基本信息 产品详情 公司简介 推荐产品
网站主页 化工产品目录 生物 细胞培养 细胞系 人细胞系 NCI-H526人肺癌贴壁细胞系 NCI-H526 人肺癌细胞系
  • NCI-H526 人肺癌细胞系

NCI-H526 人肺癌细胞系

NCI-H526
1255 1000000cells 起订
询价 2000000cells 起订
上海 更新日期:2026-04-17

上海宾穗生物科技有限公司

VIP6年
联系人:李经理
电话:18301908279拨打
邮箱:1292752157@qq.com

产品详情:

中文名称:
NCI-H526 人肺癌细胞系
英文名称:
NCI-H526
保存条件:
低温避光
纯度规格:
1x10(6)viable cells/ml
产品类别:
有机化学品
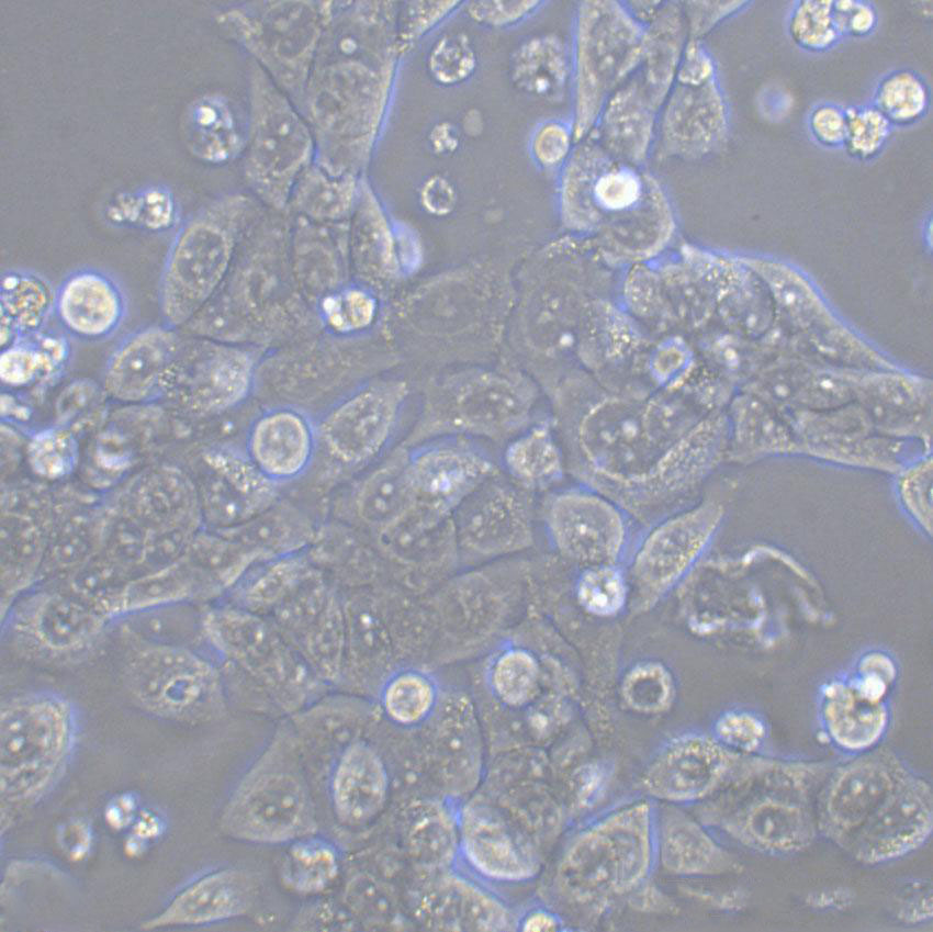
"NCI-H526 人肺癌细胞系
细胞背景资料:详见相关文献介绍 
细胞形态:上皮细胞样 
【细胞培养中原虫的污染情况总结】原虫:培养液可轻微浑浊,显微镜下那些细小的点状物数量非常多,轻微活动,细胞虽然可以生长但繁殖速度却明显减慢,而且细胞状态不好,边缘不清楚,细胞不透亮。他们与细胞可共生但会与细胞争夺营养。这种共生是非常普遍的,但他们的数量小,细胞站优势所以不会影响到细胞的正常生长,只有当他们到达一定的数量时就会影响到细胞的生长,最终形成恶性循环。污染的可能原因:可能原因很多比如配液消毒问题、操作问题、环境问题等等关于培养基的无菌状况,取培养基至培养瓶中(不加细胞),37度试培养一段时间后观察。如果没有细菌生长就是操作的问题。也可以在培养基中事先加入双抗(酸链霉素和苄青霉素)。但双抗有时会影响细胞的状态,所以在做转染、检测细胞某项指标前一定要撤去双抗,以避免影响实验结果。1)孵箱应定期用三氧机消毒或者紫外光照射,并用酒精和新洁尔灭试擦孵箱同时孵箱内的水应是三蒸水;2)超净台\取材\器材\培养液\培养瓶\操作等因素;3)超净台的风机不能过大,风机到6-8格。否则也可能能致霉菌污染;4)无菌室经甲醛熏蒸消毒后,可用同等量的喷洒中和,约几小时即可进入操作。 
细胞生长:贴壁 
细胞物种来源:人源或鼠源等其它物种来源 
NCI-H526 人肺癌细胞系
细胞产品包装:复苏形式:T25培养瓶(一瓶)或冻存形式:1ml冻存管(两支) 
在细胞培养过程中会出现这样或那样的问题,客户遇到的问题从细胞生长角度来说,针对细胞培养过程中生长不好、甚至死亡的原因,我们做以下分析并提出相对应的解决方法。一、培养细胞生长不好》可能原因:细胞本身的状态》1)细胞传代次数多,细胞老化;2)细胞的接种量:接种量过低,细胞生长缓慢;3)细胞传代时间过晚:细胞中毒,影响传代后的细胞生长;4)胰酶消化时间过长或过短:时间过长,细胞死亡;时间过短,细胞未完全分离而成团,细胞死亡;5)细胞的冻存与复苏:慢冻速融。污染:1)支原体污染;2)霉菌污染;培养基或血清:1)更换血清或培养基之前未进行验证;2)选择的培养基是否合适;3)培养基配制是否准确无误;培养环境:1)CO2供应是否正常;2)培养箱或摇床温度控制是否正确;解决方法:根据以上四个方面的可能原因,做出针对性的解决方案》1)注意细胞的本身状态:如传代次数、接种量等;2)避免产生污染(用正规、合法、可溯源的血清);3)要用合适的血清或培养基,经过验证;4)注意实验室的环境;二、培养细胞死亡》可能原因:1)培养箱内无CO2;2)培养箱内温度波动太大;3)细胞冻存或复苏过程中损伤;4)培养液渗透压不正确;5)培养液中有毒代谢产物堆积;解决方法:1)检测培养箱内CO2;2)检查培养箱内温度;3)取新的保存细胞种;4)检测培养液渗透压;5)换入新鲜培养液。 
细胞传代方法:每周换液2-3次。 
细胞来源说明:细胞主要来源ATCC、DSMZ、ECACC、RIKEN、INCell、promocell、ScienCell、ECACC、JCRB、KCLB、Asterand、ICLC以及少数国外著名大学建系 
细胞生长特性:悬浮生长  
NCI-H526 人肺癌细胞系
实验室细胞培养基知识简介:干粉培养基:以前大部分实验室都是用干粉培养基,但配制过程就较为繁琐,要溶解、调pH值,过滤,过程中可能会产生一些浓度误差,而且有些实验室的水质并不理想,所以培养的效果会有差异。如果使用液体培养基,这种人为的误差会减少,因为毕竟是大批量工业化生产的,批间差会很小。大家是不是感觉液体培养基会贵很多,以前是这样,但现在大家都认同了;无血清培养基(Serum-Free Media),通常以SFM表示,顾名思义,就是在细胞培养中不需要添加血清,但是在某些应用中可能要添加生长因子或细胞因子。无血清培养基中添加了血清的主要成分:粘附因子、生长因子、必需的营养物质和激素等,能减少上述血清带来的不利因素,使细胞培养的条件更稳定。但它也不是完美的,从有血清培养过渡到无血清培养的条件并不像想象中那么直截了当。处于发育的不同分化阶段的细胞(例如干细胞与定向前体细胞相比)需要不同的配方,对生长因子和细胞因子的选择尤为重要。而且在去除血清的同时,也去除了一些血清蛋白具有的保护、解毒作用,因此对试剂、水的纯度和仪器清洁度的要求更高。另外,它的价格也比普通的培养基贵很多。 
细胞形态特性:上皮细胞 
KYSE 30细胞系相关产品:P3HR1细胞、EA.Hy926细胞、PCI-04B细胞 
KMH2细胞系相关产品:SKNBE(2)细胞、ARIP细胞、PG-4 (S+L-)细胞 
ONS76细胞系相关产品:TCam 2细胞、He-La细胞、MG63细胞 
MRC-5细胞系相关产品:Huh7.5细胞、SW 780细胞、ST2细胞 
SHG 44细胞系相关产品:HD-LM-2细胞、Hs840T细胞、RT4-D6P2T细胞 
Hs895.T细胞系相关产品:BMU-S1细胞、D10细胞、H1395细胞 
RSC-364细胞系相关产品:NCI-H-128细胞、KMBC细胞、MES-SA细胞 
HCC1599细胞系相关产品:ARO 81-1细胞、ChaGo-K-1细胞、HCC95细胞 
SNU-354细胞系相关产品:SK RC 20细胞、Ketr-3细胞、NCTC-1469细胞 
LM6细胞系相关产品:NFS 60细胞、NCI-H735细胞、P30-OHKUBO细胞 
EOC 20细胞系相关产品:SK-N-BE(1)n细胞、HRMC细胞、CORL23细胞 
NBLS细胞系相关产品:CEF细胞、RT-BM 1细胞、RK 13细胞 
HS 683T细胞系相关产品:NCI-H522细胞、U266细胞、3T3-Swiss细胞 
EAhy926细胞系相关产品:Hs.27细胞、C-33 A细胞、NCI-322细胞 
SUP-M2细胞系相关产品:SW1271细胞、D283MED细胞、Baby Hamster Kidney-21细胞 
SK-MEL-2细胞系相关产品:SNU638细胞、Mouse Bladder Tumor line-2细胞、CCD 841 CoN细胞 
RBL细胞系相关产品:MMAc.SF细胞、NK92MI细胞、H747细胞 
P388-D1细胞系相关产品:SCL-I细胞、SU8686细胞、CoCL3细胞 
MADB-106细胞系相关产品:MNNG/HOS Clone F-5细胞、MUTZ-1细胞、Caov-3细胞 
IMCD3细胞系相关产品:P560细胞、MKN-1细胞、NCI-H2052细胞 
NCI-H526 人肺癌细胞系
SUP-B15细胞系相关产品:NK-92.05细胞、PC-3M 2B4细胞、Hs 742.T细胞 
NCI-SNU-601细胞系相关产品:U87 MG细胞、NIH3T3-L1细胞、H2591细胞 
H548细胞系相关产品:Jurkat, Clone E6-1细胞、CCD18Co细胞、TSCCa细胞 
HCV 29细胞系相关产品:Ly19细胞、Ontario Cancer Institute-Acute Myeloid Leukemia-5细胞、OSRC2细胞 
OCI-AML4细胞系相关产品:HCC-94细胞、F36P细胞、Colo320细胞 
KYSE-510细胞系相关产品:OVCAR432细胞、KE37细胞、B78细胞 
HC-11细胞系相关产品:Hca-F细胞、BT-483细胞、KATO 3细胞 
Rat1细胞系相关产品:INS-1细胞、HPaSteC(HPSC)细胞、SW 780细胞 
ZYM-DIEC02细胞系相关产品:HPaSteC(HPSC)细胞、RPPVEC细胞、NL20SV细胞 
SW-1783细胞系相关产品:FRhK4细胞、CHOK1细胞、U14细胞 
HS 1.Tes细胞系相关产品:MCFs细胞、NCI-747细胞、NCI-H-69细胞 
VMRC-RCZ细胞系相关产品:SW-839细胞、H-358细胞、Panc02.03细胞 
293 F细胞系相关产品:Huh-7.5.1细胞、RS4-11细胞、U87细胞 
VK2细胞系相关产品:COR-L26细胞、H2170细胞、H2171细胞 
Stanford University-Diffuse Histiocytic Lymphoma-10细胞系相关产品:NHEK细胞、T-HEECs细胞、SV40-MES13细胞 
Transformed C3H Mouse Kidney-1细胞系相关产品:SW-1088细胞、NK92-MI细胞、HAEC细胞 
RGM1细胞系相关产品:C1R细胞、HT-29细胞、SKMel-28细胞 
SW948细胞系相关产品:CL1-5细胞、Ramos 2G6.4C10细胞、Hs895T细胞 
IOSE 29细胞系相关产品:293-EBNA1细胞、F442A细胞、Hx147细胞 
OLN 93细胞系相关产品:Co320细胞、NCI-H2452细胞、Stanford University-Diffuse Histiocytic Lymphoma-16细胞 
Human Melanoma Cell Bowes细胞系相关产品:Jeko1细胞、hEM15A细胞、Ca 9-22细胞 
SK-Mel 2细胞系相关产品:GMK,BSC-1细胞、YAC细胞、Tb 1 Lu细胞 
BIU-87细胞系相关产品:HUT 28细胞、COLO320DM细胞、MDA-MB-468-RED细胞 
Hs706T细胞系相关产品:SR786细胞、JC细胞、Panc02细胞 
CEM-0细胞系相关产品:33604细胞、NCIH1341细胞、NB1-RGB细胞 
EM-3细胞系相关产品:WERI-Rb-1细胞、SUP T1细胞、CNE-2细胞 
M 1细胞系相关产品:32D.cl3细胞、NCIH187细胞、639 V细胞 
IMR 90细胞系相关产品:SNU-398细胞、SCLC-21H细胞、Sp2/mIL-6细胞 
H1299细胞系相关产品:C-4-I细胞、Jurkat细胞、T8细胞 
P3J细胞系相关产品:SW48细胞、P3-x63-Ag8 653细胞、CHOK1细胞 
CCC-HIE-2细胞系相关产品:HEK293EBNA细胞、293 H细胞、Gejiu Lung Carcinoma-82细胞 
Human podocyte细胞系相关产品:L(TK-)细胞、ECC12细胞、Daoy细胞 
JeKo 1细胞系相关产品:HPAF-2细胞、TE-8细胞、hOMF细胞 
High5细胞系相关产品:C2BBe 1细胞、Kit225 K6细胞、BrCL15细胞 
TE3A细胞系相关产品:U266B1细胞、HOSEpiC细胞、A172细胞 
HRA-19细胞系相关产品:NCI-H441细胞、aTC1-6细胞、HL 60细胞 
RSC 96细胞系相关产品:Ej138细胞、SKMEL-31细胞、IEC 18细胞 
HFL1细胞系相关产品:MC3T3细胞、COLO-684细胞、SKO-007细胞 
OCUM-1细胞系相关产品:MDA-MB-157细胞、NCI-H1666细胞、HEK (AD293)细胞 
RPMI2650细胞系相关产品:H747细胞、HEC-1-A细胞、HS688AT细胞 
Cattle chondrocytes细胞系相关产品:L5178YR细胞、S37细胞、P3JHR1细胞 
NCI-H526 人肺癌细胞系
H-1770细胞系相关产品:RSC 96细胞、Fetal Human Lens-124细胞、PLC/PRF/5细胞 
Scott and White No. 13细胞系相关产品:NCI-H735细胞、MCF-7ADR细胞、NCIH740细胞 
WM 239-A细胞系相关产品:BCP1细胞、H-2106细胞、TE353.SK细胞 
NCI-H2444细胞系相关产品:MPC-5细胞、NCI-H2009细胞、KPL4细胞 
OCI-LY-18细胞系相关产品:ROS17/2.8细胞、MCA38细胞、HCC-9724细胞 
MDA-kb2细胞系相关产品:COLO-699细胞、ketr 3细胞、P3/NS1/1-Ag4-1细胞 
RTMC细胞系相关产品:PL 45细胞、J-111细胞、KMH-2细胞 
SNU668细胞系相关产品:Malme-3M细胞、H-446细胞、DU 4475细胞 
H460细胞系相关产品:Karpas 299细胞、87MG细胞、MA 104细胞 
GP5d细胞系相关产品:SKES-1细胞、GLRK 13细胞、VeroC1008细胞 
PC-9S1细胞系相关产品:TK 10细胞、3T6 Swiss Albino细胞、COLO-741细胞 
ONS76细胞系相关产品:TCam 2细胞、FF-WT-BJ细胞、PANC0403细胞 
"
NCI-H526 人肺癌细胞系;

公司简介

上海宾穗生物科技有限公司 是一家集研发、生产、销售与服务于一体的专业生物制品和化学品供应商。公司总部位于上海市莘庄工业区,拥有现代化办公大楼、标准实验室与生产厂房。上海宾穗生物科技有限公司拥有一支由教授和博士为核心的技术团队,提供超过100000的生物、化学产品,产品涵盖化学、医药、材料、能源、生物等科研领域。公司秉承“客户至上、服务一流”的发展理念,致力于将优质的产品和服务提供给客户。上海宾穗生物科技有限公司整合众多的优势市场资源,以匠心服务广大客户,我们可以为客户提供Binsui、TCI等国内外各种品牌的高品质试剂产品,充分满足客户的试剂需求。

成立日期 (9年)
注册资本 635万元人民币
员工人数 50-100人
年营业额 ¥ 500万-1000万
经营模式 工厂,服务
主营行业 通用试剂,高纯试剂,催化试剂,基础无机试剂

NCI-H526 人肺癌细胞系相关厂家报价

内容声明
拨打电话 立即询价