

研究背景

This gene encodes a member of the Ser/Thr protein kinase family and the TGFB receptor subfamily. The encoded protein is a transmembrane protein that has a protein kinase domain, forms a heterodimeric complex with another receptor protein, and binds TGF-beta. This receptor/ligand complex phosphorylates proteins, which then enter the nucleus and regulate the transcription of a subset of genes related to cell proliferation. Mutations in this gene have been associated with Marfan Syndrome, Loeys-Deitz Aortic Aneurysm Syndrome, and the development of various types of tumors. Alternatively spliced transcript variants encoding different isoforms have been characterized. [provided by RefSeq, Jul 2008],catalytic activity:ATP + [receptor-protein] = ADP + [receptor-protein] phosphate.,cofactor:Magnesium or manganese.,disease:Defects in TGFBR2 are a cause of esophageal cancer [MIM:133239].,disease:Defects in TGFBR2 are the cause of aortic aneurysm familial thoracic type 3 (AAT3) [MIM:610380]. Aneurysms and dissections of the aorta usually result from degenerative changes in the aortic wall. Thoracic aortic aneurysms and dissections are primarily associated with a characteristic histologic appearance known as 'medial necrosis' or 'Erdheim cystic medial necrosis' in which there is degeneration and fragmentation of elastic fibers, loss of smooth muscle cells, and an accumulation of basophilic ground substance. AAT3 is an autosomal dominant disorder with reduced penetrance and variable expression.,disease:Defects in TGFBR2 are the cause of hereditary non-polyposis colorectal cancer type 6 (HNPCC6) [MIM:190182]. Mutations in more than one gene locus can be involved alone or in combination in the production of the HNPCC phenotype (also called Lynch syndrome). Most families with clinically recognized HNPCC have mutations in either MLH1 or MSH2 genes. HNPCC is an autosomal, dominantly inherited disease associated with marked increase in cancer susceptibility. It is characterized by a familial predisposition to early onset colorectal carcinoma (CRC) and extra-colonic cancers of the gastrointestinal, urological and female reproductive tracts. HNPCC is reported to be the most common form of inherited colorectal cancer in the Western world, and accounts for 15% of all colon cancers. Cancers in HNPCC originate within benign neoplastic polyps termed adenomas. Clinically, HNPCC is often divided into two subgroups. Type I: hereditary predisposition to colorectal cancer, a young age of onset, and carcinoma observed in the proximal colon. Type II: patients have an increased risk for cancers in certain tissues such as the uterus, ovary, breast, stomach, small intestine, skin, and larynx in addition to the colon. Diagnosis of classical HNPCC is based on the Amsterdam criteria: 3 or more relatives affected by colorectal cancer, one a first degree relative of the other two; 2 or more generation affected; 1 or more colorectal cancers presenting before 50 years of age; exclusion of hereditary polyposis syndromes. The term "suspected HNPCC" or "incomplete HNPCC" can be used to describe families who do not or only partially fulfill the Amsterdam criteria, but in whom a genetic basis for colon cancer is strongly suspected. HNPCC6 is a type of colorectal cancer complying with the clinical criteria of HNPCC, except that the onset of cancer was beyond 50 years of age in all cases.,disease:Defects in TGFBR2 are the cause of Loeys-Dietz syndrome type 1B (LDS1B) [MIM:610168]. LDS1 is an aortic aneurysm syndrome with widespread systemic involvement. The disorder is characterized by arterial tortuosity and aneurysms, craniosynostosis, hypertelorism, and bifid uvula or cleft palate. Other findings include exotropy, micrognathia and retrognathia, structural brain abnormalities, intellectual deficit, congenital heart disease, translucent skin, joint hyperlaxity and aneurysm with dissection throughout the arterial tree.,disease:Defects in TGFBR2 are the cause of Loeys-Dietz syndrome type 2B (LDS2B) [MIM:610380]; formerly Marfan syndrome type 2. LDS2 is an aortic aneurysm syndrome with widespread systemic involvement. Physical findings include prominent joint laxity, easy bruising, wide and atrophic scars, velvety and translucent skin with easily visible veins, spontaneous rupture of the spleen or bowel, diffuse arterial aneurysms and dissections, and catastrophic complications of pregnancy, including rupture of the gravid uterus and the arteries, either during pregnancy or in the immediate postpartum period. LDS2 is characterized by the absence of craniofacial abnormalities with the exception of bifid uvula that can be present in some patients.,function:On ligand binding, forms a receptor complex consisting of two type II and two type I transmembrane serine/threonine kinases. Type II receptors phosphorylate and activate type I receptors which autophosphorylate, then bind and activate SMAD transcriptional regulators. Receptor for TGF-beta.,PTM:Phosphorylated on a Ser/Thr residue in the cytoplasmic domain.,similarity:Belongs to the protein kinase superfamily.,similarity:Belongs to the protein kinase superfamily. TKL Ser/Thr protein kinase family. TGFB receptor subfamily.,similarity:Contains 1 protein kinase domain.,subunit:Binds to DAXX. Interacts with TCTEX1D4.,

 

研究领域

MAPK_ERK_Growth;MAPK_G_Protein;Cytokine-cytokine receptor interaction;Endocytosis;TGF-beta;Adherens_Junction;Pathways in cancer;Colorectal cancer;Pancreatic cancer;Chronic myeloid leukemia;

TGFBR2;TGFβ;RII;Rabbit;Polyclonal;Antibody;一抗

公司简介

武汉恩玑生命科技有限公司(EnkiLife)是一家深耕生命科学,专注细胞生物学和免疫学科研试剂的研发、生产与销售的生物技术企业,在全球100多个国家和地区开展业务,致力于为科研工作者提供高质量的产品和卓越的客户服务,推动生命科学的发展。 EnkiLife的产品线涵盖细胞系、原代细胞、细胞培养基、血清、细胞检测试剂盒、重组靶点蛋白、细胞因子、重组抗体、ELISA试剂盒、生化试剂盒等,并提供技术服务与定制开发,覆盖了生命科学研究的各大关键领域,包括细胞生物学、癌症、免疫学、神经科学、心血管疾病、干细胞、表观遗传学、内分泌、蛋白质组学、代谢组学等,全方位满足您的实验需求,让您享受科研的乐趣! 公司现已建立四大技术平台: EnCyto?细胞培养及检测平台:拥有细胞系库(500+)、原代细胞库(500+)、基础培养基和完全培养基(1200+) EnkiPro?重组蛋白平台:现货产品2000+,可提供定制化表达服务 EnAb?重组抗体平台:重组兔单抗(3000+),可提供定制化和标记服务 EnKits?试剂盒开发平台:可提供优质的ELISA试剂盒、配套试剂、抗体对、生化试剂盒等相关产品 EnkiLife在生产管理方面引入ISO9001质量管理体系和信息化、自动化的管理工具,拥有高效稳定的交付能力,与全球知名品牌建立了紧密的合作。 EnkiLife始终坚持以技术创新为驱动,以匠心铸就品质,以品质服务客户。 我们期待与更多的全球科研工作者和企业携手合作,共同推动生命科学领域的进步与发展。

成立日期 (2年)
注册资本 271万人民币
员工人数 10-50人
年营业额 ¥ 100万-300万
经营模式 工厂,试剂,定制,服务
主营行业 生化试剂,抗体,细胞培养,癌症研究,细胞生物学

TGFβ RII兔多抗相关厂家报价

内容声明
拨打电话 立即询价