基本信息 产品详情 公司简介 推荐产品
网站主页 化工产品目录 生物化工 抗体 神经科学 神经元核抗原抗体 神经元核抗原抗体
  • 神经元核抗原抗体

神经元核抗原抗体

询价 100ul 起订
江苏 更新日期:2026-04-05

南京安研生物科技有限公司

非会员
联系人:安研生物
电话:13915956535拨打
手机:13000000000 拨打
邮箱:724797985@qq.com

产品详情:

中文名称:
神经元核抗原抗体
产品类别:
抗体
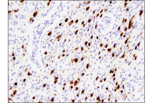
  • 产品名称

    Anti-NeuN抗体
  • 描述

    兔单克隆抗体[EPR21906] to NeuN
  • 宿主

    Rabbit
  • 经测试应用

    适用于: WB, IHC-P, IHC-Fr, IP
  • 种属反应性

    与反应: Mouse, Rat, Human
  • 免疫原

    Recombinant full length protein within Human NeuN aa 1 to the C-terminus. The exact sequence is proprietary.

  • 阳性对照

    • WB: Human fetal brain, hippocampus and cerebellum lysates; Mouse and rat brain, cerebral cortex, cerebellum and hippocampus lysates. IHC-P: Human cerebrum and cerebellum tissues; Mouse and rat cerebrum tissues. IHC-Fr: Mouse and rat cerebellum tissues. IP: Human cerebellum lysate.
  • 常规说明

    This product is a recombinant monoclonal antibody, which offers several advantages including:

    • - High batch-to-batch consistency and reproducibility
    • - Improved sensitivity and specificity
    • - Long-term security of supply
    • - Animal-free production
神经元核抗原抗体;NEUN抗体;NEUN;抗体;

公司简介

南京安研生物科技有限公司是一家专门从事生物技术相关产品研发和销售的综合性生物科学公司。南京安研生物科技有限公司长期供应免疫组化抗体、WB抗体、免疫组化试剂盒和抗体试验所需全部相关试剂、荧光标记抗体、elisa抗体、单克隆抗体、多克隆抗体、各种标记的二抗IgG/IgM/IgD/IgA等科研实验抗体。本公司经销并研发代理近万种抗体产品,保证蛋白抗原产品质量,质量稳定,实验效果明显,代理众多知名品牌抗体abcam,CST,R&D,santa等。公司产品畅销国内大部分地区。公司专注于高品质抗体资源的整合和研发,致力于以高水平的专业服务,积极推动中国生物产业和市场的发展。南京安研生物科技有限公司拥有雄厚的实力、合理的价格和优良的服务,能够及时解决和满足客户的各方面的需求,与国内多家企业建立了良好的长期合作关系,在市场上树立了公司的良好信誉和形象。

成立日期 (9年)
注册资本 100.000000万
员工人数 50-100人
年营业额 ¥ 100万以内
经营模式 试剂,服务
主营行业 生化试剂,抗体

神经元核抗原抗体相关厂家报价 更多

  • NEUN抗体
  • NEUN抗体
  • 武汉极捷生物科技有限公司
  • 2026-04-05
  • 询价
  • NeuN抗体
  • NeuN抗体
  • 湖北艾普蒂生物工程有限公司
  • 2023-08-09
  • ¥3000
内容声明
拨打电话 立即询价