基本信息 产品详情 公司简介 推荐产品
网站主页 化工产品目录 生物 细胞培养 人大细胞肺癌细胞 NCI-H460 Cell:人大细胞肺癌细胞系
  • NCI-H460 Cell:人大细胞肺癌细胞系

NCI-H460 Cell:人大细胞肺癌细胞系

NCI-H460 Cell
1558 1000000cells/瓶 起订
询价 2000000cells/瓶 起订
上海 更新日期:2026-04-15

上海宾穗生物科技有限公司

VIP6年
联系人:李经理
电话:18301908279拨打
邮箱:1292752157@qq.com

产品详情:

中文名称:
NCI-H460 Cell:人大细胞肺癌细胞系
英文名称:
NCI-H460 Cell
保存条件:
液氮保存
纯度规格:
1x10(6)viable cells/ml
产品类别:
实验化学品

"NCI-H460 Cell:人大细胞肺癌细胞系
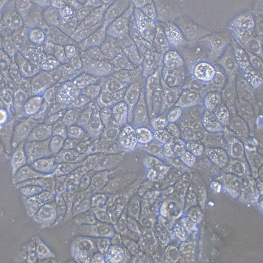
细胞形态:上皮细胞样
细胞生长:贴壁
细胞背景资料:该细胞1982年由A.F.Gazdar建系,源自一位患有大细胞肺癌的男性的胸腔积液。该细胞角蛋白、波形蛋白阳性。
UMC11细胞系相关产品:U-373-MG细胞、KRC/Y细胞、NTERA-2 cl.D1细胞
NCIH661细胞系相关产品:YTMLC-90细胞、H1618细胞、HUVEC-C[HUVEC]细胞
HUT125细胞系相关产品:MLE 12细胞、P3X63Ag8653细胞、32D clone3细胞
HTR-8/SVneo细胞系相关产品:DV-90细胞、hCMEC/D3细胞、PC-12细胞
细胞物种来源:人源或鼠源等其它物种来源
NCI-H460 Cell:人大细胞肺癌细胞系
细胞消化过程总结:其实绝大部分细胞消化的时候是只要用胰酶润洗一遍即可,吸去胰酶后,残留的那些无法计算体积的附着在细胞表面的微量胰酶在37度一般不到2min足够消化细胞(绝大部分1min不到)。对于这些细胞原则上不要用胰酶孵育细胞,连续这样传代,对细胞伤害很大。简单的程序是PBS润洗吸去,胰酶润洗吸去,然后37度消化。2,什么算是消化好了呢?不是细胞全部成间隔分布很离散的单个圆形才算消化好了,一般你肉眼观察贴壁细胞层,只要能移动了,多半呈沙壮移动,其实已经可以了,很多人喜欢把细胞消化或者吹打成完全分离细胞,这是没有必要的。一般能移动了,说明细胞与培养基质材料的附着已经消失了,细胞之间的附着也已经消失了,细胞已经独立分布了(虽然没有呈现很广的离散分布)。这个时候应该停止消化,不要等到看到镜下所有细胞都分离得非常好,间隙很大,才停止。细胞就是完全成单个细胞悬液,之后在贴壁的过程中仍然会聚集,这个是贴壁培养的细胞,尤其是肿瘤细胞的一个特性,无论死活的细胞都是如此,你可以尝试,准备100%的单个细胞悬液,贴壁后观察细胞,仍然是几个几个细胞聚集在一起。一些悬浮培养细胞也是如此,容易聚集,不要去尝试过几个小时就拿出来吹打成单细胞悬液(不要笑,这个是初养悬浮细胞的人常犯的错误,以为悬浮培养就是一个一个分开)。细胞只要能从基质上脱离下来,这个时候即使是成片的(比如Calu-3细胞),吹打不超过20次后(一般10次即可),成小规模聚集(10个细胞左右),是正常的,不要试图再去延长消化时间,或者像有的同学那样吹打1h,等待单细胞悬液出现。比较难消化的细胞(润洗方法5min还不能消化),比如HCT15, LS411和KM12,这样的细胞一般需要用少量胰酶孵育,但也不需要很多,一般100mm dish,一次最多加入500ul,就足够了,一般我加300ul。即使这样难消化的细胞,一般不超过5min,即可见细胞成片移动,就应该停止消化。一些正常细胞也会有难消化的时候,比如tsDC细胞,但也只要用少量胰酶孵育,3min左右即可看到成片沙状移动。
细胞产品包装:复苏形式:T25培养瓶(一瓶)或冻存形式:1ml冻存管(两支)
细胞传代方法:1:2传代
细胞培养实验中常见问题总结:1)一般客户拿到细胞后,应该注意什么?客户收到细胞后先不开盖,放在培养箱静置若干小时后(看细胞密度而定)在倒置显微镜下观察细胞生长情况,并对细胞进行不同倍数拍照(建议受收细胞后观察培养基的颜色和是否有漏液情况,显微镜下拍细胞100X,200X各一张),排除细胞本身污染的情况;收到细胞未开封,出现污染状况我们负责免费发送一株细胞。收到细胞时如无异常情况,请在显微镜下观察细胞密度,如为贴壁细胞,未超过80%汇合度时,将培养瓶中培养液吸出,留下10ml培养液继续培养;超过80%汇合度时,请按细胞培养条件传代培养。如为悬浮细胞,吸出培养液、1000转/分钟离心2分钟,吸出上清,管底细胞用新鲜培养基悬浮细胞后移回培养瓶。细胞消化液建议使用PBS配制,慎用Hanks液配制;2)快递细胞多久能到,是寄冻存的细胞还是复苏好的细胞?我们采用快递发货,一般外地2--3天,寄细胞前请确认当地温度,如果气温低于4度的,则采用邮寄冻存细胞;3)可否使用与原先培养条件不同之培养基?不能。每一细胞株均有其特定使用且已适应之细胞培养基,若骤然使用和原先提供之培养条件不同之培养基,细胞大都无法立即适应,造成细胞无法存活;4)可否使用与原先培养条件不同之血清种类?不能。血清是细胞培养上一个极为重要的营养来源,所以血清的种类和品质对于细胞的生长会产生极大的影响。来自不同物种的血清,在一些物质或分子的量或内容物上都有所不同,血清使用错误常会造成细胞无法存活。
细胞来源说明:细胞主要来源ATCC、DSMZ、ECACC、RIKEN、INCell、promocell、ScienCell、ECACC、JCRB、KCLB、Asterand、ICLC以及少数国外著名大学建系
QGY 7701细胞系相关产品:NCI H23细胞、HOPC细胞、MS1细胞
H1836细胞系相关产品:H-1581细胞、MUGCHOR1细胞、GM00215A细胞
Human Melanoma Cell Bowes细胞系相关产品:Jeko1细胞、hEM15A细胞、Ca 9-22细胞
T47D:A细胞系相关产品:PL-45细胞、FLC7细胞、OACP4 C细胞
TK10细胞系相关产品:KY70细胞、SK HEP-1细胞、NCI-H1651细胞
细胞生长特性:贴壁生长
NCI-H460 Cell:人大细胞肺癌细胞系
细胞复苏后贴壁细胞较少的问题分析:总结1:复苏过程没有问题,是否是从液氮拿出直接放入温水,还有培养箱,二氧化碳浓度,培养基、PH值等环节。要么加高浓度FBS 15-20%,看看能否帮助贴壁,当然也需要考虑血清问题,还有确信拿来的细胞没问题。总结2:首先应该怀疑冻存,实际上复苏出问题的可能非常小,因为操作简单,而且死板。1、你冻存的时候是不是消化的时间过长,这是一般人所注意不到的,即使书上也不讲这个问题,太长的消化时间会让细胞复苏时失去贴壁能力,表现为先贴后死,原因是在你复苏的时候细胞已进入凋亡程序,不可逆转的死亡。2、你的冻存液好不好,是什么,甘油还是DMSO,质量非常重要,否则也会死亡。3、你的冻存液的量加的是不是太多,ATCC推荐是不超过7%,大于5%,太多也不好。4、你在冻存的时候是不是把DMSO混均匀,这个有一些影响,但不算太大。5、你的冻存是否按部就班,就是所温度梯度是不是把握严格,很多人容易忘却这个事情,因为这个东西流程长。6、如果你细胞污染,你是否能很快看到,我比我的导师能早一天看到污染。从这个角度讲建议去除离心这步。7、你的细胞在冻存前是否过密。还有,不赞成孵箱污染这个概念的,所有在一个孵箱里的细胞都污染一个细菌的话,这个细菌是源于孵箱的,但这不代表孵箱污染,因为孵箱无论你如何处理都有大量的细菌,问题在操作。每次污染的原因都要尽可能的找,以后就不犯同样的问题,这个很重要,不能靠猜,否则你就有可能细胞养绝最后换课题,这个见得太多了,别不当会事。
细胞形态特性:上皮样
J 774A.1细胞系相关产品:Panc4.03细胞、SKCol1细胞、KBM-5细胞
NCI-H650细胞系相关产品:SK 1细胞、COLO394细胞、Hs 600.T细胞
ECC-1细胞系相关产品:3T3 Swiss Albino细胞、Neuro2a细胞、H2126细胞
CALU1细胞系相关产品:LUDLU1细胞、NCI-HUT-69细胞、H1770细胞
H1651细胞系相关产品:OVSAHO细胞、LC-2-Ad细胞、SkChA1细胞
CEM clone 7细胞系相关产品:NKM-1细胞、BTI-TN5B1-4细胞、SW-620细胞
LA-N-6细胞系相关产品:NCIH1781细胞、HLEC-SRA 01/04细胞、KLN 205细胞
NCI-H460 Cell:人大细胞肺癌细胞系
SKMEL-31细胞系相关产品:NOMO1细胞、EST81细胞、b.End3细胞
Lu-65细胞系相关产品:LO2细胞、NCIH661细胞、MDAMB175细胞
Hs821T细胞系相关产品:ATC241细胞、HCC2279细胞、MZ-CRC-1细胞
EBNA-293细胞系相关产品:SKNBE(1)细胞、QBC(939)细胞、GP5d细胞
CAOV3细胞系相关产品:CEL细胞、ACHN细胞、B16-F1细胞
H920细胞系相关产品:HG2855细胞、SPCA-1细胞、MA-c细胞
HCCLM3细胞系相关产品:HAEC细胞、Panc_03_27细胞、EB-3细胞
CEK细胞系相关产品:BEAS 2B细胞、HS 445T细胞、Calu-1细胞
GM02132细胞系相关产品:SNU-620细胞、VMM5A细胞、A549ATCC细胞
GM02132细胞系相关产品:SNU-620细胞、VMM5A细胞、A549ATCC细胞
PANC0327细胞系相关产品:3T3 L1细胞、EU-2细胞、Granta-519细胞
AC16 [Human hybrid]细胞系相关产品:SU86.86细胞、L2细胞、L23/P细胞
Melan-a细胞系相关产品:HCC15细胞、HNE1细胞、HPAF-2细胞
JIMT细胞系相关产品:HECV细胞、OCILY19细胞、SUPB15细胞
T98G细胞系相关产品:RS4:11细胞、130T细胞、NSI/1-Ag4-1细胞
87 MG细胞系相关产品:Hs888 Lu细胞、KU.812细胞、HSC-T6细胞
mIMCD-3细胞系相关产品:NIH:OVCAR4细胞、BJA-B细胞、H1882细胞
WPMY1细胞系相关产品:TJ905细胞、SNU-C1细胞、KYSE 140细胞
SCC-1395细胞系相关产品:mREC细胞、HCC-1500细胞、Buffalo Rat Liver-3A细胞
8305-C细胞系相关产品:CDC/EU.HMEC-1细胞、TGHAVSMC细胞、MCF12F细胞
HLE-B3细胞系相关产品:2PK-3细胞、HTSMC细胞、RPE-hTERT细胞
MD Anderson-Metastatic Breast-330细胞系相关产品:RINm-5F细胞、3T3-Swiss albino细胞、EBC1细胞
CHG-5细胞系相关产品:SW1573细胞、A375.S2细胞、CL 1-5细胞
B16 F10细胞系相关产品:A-704细胞、253JBV细胞、LNCaP subline C4-2细胞
Panc 08.13细胞系相关产品:AZ 521细胞、HKF细胞、HSAS1细胞
Cor L51细胞系相关产品:NU-GC-3细胞、8305C细胞、MeSoTheliOma-211H细胞
3T3-Swiss albino细胞系相关产品:RPTEC/TERT1细胞、SVG(P12)细胞、ANA-1细胞
NRK-49F细胞系相关产品:SK-MEL 28细胞、SK-N-BE细胞、MCCAR细胞
NCI-SNU-761细胞系相关产品:293细胞、KM12细胞、SNU-182细胞
MDCC-MSB1细胞系相关产品:GA10细胞、CHO Lec1细胞、KE-37细胞
MLE-12细胞系相关产品:MDA361细胞、Sp 2817细胞、TMK1细胞
CMT-167细胞系相关产品:SCLC21H细胞、Hs-578-T细胞、SU8686细胞
MOLT 16细胞系相关产品:R.K.13细胞、HANK1细胞、NS20-Y细胞
3LL细胞系相关产品:HT-22细胞、PA-TU S细胞、SH-SY5Y Parental细胞
BRL-3A细胞系相关产品:Calu-6细胞、Hi5细胞、KM.12细胞
E0771细胞系相关产品:Human Corneal Epithelial cells-Transformed细胞、BC-3-H-I细胞、kms 11细胞
PL 45细胞系相关产品:RK 13细胞、HC-11细胞、Human Embryo Lung-1细胞
HOMEC细胞系相关产品:SK-MES细胞、KYSE-510细胞、BEL 7404细胞
SK-N-BE(2)-C细胞系相关产品:HOS (TE85)细胞、HCC 2185细胞、PL9细胞
A3细胞系相关产品:SF-763细胞、X63-Ag8-653细胞、NPA87细胞
KPNRTBM1细胞系相关产品:32D clone3细胞、H 9细胞、CP-70细胞
JB6 Cl 30-7b细胞系相关产品:T-ALL-1细胞、Jurkat-77细胞、NCI-H2030细胞
ketr 3细胞系相关产品:HTSMC细胞、Granta-519细胞、OVCAR 4细胞
NCI-H460 Cell:人大细胞肺癌细胞系
SPC-A1细胞系相关产品:H548细胞、NCIH1793细胞、HMEC-1细胞
STC-1细胞系相关产品:Tu-686细胞、P3-NS1/1Ag 4.1细胞、NIH/3T3细胞
HCT GEO细胞系相关产品:ISHI细胞、Rainbow Trout Embryo细胞、T_T_细胞
YH细胞系相关产品:NL-20细胞、Virginia Mason Research Center-Lung Cancer D细胞、NCIH596细胞
HuH-6细胞系相关产品:CEM-C7细胞、4-1st细胞、M-1 myeloid leukemia细胞
HS940细胞系相关产品:Panc_02_03细胞、Anip-973细胞、A-9细胞
GM04678细胞系相关产品:P388细胞、L cells (TK-)细胞、GCT细胞
NCIH716细胞系相关产品:GM03573A细胞、3D4/21细胞、AMJ2C8细胞
HEC151细胞系相关产品:Monomac-1细胞、LN-382细胞、253J细胞
SKNBE-2细胞系相关产品:Laboratory of Allergic Diseases 2细胞、IMCD3细胞、SCL I细胞
Z-138细胞系相关产品:H838细胞、LNCaP-FGC细胞、D283 Med细胞
NCI-H510A细胞系相关产品:G-292 clone A141B1细胞、Eph4 1424细胞、P3X63-Ag8.653细胞
"

 

NCI-H460 Cell:人大细胞肺癌细胞系

公司简介

上海宾穗生物科技有限公司 是一家集研发、生产、销售与服务于一体的专业生物制品和化学品供应商。公司总部位于上海市莘庄工业区,拥有现代化办公大楼、标准实验室与生产厂房。上海宾穗生物科技有限公司拥有一支由教授和博士为核心的技术团队,提供超过100000的生物、化学产品,产品涵盖化学、医药、材料、能源、生物等科研领域。公司秉承“客户至上、服务一流”的发展理念,致力于将优质的产品和服务提供给客户。上海宾穗生物科技有限公司整合众多的优势市场资源,以匠心服务广大客户,我们可以为客户提供Binsui、TCI等国内外各种品牌的高品质试剂产品,充分满足客户的试剂需求。

成立日期 (9年)
注册资本 635万元人民币
员工人数 50-100人
年营业额 ¥ 500万-1000万
经营模式 工厂,服务
主营行业 通用试剂,高纯试剂,催化试剂,基础无机试剂

NCI-H460 Cell:人大细胞肺癌细胞系相关厂家报价 更多

内容声明
拨打电话 立即询价