基本信息 产品详情 公司简介 推荐产品
网站主页 化工产品目录 生物化工 抗体 一抗 多抗 兔抗CD38多克隆抗体 兔抗CD38多克隆抗体
  • 兔抗CD38多克隆抗体

兔抗CD38多克隆抗体

Anti-CD38 rabbit polyclonal antibody
7210 50 ug 起订
湖北 更新日期:2026-04-05

武汉艾美捷科技有限公司

非会员
联系人:艾美捷
电话:027-59626688拨打
手机:027-59626688 拨打
邮箱:marking@amyjet.com

产品详情:

中文名称:
兔抗CD38多克隆抗体
英文名称:
Anti-CD38 rabbit polyclonal antibody
产品类别:
抗体
背景资料
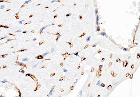
提供的CD38 多克隆抗体为兔来源的多抗。CD38 又称T10,其基因全名为CD38 molecule,蛋白号为P28907。
应用类型
IHC-P
免疫原
A synthetic peptide corresponding to 15 amino acid at C-terminus of human CD38。
来源宿主
反应性
猩猩,人,猴
保存建议
建议在您收到CD38 多克隆抗体产品后将其置于-20度保存,分装以避免反复冻融。
兔抗CD38多克隆抗体_CD38_抗体_

公司简介

武汉艾美捷科技有限公司(AmyJet Scientific Inc),简称艾美捷科技(AmyJet Scientific)。2010年底成立于九省通衢的湖北省武汉市,历经五年多的发展,已成为国内知名的集进口试剂、实验室耗材销售、技术服务与合约开发为一体的专业化高科技生物企业。艾美捷科技总部设在武汉市洪山区光谷大道35号光谷总部国际二期时代1号楼13层,业务覆盖全国。

成立日期 (18年)
注册资本 133.000000万元人民币
员工人数 1-10人
年营业额 ¥ 100万以内
经营模式 贸易,服务
主营行业 生物化工,细胞生物学,生物活性小分子,诊断试剂,氨基酸及其衍生物

兔抗CD38多克隆抗体相关厂家报价

内容声明
拨打电话 立即询价