网站主页
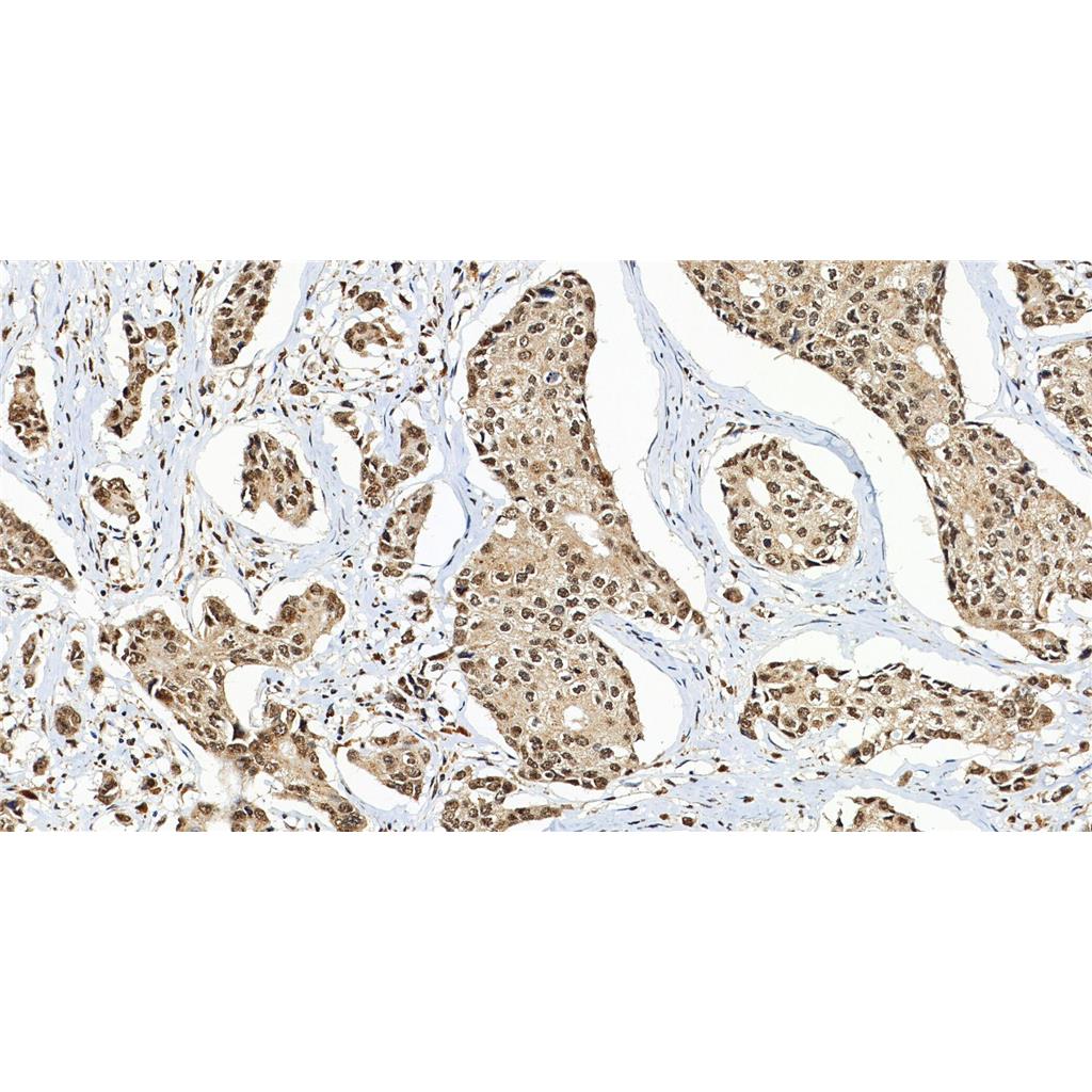
PHOSPHO-PI3 KINASE P110 BETA (SER1070) 抗体
phospho-PI3 Kinase p110 beta (Ser1070)抗体
phospho-PI3 Kinase p110 beta (Ser1070)抗体
phospho-PI3 Kinase p110 beta (Ser1070) Antibody
¥470
10μL
起订
¥1220
50μL
起订
¥2000
100μL
起订
上海 更新日期:2026-04-15
产品详情:
- 中文名称:
- phospho-PI3 Kinase p110 beta (Ser1070)抗体
- 英文名称:
- phospho-PI3 Kinase p110 beta (Ser1070) Antibody
- 品牌:
- MCE(MedChemExpress)
- 产地:
- 美国
- 保存条件:
- -20°C保存1年。避免重复冻结/解冻循环。
- 纯度规格:
- affinity purified
- 产品类别:
- 抗体
- 货号:
- HY-P81211
- 重组:
- 否
- 应用:
- WB;ELISA;IHC-P;IHC-F;IF
- 种属反应性:
- Human, Mouse, Rat, (predicted: Chicken, Dog, Pig, Cow, Horse, Guinea Pig, )
- 宿主:
- Rabbit
- 偶联物:
- Non-conjugated
- 克隆性:
- Polyclonal
公司简介
MCE (MedChemExpress) 是全球领先的科研化学品和生物活性化合物供应商。MCE 的产品范围覆盖各种抑制剂、化合物库、重组蛋白等各类活性分子。
| 成立日期 | (18年) |
| 注册资本 | 600万人民币 |
| 员工人数 | 500人以上 |
| 年营业额 | ¥ 100万以内 |
| 经营模式 | 贸易,工厂,试剂,定制,服务 |
| 主营行业 | 抗体,蛋白组学 |
phospho-PI3 Kinase p110 beta (Ser1070)抗体相关厂家报价
-
- PI3-kinase p110 subunit beta Rabbit Monoclonal Antibody
- 碧云天生物技术有限公司
- 2026-04-21
- 询价
-
- PI3 Kinase p110 beta 磷脂酰肌醇激酶(PI3Kβ)抗体
- 上海沪震实业有限公司 VIP
- 2026-04-22
- ¥1098
-
- Phospho-PI3 Kinase p85 (Tyr458)/p55 (Tyr199) (E3U1H) 兔单克隆抗体
- 上海优宁维生物科技股份有限公司 VIP
- 2026-04-22
- 询价






