基本信息 产品详情 公司简介 推荐产品
网站主页 Phospho-RIP(Ser166)(D1L3S)RabbitmAb 苏氨酸蛋白激酶 1(丝氨酸 166 位点)(D1L3S)兔单克隆抗体
  • 苏氨酸蛋白激酶 1(丝氨酸 166 位点)(D1L3S)兔单克隆抗体
  • 苏氨酸蛋白激酶 1(丝氨酸 166 位点)(D1L3S)兔单克隆抗体
  • 苏氨酸蛋白激酶 1(丝氨酸 166 位点)(D1L3S)兔单克隆抗体
  • 苏氨酸蛋白激酶 1(丝氨酸 166 位点)(D1L3S)兔单克隆抗体
  • 苏氨酸蛋白激酶 1(丝氨酸 166 位点)(D1L3S)兔单克隆抗体

1/5

苏氨酸蛋白激酶 1(丝氨酸 166 位点)(D1L3S)兔单克隆抗体

Phospho-RIP (Ser166) (D1L3S) Rabbit mAb
10 100ul 起订
上海 更新日期:2026-04-14

上海优宁维生物科技股份有限公司

VIP5年
联系人:
电话:15921930842拨打
手机:15921930842 拨打
邮箱:yh-wang@univ-bio.com

产品详情:

中文名称:
苏氨酸蛋白激酶 1(丝氨酸 166 位点)(D1L3S)兔单克隆抗体
英文名称:
Phospho-RIP (Ser166) (D1L3S) Rabbit mAb
品牌:
CST
产品类别:
抗体
货号:
65746T
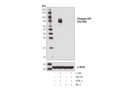
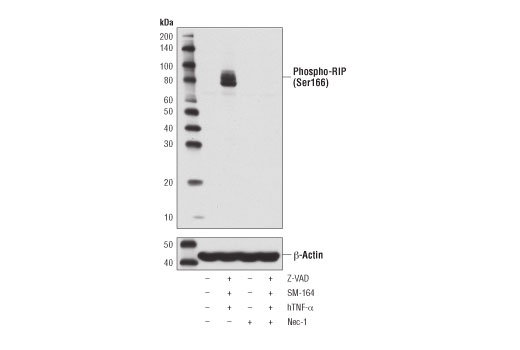
  1. 基础信息:品牌为 CST,抗体类型为兔单克隆抗体(Rabbit mAb),无荧光素标记(Unconjugated),目标蛋白分子量为 78-82 kDa,暂不受关税影响

  2. 制备与特异性:通过免疫含人 RIP 蛋白 Ser166 周围残基的合成磷酸肽的动物制备;仅识别内源性 RIP 蛋白在 Ser166 位点磷酸化的形式,物种反应性仅限人类(Human)

  3. 适用实验与稀释比例

    • Western Blotting(蛋白质免疫印迹):推荐稀释比例 1:1000

    • Simple Western™(简单蛋白印迹):推荐稀释比例 1:10 - 1:50

  4. 研究领域:覆盖癌症、细胞生物学、纤维化、神经科学,聚焦翻译后修饰中的磷酸化(phosphate)研究,可用于细胞凋亡(Apoptosis)、炎症相关信号通路研究

  5. 储存条件与配方:溶解于含 10 mM HEPES(pH 7.5)、150 mM NaCl、100 µg/ml BSA、50% 甘油及低于 0.02% 叠氮化钠的缓冲液;需在 - 20°C 储存,不可分装抗体

  6. 规格与价格:提供 20μl、100μl 两种规格

  7. 数据库信息:Entrez-Gene ID 为 8737,UniProt ID 为 Q13546

  8. 应用支持:适配 WB 成功指南解决方案,涵盖样品制备、上样电泳、转膜、封闭、抗体孵育 / 检测全流程;可辅助验证 HT-29 细胞经 ZVAD、hTNF-α、SM-164 等处理后的 RIP 蛋白 Ser166 磷酸化水平(相关实验结果含 Western blot 及 Simple Western™分析参考图)

  9. 物流与配送:默认配送至指定地址(示例:广东省东莞市),预计 5-6 个工作日送达,免运费,如需干冰运输需额外收费

  10. 购买链接:优宁维官网了解详情 / 购买:https://www.univ-bio.com/phospho-rip-ser166/65746T.html


CST;抗体;兔单克隆抗体;苏氨酸蛋白激酶;蛋白激酶;

公司简介

上海优宁维生物科技股份有限公司(简称:优宁维,股票代码:301166)自2004年成立以来一直专注于抗体及相关产品,是国内专业、全面的抗体供应商和抗体专家,十多年来,正努力发展成为生命科学一站式供应商。公司总部位于上海,全国设有26个办事处,10个境内销售子公司。 我们长期聚焦于生命科学、生物医药、医疗诊断、分析检测等领域,公司整合了国内外50多家行业知名品牌,提供800多万种以抗体为核心的生命科学试剂、耗材、仪器、软件、定制、实验室服务、供应链服务等,形成了以第三方品牌产品为主、自主品牌产品为辅的全面供应体系,为更多的生命科学科研工作者提供专业、全面、安全、快捷的产品和服务。产品覆盖基因、蛋白、细胞、组织、动物等水平的各种研究。 公司2018年建立了南京研发中心,2021年筹建了杭州研发中心,并于2021年在南京投资建设GMP级生产中心,满足更多工业级客户的生命科学试剂需求。 公司秉承 向正 · 向善 · 向上 的价值观,以助力生命科学发展和创新为使命,在世界知名生物制品供应商为愿景下,砥砺前行。

成立日期 (22年)
注册资本 6500.000000万人民币
员工人数 100-500人
年营业额 ¥ 1亿以上
经营模式 试剂,服务,试剂,服务
主营行业 生化试剂,生化试剂,抗体,抗体,蛋白组学,蛋白组学,分子生物学,分子生物学,免疫安全,免疫安全

苏氨酸蛋白激酶 1(丝氨酸 166 位点)(D1L3S)兔单克隆抗体相关厂家报价

内容声明
拨打电话 立即询价