基本信息 产品详情 公司简介 推荐产品
网站主页 化工产品目录 生物 细胞培养 原代细胞 大鼠原代细胞 Rat Pituitary Cells 大鼠垂体细胞
  • 大鼠垂体细胞

大鼠垂体细胞

Rat Pituitary Cells
4500 500000细胞数 起订
上海 更新日期:2026-04-20

上海康朗生物科技有限公司

VIP7年
联系人:蔡盼;
电话:021-61998208拨打
手机:18217752821; 拨打
邮箱:sales@klbio.cn

产品详情:

中文名称:
大鼠垂体细胞
英文名称:
Rat Pituitary Cells
保存条件:
冻存细胞可在-80℃的条件下
纯度规格:
99.99%
产品类别:
细胞生物学 原代细胞

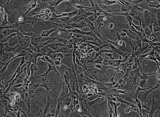
大鼠垂体细胞

细胞详述
垂体是机体的重要的内分泌腺体,由生长激素和促肾上腺皮质激素细胞等细胞构成,在机体的生长发育、生命活动、内分泌调节以及衰老死亡过程中起着重要意义。因此,垂体细胞的体外培养为进一步研究垂体与生殖的神经内分泌调节机制及垂体移植研究等方面提供了基础和前提。
细胞特性
1)组织来源于实验动物的正常垂体组织。
2)细胞鉴定:LH、FSH与PRL免疫荧光染色为阳性。
3)经鉴定细胞纯度高于90%。
4)不含有 HIV-1、 HBV、HCV、支原体、细菌、酵母和真菌。
5)细胞生长方式:梭形或多角形细胞,不规则细胞,贴壁培养。
产品的运输和保存
视天气状况和运输距离远近,公司与客户协商后选择下述方式中的一种进行。
1)1mL冻存细胞悬液装于1.8ml的冻存管中,置于装满干冰的泡沫保温盒中进行运输;收到细胞后请尽快解冻复苏细胞进行培养,如无法立刻进行复苏操作,冻存细胞可在-80℃的条件下保存1个月。
2)T-25培养瓶充满完全培养基后进行常温运输;收到细胞后请镜下观察细胞生长状态,如铺瓶率超过85%请立即进行传代操作,如悬浮的细胞较多,请将培养瓶至于培养箱中静置过夜以帮助未死亡的悬浮细胞能够再次贴壁。
产品使用
1)本产品仅能用于科研
2)本产品
未通过直接用于活体动物和人的审核
3)本产品未通过用于活体诊断的审核

注意事项
 

1.收到细胞后,若发现干冰已挥发干净、冻存管瓶盖脱落、破损及细胞有污染,请立即与我们联系。

2.收到细胞先不开瓶盖,瓶身擦拭酒精后放在培养箱静置2-4小时(视细胞密度而定)稳定细胞状态。接着在倒置显微镜下观察细胞生长情况,并对细胞进行不同倍数拍照(建议收细胞时就整体外观拍一张照片,观察培养基的颜色和是否有漏液情况,随后在显微镜下拍下细胞状态,100*,200*各一张),观察记录细胞在运输过程中是否有污染情况。作为我方进行销售依据。

3.由于细胞状态受环境、操作和运输等多方面因素影响,故本公司只保证客户收到细胞后一周内的细胞状态,故客户需要售后时需出示收到细胞的时间证明及客户提供收货时间和发现问题后客服人员沟通的时间证明,期间间隔时间不能大于7天。

4.所有动物细胞均视为有潜在的生物危害性,必须在二级生物安全台内操作,并请注意防护,所有废液及接触过此细胞的器皿需要灭菌后方能丢弃。

5.客户在细胞培养过程中,有任何技术问题可以拨打技术售后服务电话:18217752821,我们随时给予解答。
特别提示:本公司的所有产品仅可用于科研实验,严禁用于临床医疗及其他非科研用途!

垂体细胞;垂体;原代细胞;大鼠垂体细胞;垂体细胞;

公司简介

上海康朗生物科技有限公司是一家集研发、生产、销售、服务于一体的一家生物科技企业,专营生化试剂、标准品、基因、蛋白、抗体、Elisa试剂盒、细胞生物学,分子生物学等高生物产品。总部位于上海,并在北京、广东,江西,吉林等全国30多个省市设有分公司和代理机构。涉及的产品被中国科学院、清华、北大、复旦,上海交大,复旦医学院,上海中医药大学,华东师范大学,第二军医大学,曙光医院,浦东新区人民医院等知名科研院所广泛使用,可靠而稳定的质量和完善的售后服务确。

成立日期 (11年)
注册资本 100万元整
员工人数 50-100人
年营业额 ¥ 100万以内
经营模式 工厂
主营行业 中间体,化学试剂,医药原料

大鼠垂体细胞相关厂家报价

内容声明
拨打电话 立即询价