基本信息 产品详情 公司简介 推荐产品
网站主页 化工产品目录 生物化工 抗体 细胞骨架/细胞外基质 Microtubule Dynamics ANTI-BETA I TUBULIN抗体 ANTI-BETA I TUBULIN抗体
  • ANTI-BETA I TUBULIN抗体

ANTI-BETA I TUBULIN抗体

询价 50ul 起订
江苏 更新日期:2026-04-05

南京博世鑫生物科技有限公司

非会员
联系人:博世鑫
电话:025-66047196拨打
手机:13000000000 拨打
邮箱:service@njbiogene.com

产品详情:

中文名称:
ANTI-BETA I TUBULIN抗体
产品类别:
抗体
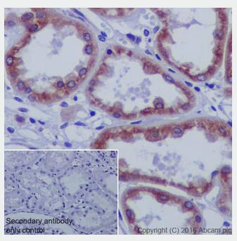
  • 产品名称

    Anti-beta Tubulin抗体
  • 描述

    兔单克隆抗体[EPR1330] to beta Tubulin
  • 宿主

    Rabbit
  • 经测试应用

    适用于: ICC/IF, WB, IHC-P, Flow Cyt
  • 种属反应性

    与反应: Mouse, Rat, Human
    预测可用于: African green monkey
  • 免疫原

    Synthetic peptide within Human beta Tubulin aa 300-400. The exact sequence is proprietary.

  • 阳性对照

    • MCF-7, Jurkat, Ramos, C6, Neuro-2a and HeLa whole cell lysate; Human fetal brain tissue lysate; Human brain, kidney and tonsil tissue, Mouse and Rat cerebral cortex tissue.
  • 常规说明

    This product is a recombinant monoclonal antibody, which offers several advantages including:

    • - High batch-to-batch consistency and reproducibility
    • - Improved sensitivity and specificity
    • - Long-term security of supply
    • - Animal-free production
ANTI-BETA I TUBULIN;ANTI-β I TUBULIN抗体;TUBULIN抗体;抗体;

公司简介

南京博世鑫生物科技有限公司(Bosgene) 国内领先的生物技术服务、临床前药效评价的技术平台企业。 公司致力于打造一站式技术服务平台,基于自身建立的临床前药物药效评价及体外药效学评价技术平台,为临床 前评价领域的研究团队提供可行性咨询评估及一体化技术服务;与此同时,公司秉承“一站式技术服务平台”的 服务理念,基于公司精准药物靶点体外发现数据库,包括靶标发现和验证、药物体外筛选评价、单克隆抗体开 发、药物代谢及其动力学研究、新药临床前注册申报以及临床前研发服务等,公司将不断进行自主新药评价以及 体外诊断产品开发提供更全面的技术支持。

成立日期 (9年)
注册资本 500.000000万人民币
员工人数 10-50人
年营业额 ¥ 100万以内
经营模式 试剂,定制,服务
主营行业 生化试剂,抗体

ANTI-BETA I TUBULIN抗体相关厂家报价 更多

内容声明
拨打电话 立即询价