基本信息 产品详情 公司简介 推荐产品
网站主页 化工产品目录 生物化工 抗体 其他类别一抗 Angiogenesis 小鼠抗EGFR单克隆抗体 小鼠抗EGFR单克隆抗体
  • 小鼠抗EGFR单克隆抗体

小鼠抗EGFR单克隆抗体

询价 100ul 起订
北京 更新日期:2026-04-05

北京碧橙蓝生物科技有限责任公司

非会员
联系人:碧橙蓝
电话:010-82557281拨打
手机:13000000000 拨打
邮箱:443786106@qq.com

产品详情:

中文名称:
小鼠抗EGFR单克隆抗体
产品类别:
抗体
  • 产品名称

    Anti-EGFR抗体[EGFR1]
     
  • 描述

    小鼠单克隆抗体[EGFR1] to EGFR
  • 宿主

    Mouse
  • 经测试应用

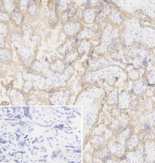
    适用于: IHC-Fr, ICC/IF, Flow Cytmore details
    不适用于: ELISA or WB
  • 种属反应性

    与反应: Mouse, Horse, Human
  • 免疫原

    Tissue, cells or virus corresponding to Human EGFR (extracellular). Human epidermoid carcinoma line A431; epitope mapped between aa 6-273 of human EGFR.

  • 表位

    Extracellular.
  • 阳性对照

    • IHC-Fr: Frozen normal human placenta ICC/IF: A431 cells Flow Cyt: A 431 cells
  • 常规说明

    Recognises the external EGF-binding domain of the EGFR transmembrane glycoprotein. No effect on tyrosine kinase activity of EGFR.

    This antibody clone is manufactured by Abcam. If you require a different buffer formulation or a particular conjugate for your experiments, please contact orders@abcam.com.

小鼠抗EGFR单克隆抗体;EGFR单克隆抗体;EGFR抗体;抗体;

公司简介

北京碧橙蓝生物科技公司是一家致力于生命科学领域的高新企业,公司以“您身边的科研消耗品超市”为发展方向,产品主要涵盖分子生物学,细胞生物学,免疫学,蛋白质组学等研究领域,并涉及生物制药,分析化学,食品科学等。公司以产品种类齐全、库存充足、质量稳定、送货速度快、价格有优势、售后服务及时等深受广大科研用户好评,成为许多科研院所、高校研发人员的可信赖合作伙伴和稳定的供货商!

成立日期 (18年)
注册资本 200.000000万人民币
员工人数 50-100人
年营业额 ¥ 100万以内
经营模式 工厂
主营行业 生化试剂,抗体

小鼠抗EGFR单克隆抗体相关厂家报价 更多

内容声明
拨打电话 立即询价