基本信息 产品详情 公司简介 推荐产品
网站主页 化工产品目录 生物 细胞培养 细胞系 大鼠细胞系 RCA-B EPITHELIOID CELLS大鼠鳞癌细胞系 Rca-B epithelioid cells大鼠鳞癌细胞系
  • Rca-B epithelioid cells大鼠鳞癌细胞系

Rca-B epithelioid cells大鼠鳞癌细胞系

Rca-B epithelioid cells
询价 2000000cells 起订
1000000cells 起订
上海 更新日期:2026-04-28

上海宾穗生物科技有限公司

VIP6年
联系人:李经理
电话:18301908279拨打
邮箱:1292752157@qq.com

产品详情:

中文名称:
Rca-B epithelioid cells大鼠鳞癌细胞系
英文名称:
Rca-B epithelioid cells
保存条件:
液氮保存
纯度规格:
1x10(6)viable cells/ml
产品类别:
实验化学品
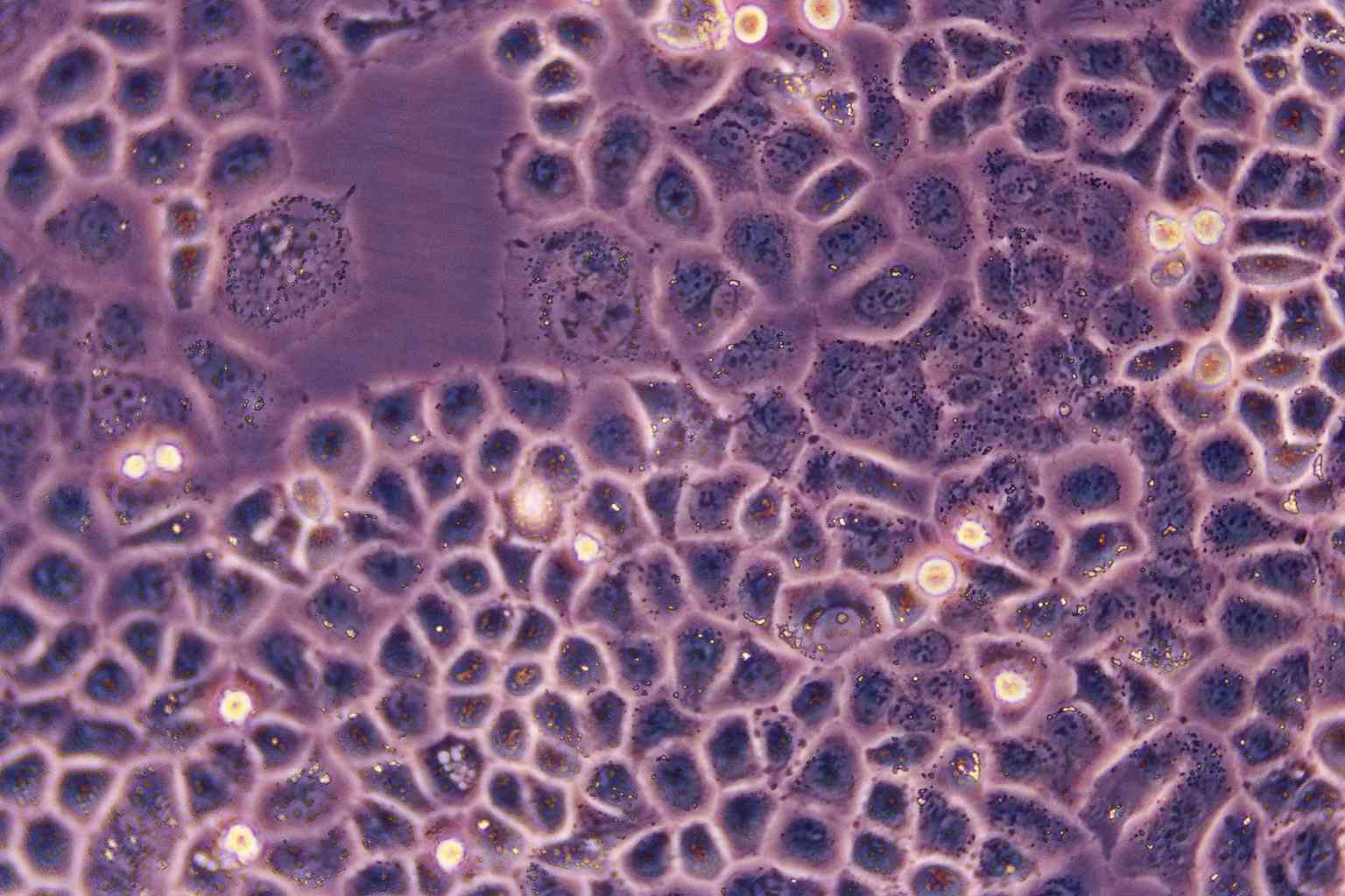
"Rca-B epithelioid cells大鼠鳞癌细胞系
细胞背景资料:鳞癌;SD大鼠
细胞形态:上皮细胞样
细胞复苏相关注意事项:1.取细胞的过程中注意带好防冻手套,护目镜。此项尤为重要,细胞冻存管可能漏入液氮,解冻时冻存管中的气温急剧上升,可导致爆炸。2.冻存液的问题:冻存液的配置已是常识,在这里不作详述,但二甲基亚砜(DMSO )对细胞不是完全无毒副作用,在常温下,二甲基亚砜对细胞的毒副作较大,因此,必须在1-2min内使冻存液完全融化。如果复苏温度太慢,会造成细胞的损伤,二甲基亚砜(DMSO)选择进口产品。3.离心前须加入少量培养液。细胞解冻后二甲基亚砜浓度较高,注意加入少量培养液可稀释其浓度,以减少对细胞的损伤。4.离心问题:目前主要有两种见解。一种是解冻后的细胞悬液直接吹打均匀后分装到培养瓶中进行培养,第二天换液。因为离心的目的是两个,去除DMSO,去除死细胞,这个是标准流程,但对一般人来说,把握不好离心转速和时间,转的不够活细胞沉底的少,细胞就全被扔掉了,转过了活细胞会受压过大,死亡。此外在操作过程中容易污染,所以不推荐。另一种说法为细胞悬液中含有二甲基亚砜(DMSO),DMSO对细胞有一定的毒副作用,所以须将离心后的液体前倒净,且一定倒干净。我在试验中按照常规的离心分装的方法进行复苏,结果无异常。5.细胞贴壁少的问题:教科书中说明冻存细胞解冻时1ml细胞液要加10ml-15ml培养液,而在我的试验中的经验总结为培养基越少细胞越容易贴附。6.复苏细胞分装的问题:试验中我的经验总结为复苏1管细胞一般可分装到1-2只培养瓶中,分装过多,细胞浓度过低,不利于细胞的贴壁。7.加培养基的量放入问题:这个量的多少的把握主要涉及到的问题DMSO的浓度,从如果你加培养基的太少,那么DMSO的浓度就会比较大,就会影响细胞生长,从以前的资料来看,DMSO的浓度在小于0.5%的时候对一般细胞没有什么影响,还有一个说法是1%。所以如果你的冻存液的浓度是10%DMSO的话那么加10ml以上的培养基就恰好稀释到了无害浓度。
RetroPack PT67细胞系相关产品:MAD109细胞、CAL78细胞、T84细胞
32D clone 3细胞系相关产品:A875细胞、MDA231-LM2细胞、N-9细胞
CCD 966SK细胞系相关产品:MS 751细胞、DHL8细胞、TGBC11TKB细胞
细胞生长:贴壁
Rca-B epithelioid cells大鼠鳞癌细胞系
细胞物种来源:人源或鼠源等其它物种来源
细胞产品包装:复苏形式:T25培养瓶(一瓶)或冻存形式:1ml冻存管(两支)
为了防止因污染或技术原因使长期培养功亏一篑,考虑到培养细胞因传代而迟早会出现变异,有时因寄赠、交换和购买,培养细胞从一个实验室转运到另一个实验室,的策略是进行低温保存。这对于维持一些特殊细胞株的遗传特性极为重要。现简要介绍深低温保存法(-70℃~-196℃)的特点。细胞深低温保存的基本原理是:在-70℃以下时,细胞内的酶活性均己停止,即代谢处于完全停止状态,故可以长期保存。细胞低温保存的关键,在于通过0~20℃阶段的处理过程。在此温度范围内,水晶呈针状,极易招致细胞的严重损伤。冻存细胞的复苏:冻存细胞较脆弱,要轻柔操作。冻存细胞要快速融化,并直接加入完全生长培养基中。若细胞对冻存剂(DMSO或甘油)敏感,离心去除冻存培养基,然后加入完全生长培养基中。直接铺板方法:取出贮存细胞,37℃水浴中快速融化;直接用完全生长培养基铺板细胞。1ml冻存细胞使用10~20ml完全生长培养基。进行活细胞计数,细胞接种应该至少在3×10(5)活细胞/ml;培养细胞12到24小时,更换新鲜的完全生长培养基,去除冻存剂。离心方法:取出贮存细胞,37℃水浴中快速融化;把1到2ml冻存细胞加入到大约25ml完全生长培养基,轻轻混匀;以大约80x离心2到3分钟;弃去上清。在完全生长培养基轻轻再次悬浮细胞,并且进行活细胞计数。细胞铺板,细胞接种应该至少为3×10(5)活细胞/ml。细胞的分化:一个成年人全身细胞总数约1012个,可以区分为200多种不同类型的细胞:形态结构,代谢,行为,功能等各不相同。追根溯源,这么多种细胞均来自一个受精卵细胞。所以,通常把发育过程中,细胞后代在形态、结构和功能上发生差异的过程称为细胞分化。细胞分化发生在胚胎阶段,也发生在胎儿出生以后,乃至成人阶段。例如,人体血细胞的产生和分化,这个过程在人的一生中一直持续着。由旺盛生长不断分裂的细胞,转入分化,通常从细胞周期中G1期开始时一个确定的点G0点“逃逸”出细胞周期。旺盛生长分裂的细胞和各种分化了的细胞,它们的基因表达和代谢活动各不相同。
细胞传代方法:1:2-1:3传代;每周换液2-3次。
University of Michigan-Urothelial Carcinoma-1细胞系相关产品:A 375细胞、RLE-6TN细胞、NCM-460细胞
NG108-15细胞系相关产品:MRAEC细胞、Centre Antoine Lacassagne-78细胞、AA-Mel细胞
End1/E6E7细胞系相关产品:Vero E6细胞、HECCL-1细胞、H1869细胞
KB细胞系相关产品:T-ALL1细胞、H-2171细胞、SUM-159PT细胞
ME1细胞系相关产品:TE9细胞、Tb 1 Lu (NBL-12)细胞、NCI-H2228细胞
细胞来源说明:细胞主要来源ATCC、DSMZ、ECACC、RIKEN、INCell、promocell、ScienCell、ECACC、JCRB、KCLB、Asterand、ICLC以及少数国外著名大学建系
Rca-B epithelioid cells大鼠鳞癌细胞系
细胞生长特性:贴壁
细胞形态特性:详见细胞说明书
培养细胞真的不难,最关键几点:1)所有的东西使用,如果你用的血清、培养皿、培养基、胰酶什么的都是进口的,真的很难相信你会把细胞养坏;2)动作要快,胰酶消化,换液什么,细胞暴露在空气中的时间越少越好。另外,要掌握好胰酶消化时间,所谓的细胞状态差,很多时候是传代的原因;3)有时间的话,需要细胞计数,传相应数目的细胞到培养皿中,可以大致清楚细胞的生长曲线,不会临时要处理,手足无措;4)要做什么心里要非常清楚,合理安排时间,传代细胞的实验穿插进行,可以节省很多时间,也不会耽误别人的实验;5)个人的实验器具自己收一套,不要和别人混用,最近换了什么新的东西稍微记一下,试剂一旦怀疑污染,马上丢;6)传代细胞不能进去太多人,避免相互干扰。每天对待细胞比孝敬爹妈还用心,那真是捧在手里怕碎了,含在嘴里怕化了,看在眼里怕丢了,培养细胞时有哪些经验教训可以分享呢?1)严格无菌操作,多喷喷酒精,要是对灭菌的东西不放心,自己包自己送自己烘干;2)不要和别人共用试剂耗材,自己准备一套;3)有可能的话在拿到新细胞的时候做好支原体衣原体检测;4)水浴锅很脏,生化培养箱要是得手动加湿的话盘里的水也会很脏,勤换(灭菌水加进去);5)晚上离开的时候给传代细胞照紫外,超净台是用完就开;6)是同一时间就你一个人在用传代细胞在养细胞。
HEL-299细胞系相关产品:EoL-1细胞、TE3A细胞、NCIH810细胞
U20S细胞系相关产品:GP-293细胞、HNE-1细胞、GA-10(Clone 4)细胞
A253细胞系相关产品:RPE-hTERT细胞、ME16C细胞、LED-WiDr细胞
A253细胞系相关产品:RPE-hTERT细胞、ME16C细胞、LED-WiDr细胞
HGC-27细胞系相关产品:FLS细胞、H510细胞、Roswell Park Memorial Institute 7951细胞
V79-GalK1细胞系相关产品:GM05372E细胞、NCIH322细胞、NCIH2196细胞
TOV-112D细胞系相关产品:ECGI10细胞、HEK293-H细胞、Hs68细胞
RD-ES细胞系相关产品:BSC1细胞、H-810细胞、OCI-AML-4细胞
OCI-Ly19细胞系相关产品:T84细胞、K-1735细胞、TNC-1B12B4细胞
NCI-H1563细胞系相关产品:HO-8910PM细胞、U87MG细胞、FHCRC-11细胞
Rca-B epithelioid cells大鼠鳞癌细胞系
BC-021细胞系相关产品:Highly Aggressively Proliferating Immortalized细胞、BRL细胞、MDA-MB 453细胞
OPM-2细胞系相关产品:NK-92MI细胞、OVCAR-420细胞、MSC细胞
Metastatic Variant-522细胞系相关产品:NCI-H2291细胞、GH 3细胞、Granta 519细胞
H-820细胞系相关产品:PC-3M IE8细胞、HNE-2细胞、Onda 11细胞
BEL7405细胞系相关产品:GDM1细胞、MD Anderson-Metastatic Breast-361细胞、CAL33细胞
Hs 274细胞系相关产品:CFPAC-1细胞、TK-10细胞、AML 12细胞
H19-7细胞系相关产品:GM07404细胞、OCI AML2细胞、SCL-II细胞
NCTC clone 1469细胞系相关产品:Hs 729T细胞、Centre Antoine Lacassagne-27细胞、WM 239细胞
PK136细胞系相关产品:NFS60细胞、Vero-76细胞、Institute for Medical Research-90细胞
SK-MEL-1细胞系相关产品:BV173细胞、ACC-M细胞、MDA-436细胞
Hep-3B细胞系相关产品:Hs445细胞、T24细胞、HOS/MNNG细胞
U-226AR1细胞系相关产品:H-1417细胞、U-937细胞、WML2细胞
Det. 562细胞系相关产品:H19-7细胞、SNU620细胞、MES 13细胞
NeHepLxHT细胞系相关产品:SNU-C2A细胞、SLMT1细胞、SNU449细胞
D-283细胞系相关产品:NP69细胞、NCIH2023细胞、Vero-E6细胞
Chinese Hamster Lung细胞系相关产品:H-1568细胞、PNT1-a细胞、COLO-320-DM细胞
V-79细胞系相关产品:NCI-SNU-5细胞、H9细胞、SKM1细胞
SK-RC 42细胞系相关产品:SW 13细胞、Hs 870.T细胞、USMC细胞
SKMEL24细胞系相关产品:32D clone 3细胞、UMNSAH/DF-1细胞、RGC6细胞
BT-325细胞系相关产品:SNU601细胞、Merwin Plasma Cell tumor-11细胞、NCI-H87细胞
BEL7402细胞系相关产品:Radiation Effects Research Foundation-Lung Cancer-MS细胞、2PK3细胞、Potorous tridactylus Kidney 2细胞
PE/CA-PJ-34细胞系相关产品:SK-OV-433细胞、SUM52细胞、S-16细胞
SKES1细胞系相关产品:Madison 109细胞、Hs819.T细胞、HONE1细胞
H-2030细胞系相关产品:OCIAML4细胞、HCC827细胞、H-128细胞
LX-2细胞系相关产品:MDA-MB-435S细胞、OVCA433_Bast细胞、GM04678细胞
TN5B14细胞系相关产品:MV4;11细胞、SKES-1细胞、F56 [Human neoplasm]细胞
UPCI-SCC-090细胞系相关产品:U20-S细胞、R3/1细胞、OVMANA细胞
CV-1 in Origin Simian-1细胞系相关产品:H-1993细胞、PG-4 (S+L-)细胞、TF-1a细胞
Hep G2/C3A细胞系相关产品:HeLa-229细胞、GM05887细胞、SK-MEL28细胞
EC-109细胞系相关产品:HRIF细胞、P3-X63Ag8.653细胞、SUDHL-1细胞
TE-11细胞系相关产品:HuPT4细胞、COV434细胞、RPMI6666细胞
UPCI-SCC-090细胞系相关产品:U20-S细胞、R3/1细胞、OVMANA细胞
IOSE-Mar细胞系相关产品:4T1-A细胞、GM02132细胞、SEG1细胞
OCI-Ly 8细胞系相关产品:K562/ADP细胞、MOLT3细胞、MDA-MB-436细胞
Mouse podocyte细胞系相关产品:PANC 813细胞、MEC-1细胞、L5178Y-R细胞
MDA-361细胞系相关产品:MCF7-CTRL细胞、C-28/I2细胞、MFE-280细胞
alpha-TC1.6细胞系相关产品:Line 522细胞、MV 4;11细胞、Leydig细胞
REC1细胞系相关产品:MKN-7细胞、HEMCSS细胞、CEM clone 7细胞
MUTZ3细胞系相关产品:Vero-76细胞、HCC202细胞、HUCCT1细胞
hCMEC/D3细胞系相关产品:SACC-83细胞、EBTr细胞、MN9D细胞
Jurkat E6细胞系相关产品:JHH-2细胞、P3J-HR-1细胞、MOLM13细胞
BNL.1ME A.7R.1细胞系相关产品:NCI-H740细胞、NCI-SNU-C1细胞、3T3-Swiss albino细胞
PC-9/S1细胞系相关产品:SU86-86细胞、H-498细胞、D407细胞
KE-37细胞系相关产品:KE39细胞、6-T CEM细胞、HM1900细胞
K7M2 wt细胞系相关产品:Caov-4细胞、J-774A.1细胞、Jeko1细胞
OV1/P细胞系相关产品:CA46细胞、MDAMB435细胞、CCD18细胞
343MG细胞系相关产品:Fox/NY细胞、ECC-12细胞、BCP-1细胞
AN3-CA细胞系相关产品:UCLA-SO-M20细胞、GM16136细胞、SNK-1细胞
RPMI-1788细胞系相关产品:NCIH1693细胞、LK2细胞、SCC-1395细胞
CNE1细胞系相关产品:OE33细胞、KMS-11细胞、HEK-293细胞
LNCaP C4-2细胞系相关产品:SW480E细胞、DI TNC-1细胞、NK92细胞
Rca-B epithelioid cells大鼠鳞癌细胞系
BJA-B细胞系相关产品:Y3Ag1.2.3细胞、NE-1细胞、BC-020细胞
NCI-SNU-216细胞系相关产品:KPL4细胞、NCI-SNU-216细胞、SNU520细胞
HCC0038细胞系相关产品:U-373MG细胞、U-138MG细胞、SW 756细胞
A253细胞系相关产品:RPE-hTERT细胞、PC-9/GR细胞、VMRCRCZ细胞
"
Rca-B epithelioid cells大鼠鳞癌细胞系

公司简介

上海宾穗生物科技有限公司 是一家集研发、生产、销售与服务于一体的专业生物制品和化学品供应商。公司总部位于上海市莘庄工业区,拥有现代化办公大楼、标准实验室与生产厂房。上海宾穗生物科技有限公司拥有一支由教授和博士为核心的技术团队,提供超过100000的生物、化学产品,产品涵盖化学、医药、材料、能源、生物等科研领域。公司秉承“客户至上、服务一流”的发展理念,致力于将优质的产品和服务提供给客户。上海宾穗生物科技有限公司整合众多的优势市场资源,以匠心服务广大客户,我们可以为客户提供Binsui、TCI等国内外各种品牌的高品质试剂产品,充分满足客户的试剂需求。

成立日期 (9年)
注册资本 635万元人民币
员工人数 50-100人
年营业额 ¥ 500万-1000万
经营模式 工厂,服务
主营行业 通用试剂,高纯试剂,催化试剂,基础无机试剂

Rca-B epithelioid cells大鼠鳞癌细胞系相关厂家报价

内容声明
拨打电话 立即询价