基本信息 产品详情 公司简介 推荐产品
网站主页 化工产品目录 生物化工 抗体 染色质/表观遗传/细胞周期 Histone Methylation 乙酰组蛋白H2A (LYS9) 兔单克隆抗体 乙酰组蛋白H2A (LYS9) 兔单克隆抗体
  • 乙酰组蛋白H2A (LYS9) 兔单克隆抗体
  • 乙酰组蛋白H2A (LYS9) 兔单克隆抗体

1/2

乙酰组蛋白H2A (LYS9) 兔单克隆抗体

Acetyl-Histone H2A (Lys9) Rabbit Monoclonal Antibody
5310 100 ug 起订
湖北 更新日期:2026-04-05

武汉艾美捷科技有限公司

非会员
联系人:艾美捷
电话:027-59626688拨打
手机:027-59626688 拨打
邮箱:marking@amyjet.com

产品详情:

中文名称:
乙酰组蛋白H2A (LYS9) 兔单克隆抗体
英文名称:
Acetyl-Histone H2A (Lys9) Rabbit Monoclonal Antibody
产品类别:
抗体
背景资料
The core histone proteins (H2A, H2B, H3, and H4) in nucleosome undergo different posttranslational modifications including acetylation, phosphorylation, and methylation. These modifications occur in response to cell stimuli and play an important role in regulating gene expression.
应用类型
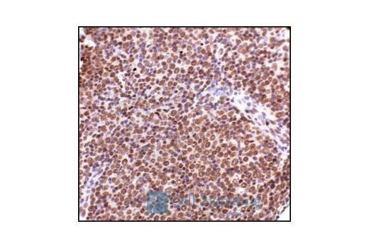
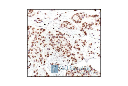
Western blot, IP, IHC
免疫原
N/A
来源宿主
反应性
经检测验证,可与人、小鼠、大鼠种属来源的Acetyl-Histone H2A蛋白发生免疫反应.
保存建议
提供的Acetyl-Histone H2A抗体产品为无色液体.建议使用冰袋运输,收到产品后,请-20 °C储存.该产品有效期为12个月.
乙酰组蛋白H2A _抗体_LYS9_

公司简介

武汉艾美捷科技有限公司(AmyJet Scientific Inc),简称艾美捷科技(AmyJet Scientific)。2010年底成立于九省通衢的湖北省武汉市,历经五年多的发展,已成为国内知名的集进口试剂、实验室耗材销售、技术服务与合约开发为一体的专业化高科技生物企业。艾美捷科技总部设在武汉市洪山区光谷大道35号光谷总部国际二期时代1号楼13层,业务覆盖全国。

成立日期 (18年)
注册资本 133.000000万元人民币
员工人数 1-10人
年营业额 ¥ 100万以内
经营模式 贸易,服务
主营行业 生物化工,细胞生物学,生物活性小分子,诊断试剂,氨基酸及其衍生物

乙酰组蛋白H2A (LYS9) 兔单克隆抗体相关厂家报价

内容声明
拨打电话 立即询价