基本信息 产品详情 公司简介 推荐产品
网站主页 化工产品目录 生物 细胞培养 细胞系 小鼠细胞系 小鼠淋巴细胞白血病 L1210 小鼠淋巴细胞白血病细胞系
  • L1210 小鼠淋巴细胞白血病细胞系

L1210 小鼠淋巴细胞白血病细胞系

L1210
询价 1000000cells 起订
2000000cells 起订
上海 更新日期:2026-04-07

上海宾穗生物科技有限公司

VIP6年
联系人:李经理
电话:18301908279拨打
邮箱:1292752157@qq.com

产品详情:

中文名称:
L1210 小鼠淋巴细胞白血病细胞系
英文名称:
L1210
保存条件:
低温避光
纯度规格:
1x10(6)viable cells/ml
产品类别:
有机化学品
"L1210 小鼠淋巴细胞白血病细胞系
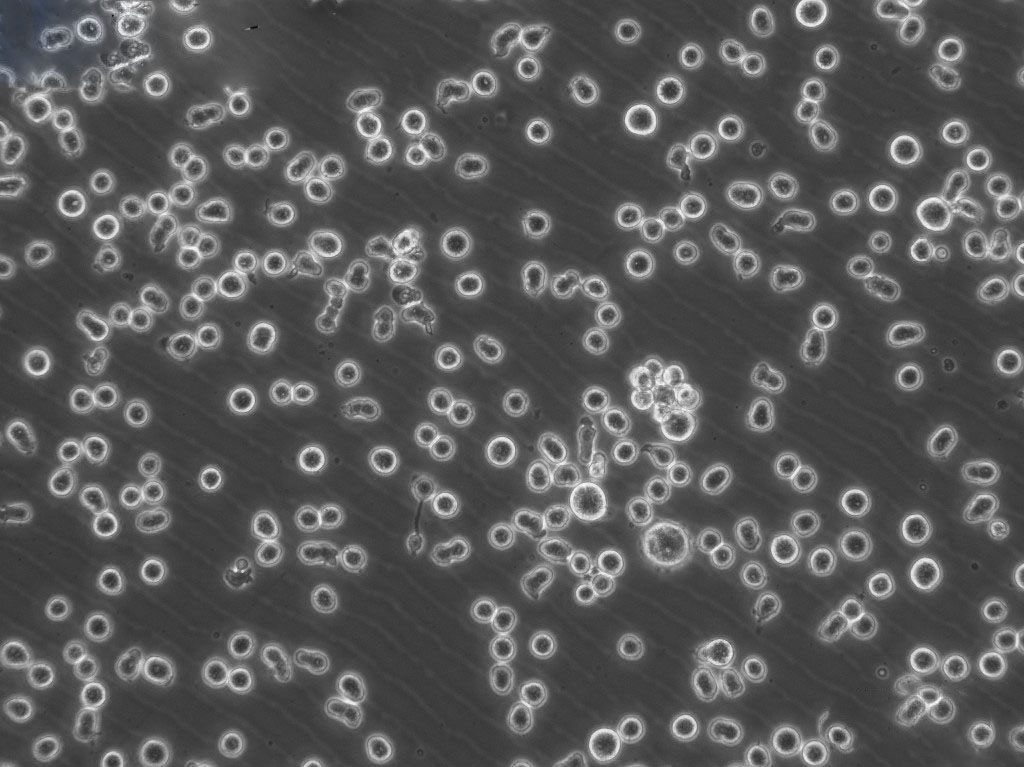
细胞背景资料:该细胞源于用0.2%甲基胆蒽(溶解)涂抹雌性小鼠的皮肤诱发的肿瘤,鼠痘病毒阴性。 
细胞形态:淋巴母细胞样 
培养细胞的冻存及复苏:细胞低温冻存是培养室常规工作和通用技术。细胞冻存在-196℃液氮中,储存时间几乎是无限的。细胞冻存及复苏的原则是慢冻快融。【冻存细胞】1)选对数增生期细胞(证明无支原体污染),在冻存前1d换液;2)按常规方法把培养细胞制备成悬液,计数,使细胞密度达5×10/ml左右密度,离心,去上清;3)加入配制好的冻存液(培养液6.8ml,小牛血清2ml,DMSO 1ml,5.6%NaHCO3 0.1ml),按与去上清相同的量一滴一滴加入离心管中,然后用吸管轻轻吹打令细胞重悬。冻存细胞时培养液中加入保护剂10%二甲基亚砜(DMSO)或甘油,可使冰点降低,使细胞内水分在冻结前透出细胞外;4)分装于无菌冻存管中,每管加1.5m悬液;5)旋好冻存管并仔细检查,一定要盖紧,做好标记;6)冻存:在特殊的仪器或简易的液氮容器中,按-1℃/min的速度,在30~40min时间内,下降到液氮表面,再停30min后,直接投入液氮中。要适当掌握下降冷冻速度,过快能影响细胞内水分透出,太慢则促进冰晶形成。操作时应戴防护眼镜和手套,以免液氮冻伤。【复苏细胞】1)从罐中取出冻存管;2)迅速放入36℃~37℃水浴,不时摇动,使其急速融化,30~60s内完成;3)冻存管用70%酒精擦拭消毒后,打开盖子,用吸管将细胞悬液注入离心管中,再滴加10ml培养液;4)低速离心(500~1000r/min) 5min,去上清后再用培养液洗一次;5)用培养液适当稀释后,装入培养瓶37℃培养,次日更换一次培养液后,继续培养。以后仍按常规进行培养。冻存细胞数量要充分,密度应达到10/ml,在融后稀释20倍时,仍能保持5×10/ml数量。 
细胞生长:悬浮 
细胞物种来源:人源或鼠源等其它物种来源 
L1210 小鼠淋巴细胞白血病细胞系
细胞产品包装:复苏形式:T25培养瓶(一瓶)或冻存形式:1ml冻存管(两支) 
公司细胞库冻存并保种有2300多种各类细胞系。针对每种不同的细胞系,公司摸索并积累了大量细胞培养条件和优化参数,为您的细胞实验保驾护航。细胞培养是生命科学研究中最基础、也是最常用的实验手段。从冻存→复苏→传代→实验,在每一次细胞培养的过程中我们都是精心呵护,小心培养,心里都是默默承诺:我要护你一世周全!可是可是……无数次细胞都因污染而离我而去,投入的不只是我们貌美如花的青春,还有那一去不复返的经费!在细胞生物学,生物化学,免疫学,神经生物学,病理学……只要涉及细胞的研究领域,都面临着支原体污染的威胁。在众多污染物中,也就属支原体最狡猾了,他最善于隐藏自己,因为被支原体污染的细胞不会马上死亡,但会改变细胞的新陈代谢,甚至会改变细胞的基因表达谱,我们就这样被欺骗了无数次,谁让我们就是个看“颜值”的花痴了。可是我们通过被虐了几百次的经验中总结出来,当你的细胞出现了这些症状时:生长速率改变;活性减弱;形态改变;染色体畸变;转染效率显著降低;细胞复苏后存活率降低……。那你就得千万小心了,也许你的细胞已经被支原体欺凌了! 
细胞传代方法:1:2传代 
细胞来源说明:细胞主要来源ATCC、DSMZ、ECACC、RIKEN、INCell、promocell、ScienCell、ECACC、JCRB、KCLB、Asterand、ICLC以及少数国外著名大学建系 
细胞生长特性:悬浮生长 
L1210 小鼠淋巴细胞白血病细胞系
因为细胞生长的时候肯定是要相互联系,大部分的细胞都是要成片生长的,尤其是对于贴壁细胞,单个细胞贴壁之后长着长着就长到一片去了。但是如果是成片的细胞抱团的话,传代后细胞是不能贴壁的,这样抱团的细胞就会死亡。所以,消化传代的时候一定要将细胞消化成单个单个的独立状态,这个啊是非常考究你的功夫的!细胞一旦脱落入悬液里你很难再将他吹打成单个,因为他没有受力点了。很难找到受力点让你对他吹打的力分散开细胞。所以必须要在细胞未脱落之前将其吹打开,受力点就是细胞贴壁的地方。这样你就必须要严格控制好消化的程度啊,这和大师做饭掌握好火候是一样的道理啊。既要消化到容易吹打下来,又不能太过,一吹就整片脱落,要单个单个地往下掉。所以我才要分批分次地加胰酶消化就是为了保证不同生长状态贴壁程度的细胞能够都维持在好的受力点分散开。这个是很重要的一点。尤其是对于某些细胞这一点就是他活去死的致命点。像Caco-2细胞就是如此。另外关于传代很重要一点就是一定不能等到细胞长满的时候才去消化传代。要在细胞长到70%左右的时候就要传代了,一旦发现细胞生长中已经有叠层生长的时候就要立即进行消化传代。不能再拖了。关于换液传代时候洗瓶的问题。对于用DMEM培养基培养的细胞,你在洗的时候如果是用无血清1640去洗细胞在随即后的几次中会比用DMEM洗的长的要好。同样,用1640培养的也有这个现象。如果不嫌麻烦的话,可以用PBS来洗,洗的效果和用无血清培养基洗的效果基本上是一样的,对于有些细胞会更胜一筹。洗的目的主要是洗去培养瓶里残留的血清,防止它对胰酶的影响。这样能够保证胰酶的消化能力优先,是很关键的一点。先补充这么多,还会后续更新。再补充一点:传代时PBS洗是很重要的一步,最近发现,用PBS就可以把细胞消化开来。加入PBS放置10-15分钟,有些需要更长的时间,等到细胞一个个分离开来的时候,就可以直接吹打下来,但是和胰酶消化一样,要控制好时间,不能时间太过了,要不然损伤细胞,细胞不容易成活,状态容易不好。这个方法对于某些细胞是很管用的。有些细胞用胰酶消化不容易消化成单个的时候,或者临时没有胰酶了,可以选用此方法。不过一定要试试,看是否适合你的细胞。 
细胞形态特性:淋巴母细胞样 
SAOS 2细胞系相关产品:EO771细胞、SU.86细胞、Toledo细胞 
CL 1-0细胞系相关产品:HFT-8810细胞、U373-MG细胞、NCI-H292细胞 
OVCAR 4细胞系相关产品:TSCC1细胞、HIEC细胞、NPA-87细胞 
MA104细胞系相关产品:ONS-76细胞、MOLM16细胞、HSC1细胞 
SNU119细胞系相关产品:MDA1386细胞、MUTZ-3细胞、CL1-0细胞 
OVHM细胞系相关产品:MV-522细胞、NCIH1963细胞、H9c2(2-1)细胞 
1.1B4细胞系相关产品:LN-18细胞、GM637A细胞、Human Kidney-2细胞 
MGc80-3细胞系相关产品:Hep 3B细胞、T98-G细胞、OVCAR432细胞 
MAVER细胞系相关产品:HuH 6细胞、FL-83B细胞、P3.NS-1/1.Ag4.1细胞 
LAD-2细胞系相关产品:293FT细胞、PLC-PRF-5细胞、TB1 Lu细胞 
PE/CA-PJ34细胞系相关产品:HIT-T15细胞、NS20-Y细胞、Hce8693细胞 
SW 1222细胞系相关产品:H-2029细胞、T. T细胞、CAL 51细胞 
QBI-293A细胞系相关产品:G401细胞、C33-A细胞、Hs729细胞 
JAR细胞系相关产品:SkChA-1细胞、BL1339细胞、HEL-92.1.7细胞 
BJA-B细胞系相关产品:Y3Ag1.2.3细胞、NE-1细胞、BC-020细胞 
WEHI3B细胞系相关产品:OS-732细胞、HepG2/C3A细胞、Madison细胞 
WEHI3B细胞系相关产品:OS-732细胞、HepG2/C3A细胞、Madison细胞 
RPMI-7666细胞系相关产品:T HEECs细胞、NTERA-2/D1细胞、Hs281T细胞 
H1993细胞系相关产品:Calu-1细胞、U20-S细胞、Centre Antoine Lacassagne-39细胞 
HOS-TE85细胞系相关产品:SkMel31细胞、MS1细胞、OCI/AML-4细胞 
L1210 小鼠淋巴细胞白血病细胞系
Hs 895 T细胞系相关产品:CP-70细胞、THP-1细胞、MLTC-1细胞 
HeLa-229细胞系相关产品:HEK 293T/17细胞、HSC-5 [Human skin squamous cell carcinoma]细胞、SP2/0 Ag-14细胞 
MHCC97细胞系相关产品:SK N SH细胞、BPH1细胞、LN299细胞 
PC-9细胞系相关产品:CWR-22rv1细胞、V79-GalK1细胞、JJN3细胞 
COLO 678细胞系相关产品:OVCA-432细胞、NCIH295R细胞、Panc-1-P细胞 
CTV1细胞系相关产品:Intestinal Epithelioid Cell line No. 6细胞、NEC细胞、PANC.1细胞 
Vero E6细胞系相关产品:HL-60细胞、OCIAML3细胞、HOS TE 85细胞 
TOV-112D细胞系相关产品:ECGI10细胞、HEK293-H细胞、Hs68细胞 
MFHL-2细胞系相关产品:Normal fibroblast-10细胞、KLN205细胞、H-2198细胞 
TE5细胞系相关产品:MN-9D细胞、NCI-H2066细胞、TE-5细胞 
hTERT-RPE-1细胞系相关产品:SAS细胞、MASMC细胞、TE32细胞 
SKNF1细胞系相关产品:HAC-84细胞、SNU638细胞、AtT-20细胞 
BC-020细胞系相关产品:C-8161细胞、Vero E6细胞、B-16细胞 
SCC7细胞系相关产品:Douglas Foster-1细胞、ASH3细胞、Balb/3T3-4-Cl31细胞 
IHC-ST1细胞系相关产品:Be-Wo细胞、H-3255细胞、HPC-Y5细胞 
CPA 47细胞系相关产品:HCC1954-BL细胞、CEM T4细胞、FHL-124细胞 
Evsa-T细胞系相关产品:PC-9S1细胞、C42细胞、NCI-H1703细胞 
SK-OV-433细胞系相关产品:KYSE-450细胞、WIL2S细胞、DMS 273细胞 
SK-OV-433细胞系相关产品:KYSE-450细胞、WIL2S细胞、DMS 273细胞 
SH-SY5Y细胞系相关产品:HMEC1细胞、COR L279细胞、ES-2细胞 
MTC-TT细胞系相关产品:UMC11细胞、MeWo细胞、HBVSMC细胞 
MOLP8细胞系相关产品:D341MD细胞、LX-2细胞、McCoy B细胞 
MSTO-211 H细胞系相关产品:H-1666细胞、L5178Y-R细胞、Intestinal Porcine Epithelial Cell line-J2细胞 
NCI-SNU-1040细胞系相关产品:DHL-2细胞、NIE 115细胞、H-1417细胞 
LS174细胞系相关产品:HIBEC细胞、33604细胞、H1838细胞 
COLO-679细胞系相关产品:TE-6细胞、H283细胞、3T3-442A细胞 
SCI1细胞系相关产品:HC11 Mammary Epithelium细胞、SK-NSH细胞、PIGI细胞 
MeT5A细胞系相关产品:OCIAML5细胞、H2066细胞、Mouse Forestomach Carcinoma细胞 
ME180细胞系相关产品:PNT1-a细胞、L78细胞、Fetal Human Colon细胞 
MD Anderson-Metastatic Breast-435细胞系相关产品:LNCaP-FGC细胞、HOC-1细胞、CMT-64细胞 
Huh-7细胞系相关产品:MCM细胞、EAhy926细胞、MDAMB435S细胞 
MES 13细胞系相关产品:MCA38细胞、HLEB-3细胞、SUM 149PT细胞 
LNCaP clone FGC细胞系相关产品:Centre Antoine Lacassagne-51细胞、H2330细胞、JKT-1细胞 
NCIH64细胞系相关产品:Colo-201细胞、HL-1细胞、HOP62细胞 
H1238细胞系相关产品:Dysplastic Oral Keratinocyte细胞、PC-3M-IE8细胞、A549-Taxol细胞 
HUVEC细胞系相关产品:QG-56细胞、HCC0078细胞、CL1-5细胞 
MDA435细胞系相关产品:NUGC-3细胞、MFE280细胞、JEG3细胞 
Duke University 145细胞系相关产品:M619细胞、D-283 Med细胞、Japanese Tissue Culture-39细胞 
A7r5细胞系相关产品:SKCol1细胞、HuH6细胞、NCI-H64细胞 
HSC-3细胞系相关产品:NCIH2081细胞、Nb2细胞、HUCEC细胞 
CP-70细胞系相关产品:MHCC97-H细胞、SNU-5细胞、UMC-11细胞 
L1210 小鼠淋巴细胞白血病细胞系
CV-1 in Origin Simian-1细胞系相关产品:H-1993细胞、PG-4 (S+L-)细胞、TF-1a细胞 
MDA 231-LM2-4175细胞系相关产品:University of Michigan-Urothelial Carcinoma-14细胞、Ca761细胞、H719细胞 
LS174T细胞系相关产品:Rat Lung-65细胞、Ra #1细胞、P3/X63/Ag8细胞 
MIA Paca2细胞系相关产品:HUT-28细胞、rRTEC细胞、BL2141细胞 
YES2细胞系相关产品:MDAMB175细胞、WM2664细胞、H-295R细胞 
YD15细胞系相关产品:Hs940T细胞、Emory University-2细胞、SKNO-1细胞 
SCL-II细胞系相关产品:C41细胞、LL/2(LLc1)细胞、CCFSTTG1细胞 
C2C12细胞系相关产品:OC 316细胞、COLO-HSR细胞、RPE D407细胞 
SUDHL-10细胞系相关产品:MDCC-MSB-1细胞、HPAC细胞、MDA-MB415细胞 
MLTC-1细胞系相关产品:MV3细胞、SUM 159细胞、Madison lung细胞 
751-NA-15细胞系相关产品:SMA-560细胞、HL-60 clone15细胞、Medical Research Council cell strain-5细胞 
OVCAR 4细胞系相关产品:TSCC1细胞、50.B1细胞、SU.86细胞 
"
 
L1210 小鼠淋巴细胞白血病细胞系;

公司简介

上海宾穗生物科技有限公司 是一家集研发、生产、销售与服务于一体的专业生物制品和化学品供应商。公司总部位于上海市莘庄工业区,拥有现代化办公大楼、标准实验室与生产厂房。上海宾穗生物科技有限公司拥有一支由教授和博士为核心的技术团队,提供超过100000的生物、化学产品,产品涵盖化学、医药、材料、能源、生物等科研领域。公司秉承“客户至上、服务一流”的发展理念,致力于将优质的产品和服务提供给客户。上海宾穗生物科技有限公司整合众多的优势市场资源,以匠心服务广大客户,我们可以为客户提供Binsui、TCI等国内外各种品牌的高品质试剂产品,充分满足客户的试剂需求。

成立日期 (9年)
注册资本 635万元人民币
员工人数 50-100人
年营业额 ¥ 500万-1000万
经营模式 工厂,服务
主营行业 通用试剂,高纯试剂,催化试剂,基础无机试剂

L1210 小鼠淋巴细胞白血病细胞系相关厂家报价 更多

  • L1210
  • L1210
  • 吉奥蓝图(广东)生命科学技术中心 VIP
  • 2026-04-07
  • ¥10000
内容声明
拨打电话 立即询价