基本信息 产品详情 公司简介 推荐产品
网站主页 BS69 antibody
  • BS69 antibody

BS69 antibody

BS69 antibody
询价 1EA 起订
其他 更新日期:2026-04-21

GeneTex

非会员
联系人:GeneTex
电话:963616735拨打
手机:13817352439 拨打
邮箱:info@genetex.com

产品详情:

英文名称:
BS69 antibody
适应物种:
Human
货号:
gtx103403
应用范围:
WB,ICC/IF,IHC-P
宿主:
Rabbit

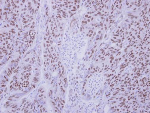
Immunohistochemical analysis of paraffin-embedded human colon carcinoma, using BS69 antibody(GTX103403) antibody at 1:250 dilution.
Antigen Retrieval: Trilogy™ (EDTA based, pH 8.0) buffer, 15min

Western Blot analysis of ZMYND11 expression in transfected 293T cell line by ZMYND11 polyclonal antibody.
A: Non-transfected lysate.
B: ZMYND11 transfected lysate.
7.5% SDS PAGE
GTX103403 diluted at 1:1000

BS69 antibody detects ZMYND11 protein at nucleus by immunofluorescent analysis.
Sample: A431 cells were fixed in 4% paraformaldehyde at RT for 15 min.
Green: ZMYND11 protein stained by BS69 antibody (GTX103403) diluted at 1:500.
Blue: Hoechst 33343 staining.

BS69 antibody;抗体

公司简介


成立日期
注册资本
员工人数
年营业额
经营模式
主营行业

BS69 antibody相关厂家报价

  • BS69 Antibody
  • BS69 Antibody
  • 佰思诺(天津)生物科技有限公司
  • 2026-04-21
  • ¥2400
内容声明
拨打电话 立即询价