基本信息 产品详情 公司简介 推荐产品
网站主页 化工产品目录 生物 技术服务 病理服务 HE染色 HE切片 HE染色 HE切片
  • HE染色 HE切片

HE染色 HE切片

hematoxylin-eosin staining
询价 1次 起订
上海 更新日期:2026-04-05

上海科敏生物科技有限公司

非会员
联系人:科敏
电话:18930018955拨打
手机:18930018955 拨打
邮箱:2633804423@qq.com

产品详情:

中文名称:
HE染色 HE切片
英文名称:
hematoxylin-eosin staining
产品类别:
技术服务

染色:a,HE染色:8元/张(如染色张数大于60张,按7元/张收费)。

              b,特殊染色:50/张(如染色张数大于30张,按40元/张收费)。

上海科敏生物科技有限公司为一家向客户提供专业实验病理结果分析及配套技术服务的创新企业。目前,公司旗下汇聚多名具有三甲医院病理科高级职称的病理医师,为您提供专业、快速及可靠的病理分析服务,主要包括临床样本病理诊断结果复核,免疫组化结果判读,肿瘤学及毒理学动物模型病理表型分析以及投稿前病理图片审核等,所有服务均提供包括镜下病理描述、数码图片及实验结果分析在内的专业病理分析报告。同时,公司也建立了先进的病理技术服务平台,涵盖了从实验标本取材,蜡块制作、切片染色(HE及各项特殊染色)至免疫组化服务及组织芯片构建等各个层面。其中,免疫组化技术平台拥有多种经过预实验验证的抗体,建立了相应的实验方法,极大的提高了实验结果的可靠性,免去抗体订购等实验流程,缩短实验周期,降低实验投入;组织芯片构建平台采用进口预制蜡块,多种通量可供选择,点阵排列整齐,黏附性极佳,构建过程快速高效。上海科敏生物科技有限公司向您提供以病理分析服务为核心的个性化定制服务,为您的科学研究保驾护航,欢迎免费咨询!

一、服务介绍

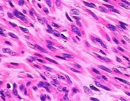
苏木精—伊红染色法(hematoxylin-eosin staining),简称HE染色法,石蜡切片技术里常用的染色法之一。苏木精染液为碱性,主要使细胞核内的染色质与胞质内的核糖体着紫蓝色;伊红为酸性染料,主要使细胞质和细胞外基质中的成分着红色。

二、实验原理

易于被碱性或酸性染料着色的性质分别被称为嗜碱性和嗜酸性,而对碱性染料和酸性染料亲和力都比较弱的现象称为中性。细胞内的酸性物质如细胞核的染色质、腺细胞和神经细胞内的粗面内质网及透明软骨基质等均被碱性染料染色,这些物质称为嗜碱性。而细胞质中的其它蛋白质如红细胞中的血红蛋白、嗜酸粒细胞的颗粒及胶原纤维和肌纤维等被酸性染料染色,这些物质称为嗜酸型。脱氧核糖核酸(DNA)两条链上的磷酸基向外,带负电荷,呈酸性,很容易与带正电荷的苏木精碱性染料以离子键结合而被染色。苏木精在碱性溶液中呈蓝色,所以细胞核被染成蓝色。伊红是一种化学合成的酸性染料,在水中离解成带负电荷的阴离子,与蛋白质的氨基正电荷的阳离子结合使胞浆染色,细胞浆、红细胞、肌肉、结缔组织、嗜伊红颗粒等被染成不同程度的红色或粉红色,与蓝色的细胞核形成鲜明对比。

三、实验流程

1.将脱蜡至水的切片放入苏木精水溶液中染色数分钟。

2.酸水及氨水中分色,各数秒钟。

3.流水冲洗1 h后入蒸馏水片刻。

4.70%和90%酒精中脱水各10 min。

5.酒精伊红染色液染色2-3 min。

6.染色后的切片经纯酒精脱水,再经二甲苯使切片透明。

7.将已透明的切片滴上加拿大树胶,盖上盖玻片封固。

四、服务说明

1.客户提供:石蜡标本。

2.公司提供:基本实验步骤、图片、数据分析结果。

3。实验周期:1周左右,具体需要根据实验内容而定。

五、质量承诺

提供清晰的图片、可靠的检测数据和分析结果

HE染色_HE切片_技术服务_

公司简介

上海科敏生物科技有限公司是专注于生命科学领域的高新技术企业,专业经营进口试剂、仪器、化工原料及实验室消耗品等。产品覆盖分子生物学、细胞生物学、免疫学、疾病研究、生物制品生产等科研使用领域。在为用户提供科研方便的同时,非常注重产品的经济性,除了关注产品的性能价格,还力求减少流通环节,为用户节约经费。恒斐公司提供在各个领域的国际知名品牌产品,如Life Technologies (旗下包括ABI、Invitrogen、GIBCO、Molecular Probes、Ambion、Dynal、Cascade等)、Abcam、sigma、CST、Santa CRUZ、IBL、R&D、Merck、clontech、NEB、Millipore、BD、DAKO、Corning等知名生物公司产品。

成立日期 (14年)
注册资本 10.000000万人民币
员工人数 50-100人
年营业额 ¥ 300万-500万
经营模式 贸易,工厂,试剂,定制,服务
主营行业 生化试剂,抗体,蛋白组学,分子生物学,免疫安全

HE染色 HE切片相关厂家报价

内容声明
拨打电话 立即询价