基本信息 产品详情 公司简介 推荐产品
网站主页 化工产品目录 生物化工 抗体 一抗 单抗 Jak1 (6G4) Rabbit mAb Jak1 (6G4) 兔单克隆抗体
  • Jak1 (6G4) 兔单克隆抗体
  • Jak1 (6G4) 兔单克隆抗体
  • Jak1 (6G4) 兔单克隆抗体

1/3

Jak1 (6G4) 兔单克隆抗体

Jak1 (6G4) Rabbit mAb
10 100ul 起订
上海 更新日期:2026-04-14

上海优宁维生物科技股份有限公司

VIP5年
联系人:
电话:15921930842拨打
手机:15921930842 拨打
邮箱:yh-wang@univ-bio.com

产品详情:

中文名称:
Jak1 (6G4) 兔单克隆抗体
英文名称:
Jak1 (6G4) Rabbit mAb
品牌:
CST
产品类别:
抗体
货号:
3344T

Jak1 (6G4) Rabbit mAb

Janus激酶1 (6G4) 兔单克隆抗体


产品编号

3344T

规格

100 μL(标准)/ 500 μL(大包装)

保存条件

-20°C 长期保存,避免反复冻融;4°C 可短期(≤7 d)存放。

有效期

12 个月(按标签生产日期计算)。


产品简介

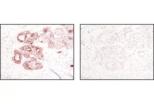
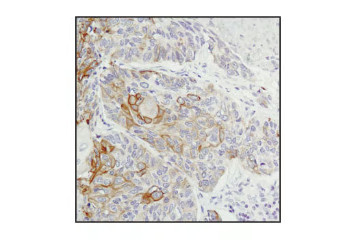
Jak1 (6G4) Rabbit mAb 是一款高特异性、高灵敏度兔源单克隆抗体,其抗原表位位于人源 Janus 激酶 1(Jak1)Ile800 附近。抗体可识别人、小鼠、大鼠及猴、犬、猪等物种的内源性总 Jak1 蛋白,不与 Jak2、Jak3 或 Tyk2 等其他 Jak 家族成员发生交叉反应。已严格通过 Western Blot 与石蜡包埋免疫组织化学(IHC-P)验证,适用于免疫学、肿瘤学及神经科学领域 Jak-STAT 信号通路研究。


关键参数

表格


项目

描述



中文名称

Janus激酶1 (6G4) 兔单克隆抗体

英文名称

Jak1 (6G4) Rabbit mAb

抗体类型

兔 IgG 单克隆抗体

抗原

对应人 Jak1 Ile800 周围残基的合成肽

标记形式

无标记(Unconjugated)

分子量

~130 kDa

反应种属

人、小鼠、大鼠(预测:猴、犬、猪)

灵敏度

内源性水平

交叉反应

与 Jak2/3、Tyk2 无交叉


推荐应用与稀释比例


表格


应用

稀释比

操作要点




Western Blot

1:1,000

5% 脱脂牛奶封闭,室温孵育 1 h 或 4°C 过夜

IHC-P

1:50–1:200

高压或酶修复 10 min,3% H₂O₂ 阻断内源过氧化物酶


背景知识

Janus 激酶(Jak)家族包含 Jak1、Jak2、Jak3 和 Tyk2,是细胞因子受体下游关键的酪氨酸激酶。配体结合后 Jak 蛋白自磷酸化并磷酸化受体,为 STAT、Shc、IRS 及 FAK 等含 SH2 结构域的信号分子提供停泊位点,从而激活 Jak-STAT 通路,调控免疫应答、细胞增殖与分化。Jak1 异常表达或激活与多种肿瘤、自身免疫病及神经系统疾病密切相关,是潜在的治疗靶点。


注意事项

  1. 样本处理:建议加入蛋白酶/磷酸酶抑制剂(RIPA 或 NP-40 裂解液),防止 Jak1 降解。

  2. 阳性对照:推荐 Jurkat、HeLa 或 RAW264.7 细胞/组织裂解液。

  3. 阴性对照:Jak1 敲除细胞或 siRNA 干扰样本可验证特异性。

  4. 运输:蓝冰低温运输;收货后请立即分装并于 -20°C 保存,避免反复冻融。


CST;兔单克隆抗体;抗体;Jak1; 3344T;

公司简介

上海优宁维生物科技股份有限公司(简称:优宁维,股票代码:301166)自2004年成立以来一直专注于抗体及相关产品,是国内专业、全面的抗体供应商和抗体专家,十多年来,正努力发展成为生命科学一站式供应商。公司总部位于上海,全国设有26个办事处,10个境内销售子公司。 我们长期聚焦于生命科学、生物医药、医疗诊断、分析检测等领域,公司整合了国内外50多家行业知名品牌,提供800多万种以抗体为核心的生命科学试剂、耗材、仪器、软件、定制、实验室服务、供应链服务等,形成了以第三方品牌产品为主、自主品牌产品为辅的全面供应体系,为更多的生命科学科研工作者提供专业、全面、安全、快捷的产品和服务。产品覆盖基因、蛋白、细胞、组织、动物等水平的各种研究。 公司2018年建立了南京研发中心,2021年筹建了杭州研发中心,并于2021年在南京投资建设GMP级生产中心,满足更多工业级客户的生命科学试剂需求。 公司秉承 向正 · 向善 · 向上 的价值观,以助力生命科学发展和创新为使命,在世界知名生物制品供应商为愿景下,砥砺前行。

成立日期 (22年)
注册资本 6500.000000万人民币
员工人数 100-500人
年营业额 ¥ 1亿以上
经营模式 试剂,服务,试剂,服务
主营行业 生化试剂,生化试剂,抗体,抗体,蛋白组学,蛋白组学,分子生物学,分子生物学,免疫安全,免疫安全

Jak1 (6G4) 兔单克隆抗体相关厂家报价

内容声明
拨打电话 立即询价