基本信息 产品详情 公司简介 推荐产品
网站主页 化工产品目录 生物 细胞培养 细胞系 大鼠细胞系 CFSC-8B CELL<大鼠肝星形细胞系> CFSC-8B Cell:大鼠肝星形细胞系
  • CFSC-8B Cell:大鼠肝星形细胞系

CFSC-8B Cell:大鼠肝星形细胞系

CFSC-8B Cell
询价 1000000cells 起订
2000000cells 起订
上海 更新日期:2026-04-17

上海宾穗生物科技有限公司

VIP6年
联系人:李经理
电话:18301908279拨打
邮箱:1292752157@qq.com

产品详情:

中文名称:
CFSC-8B Cell:大鼠肝星形细胞系
英文名称:
CFSC-8B Cell
保存条件:
低温避光
纯度规格:
1×10(6)cells/T25培养瓶
产品类别:
实验化学品
"CFSC-8B Cell:大鼠肝星形细胞系
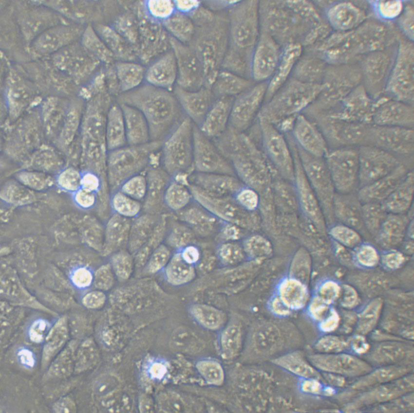
细胞形态:上皮细胞样
细胞生长:贴壁
细胞背景资料:详见相关文献介绍
JROECL 19细胞系相关产品:BI-Mel细胞、KRC Y细胞、HBSMC细胞
SH-SY5Y Parental细胞系相关产品:KYSE-70细胞、YD38细胞、Calu6细胞
HCC-38细胞系相关产品:KLM1细胞、KE39细胞、SW-756细胞
Buffalo Rat Liver-3A细胞系相关产品:VMRCLCD细胞、Hs940.T细胞、Verda reno细胞
细胞物种来源:人源或鼠源等其它物种来源
CFSC-8B Cell:大鼠肝星形细胞系
细胞培养过程中相关问题总结:悬浮性细胞应如何继代处理?一般仅需持续加入新鲜培养基于原培养角瓶中,稀释细胞浓度即可,若培养液太多时,可将培养角瓶口端稍微抬高,直到无法容纳为止。分瓶时取出一部份含细胞之培养液至另一新的培养角瓶,加入新鲜培养基稀释至适当浓度,重复前述步骤即可。欲将一般动物细胞离心下来,其离心速率应为多少转速?欲回收动物细胞,其离心速率一般为300xg(约1,000rpm),5-10分钟,过高之转速,将造成细胞死亡;细胞之接种密度为何?依照细胞株基本数据上之接种密度或稀释分盘之比例接种即可。细胞数太少或稀释的太多亦是造成细胞无法生长之一重要原因;细胞冷冻培养基之成份为何?动物细胞冷冻保存时最常使用的冷冻培养基是含5-10%DMSO(dimethyl sulfoxide)和90-95%原来细胞生长用之新鲜培养基均匀混合之。注意:由于DMSO稀释时会放出大量热能,故不可将DMSO直接加入细胞液中,必须使用前先行配制完成;DMSO之等级和无菌过滤之方式为何?冷冻保存使用之DMSO等级,必须为Tissue culture grade之DMSO,其本身即为无菌状况,次开瓶后应立即少量分装于无菌试管中,保存于4°C,避免反复冷冻解冻造成DMSO之裂解而释出有害物质,并可减少污染之机会。若要过滤DMSO,则须使用耐DMSO之Nylon材质滤膜;冷冻保存细胞之方法?冷冻保存方法一:冷冻管置于4°C 30~60分钟→ (-20°C 30分钟)→-80°C 16~18小时(或隔夜)→液氮槽vaporphase长期储存。冷冻保存方法二:冷冻管置于已设定程序之可程序降温机中每分钟降1-3°C至–80°C以下,再放入液氮槽vapor phase长期储存。-20°C不可超过1小时,以防止冰晶过大,造成细胞大量死亡,亦可跳过此步骤直接放入-80°C冰箱中,惟存活率稍微降低一些;细胞欲冷冻保存时,细胞冷冻管内应有多少细胞浓度?冷冻管内细胞数目一般为1x10(6)cells/ml vial,融合瘤细胞则以5x10(6)cells/ml vial为宜;应如何避免细胞污染?细胞污染的种类可分成细菌、酵母菌、霉菌、病毒和霉浆菌。主要的污染原因为无菌操作技术不当、操作室环境不佳、污染之血清和污染之细胞等。严格之无菌操作技术、清洁的环境、与品质良好之细胞来源和培养基配制是减低污染之方法;如果细胞发生微生物污染时,应如何处理?直接灭菌后丢弃之。
细胞产品包装:复苏形式:T25培养瓶(一瓶)或冻存形式:1ml冻存管(两支)
细胞传代方法:1:2-1:3传代;每周换液2-3次。
细胞接收后的操作流程与注意事项:1)如果细胞为贴壁细胞,而收到时呈悬浮或者部分悬浮的状态,请将悬浮的细胞即时离心,加15%血清的完全培养基到新的培养皿/瓶继续培养3天;同时原培养瓶中剩下的贴壁细胞更换为15%血清的完全培养基培养3天。3天后若原瓶或者新瓶中的细胞都没有出现增值而是继续脱落死亡,请及时联系实验室技术人员会跟进解决;2)贴壁细胞生长缓慢;适当提高血清浓度(最高不能超过20%),或可根据该细胞生长密度,考虑胰酶消化后,转移到新的培养瓶继续培养;3)生长不均:贴壁细胞若出现分布不均,成岛状生长,可将细胞进行消化,重悬打散细胞,加入新鲜培养基进行培养。
细胞来源说明:细胞主要来源ATCC、DSMZ、ECACC、RIKEN、INCell、promocell、ScienCell、ECACC、JCRB、KCLB、Asterand、ICLC以及少数国外著名大学建系
RBL 2H3细胞系相关产品:NCIH2023细胞、UPCI-SCC-90细胞、C4-2细胞
HCC-1359细胞系相关产品:SUM-159PT细胞、NIH:OVCAR-4细胞、Karpas-299细胞
H-1522细胞系相关产品:KNS-42细胞、CAL-78细胞、Hs 766.T细胞
CAMA细胞系相关产品:CAL 51细胞、TSU-Pr1细胞、H929细胞
Hs 688(A).T细胞系相关产品:SCC25细胞、E.G7-OVA细胞、SK LU 1细胞
细胞生长特性:贴壁或悬浮,详见细胞说明书部分
CFSC-8B Cell:大鼠肝星形细胞系
贴壁消化难题:1,先用PBS 把细胞洗两遍,使瓶内没有血清了,减少对胰酶的中和,然后用新配的0.25%的胰酶加入3ml左右,放在37度,然后可以在细胞有些消化下来时,拿着瓶口,运用手腕的力量轻轻震荡瓶内液体,这样细胞很快就下来了,还不需要吹打,分散也均匀;2,成团、絮状:消化液里加入edta可以减少细胞成团的现象,血清可以终止胰酶的作用,如果是进口血清的话也能终止edta的作用。用胰酶消化后胰酶可以倒掉,也可以不倒,直接加血清终止,如果消化液中加入了edta的话,就要将消化液倒干净,如果细胞贴壁要求不是很严格的话,一般不需要进行离心。鼻咽癌细胞的贴壁能力很强,用0.5%胰酶(含0.1%EDTA)一般要消化12~15min。用PBS洗涤时要洗净残余的培养基,加入胰酶后在培养箱中消化(避免细胞室温下受损以及在此温度时胰酶活性最强)至细胞收缩变圆(可显微镜下观察)且有少许细胞脱落(有流下来的趋势),随后立即弃去胰酶(如果脱落的细胞很多且需要大量细胞实验,则不能弃去胰酶),加入培养基仔细吹打(不能用无血清培养基或者PBS替代,否则细胞聚集成团块或絮状)。一般我都离心一次弃去上清(去除残留的胰酶及漂浮的死细胞或细胞碎片);消化过度:马上用培养基中和,用吸管吹打细胞,收集全部的细胞到以无菌的离心管中800RPM 3分钟。弃上清,用全培重悬,换新的培养瓶继续培养,状态不好的细胞在培养的过程中会死亡脱落,在换液的时候可以清除掉!
细胞形态特性:详见细胞说明书
H-838细胞系相关产品:CCLP-1细胞、ACC3细胞、IMR 90细胞
EFM-192A细胞系相关产品:H524细胞、Anip 973细胞、Mv1Lu细胞
Hs274T细胞系相关产品:NCI-H1437细胞、CAOV3细胞、PC-9/S1细胞
COLO-320-HSR细胞系相关产品:OVCA 433细胞、TERT-RPE1细胞、RPTEC/TERT1细胞
8505C细胞系相关产品:BGC823细胞、NCI-H1930细胞、Danio rerio Gill细胞
NCI-H2196细胞系相关产品:MA-104细胞、6-10B细胞、H-1915细胞
Human Liver-7702细胞系相关产品:JiyoyeP-2003细胞、ATDC5细胞、LICR-HN-6细胞
CFSC-8B Cell:大鼠肝星形细胞系
Kasumi 1细胞系相关产品:Nb2-11细胞、PC.3细胞、SK_N_FI细胞
LU65细胞系相关产品:130 T细胞、H2405细胞、SW 1573细胞
UO31细胞系相关产品:MHH-CALL-2细胞、MV-4:11细胞、293 HEK细胞
Calu 6细胞系相关产品:LAN6细胞、H220细胞、K299细胞
Nb2a细胞系相关产品:CEM clone 7细胞、PIGI细胞、Kato-III细胞
SUM159细胞系相关产品:DH-82细胞、GM02132C细胞、SK-RC 42细胞
293-H细胞系相关产品:NCI/ADRRES细胞、SKNAS细胞、Vero E-6细胞
MCA-205细胞系相关产品:HEK-293 c18细胞、NCI-SNU-1040细胞、Nb2a细胞
PLA-802细胞系相关产品:BC-025细胞、H1930细胞、SK-ChA1细胞
PLA-802细胞系相关产品:BC-025细胞、H1930细胞、SK-ChA1细胞
Sarcoma OSteogenic-2细胞系相关产品:8305C_1细胞、MZ-CRC-1细胞、MC116细胞
alpha TC1.6细胞系相关产品:HO1N1细胞、MIN-6细胞、BC-024细胞
IOSE-29细胞系相关产品:LTEP-a-2细胞、SNU-C2B细胞、MAntle cell VERona-1细胞
MA-782细胞系相关产品:NKT细胞、AR41P细胞、UCLA SO M14细胞
hTERT-RPE细胞系相关产品:NPA'87细胞、MEG-01细胞、Adeno-293细胞
MC-26细胞系相关产品:HCC-1428细胞、C3A细胞、Hs 683细胞
Hos TE-85细胞系相关产品:MS1细胞、H650细胞、ACC3细胞
GA-10 (Clone 4)细胞系相关产品:JM细胞、CEM细胞、KMY1022细胞
COLO-679细胞系相关产品:TE-6细胞、H283细胞、3T3-442A细胞
EB-1细胞系相关产品:SUP-M2细胞、CTLA4 Ig-24细胞、SUD6细胞
GP293细胞系相关产品:KU 812细胞、CL-11细胞、BMSC/hBMSCs细胞
Vero E6细胞系相关产品:HL-60细胞、OCIAML3细胞、HOS TE 85细胞
EoL-1细胞系相关产品:MEG-01细胞、U-138-MG细胞、C-Li-7细胞
GM00637I细胞系相关产品:NCIH292细胞、Medical University of Graz-Chordoma 1细胞、HS-940-T细胞
NCIH209细胞系相关产品:LA-N-5细胞、Capan 1细胞、VE细胞
SNU-119细胞系相关产品:HL7702细胞、IBRS2细胞、PaCa2细胞
MD Anderson-Metastatic Breast-134-VI细胞系相关产品:HIBEpiC细胞、HRA19细胞、P3 NS1 Ag4/1细胞
HIEC6细胞系相关产品:JeKo-1细胞、Ramos-RA1细胞、LNCaP FGC细胞
MHCC 97-L细胞系相关产品:CT-26 WT细胞、U-2OS细胞、Colon38细胞
N1S1细胞系相关产品:NTera2 cl.D1细胞、373MG细胞、RCF细胞
H-526细胞系相关产品:HMEC-1细胞、GM05384细胞、Mono-Mac-1细胞
BrCL15细胞系相关产品:Hep II细胞、Cates 1B细胞、P388-D1细胞
C-28/I2细胞系相关产品:C-32细胞、L-5178-Y-R细胞、BNCL-2细胞
Gingival carcinoma Neck Metastasis细胞系相关产品:NIH/3T3细胞、BV-173细胞、HEK/293细胞
H283细胞系相关产品:U266 Bl细胞、beta TC6细胞、Gerner 7666细胞
MCF10-A细胞系相关产品:ME-1 [Human leukemia]细胞、SNU387细胞、SNU251细胞
MTEC1细胞系相关产品:HCC-1833细胞、Vero 76 clone E6细胞、HS-294细胞
U 937细胞系相关产品:EAHY-926细胞、N1S1细胞、HBdSMC细胞
C17.2细胞系相关产品:U 138 MG细胞、Eca109细胞、U266S细胞
OVCAR-8/ADR细胞系相关产品:Psi2 DAP细胞、MDAMB134VI细胞、X63-Ag8-653细胞
HAC-84细胞系相关产品:Panc-3_27细胞、KNS62细胞、Hs-729-T细胞
C-33 A细胞系相关产品:ST2细胞、KRC-Y细胞、VP 229细胞
NCI-H2444细胞系相关产品:MPC-5细胞、NCI-H2009细胞、KPL4细胞
CFSC-8B Cell:大鼠肝星形细胞系
A2780 CP70细胞系相关产品:Cor L88细胞、B958细胞、HELA-GFP细胞
LSC-1细胞系相关产品:NCIH1703细胞、NIH 3T3细胞、CF-1 MEF细胞
BMSC/hBMSCs细胞系相关产品:NCI-SNU-398细胞、H-820细胞、251MG细胞
MC-38细胞系相关产品:OE-21细胞、SUDHL8细胞、HeLa S3细胞
KRC Y细胞系相关产品:L540细胞、B-95-8细胞、McG-1细胞
MDAMB436细胞系相关产品:SW-1990细胞、UMR-106细胞、SJRH-30细胞
SK-RC-52细胞系相关产品:SC细胞、H4IIE细胞、HT 1080.T细胞
GP2-293细胞系相关产品:AM38细胞、COLO320-DM细胞、NCI-H1944细胞
COLO 320 DM细胞系相关产品:HT 1197.T细胞、WPMY1细胞、SK-MEL-2-LUC细胞
NCI-H1648细胞系相关产品:CT26-clone 25细胞、UPCI:SCC154细胞、MSTO-211H细胞
HeLa/S3细胞系相关产品:Lilly Laboratories Cell-Porcine Kidney 1细胞、NCTC1469细胞、GP-293细胞
KU19-19细胞系相关产品:LTEPa2细胞、CHP-126细胞、SW 1116细胞
"
CFSC-8B Cell:大鼠肝星形细胞系

公司简介

上海宾穗生物科技有限公司 是一家集研发、生产、销售与服务于一体的专业生物制品和化学品供应商。公司总部位于上海市莘庄工业区,拥有现代化办公大楼、标准实验室与生产厂房。上海宾穗生物科技有限公司拥有一支由教授和博士为核心的技术团队,提供超过100000的生物、化学产品,产品涵盖化学、医药、材料、能源、生物等科研领域。公司秉承“客户至上、服务一流”的发展理念,致力于将优质的产品和服务提供给客户。上海宾穗生物科技有限公司整合众多的优势市场资源,以匠心服务广大客户,我们可以为客户提供Binsui、TCI等国内外各种品牌的高品质试剂产品,充分满足客户的试剂需求。

成立日期 (9年)
注册资本 635万元人民币
员工人数 50-100人
年营业额 ¥ 500万-1000万
经营模式 工厂,服务
主营行业 通用试剂,高纯试剂,催化试剂,基础无机试剂

CFSC-8B Cell:大鼠肝星形细胞系相关厂家报价

内容声明
拨打电话 立即询价