基本信息 产品详情 公司简介 推荐产品
网站主页 化工产品目录 生物化工 抗体 一抗 内参抗体 HISTONE H3抗体(兔多抗) HISTONE H3抗体(兔多抗)
  • HISTONE H3抗体(兔多抗)
  • HISTONE H3抗体(兔多抗)
  • HISTONE H3抗体(兔多抗)

1/3

HISTONE H3抗体(兔多抗)

4770 100 ug 起订
湖北 更新日期:2026-04-05

武汉艾美捷科技有限公司

非会员
联系人:艾美捷
电话:027-59626688拨打
手机:027-59626688 拨打
邮箱:marking@amyjet.com

产品详情:

中文名称:
HISTONE H3抗体(兔多抗)
产品类别:
抗体
背景资料
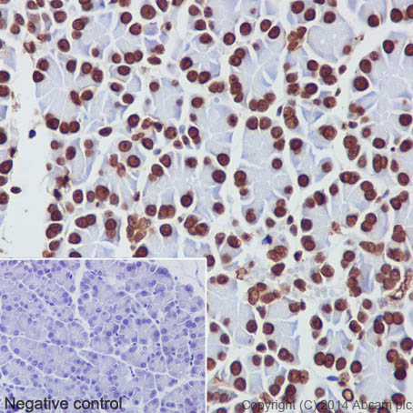
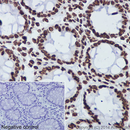
The nucleosome is made up of four core histone proteins (H2A, H2B, H3 and H4) and is the primary building block of chromatin. The N-terminal tail of core histones undergoes different posttranscriptional modification including acetylation, phosphorylation and methylation. These modifications occur in response to cell signal stimuli and have a direct effect on gene expression.
应用类型
Western blotting (0.5-4 ug/ml)and Immunohistochemistry (20 ug/ml). However, the optimal conditions should be determined individually. The antibody detects 17-20 kDa histone H3 protein. It does not cross-react with other histones.
免疫原
Synthetic peptide near the C-terminus of human Histone H3
来源宿主
反应性
经检测验证,可与人、小鼠、大鼠种属来源的Histone H3蛋白发生免疫反应.
保存建议
提供的Histone H3抗体产品为100 ug 无色溶液,其浓度为0.5 mg/ml,溶解于包含有30%甘油, 0.5% BSA, 0.01%硫柳汞的PBS (pH 7.2)缓冲液中.请将该Histone H3抗体产品置于-20 ℃冷冻保存,建议分装使用以避免反复冻融.
HISTONE H3抗体_兔多抗_抗体_

公司简介

武汉艾美捷科技有限公司(AmyJet Scientific Inc),简称艾美捷科技(AmyJet Scientific)。2010年底成立于九省通衢的湖北省武汉市,历经五年多的发展,已成为国内知名的集进口试剂、实验室耗材销售、技术服务与合约开发为一体的专业化高科技生物企业。艾美捷科技总部设在武汉市洪山区光谷大道35号光谷总部国际二期时代1号楼13层,业务覆盖全国。

成立日期 (18年)
注册资本 133.000000万元人民币
员工人数 1-10人
年营业额 ¥ 100万以内
经营模式 贸易,服务
主营行业 生物化工,细胞生物学,生物活性小分子,诊断试剂,氨基酸及其衍生物

HISTONE H3抗体(兔多抗)相关厂家报价

内容声明
拨打电话 立即询价