基本信息 产品详情 公司简介 推荐产品
网站主页 化工产品目录 生物 细胞培养 细胞系 人细胞系 人BURKITT'S淋巴瘤细胞 Raji 人Burkitt’s淋巴瘤细胞系
  • Raji 人Burkitt’s淋巴瘤细胞系

Raji 人Burkitt’s淋巴瘤细胞系

Raji
询价 1000000cells 起订
2000000cells 起订
上海 更新日期:2026-04-12

上海宾穗生物科技有限公司

VIP6年
联系人:李经理
电话:18301908279拨打
邮箱:1292752157@qq.com

产品详情:

中文名称:
Raji 人Burkitt’s淋巴瘤细胞系
英文名称:
Raji
保存条件:
低温避光
纯度规格:
1x10(6)viable cells/ml
产品类别:
有机化学品
"Raji 人Burkitt’s淋巴瘤细胞系
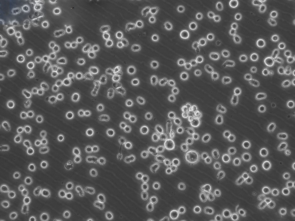
细胞背景资料:Raji细胞由PulvertaftRJV于1963年从一位11岁黑人男孩的左上颌骨的Burkitt淋巴瘤中分离建立的,是个人类造血系统的连续传代细胞,为B细胞起源。该细胞中含有EBV,需要在二级生物安全柜中操作;可作转染宿主。 
细胞形态:淋巴母细胞样 
细胞培养实验基本操作:①进无菌室前要彻底洗手,按规定穿隔离衣。开始操作前要用75%酒精棉球擦手、擦瓶口和烧灼瓶口。②操作者动作要轻,安装吸管帽、打开或封闭瓶口等操作应在火焰近处并经过烧灼进行。但要注意,金属器械不能在火焰中长时间烧灼,以防退火;烧过的器械要冷却后才能使用;已吸过培养液的吸管不能再用火焰烧灼,因残留在吸管内的培养液成分如蛋白质等烧焦后会产生有害物质,吸管再用时会将其带到培养液中;胶塞、橡皮乳头及塑料的细胞培养用品过火焰是也不能时间太长,以免烧焦产生有毒气体,危害培养细胞,同时塑料细胞培养用品也会产生变形影响使用。③使用培养液前不宜过早开瓶,开瓶后的培养液应保持斜位,避免直立,以防止下落细菌的污染。不再使用的培养液应立即封闭瓶口,培养的细胞在处理之前勿过早暴露在空气中。④操作时尽量不要谈话,咳嗽以防止来自唾沫和呼出的气流所造成的污染。⑤吸取培养液、细胞悬液时,应专管专用,一旦发现吸管口接触了手和其他污染物品应弃去,以防止污染扩大或造成培养物之间的交叉污染。⑥操作完毕后应整理好工作台面,用消毒水浸泡的纱布擦拭台面;防止细胞交叉污染:所有从别处转来的或是自己所建的细胞系都要早期留有的充足的冻存储备,一旦怀疑发生交叉污染,可做细胞遗传学方面的鉴定,如发现原有的细胞遗传物发生改变,可以复苏早期冻存的细胞使用。重要细胞系的传代工作应由两人独立进行;无菌室的彻底消毒①新洁尔灭全面彻底擦洗无菌室。使用前应稀释即配即用。新洁尔灭和酒精相比,的优点是便宜,而且可以稀释50倍用,而同样量的酒精价格可能是新洁尔灭的几十倍。②甲醛熏蒸法:甲醛是一种广谱灭菌剂菌,其水溶液和气体对各种细菌、芽孢及真菌等微生物均有杀灭作用。甲醛价廉,熏蒸消毒时不损坏衣服、家具、皮革、橡胶等。市售的甲醛水溶液中一般含37-40%的甲醛。 
细胞生长:悬浮 
细胞物种来源:人源或鼠源等其它物种来源 
Raji 人Burkitt’s淋巴瘤细胞系
细胞产品包装:复苏形式:T25培养瓶(一瓶)或冻存形式:1ml冻存管(两支) 
冻存和复苏的原则:慢冻快融》当细胞冷到零度以下,可以产生以下变化:细胞器脱水,细胞中可溶性物质浓度升高,并在细胞内形成冰晶。如果缓慢冷冻,可使细胞逐步脱水,细胞内不致产生大的冰晶;相反,结晶就大,大结晶会造成细胞膜、纲胞器的损伤和破裂。复苏过程应快融,目的是防止小冰晶形成大冰晶,即冰晶的重结晶。慢冻程序》1.标准程序:采用细胞冻存器》当温度在-25℃以上时,1~2℃/min;当温度达-25℃以下时,5~10℃/min;当温度达-100℃时,可迅速放入液氮中。2.简易程序:将冷冻管(管口要朝上)放入纱布袋内,纱布袋系以线绳,通过线绳将纱布袋固定于液氮罐罐口,按每分钟温度下降1~2℃的速度,在40min内降至液氮表面过夜,次晨投人液氮中。3.传统程序:冷冻管置于4℃10分钟→-20℃30分钟→-80℃16~18小时(或隔夜)→液氮槽长期储存。细胞冻存方法:1.预先配制冻存液》(1)8%DMSO+细胞生长液(92%血清)2.取对数生长期细胞,经胰酶消化后,加入适量冻存液,用吸管吹打制成细胞悬液(1×10(6)~5×10(6)细胞/ml)。3.加入1ml细胞于冻存管中,密封后标记冷冻细胞名称和冷冻日期。液氮长期保存。保存细胞的复苏方法:1.快速解冻》冻存细胞从液氮中取出后,立即放入37℃水浴中,轻轻摇动冷冻管,使其在1分钟内全部融化(不要超过3分钟)。2.解冻后的细胞可直接接种到含完全生长培养液的细胞培养瓶中直接进行培养,24小时后再用新鲜完全培养液替换旧培养液,以去除DMSO。3.如果细胞对冷冻保护剂特别敏感解冻后的细胞应先通过离心去除冷冻保护剂,然后再接种到含完全生长培养液的培养瓶中。 
细胞传代方法:维持细胞浓度在4×105/ml-3×106/ml;根据细胞浓度每2-3天补液1次。 
细胞来源说明:细胞主要来源ATCC、DSMZ、ECACC、RIKEN、INCell、promocell、ScienCell、ECACC、JCRB、KCLB、Asterand、ICLC以及少数国外著名大学建系 
细胞生长特性:悬浮生长 
Raji 人Burkitt’s淋巴瘤细胞系
细胞传代时消化的问题:可以这样说,对于需要消化传代的细胞,每一次的消化都是对这个细胞存活与否,状态好与不好最至关重要的考验。很多同学都遇到过这个问题,自己养的细胞开始的几代长的还挺好的,可是穿过几代之后就发现自己的细胞,状态越来越差劲了。对于这个问题,可以非常肯定地说,你的消化环节出问题了。你每一次的消化都让细胞受到较大损伤了。所以,越长越差。在消化的过程中,你加入胰酶后,所有细胞都在被胰酶消化着,但是我们忽视了一个问题就是,细胞的生长状态是不一样的,每一个细胞的贴壁情况也是不一样的,有的贴壁牢固,有的贴壁没有那么牢固的,所以,让所有的细胞消化同样的时间对细胞是不公平的,他们受到了差别待遇当然会有脾气啊。我后来对消化的方法进行了改良。争取做到因材施教呵呵。我称之为“四步消化法”。(以难消化细胞为例);具体操作:1)首先不加胰酶,倒掉旧培养基加入少量新培养基洗1-2遍,(这是前奏,即为步,目的是将漂浮着的死细胞之类尽量洗掉。2)然后再加入少量新培养基直接吹打一遍,这一遍是把贴壁不牢固的细胞吹打下来。再用培养基洗一遍,两次所得悬液混合传入新瓶。即为第二步(你可以将这些传入新瓶培养,以与后面胰酶消化过的细胞对比观察看谁长的更好一点就知道该细胞对胰酶的敏感度了。)3)吸干净瓶内剩余液体,加入0.3ml左右的胰酶润洗一遍,吸掉弃之,再加入1ml左右的胰酶消化。消化的同时置于显微镜下观察,待细胞与细胞之间间隙明显的时候立即吸掉胰酶与干净子弹头里备用,加入新培养基开始吹打,吹打2-3遍后吸取悬液于试管或新瓶暂存。用2ml左右新培养基洗一遍与前面的混合。(你也可以传入新瓶培养,以与后面及前面的做对比。)这是第三步。4)然后把前面刚吸出来的胰酶重新加进去瓶里继续消化剩余的贴壁牢固的细胞。当然你也可以用新的胰酶,如果你们那比较富裕的话,呵呵。继续镜下观察,待剩余细胞间隙明显,细胞独立开来的时候,吸掉胰酶,加入新培养基吹打。悬液传入新瓶培养(根据实际情况你自己把握)。这是第四步。其实还可以有第五步,对于特别难消化的细胞和对胰酶特别敏感的细胞的话,你可以继续加第五步甚至第六步。为了细胞更好的状态,更漂亮的样子,没办法,你必须分多批多次消化,这样才能限度地将胰酶对细胞的损伤降到最低,保证细胞的状态能够。当然了,如果细胞是属于那种很容易消化的细胞,像RAW264.7,仅仅第二步就搞定了。就没必要第三步第四步了。这个是需要你在实验中能够自己用心去体会的。建议你接受一个新细胞时把各步消化的细胞分别培养起来做比较,去摸索好细胞对胰酶的要求。便于你后续实验的开展。将细胞消化分成这几步,除了是为了避免胰酶对细胞的损伤之外,还有一个更重要的作用就是,可以程度地把细胞吹打成单个单个的状态,不成片不连体。 
细胞形态特性:淋巴母细胞样 
ECC 12细胞系相关产品:GC-2细胞、J774细胞、3T3 J2细胞 
HOP-92细胞系相关产品:L-WRN细胞、SCC25细胞、LA-N-6细胞 
Scott and White No. 13细胞系相关产品:NCI-H735细胞、MCF-7ADR细胞、NCIH740细胞 
GM2131细胞系相关产品:RT-112细胞、P3-X63-Ag8-6-5-3细胞、PIEC细胞 
OSC19细胞系相关产品:BL-6细胞、SEG-1细胞、SU86_86细胞 
RL952细胞系相关产品:MV-4:11细胞、IA-LM细胞、Sf-21细胞 
PT-67细胞系相关产品:Sp 2/0-Ag 14细胞、C666-1细胞、NCI-SNU-620细胞 
OCILY7细胞系相关产品:SNU-520细胞、PT-67细胞、Hs839T细胞 
NB-19细胞系相关产品:HREC细胞、PGLH7细胞、F98细胞 
RT112细胞系相关产品:RS4;11细胞、P 815细胞、HaCaT细胞 
PC-3M-2B4细胞系相关产品:GBC-SD细胞、HUT125细胞、Jurkat77细胞 
PVEC细胞系相关产品:L-5178-Y细胞、MDAMB453细胞、HeLaS3细胞 
LNCaP.FGC细胞系相关产品:NB-19细胞、B10BR细胞、SW-1417细胞 
T-ALL-1细胞系相关产品:NCI-H716细胞、NCIH2342细胞、ReNcell CX细胞 
A-673细胞系相关产品:NCI-H2085细胞、Biopsy xenograft of Pancreatic Carcinoma line-3细胞、KG-1a细胞 
Hu-P-T3细胞系相关产品:OCM1细胞、NCI-H28细胞、526mel细胞 
Hu-P-T3细胞系相关产品:OCM1细胞、NCI-H28细胞、526mel细胞 
U-937细胞系相关产品:MPC 11细胞、JM细胞、Epstein-Barr-2细胞 
Caki2细胞系相关产品:BE2C细胞、OKT 3细胞、CAL-78细胞 
BHK细胞系相关产品:TEC细胞、I90细胞、H2085细胞 
Raji 人Burkitt’s淋巴瘤细胞系
KM.12细胞系相关产品:HFLS细胞、GM02131细胞、SK HEP 01细胞 
SK Mel28细胞系相关产品:USMC细胞、KU 812F细胞、RWPE-2细胞 
BC3H1细胞系相关产品:T9细胞、OC 316细胞、NS-20Y细胞 
EBC-1细胞系相关产品:HCMEC细胞、Institute for Medical Research-32细胞、NCI-H650细胞 
He La细胞系相关产品:C81-61细胞、EST50细胞、M210B4细胞 
W133细胞系相关产品:HN 4细胞、UPCISCC090细胞、Sp2/0细胞 
F-81细胞系相关产品:BIC细胞、WM266细胞、X63细胞 
MDA 435细胞系相关产品:SP2细胞、A-375.S2细胞、T47D细胞 
SUM149-PT细胞系相关产品:MHCC-LM3细胞、Vero E-6细胞、NOMO-1细胞 
EFO-27细胞系相关产品:PLA-802细胞、NCIH1092细胞、PNT1A细胞 
MUS-M1细胞系相关产品:KE-37细胞、PCI-4M细胞、BNCL2细胞 
H-2110细胞系相关产品:RCC 786-O细胞、Hs-729-T细胞、WC00079细胞 
HS-766T细胞系相关产品:SW-1353细胞、NCI-H2085细胞、C32r细胞 
IEC-18细胞系相关产品:McA-RH7777细胞、CTV1细胞、Kit 225细胞 
Kit 225-K6细胞系相关产品:3T3-F442A细胞、PIEC细胞、SK-MEL-3细胞 
SK.MEL.28细胞系相关产品:H-1770细胞、U-251细胞、Z138细胞 
HMVEC细胞系相关产品:NCI H226细胞、MCF12A细胞、H4细胞 
52PE细胞系相关产品:Panc04.03细胞、BT-20细胞、Instituto Biologico-Rim Suino-2细胞 
He La细胞系相关产品:C81-61细胞、EST50细胞、M210B4细胞 
S16细胞系相关产品:MS751细胞、Hep 3B2细胞、BEL-7404细胞 
Kuramochi细胞系相关产品:OCI-AML-4细胞、OP9细胞、SNU-C1细胞 
Med 341细胞系相关产品:373MG细胞、HG2855细胞、U-87 MG细胞 
PLCPRF5细胞系相关产品:SCL-II细胞、QBC939细胞、L929(NCTC)细胞 
McARH7777细胞系相关产品:NCIADR.RES细胞、MRCV细胞、MASMC细胞 
MCA-38细胞系相关产品:MILE SVEN 1细胞、MOLT 3细胞、OCI Ly10细胞 
H1836细胞系相关产品:H-1581细胞、MUGCHOR1细胞、GM00215A细胞 
OVCAR-420细胞系相关产品:LICR-HN-6细胞、MDA435细胞、SNU-216细胞 
AE 1201细胞系相关产品:Ly10细胞、L-5178-Y细胞、SNU-1040细胞 
LNCaP-Clone-FGC细胞系相关产品:H1954细胞、3T6 Swiss Albino细胞、Tj-905细胞 
AtT-20细胞系相关产品:H-1436细胞、HConEpic细胞、A-253细胞 
Hs940T细胞系相关产品:A549/ATCC细胞、OCI AML5细胞、SGC-996细胞 
Baby Hamster Kidney 21细胞系相关产品:H2087细胞、DHBE细胞、H520细胞 
Rat1细胞系相关产品:INS-1细胞、HPaSteC(HPSC)细胞、SW 780细胞 
P3X63 AG8-653细胞系相关产品:T-CAM2细胞、HMEC细胞、HELF细胞 
293AD细胞系相关产品:AHH-1细胞、GC-1spg细胞、UCLA-SO-14细胞 
Wills Eye Research Institute-Retinoblastoma-1细胞系相关产品:18G3.cl 1细胞、NCIH226细胞、Pa16C细胞 
Namalva细胞系相关产品:Nakata-1细胞、FF-WT-BJ细胞、Tca-83细胞 
MDA-435细胞系相关产品:GA-10 (Clone 4)细胞、SK-RC-20细胞、F-36P细胞 
SF17细胞系相关产品:HCC2157细胞、OCI-Ly3细胞、SK-N-BE-2细胞 
RIN Cl-5F细胞系相关产品:SNB19细胞、HCC9204细胞、GM15452细胞 
MGH-U3 (RN)细胞系相关产品:P3X63Ag8细胞、MCF-10 Attached细胞、BV-173细胞 
Raji 人Burkitt’s淋巴瘤细胞系
HCT/FU细胞系相关产品:Hs 27细胞、Panc-1-P细胞、HUVSMC细胞 
KYSE450细胞系相关产品:NALM 6细胞、HEK293FT细胞、KMBC细胞 
MOLT 3细胞系相关产品:BC-009细胞、OAW-42细胞、LA-4 [Mouse lung adenoma]细胞 
OVCAR8/ADR细胞系相关产品:CTLA4 Ig-24细胞、RBL-2H3细胞、LN229细胞 
SK MES 1细胞系相关产品:OVCAR.3细胞、D-283MED细胞、LNCaP C4-2细胞 
Henrietta Lacks cells细胞系相关产品:IM 9细胞、OVHM细胞、MOLT16细胞 
CBRH7919细胞系相关产品:CHP100细胞、MDA-PCa-2b细胞、BT 325细胞 
CHO K1细胞系相关产品:CAL 78细胞、NCIH1623细胞、NCI-H82细胞 
HuH-6细胞系相关产品:CEM-C7细胞、4-1st细胞、M-1 myeloid leukemia细胞 
BT-483细胞系相关产品:C8161细胞、JIII细胞、M109细胞 
TE 671细胞系相关产品:SCC15细胞、EBC-1/original细胞、HPAEpiC细胞 
Scott and White No. 13细胞系相关产品:NCI-H735细胞、HRC-99细胞、T-HEECs细胞 
"
 
Raji 人Burkitt’s淋巴瘤细胞;

公司简介

上海宾穗生物科技有限公司 是一家集研发、生产、销售与服务于一体的专业生物制品和化学品供应商。公司总部位于上海市莘庄工业区,拥有现代化办公大楼、标准实验室与生产厂房。上海宾穗生物科技有限公司拥有一支由教授和博士为核心的技术团队,提供超过100000的生物、化学产品,产品涵盖化学、医药、材料、能源、生物等科研领域。公司秉承“客户至上、服务一流”的发展理念,致力于将优质的产品和服务提供给客户。上海宾穗生物科技有限公司整合众多的优势市场资源,以匠心服务广大客户,我们可以为客户提供Binsui、TCI等国内外各种品牌的高品质试剂产品,充分满足客户的试剂需求。

成立日期 (9年)
注册资本 635万元人民币
员工人数 50-100人
年营业额 ¥ 500万-1000万
经营模式 工厂,服务
主营行业 通用试剂,高纯试剂,催化试剂,基础无机试剂

Raji 人Burkitt’s淋巴瘤细胞系相关厂家报价

  • RAJI
  • RAJI
  • 吉奥蓝图(广东)生命科学技术中心 VIP
  • 2026-04-10
  • ¥9999
  • RAJI
  • RAJI
  • 上海奥陆生物科技有限公司
  • 2026-04-05
  • ¥1200
内容声明
拨打电话 立即询价