基本信息 产品详情 公司简介 推荐产品
网站主页 化工产品目录 生物化工 抗体 细胞骨架/细胞外基质 Actin Dynamics P16 ARC RABBIT MONOCLONAL ANTIBODY P16 ARC 兔单克隆抗体
  • P16 ARC 兔单克隆抗体

P16 ARC 兔单克隆抗体

p16 ARC Rabbit Monoclonal Antibody
询价 100 ul 起订
北京 更新日期:2026-04-05

北京百奥莱博科技有限公司

非会员
联系人:北京百奥莱博科技有限公司
电话:18518407031拨打
手机:18518407031 拨打
邮箱:1336677887@163.com

产品详情:

中文名称:
P16 ARC 兔单克隆抗体
英文名称:
p16 ARC Rabbit Monoclonal Antibody
产品类别:
抗体
中文名称:
肌动蛋白相关蛋白2/3复合体亚基5抗体
英文名称:
Rabbit Anti-p16 ARC antibody
宿主物种:兔
交叉反应:人,小鼠,大鼠,奶牛,马,绵羊
克隆类型:多克隆
分 子 量:16kDa
浓 度:1mg/1ml
亚 型:IgG
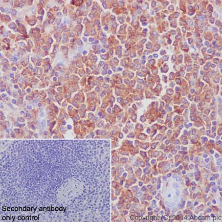
细胞定位:细胞浆
免 疫 原:KLH conjugated synthetic peptide derived from human p16 ARC
纯化方法:蛋白A亲和纯化
产品应用:WB=1:100-500 ELISA=1:500-1000 IHC-P=1:100-500 IHC-F=1:100-500 ICC=1:100-500 IF=1:100-500 (石蜡切片需做抗原修复)
尚未测试其他应用;
实际稀释浓度可根据用户的具体用途决定。
储 存 液:0.01M TBS(pH7.4) with 1% BSA, 0.03% Proclin300 and 50% Glycerol
保存条件:4℃运输,-20℃保存,避免反复冻融
应用领域:细胞生物 信号转导 细胞骨架 细胞外基质
P16 ARC 兔单克隆抗体_P16 ARC_抗体_

公司简介

北京百奥莱博科技有限公司一家专注于生命科学研究领域的生物技术公司,坚持“质量至上,服务为本,全心全意助力生命科学”的理念,为广大用于提供稳定、可靠、专业的产品和服务支持,产品线包括分子生物学,细胞生物学,免疫检测,抗体,重组蛋白,血液制品等系列。“忙忙碌碌的平凡,铸就事业的不凡”。让我们携起手来,共同创造生命科学的蓬勃发展。

成立日期 (13年)
注册资本 10.000000万人民币
员工人数 50-100人
年营业额 ¥ 100万以内
经营模式 工厂
主营行业 核苷,核苷酸,寡核苷酸,抗体,细胞生物学,免疫安全,生物芯片

P16 ARC 兔单克隆抗体相关厂家报价

内容声明
拨打电话 立即询价