基本信息 产品详情 公司简介 推荐产品
网站主页 人结肠癌细胞 SW480 人结肠癌细胞系
  • SW480 人结肠癌细胞系

SW480 人结肠癌细胞系

SW480
询价 1000000cells 起订
2000000cells 起订
上海 更新日期:2026-04-18

上海宾穗生物科技有限公司

VIP6年
联系人:李经理
电话:18301908279拨打
邮箱:1292752157@qq.com

产品详情:

中文名称:
SW480 人结肠癌细胞系
英文名称:
SW480
保存条件:
低温避光
纯度规格:
1x10(6)viable cells/ml
产品类别:
有机化学品
"SW480 人结肠癌细胞系 
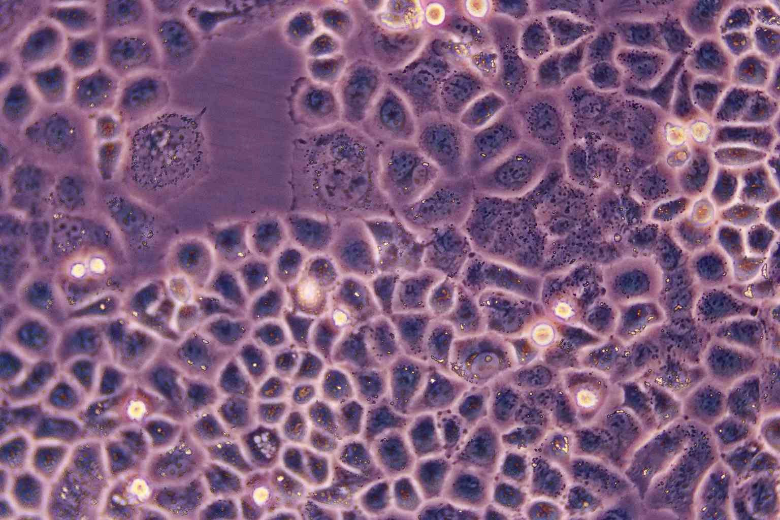
细胞背景资料:SW480源自一位51岁白人男性患者的原位直肠腺癌,而SW620源自同一病人一年后的淋巴结转移灶。该细胞CSAp和直肠抗原3阴性;角蛋白阳性;p53基因第273位密码子的G→A突变引起Arg→His替代,309位密码子的C→T突变导致Pro→Ser替代;细胞p53蛋白表达水平升高;癌基因c-myc、K-ras、H-ras、N-ras、myb、sis和fos的表达呈阳性;未检测到癌基因N-myc的表达;不表达Matrilysin(一种与肿瘤侵袭相关的金属蛋白酶)。 
细胞形态:上皮细胞样 
体内细胞培养及其操作步骤:【瘤细胞悬液接种】1)无菌选取生长良好(有光泽,淡红色)瘤组织或对数生长期培养瘤细胞;2)在PBS中将瘤组织剪碎后用匀浆器研磨,经80~100目筛网过滤成细胞悬液;3)培养细胞应用PBS洗两遍;4)计数并调整细胞浓度至107~108/ml;5)常规消毒后,于接种部位(通常为背部或腋窝腹股沟皮下)用医用注射器皮下潜行一段后注入细胞悬液(0.1ml/部位,>106细胞)。初次接种成功率低,细胞数尽可能多一些;6)次日注意观察动物一般情况。初次接种一般有一段较长的潜伏期,以后随着传代潜伏期逐渐缩短,最后固定为一个相对稳定的时间。【腹水瘤的建立与腹水瘤的接种】将实体瘤细胞直接种于小鼠腹腔、腹壁或其他部位,引起腹水,腹水中含有瘤细胞,将这种腹水反复传代,即可成为腹水瘤。初次传代时,腹水常呈血性(含大量红细胞),反复传代后腹水逐渐变成乳白色。腹水瘤的接种过程如下。1)将冻存或培养的腹水瘤细胞离心和洗涤,进行细胞计数;2)消毒动物,左下腹穿刺接种106腹水瘤细胞;3)接种腹水瘤细胞后约7~12d,待小鼠腹部明显膨大。用碘酒棉球消毒小鼠腹部,用9号针头抽取腹水,也可行腹部解剖后,用滴管吸取。每只小鼠可抽3~5ml;4)抽取的腹水经3000rpm离心15min,收集上清,分装冻存备用。 
细胞生长:贴壁 
细胞物种来源:人源或鼠源等其它物种来源 
SW480 人结肠癌细胞系 
细胞产品包装:复苏形式:T25培养瓶(一瓶)或冻存形式:1ml冻存管(两支) 
细胞培养更好经验详解:1)收到细胞,首先要镜检:观察细胞形态是否正常,对于贴壁细胞则要注意看贴壁情况是否很好,观察细胞密度,有疑议及时咨提供细胞的技术人员。 由于运输的时间或者温度的变化,很多贴壁细胞在盛满培养基的瓶子里生长的状态和平时会有点不一样,主要是贴壁牢固问题。比如293T,平时贴壁就不是很牢,在装满的培养基瓶子里面,会发生大片的脱落,细胞聚集在一起,但是细胞生长还是正常的,通过离心收集,加以胰酶的消化,重新打散,又可以正常的贴壁生长。2)当通过上一步的观察,细胞初步没有问题时,进行下一步操作。当收到的细胞密达到80%左右时,则处理如下:弃除瓶中大部分培养基,仅保留5到10mL培养所需的常规培养基;或更换新鲜的培养基,置于培养箱中,随后每天观察。 细胞在低于正常生长温度情况下,会调整为静止期,或者慢速生长期,恢复37度的环境至少3个小时左右,才能重新调整到接近对数生长期的状态,在对数生长期进行细胞的传代会大大增加传代的成功率,和细胞的存活率。3)如果经步观察发现细胞密度超过90%,并且细胞状态很好时,则复温后2个小时需要立即传代。传代的比例应依据不同的细胞而定。对于生长比较快,状态稳定,不易受外界影响的细胞可以一次多传几瓶;对于生长较慢,细胞比较薄,状态容易波动的细胞类型,一次少传些,每瓶细胞密度大些,便于稳定生长。至于一些比较陌生的细胞,次处理也可以依照第二种情况。 
细胞传代方法:1:2传代,1-2天换液一次 
细胞来源说明:细胞主要来源ATCC、DSMZ、ECACC、RIKEN、INCell、promocell、ScienCell、ECACC、JCRB、KCLB、Asterand、ICLC以及少数国外著名大学建系 
细胞生长特性:贴壁生长 
SW480 人结肠癌细胞系 
其实绝大部分细胞消化的时候是只要用胰酶润洗一遍即可,吸去胰酶后,残留的那些无法计算体积的附着在细胞表面的微量胰酶在37度一般不到2min足够消化细胞(绝大部分1min不到)。对于这些细胞原则上不要用胰酶孵育细胞,连续这样传代,对细胞伤害很大。简单的程序是PBS润洗吸去,胰酶润洗吸去,然后37度消化;什么算是消化好了呢?不是细胞全部成间隔分布很离散的单个圆形才算消化好了,一般你肉眼观察贴壁细胞层,只要能移动了,多半呈沙壮移动,其实已经可以了,很多人喜欢把细胞消化或者吹打成完全分离细胞,这是没有必要的。一般能移动了,说明细胞与培养基质材料的附着已经消失了,细胞之间的附着也已经消失了,细胞已经独立分布了(虽然没有呈现很广的离散分布)。这个时候应该停止消化,不要等到看到镜下所有细胞都分离得非常好,间隙很大,才停止。细胞就是完全成单个细胞悬液,之后在贴壁的过程中仍然会聚集,这个是贴壁培养的细胞,尤其是肿瘤细胞的一个特性,无论死活的细胞都是如此,你可以尝试,准备100%的单个细胞悬液,贴壁后观察细胞,仍然是几个几个细胞聚集在一起。一些悬浮培养细胞也是如此,容易聚集,不要去尝试过几个小时就拿出来吹打成单细胞悬液(不要笑,这个是初养悬浮细胞的人常犯的错误,以为悬浮培养就是一个一个分开)。细胞只要能从基质上脱离下来,这个时候即使是成片的(比如Calu-3细胞),吹打不超过20次后(一般10次即可),成小规模聚集(10个细胞左右),是正常的,不要试图再去延长消化时间,或者像有的同学那样吹打1h,等待单细胞悬液出现。 
细胞形态特性:上皮样 
U-138MG细胞系相关产品:NS-20Y细胞、PC-9S1细胞、HFTF细胞 
NCI-H446细胞系相关产品:WM 451-Lu细胞、TALL1细胞、H-226细胞 
C6661细胞系相关产品:MOLP-8细胞、THLE-3细胞、NS1细胞 
ST 486细胞系相关产品:HCEC-B4G12细胞、KLN 205细胞、BMF细胞 
HCC1937细胞系相关产品:JROECL 21细胞、SHSY-5Y细胞、DMS53细胞 
T2 (174 x CEM.T2)细胞系相关产品:Bowes melanoma cells细胞、NCIH2347细胞、GP2d细胞 
TFK-1细胞系相关产品:PNT1A细胞、MES-SA-Dx5细胞、MDA PCa 2b细胞 
OCI/AML5细胞系相关产品:ACC3细胞、Panc 8.13细胞、B16 F10细胞 
HEL 92.1.7细胞系相关产品:MA104细胞、MSTO-211 H细胞、T-24细胞 
EAHY-926细胞系相关产品:TCCPAN2细胞、RMS13细胞、RKOAS451细胞 
Leukemia L1210细胞系相关产品:Normal Rat, August 3, 1983细胞、NCI.H226细胞、HCGC细胞 
B4G12细胞系相关产品:MUM2B细胞、PCI:SG231细胞、Hs-578Bst细胞 
RCC10RGB细胞系相关产品:PLA801-95C细胞、Michigan Cancer Foundation-10A细胞、MIO-M1细胞 
PAEC细胞系相关产品:HCT-8/V细胞、293/EBNA-1细胞、2B4-L细胞 
CBRH-7919细胞系相关产品:MH-S细胞、J774A.1细胞、BT20细胞 
Leukemic 1210细胞系相关产品:NCI-H2108细胞、H-1693细胞、Co320细胞 
Leukemic 1210细胞系相关产品:NCI-H2108细胞、H-1693细胞、Co320细胞 
HT-1197细胞系相关产品:766T细胞、GA-10 (Clone 4)细胞、HCT-8/V细胞 
MNNG-HOS (Cl#5)细胞系相关产品:P31-FUJ细胞、HCGC细胞、Hi-5细胞 
Michigan Cancer Foundation-10A细胞系相关产品:ST486细胞、VP303细胞、3T3-J2细胞 
SW480 人结肠癌细胞系 
OV-1063细胞系相关产品:C127细胞、SKMES1细胞、HCT-15细胞 
GCT0404细胞系相关产品:HS766T细胞、Roswell Park Memorial Institute 1788细胞、SL1细胞 
NRK clone 49F细胞系相关产品:H322T细胞、OVCA-420细胞、OE21细胞 
MOLT-16细胞系相关产品:T-cell Acute Lymphoblastic Leukemia-1细胞、HT 144细胞、NCIH1437细胞 
HCM细胞系相关产品:HEK-AD293细胞、AG 9细胞、WIL2-S细胞 
Pa16C细胞系相关产品:F9细胞、Panc02-H0细胞、HO-8910 PM细胞 
CMT-93细胞系相关产品:Bac1 2F5细胞、D341MD细胞、H1105细胞 
HS-729细胞系相关产品:Murine Long bone Osteocyte-Y4细胞、SKNMC细胞、RPMI 6666细胞 
OPM2细胞系相关产品:KP-N-YN细胞、SKRC 39细胞、RSC-364细胞 
ROS-17/2.8细胞系相关产品:MDA2B细胞、COLO 824细胞、GM03570E细胞 
H-676B细胞系相关产品:MHCCLM3细胞、MN-9D细胞、NT2-D1细胞 
B-CPAP细胞系相关产品:MuM-2C细胞、SW 527细胞、KYSE 30细胞 
KBM-7细胞系相关产品:KY-50细胞、GS-9L细胞、SK-N-MC细胞 
Lu-165细胞系相关产品:HEY A8细胞、HuO9细胞、HCC 70细胞 
BTT739细胞系相关产品:U-937细胞、H1869细胞、My-La 2059细胞 
Hs 832(C).T细胞系相关产品:H-2085细胞、NW38细胞、HCC-202细胞 
TOV21G细胞系相关产品:Ontario Cancer Institute-Acute Myeloid Leukemia-4细胞、PANC-1细胞、SNU398细胞 
Leukemia 1210细胞系相关产品:293T细胞、CL 1-0细胞、U-2OS细胞 
LIPF155C细胞系相关产品:DMS-114细胞、MonoMac6细胞、Mv 1 Lu (NBL-7)细胞 
Hs840_T细胞系相关产品:LIXC002细胞、578T细胞、EoL-1 cell细胞 
BJ1细胞系相关产品:MD Anderson-Metastatic Breast-330细胞、T241细胞、NCI-H510A细胞 
WIL2 S细胞系相关产品:OSKM-1细胞、SW-1222细胞、HCC-2218细胞 
SF295细胞系相关产品:H-2081细胞、Lu-165细胞、PK136细胞 
Panc10.05细胞系相关产品:MUGCHOR1细胞、MLE-12细胞、Japanese Tissue Culture-28细胞 
Molm14细胞系相关产品:CAL78细胞、HCE-2 [50.B1]细胞、HS 445T细胞 
OVCAR 420细胞系相关产品:Panc 02.03细胞、GM01232细胞、Hs675T细胞 
RC-K8细胞系相关产品:HEK293-FT细胞、Molm 14细胞、KLN205细胞 
HCC-1143细胞系相关产品:University of Michigan-Urothelial Carcinoma-3细胞、VMCUB-1细胞、M-07e细胞 
RFL6细胞系相关产品:HT-1197细胞、CAKI.1细胞、COLO 738细胞 
NCIH740细胞系相关产品:95C细胞、NCI-H3255细胞、CCC-HHM-2细胞 
675T细胞系相关产品:L-428细胞、VM-CUB-I细胞、FRTL 5细胞 
RMG-1细胞系相关产品:V79-GalK1细胞、LOU-NH-91细胞、OSC-19细胞 
HCC95细胞系相关产品:RN-c细胞、Neuro-2a细胞、SV-HUC细胞 
DHL10细胞系相关产品:H1793细胞、TB-1 Lu细胞、32D CL3细胞 
3LL细胞系相关产品:HT-22细胞、PA-TU S细胞、SH-SY5Y Parental细胞 
VMRCRCZ细胞系相关产品:BE(2)-C细胞、SL1细胞、NU-GC-3细胞 
H-250细胞系相关产品:H520细胞、Functional Liver Cell-7细胞、OUMS-27细胞 
U-87 MG细胞系相关产品:LAC细胞、L-6TG细胞、ST 486细胞 
SW 1990细胞系相关产品:MLE12细胞、NB19细胞、R2C细胞 
IEC18细胞系相关产品:MB231细胞、SU-DHL1细胞、QBC-939细胞 
H1385细胞系相关产品:MM.1S细胞、MD Anderson-Metastatic Breast-175-VIII细胞、HeLa229细胞 
SW480 人结肠癌细胞系 
NCI522细胞系相关产品:MDA-kb2细胞、Epithelioma Papulosum Cyprini细胞、OCI-LY-19细胞 
TK-10细胞系相关产品:Panc 03.27细胞、FLC-7细胞、Hep2细胞 
L6565细胞系相关产品:GM00637F细胞、MB157细胞、DU145细胞 
Tb1Lu细胞系相关产品:J-774细胞、SUM-52细胞、BE(2)C细胞 
A375-SM细胞系相关产品:RT4-D6-P2T细胞、HepG2细胞、NCI-H165细胞 
SNK-6细胞系相关产品:Turbot Embryonic Cell line细胞、HepaRG细胞、HL1细胞 
MES23.5细胞系相关产品:NCI-SNU-1040细胞、L Wnt-3A细胞、SN12CPM6细胞 
COLO-320-HSR细胞系相关产品:OVCA 433细胞、TERT-RPE1细胞、RPTEC/TERT1细胞 
Stanford University-Diffuse Histiocytic Lymphoma-2细胞系相关产品:Hep-3B细胞、KM12 SM细胞、HEK293E细胞 
P388细胞系相关产品:KG1细胞、Biopsy xenograft of Pancreatic Carcinoma line-3细胞、LLC-WRC 256细胞 
Madin Darby Bovine Kidney细胞系相关产品:LU65细胞、UM2细胞、hSCC-25细胞 
C6661细胞系相关产品:MOLP-8细胞、DoTc2细胞、SKG-3a细胞 
"
SW480 人结肠癌细胞系;DSMZ细胞;ATCC细胞库;ECACC细胞系;JCRB细胞株;

公司简介

上海宾穗生物科技有限公司 是一家集研发、生产、销售与服务于一体的专业生物制品和化学品供应商。公司总部位于上海市莘庄工业区,拥有现代化办公大楼、标准实验室与生产厂房。上海宾穗生物科技有限公司拥有一支由教授和博士为核心的技术团队,提供超过100000的生物、化学产品,产品涵盖化学、医药、材料、能源、生物等科研领域。公司秉承“客户至上、服务一流”的发展理念,致力于将优质的产品和服务提供给客户。上海宾穗生物科技有限公司整合众多的优势市场资源,以匠心服务广大客户,我们可以为客户提供Binsui、TCI等国内外各种品牌的高品质试剂产品,充分满足客户的试剂需求。

成立日期 (9年)
注册资本 635万元人民币
员工人数 50-100人
年营业额 ¥ 500万-1000万
经营模式 工厂,服务
主营行业 通用试剂,高纯试剂,催化试剂,基础无机试剂

SW480 人结肠癌细胞系相关厂家报价

  • SW480
  • SW480
  • 吉奥蓝图(广东)生命科学技术中心 VIP
  • 2026-04-17
  • 询价
内容声明
拨打电话 立即询价