基本信息 产品详情 公司简介 推荐产品
网站主页 化工产品目录 生物化工 氨基酸及其衍生物 氨基醇类衍生物 4-(N-乙基-N-羟乙基)-2-甲基苯二胺硫酸盐
  • CD4

CD4

CD4
25646-77-9
1800 100ul 起订
湖北 更新日期:2026-04-05

武汉赛维尔生物科技有限公司

非会员
电话:027-85714038 13871541984拨打
邮箱:94302638@qq.com

产品详情:

英文名称:
CD4
CAS号:
25646-77-9
货号:
GB11064-100
规格:
100ul
保质期:
一年
保存条件:
-20℃
技术背景
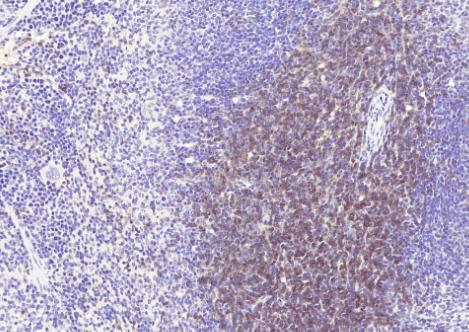
CD4标记辅助性T(Th)细胞。主要在T细胞型急性淋巴细胞白血病,胸腺,外周血等表达。正常状态一般不表达,多在恶性肿瘤(淋巴瘤等),自身免疫系统疾病,病毒感染等状态下才过高或过低的表达。
 
产品内容
免疫原:KLH偶联的多肽
来源:兔
克隆类型:多克隆
纯化方法:亲和纯化
 
实验应用
适用种属:小鼠
IHC:1:500-1500,细胞膜
 
 
注意事项
1.本产品在-20℃有效期一年,避免反复冻融。
2.本产品仅用于科研用途。
温馨提示:不可用于临床治疗。
CD4;试剂

公司简介


成立日期 (11年)
注册资本 1525.42万人民币
员工人数
年营业额
经营模式
主营行业

CD4相关厂家报价 更多

  • CD4
  • CD4
  • 四川瑞博特生物科技有限公司
  • 2026-04-05
  • 询价
  • CD4
  • CD4
  • 北京华夏远洋科技有限公司
  • 2026-04-05
  • ¥2600
  • CD4
  • CD4
  • 北京孚博生物科技有限公司
  • 2026-04-05
  • ¥1000
内容声明
拨打电话 立即询价