基本信息 产品详情 公司简介 推荐产品
网站主页 化工产品目录 生物 细胞培养 原代细胞 人原代细胞 OVCAR-10 ADHERENT人卵巢癌细胞系 OVCAR-10 Adherent人卵巢癌细胞系
  • OVCAR-10 Adherent人卵巢癌细胞系

OVCAR-10 Adherent人卵巢癌细胞系

OVCAR-10 Adherent
询价 1000000cells 起订
2000000cells 起订
上海 更新日期:2026-04-08

上海宾穗生物科技有限公司

VIP6年
联系人:李经理
电话:18301908279拨打
邮箱:1292752157@qq.com

产品详情:

中文名称:
OVCAR-10 Adherent人卵巢癌细胞系
英文名称:
OVCAR-10 Adherent
保存条件:
液氮保存
纯度规格:
1x10(6)viable cells/ml
产品类别:
实验化学品
"OVCAR-10 Adherent人卵巢癌细胞系
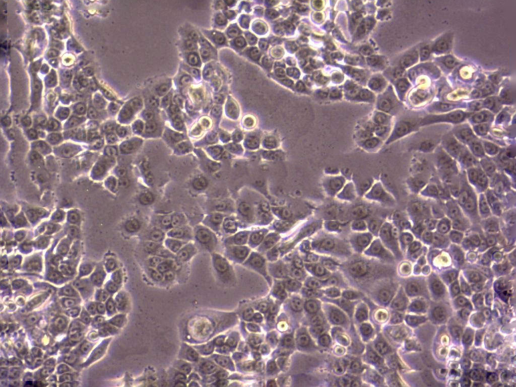
细胞背景资料:卵巢癌;女性
细胞形态:上皮细胞样
细胞复苏后贴壁细胞较少的问题分析:总结1:复苏过程没有问题,是否是从液氮拿出直接放入温水,还有培养箱,二氧化碳浓度,培养基、PH值等环节。要么加高浓度FBS 15-20%,看看能否帮助贴壁,当然也需要考虑血清问题,还有确信拿来的细胞没问题。总结2:首先应该怀疑冻存,实际上复苏出问题的可能非常小,因为操作简单,而且死板。1、你冻存的时候是不是消化的时间过长,这是一般人所注意不到的,即使书上也不讲这个问题,太长的消化时间会让细胞复苏时失去贴壁能力,表现为先贴后死,原因是在你复苏的时候细胞已进入凋亡程序,不可逆转的死亡。2、你的冻存液好不好,是什么,甘油还是DMSO,质量非常重要,否则也会死亡。3、你的冻存液的量加的是不是太多,ATCC推荐是不超过7%,大于5%,太多也不好。4、你在冻存的时候是不是把DMSO混均匀,这个有一些影响,但不算太大。5、你的冻存是否按部就班,就是所温度梯度是不是把握严格,很多人容易忘却这个事情,因为这个东西流程长。6、如果你细胞污染,你是否能很快看到,我比我的导师能早一天看到污染。从这个角度讲建议去除离心这步。7、你的细胞在冻存前是否过密。还有,不赞成孵箱污染这个概念的,所有在一个孵箱里的细胞都污染一个细菌的话,这个细菌是源于孵箱的,但这不代表孵箱污染,因为孵箱无论你如何处理都有大量的细菌,问题在操作。每次污染的原因都要尽可能的找,以后就不犯同样的问题,这个很重要,不能靠猜,否则你就有可能细胞养绝最后换课题,这个见得太多了,别不当会事。
细胞生长:贴壁
细胞物种来源:人源或鼠源等其它物种来源
OVCAR-10 Adherent人卵巢癌细胞系
细胞产品包装:复苏形式:T25培养瓶(一瓶)或冻存形式:1ml冻存管(两支)
血清必须贮存于–20~-70℃,若存放于4℃,请勿超过一个月。如果一次无法用完一瓶,可将40~45ml分装于无菌50ml离心管中,由于血清结冻时体积会增加约10%,必须预留此膨胀体积之空间,否则易发生污染或容器冻裂之情形。一般厂商提供之血清为无菌,不需再无菌过滤。若发现血清有许多悬浮物,则可将血清加入培养基内一起过滤,勿直接过滤血清。瓶装(500ml)血清解冻步骤(逐步解冻法):-20℃或–70℃至4℃冰箱溶解一天,至室温下全溶后再分装,一般以50ml无菌离心管可分装40~45ml。在溶解过程中须规则摇晃均匀(小心勿造成气泡),使温度与成分均一,减少沈淀的发生。勿直接由–20℃直接至37℃解冻,因温度改变太大,容易造成蛋白质凝结而发生沈淀。勿将血清置于37℃太久,若在37℃放置太久,血清会变得混浊,同时血清中许多较不稳定之成份亦会因此受到破坏,而影响血清之品质。血清凝絮物:发生之原因有许多种,但普遍之原因是血清中之脂蛋白(lipoprotein) 变性及解冻后血清中存在之血纤维蛋白(fibrin) 造成,这些凝絮沈淀物不会影响血清本身之品质。若欲减少这些凝絮沈淀物,可用离心3000rpm,5min去除,或离心后上清液可以加入培养基中一起过滤。不建议用过滤步骤去除这些凝絮沈淀物,因为会阻塞过滤膜。显微镜下观察之“小黑点”:通常经过热处理之血清,沈淀物的形成会显著的增多。有些沈淀物在显微镜下观察像是“小黑点”,常会误认为血清遭受污染,而将血清放在37℃中欲培养此“微生物”,但在37℃环境下,又会使此沈淀物增多,更会误认为微生物之增殖,但以培养细菌之培养基检测,又没有污染。一般而言,此小黑点应不会影响细胞之生长,但若怀疑此血清之品质,应立即停用,更换另一批号的血清。
MCF/Adr细胞系相关产品:BE(2)M-17细胞、BEL-7404细胞、CCC-ESF-1细胞
H2196细胞系相关产品:LA-N-6(OAN)细胞、MC/CAR细胞、IGR-OV1细胞
LNCaP C4-2细胞系相关产品:SW480E细胞、DI TNC-1细胞、NK92细胞
细胞传代方法:1:2-1:3传代;每周换液2-3次。
细胞来源说明:细胞主要来源ATCC、DSMZ、ECACC、RIKEN、INCell、promocell、ScienCell、ECACC、JCRB、KCLB、Asterand、ICLC以及少数国外著名大学建系
EFM-192C细胞系相关产品:C-33A细胞、MDAPC2B细胞、293-H细胞
OC-316细胞系相关产品:ZR75_1细胞、HT-115细胞、alpha-TC1.6细胞
H1666细胞系相关产品:Hs 888.Lu细胞、H-2122细胞、LA795细胞
细胞生长特性:贴壁
OVCAR-10 Adherent人卵巢癌细胞系
细胞形态特性:详见细胞说明书
细胞培养实验中常见问题总结:1)一般客户拿到细胞后,应该注意什么?客户收到细胞后先不开盖,放在培养箱静置若干小时后(看细胞密度而定)在倒置显微镜下观察细胞生长情况,并对细胞进行不同倍数拍照(建议受收细胞后观察培养基的颜色和是否有漏液情况,显微镜下拍细胞100X,200X各一张),排除细胞本身污染的情况;收到细胞未开封,出现污染状况我们负责免费发送一株细胞。收到细胞时如无异常情况,请在显微镜下观察细胞密度,如为贴壁细胞,未超过80%汇合度时,将培养瓶中培养液吸出,留下10ml培养液继续培养;超过80%汇合度时,请按细胞培养条件传代培养。如为悬浮细胞,吸出培养液、1000转/分钟离心2分钟,吸出上清,管底细胞用新鲜培养基悬浮细胞后移回培养瓶。细胞消化液建议使用PBS配制,慎用Hanks液配制;2)快递细胞多久能到,是寄冻存的细胞还是复苏好的细胞?我们采用快递发货,一般外地2--3天,寄细胞前请确认当地温度,如果气温低于4度的,则采用邮寄冻存细胞;3)可否使用与原先培养条件不同之培养基?不能。每一细胞株均有其特定使用且已适应之细胞培养基,若骤然使用和原先提供之培养条件不同之培养基,细胞大都无法立即适应,造成细胞无法存活;4)可否使用与原先培养条件不同之血清种类?不能。血清是细胞培养上一个极为重要的营养来源,所以血清的种类和品质对于细胞的生长会产生极大的影响。来自不同物种的血清,在一些物质或分子的量或内容物上都有所不同,血清使用错误常会造成细胞无法存活。
MDCK Type II细胞系相关产品:LMH细胞、Michigan Cancer Foundation-12F细胞、HEC-1A细胞
SKMES细胞系相关产品:THLE2细胞、HcerEpic细胞、hFOB1.19细胞
Human Hepatocyte Line 5细胞系相关产品:COLO206F细胞、NB.4细胞、Huh7.5细胞
LS 513细胞系相关产品:H292细胞、Molm14细胞、XuanWei Lung Cancer-05细胞
Stanford University-Diffuse Histiocytic Lymphoma-10细胞系相关产品:NHEK细胞、T-HEECs细胞、SV40-MES13细胞
HIMEC细胞系相关产品:NCI-157细胞、2V6.11细胞、SCL-2细胞
H-2135细胞系相关产品:ROS17/28细胞、SKRC20细胞、Epstein-Barr-1细胞
OCI-Ly19细胞系相关产品:T84细胞、K-1735细胞、TNC-1B12B4细胞
N87细胞系相关产品:HDSMC细胞、Th17细胞、L-M(TK-)细胞
NRK52E细胞系相关产品:HCC-1500细胞、SK-MEL-2细胞、SKNEP1细胞
HT22细胞系相关产品:Ramos细胞、Kato-III细胞、MDA-MB453细胞
RPMI8226/S细胞系相关产品:HFL-1细胞、SMA-560细胞、BEL7404细胞
SCL-1细胞系相关产品:MDA-MB-175-VII细胞、SO-RB50细胞、NCI-H1581细胞
OVCAR-10 Adherent人卵巢癌细胞系
Hs294T细胞系相关产品:MDAPCa-2b细胞、DanG细胞、J-82细胞
OVCAR 4细胞系相关产品:TSCC1细胞、HIEC细胞、NPA-87细胞
Roswell Park Memorial Institute 8226细胞系相关产品:Clone Y1细胞、H-2087细胞、SRA 01/04细胞
Roswell Park Memorial Institute 8226细胞系相关产品:Clone Y1细胞、H-2087细胞、SRA 01/04细胞
T98 G细胞系相关产品:Colon38细胞、MMQ细胞、32D.cl3细胞
NCI-H226细胞系相关产品:Doubling time: ~50 hours (ATCC).细胞、H820细胞、RA细胞
Tb1.Lu细胞系相关产品:CPA47细胞、H-1869细胞、L363细胞
Adeno 293细胞系相关产品:COLO-824细胞、Hep-G2/C3A细胞、HCAEC细胞
SW-480细胞系相关产品:NCI-H78细胞、MSB-1细胞、BALL-1细胞
Liver-02细胞系相关产品:MC-4细胞、GM00637F细胞、Ca-Ski细胞
CEM-C1细胞系相关产品:Reuber H35细胞、AG06814-J细胞、Hs 729细胞
B 95.8细胞系相关产品:NS20Y细胞、KBM5细胞、HFE-145细胞
Ramos 1细胞系相关产品:HBE 135-E6/E7细胞、SK-N-BE-2c细胞、Sc-1细胞
SK-BR-3细胞系相关产品:KMS11细胞、CAMA-1细胞、OVCAR 432细胞
KTA-7细胞系相关产品:Y3-Ag 1.2.3细胞、Colon-38细胞、HOS细胞
HPDE6c7细胞系相关产品:B16F1细胞、BCPAP细胞、RCC 786-O细胞
Kato-III细胞系相关产品:Ramos 1细胞、Mel-RM细胞、ME180细胞
SCLC21H细胞系相关产品:OCM-1A细胞、Balb/c3T3细胞、MDA-MB-231 #4175细胞
MPC11细胞系相关产品:GalK 1细胞、H1238细胞、CF-PAC1细胞
JROECL19细胞系相关产品:LC1/Sq细胞、U118细胞、BT483细胞
Duke University 4475细胞系相关产品:SUM-190PT细胞、EM3细胞、CMT64细胞
Caki-2细胞系相关产品:SK-Mel 1细胞、B16-F10-BL6细胞、MPVECs细胞
JB6Cl30细胞系相关产品:MLO-Y4细胞、H661细胞、DHL4细胞
H1650细胞系相关产品:H2171细胞、PLB-985细胞、HCCLM6细胞
TE 32.T细胞系相关产品:SF 767细胞、WEHI-3B细胞、C1498细胞
MOLM-14细胞系相关产品:C-643细胞、OCI-Ly07细胞、PANC0203细胞
PNT1A细胞系相关产品:RPE-1细胞、HCCLM6细胞、HLEC-SRA 01/04细胞
NCI-H510细胞系相关产品:NCI-H1755细胞、BE(2)M17细胞、BI-Mel细胞
GL261细胞系相关产品:GM02131细胞、SK-N-MC细胞、HuH-1细胞
BE(2)C细胞系相关产品:SUM 149PT细胞、NT2/D1细胞、BALB/c 3T3 clone A31细胞
A9 (Hamprecht)细胞系相关产品:HLF细胞、CFSC-2G细胞、HEK293S细胞
SW-1463细胞系相关产品:HO1-N-1细胞、MCF.7细胞、BEAS2B细胞
QGP1细胞系相关产品:NCI-H220细胞、MT-2J细胞、LS-180细胞
NS653细胞系相关产品:H1869细胞、LAPC-4细胞、PLA-802细胞
RCSMC细胞系相关产品:OVCAR.8细胞、H-2073细胞、LAN-5细胞
L5178Y细胞系相关产品:Transformed Human Liver Epithelial-3细胞、J774.A1细胞、PL-5细胞
H1993细胞系相关产品:Calu-1细胞、U20-S细胞、Centre Antoine Lacassagne-39细胞
BC-025细胞系相关产品:Ramos G6.C10细胞、Human Microglia Clone 3细胞、NCI-H748细胞
AM-38细胞系相关产品:NRK52E细胞、EBNA-293细胞、HN-6细胞
Hs852T细胞系相关产品:UCLA NPA871细胞、NCI-H1573细胞、KTA-7细胞
MNNG细胞系相关产品:I90细胞、Clone 929细胞、SW 839细胞
B-CPAP细胞系相关产品:MuM-2C细胞、SW 527细胞、KYSE 30细胞
OVCAR-10 Adherent人卵巢癌细胞系
MV-522细胞系相关产品:SUM 102细胞、451-LU细胞、Caki2细胞
U251细胞系相关产品:Human Lung Microvascular Endothelial Cell line-5a细胞、H-2444细胞、B16-F10-BL6细胞
SVEC4-10细胞系相关产品:Hx147细胞、CORL88细胞、Hs 729.T细胞
H510A细胞系相关产品:DHL-5细胞、PLB 985细胞、COLO-741细胞
SNU5细胞系相关产品:NCI-SNU-C2B细胞、Hela-Ap-1细胞、HEK 293-EBNA细胞
KPL1细胞系相关产品:HS-940-T细胞、C2BBe1细胞、MV 3细胞
GCT0404细胞系相关产品:HS766T细胞、Roswell Park Memorial Institute 1788细胞、SL1细胞
LN229细胞系相关产品:Hs 870.T细胞、H647ell细胞、Swiss3T3细胞
MC57G细胞系相关产品:HTR8svn细胞、MIA Paca2细胞、HT144细胞
HUT 125细胞系相关产品:LTEP a2细胞、HCT-8/V细胞、COLO 394细胞
H1184细胞系相关产品:OV-CA 432细胞、HUVSMC细胞、B 95.8细胞
Human Foreskin Fibroblast细胞系相关产品:STC-1细胞、TE-85细胞、CF PAC-1细胞
"
OVCAR-10 Adherent人卵巢癌细胞系

公司简介

上海宾穗生物科技有限公司 是一家集研发、生产、销售与服务于一体的专业生物制品和化学品供应商。公司总部位于上海市莘庄工业区,拥有现代化办公大楼、标准实验室与生产厂房。上海宾穗生物科技有限公司拥有一支由教授和博士为核心的技术团队,提供超过100000的生物、化学产品,产品涵盖化学、医药、材料、能源、生物等科研领域。公司秉承“客户至上、服务一流”的发展理念,致力于将优质的产品和服务提供给客户。上海宾穗生物科技有限公司整合众多的优势市场资源,以匠心服务广大客户,我们可以为客户提供Binsui、TCI等国内外各种品牌的高品质试剂产品,充分满足客户的试剂需求。

成立日期 (9年)
注册资本 635万元人民币
员工人数 50-100人
年营业额 ¥ 500万-1000万
经营模式 工厂,服务
主营行业 通用试剂,高纯试剂,催化试剂,基础无机试剂

OVCAR-10 Adherent人卵巢癌细胞系相关厂家报价

内容声明
拨打电话 立即询价