基本信息 产品详情 公司简介 推荐产品
网站主页 化工产品目录 生物化工 抗体 一抗 多抗 ANTI-BETA II TUBULIN抗体 ANTI-BETA II TUBULIN抗体
  • ANTI-BETA II TUBULIN抗体

ANTI-BETA II TUBULIN抗体

Anti-beta II Tubulin Antibody
询价 100ul 起订
北京 更新日期:2026-04-05

北京傲锐东源生物科技有限公司

非会员
联系人:傲锐东源
电话:400-6744-363拨打
手机:13013403188 拨打
邮箱:13013403188@126.com

产品详情:

中文名称:
ANTI-BETA II TUBULIN抗体
英文名称:
Anti-beta II Tubulin Antibody
产品类别:
抗体

Anti-beta II Tubulin Antibody

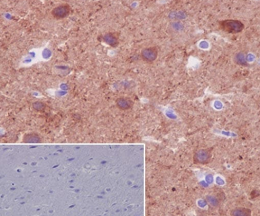
描述:兔多克隆抗体tobetaIITubulin

宿主:Rabbit

种属反应性:与反应:Mouse,Human

免疫原Arecombinantproteinfragmentcorrespondingtoaregionwithinaminoacids243and445ofHumanbetaIITubulin(UniProtID:P68371).验证的应用适用于:WB,ICC/IF

ANTI-BETA II TUBULIN;应用;宿主;种属反应性;免疫原;

公司简介

一个以基因研究为中心的生命科学工具试剂公司 北京傲锐东源生物科技有限公司,即OriGene中国,负责处理OriGene在中国的科研业务。我们致力于为国内生命科学工作者提供一流的产品和及时周到的服务,通过丰富的基因、蛋白、抗体、分析试剂盒等产品线,加速您的研究进程。 OriGene成立于1996年,立足于收集人全长cDNA克隆库,将其构建在统一的表达载体内,并使其商品化作为研究工具提供给全世界的科学家。随着人类基因组全测序的完成及以基因组研究为基础的研究工具的开发,使得人们可以通过系统生物学的研究,进行药物相关靶向的鉴定。OriGene的目标是提供大量全面的基因组、蛋白质组、抗体等研究工具和技术平台,使得科学家们可以研究整个生物学通路,从而对疾病的机制有更深入的了解,如癌症、干细胞研究等。 OriGene使用高通量的基因组技术为制药、生物技术和基础科研工作者提供性能卓越的产品。我们的旗舰产品为cDNA克隆库:覆盖30,000多个人全长基因的TrueCloneTM cDNA克隆和25,000多个TrueORFTM cDNA克隆。利用TrueORFTM cDNA克隆,我们开发了大量的全长人重组蛋白产品(哺乳动物细胞表达),可以进行蛋白功能的研究。2010年,OriGene启动了TrueMAB项目,开发以全长人重组蛋白为抗原的鼠单克隆抗体,目标是研制出针对每一条人蛋白的

成立日期 (20年)
注册资本 1065万美元
员工人数 50-100人
年营业额 ¥ 1000万-5000万
经营模式 工厂,定制
主营行业 抗体,分子生物学

ANTI-BETA II TUBULIN抗体相关厂家报价 更多

内容声明
拨打电话 立即询价