基本信息 产品详情 公司简介 推荐产品
网站主页 化工产品目录 生物化工 抗体 一抗 多抗 兔抗PRMT5多克隆抗体 兔抗PRMT5多克隆抗体
  • 兔抗PRMT5多克隆抗体
  • 兔抗PRMT5多克隆抗体
  • 兔抗PRMT5多克隆抗体

1/3

兔抗PRMT5多克隆抗体

Anti-PRMT5 rabbit polyclonal antibody
4410 100 ug 起订
湖北 更新日期:2026-04-21

武汉艾美捷科技有限公司

非会员
联系人:艾美捷
电话:027-59626688拨打
手机:027-59626688 拨打
邮箱:marking@amyjet.com

产品详情:

中文名称:
兔抗PRMT5多克隆抗体
英文名称:
Anti-PRMT5 rabbit polyclonal antibody
产品类别:
抗体
背景资料
Protein arginine N-methyltransferase 5牐≒RMT-5) is a member of the PRMT family that localizes to the cytoplasm in many types of tissues. At least three types of PRMT enzymes have been identified that shows essential regulatory functions by methylation of key proteins.
应用类型
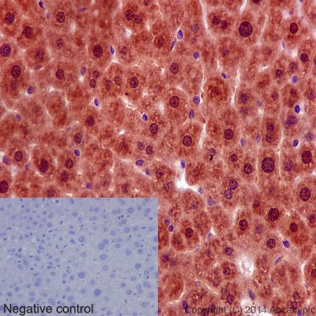
Western blot analysis (0.5-4 ug/ml). However, the optimal conditions should be determined individually. Jurkat cell lysate can be used as a positive control.
免疫原
Synthetic peptide surrounding amino acid 51 of rat PRMT-5
来源宿主
反应性
经检测验证,可与人、小鼠、大鼠种属来源的PRMT-5蛋白发生免疫反应.
保存建议
提供的PRMT-5抗体产品为100 ug 无色溶液,其浓度为0.5 mg/ml,溶解于包含有30%甘油, 0.5% BSA, 0.01%硫柳汞的PBS (pH 7.2)缓冲液中.请将该PRMT-5抗体产品置于-20 ℃冷冻保存,建议分装使用以避免反复冻融.
兔抗PRMT5多克隆抗体_PRMT5_抗体_

公司简介

武汉艾美捷科技有限公司(AmyJet Scientific Inc),简称艾美捷科技(AmyJet Scientific)。2010年底成立于九省通衢的湖北省武汉市,历经五年多的发展,已成为国内知名的集进口试剂、实验室耗材销售、技术服务与合约开发为一体的专业化高科技生物企业。艾美捷科技总部设在武汉市洪山区光谷大道35号光谷总部国际二期时代1号楼13层,业务覆盖全国。

成立日期 (18年)
注册资本 133.000000万元人民币
员工人数 1-10人
年营业额 ¥ 100万以内
经营模式 贸易,服务
主营行业 生物化工,细胞生物学,生物活性小分子,诊断试剂,氨基酸及其衍生物

兔抗PRMT5多克隆抗体相关厂家报价

内容声明
拨打电话 立即询价