基本信息 产品详情 公司简介 推荐产品
网站主页 化工产品目录 生物化工 抗体 蛋白翻译、折叠和降解 Ubiquitin/Proteasome Anti-Ubiquitin抗体 Anti-Ubiquitin抗体
  • Anti-Ubiquitin抗体
  • Anti-Ubiquitin抗体

1/2

Anti-Ubiquitin抗体

询价 50ul 起订
北京 更新日期:2026-04-05

杭州戴格生物技术有限公司

非会员
联系人:戴格生物
电话:0571-87000691拨打
手机:18626050136 拨打
邮箱:service@diagbio.com

产品详情:

中文名称:
Anti-Ubiquitin抗体
产品类别:
抗体

Background

This gene encodes ubiquitin, one of the most conserved proteins known. Ubiquitin has a major role in targeting cellular proteins for degradation by the 26S proteosome. It is also involved in the maintenance of chromatin structure, the regulation of gene expression, and the stress response. Ubiquitin is synthesized as a precursor protein consisting of either polyubiquitin chains or a single ubiquitin moiety fused to an unrelated protein. This gene consists of three direct repeats of the ubiquitin coding sequence with no spacer sequence. Consequently, the protein is expressed as a polyubiquitin precursor with a final amino acid after the last repeat. An aberrant form of this protein has been detected in patients with Alzheimer's disease and Down syndrome. Pseudogenes of this gene are located on chromosomes 1, 2, 13, and 17. Alternative splicing results in multiple transcript variants. [provided by RefSeq, Aug 2013]

Immunogen information

Immunogen A synthetic peptide of human Ubiquitin
Gene ID 7314
Swiss Prot P0CG47
Synonyms HEL-S-50
 

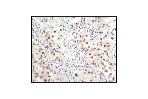
Applications

Tested Reactivity Human,Mouse,Rat
Tested applications WB,IHC,ICC/IF,FC
Recommended dilution WB: 1:2000
IHC: 1:50
ICC/IF: 1:50
FC: 1:50
Calculated MW 8 kDa
Observed MW 8 kDa
 

Product Information

Source Rabbit
Clonality Polyclonal
Isotype IgG
Purity Affinity Purification
Conjugation Un-conjugated
Storage/Stability Store at -20°C. Supplied in 50nM Tris-Glycine(pH 7.4), 0.15M Nacl, 40%Glycerol, 0.01% sodium azide and 0.05% BSA. Stable for 12 months from date of receipt.
 
Anti-Ubiquitin抗体;Anti-Ubiquitin;抗体;

公司简介

戴格生物是一家专注于抗体研发、制备与生产为一体的新兴生物公司。公司致力于为广大科研用户提供高品质目录抗体以及专业的抗体制备服务。目前公司已开发生产了千余种优质目录抗体,并还将不断扩充目录抗体产品线。同时公司也为各诊断试剂厂家提供诊断原料抗体以及抗体开发与生产为一体的专业服务。

成立日期 (11年)
注册资本 100.000000万人民币
员工人数 10-50人
年营业额 ¥ 100万以内
经营模式 试剂,定制,服务
主营行业 生化试剂,抗体,分子生物学

Anti-Ubiquitin抗体相关厂家报价 更多

内容声明
拨打电话 立即询价