基本信息 产品详情 公司简介 推荐产品
网站主页 人肺癌腺癌细胞LC-2/ad 人肺癌腺癌细胞
  • 人肺癌腺癌细胞LC2AD(STR)

人肺癌腺癌细胞LC2AD(STR) 新品

LC2AD
1800 1盒 起订
上海 更新日期:2026-04-29

上海雅吉生物科技有限公司

VIP1年
联系人:周灏
电话:021-34661276拨打
手机:15317085058 拨打
邮箱:1278329642@qq.com

产品详情:

中文名称:
人肺癌腺癌细胞
英文名称:
LC2AD
品牌:
雅吉生物
产地:
上海
保存条件:
37℃
纯度规格:
99.99%
产品类别:
细胞 人源细胞系
种属:
组织:
细胞系:
人细胞系
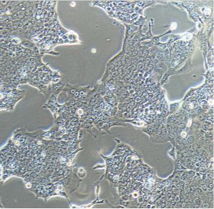
细胞形态:
上皮细胞样
生长状态:
贴壁
应用:
科研实验

一、人肺癌腺癌细胞LC2AD培养条件 

传代方法

第一次建议1:2传代 

冻存条件

细胞库无血清冻存液

细胞描述

本库的细胞仅用于科研工作,未经许可不得用于其他目的,使用者不得将本库细胞转让给第三者。

培养备注

用无菌离心管收集瓶子培养基,留作过渡培养


二、人肺癌腺癌细胞LC2AD收货后处理

复苏细胞处理方法:培养至良好状态后灌满完全培养液并封好瓶口是运输细胞的最好办法。收到细胞用75%酒精喷洒整个细胞严格无菌将细胞瓶放置培养箱中静置2-4小时以稳定细胞状态静置后显微镜观察细胞生长情况,并对细胞进行不同倍数拍照保存(最好40x,100x,200x各一张)前三天照片重要售后依据,不提供照片默认收到状态良好。

冻存细胞处理方法:收到细胞后,观察泡沫箱中干冰是否有剩余,冻存管是否完好无损是否有解冻情况,若发现干冰完全汽化或冻存管有解冻破损现象,请及时拍照并与我们联系。如果细胞签收三天内未与我们联系,则默认为收货良好。复苏第一管如有活性问题,请及时联系我们,技术人员与您沟通指导后再复苏第二管,未与我方联系擅自复苏第二管出现问题不予售后。

细胞培养步骤

a、细胞传代如果未超过80%汇合度时,将瓶装的完全培养液收集至离心管中,留5ml完全培养基,放入37℃、5%CO2孵箱培养;如果细胞密度80%,即可进行传代培养

贴壁细胞步骤如下:

1) 弃去培养上清,用不含钙、镁离子的PBS润洗细胞1-2次;

2) 加1mL消化液(0.25%Trypsin-0.53mM EDTA)于培养瓶中,置培养箱中消化 1min ,然后在显微镜下观察细胞消化情况,若细胞大部分变圆并脱落,迅速拿回操作台,轻敲几下培养瓶后,加6ml含10%血清的完全培养基终止消化;

3) 轻轻吹打细胞,完全脱落后吸出至离心管中,1000 rpm离心5-8min,弃去上清液,补加1-2mL完全培养基后吹匀;

4) 按5-6mL每瓶补加完全培养基,将细胞悬液按1:2的比例分到新的含5-6 mL完全培养基的6cm培养皿中或者T25培养瓶中。

(即1个T25瓶传代接种至2个T25瓶或者2个6cm的培养皿)

悬浮细胞传代步骤如下:

1、半换液法

半换液处理,竖着培养瓶在培养箱静置1小时左右,轻轻吸掉3ml左右培养基,然后补给3ml的完全培养基,如果培养基变色慢,可直接加500ul左右FBS,传代的时候可以直接补给5ml培养基  分两个培养瓶培养,一般这样传代3次左右可以离心传代一次,去掉死细胞。

2、离心换液法

如需分瓶可以将细胞悬液收集到离心管中1000rpm,离心5min,弃去上清,补加1-2mL培养液后重悬混匀后将细胞悬液按1:2的比例分到新T25瓶中,添加6-8ml按照说明书要求配置的新的完全培养基以保持细胞的生长活力,后续传代根据实际情况按1:2~1:5的比例进行。

b、细胞冻存:

1、细胞生长至覆盖培养瓶的80%面积时,弃T25培养瓶中的培养液,用PBS清洗细胞一次;

2、添加0.25%胰蛋白酶消化液约1ml至培养瓶中,倒置显微镜下观察,待细胞回缩变圆后加入5ml完全培养液终止消化,再轻轻吹打细胞使之脱落,然后将悬液转移至15ml离心管中,1000rpm离心 5min;

3、 弃上清,沉淀细胞加入1ml的雅吉生物无血清冻存液(货号:C7001),混匀后加入冻存管中。

4、 将冻存细胞直接放入-80℃冰箱即可,如后期将细胞转入液氮罐中,需在-80℃冰箱 存放24小时以上转入液氮罐中。

C、细胞复苏:

1、从液氮中取出细胞冻存管(注意佩戴防护面具),快速将其置入 37℃水浴中解冻, 直至冻存管中无结晶,然后用75%的酒精擦拭冻存管外壁;

2、将冻存管中的细胞移至含 5ml 完全培养基的15ml离心管中,1000rpm离心5min;

3、弃上清,沉淀用5ml完全培养基重悬,接种T25培养瓶,37℃,5%CO2细胞培养箱中培养;

4、第二天,换用新鲜完全培养基继续培养。

人肺癌腺癌细胞LC2AD注意事项:有些细胞贴壁不牢,在运输过程中容易发生细胞脱落,这是正常现象。如脱离较多可将培养瓶所有培养液收集至离心管,1000rpm离心5min,收集上清作过渡培养(后期对比培养),沉淀加入胰酶1-2ml,轻轻吹打,重悬,消化1-2分钟后,加5ml完全培养基终止反应。再离心,弃上清,加1-2ml完全培养基重悬。然后按1:2比例进行分瓶传代(两个T25),补充新的完全培养基至5-8ml/瓶,最后放入37℃,5%CO2细胞培养箱中培养。



人盲肠腺癌细胞(未分化);LC2AD细胞;ATCC细胞引种;ATCC细胞代购;雅吉细胞库;

公司简介

上海雅吉生物科技的核心业务主要围绕生命科学研究所需的各类试剂、细胞、抗体及技术服务展开,具体可归纳为以下几个方面: 细胞产品与技术平台: 细胞产品:提供包括正常细胞、肿瘤细胞、肿瘤耐药细胞在内的多种细胞系。同时,公司也是美国ScienCell等品牌的原代细胞产品的代理商。 稳转细胞株构建服务:公司具备丰富的蛋白表达研究经验,能够为客户提供从基因序列到稳定细胞株交付的一站式定制服务,应用于基因功能研究、药物筛选和重组蛋白生产等领域。 科研试剂:这是公司的基础和优势业务。产品线全面覆盖了分子生物学、免疫学、细胞生物学和微生物学等多个学科。 ELISA试剂盒:提供人、大鼠、小鼠、犬、鱼、鸡、牛等多种物种以及植物的ELISA检测试剂盒,在国内众多重点实验室中广泛使用并被科研文献引用。生化试剂、抗体与血清:提供包括一抗、二抗、单克隆/多克隆抗体在内的多种抗体产品,以及胎牛血清等细胞培养用血清。 蛋白研究相关试剂盒:提供超过300种针对不同样本来源(动物、植物、微生物)和不同细胞器(如线粒体、外泌体)的蛋白提取及检测试剂盒。

成立日期 (16年)
注册资本 50.00万人民币
员工人数 10-50人
年营业额 ¥ 300万-500万
经营模式 贸易,工厂,试剂
主营行业 化学试剂,医药原料

人肺癌腺癌细胞相关厂家报价

内容声明
拨打电话 立即询价