基本信息 产品详情 公司简介 推荐产品
网站主页 化工产品目录 生物化工 抗体 一抗 BCMA抗体
  • Monoclonal Anti-TNFRSF17 antibody produced in mouse

Monoclonal Anti-TNFRSF17 antibody produced in mouse

Monoclonal Anti-TNFRSF17 antibody produced in mouse
询价 50ug 起订
北京 更新日期:2026-04-05

安诺伦(北京)生物科技有限公司

非会员
联系人:谢先生
电话:18911817254拨打
手机:18911817254 拨打
邮箱:manager@annoron.com

产品详情:

英文名称:
Monoclonal Anti-TNFRSF17 antibody produced in mouse
产品类别:
抗体
货号:
LM13131

品牌Leading Biology     
货号LM13131
产品分类单克隆抗体     
产品概述    
Store at -20°C or lower. Aliquot to avoid repeated freezing and thawing.
形式    The protein encoded by this gene is a member of the TNF-receptor superfamily. This receptor is preferentially expressed in mature B lymphocytes, and may be important for B cell development and autoimmune response. This receptor has been shown to specifically bind to the tumor necrosis factor (ligand) superfamily, member 13b (TNFSF13B/TALL-1/BAFF), and to lead to NF-kappaB and MAPK8/JNK activation. This receptor also binds to various TRAF family members, and thus may transduce signals for cell survival and proliferation.
浓度    
TNFRSF17 (AAH58291, 1 a.a. ~ 184 a.a) full-length recombinant protein with GST tag. MW of the GST tag alone is 26 KDa.
纯度mouse
试剂准备    
Clear, colorless solution in phosphate buffered saline, pH 7.2.
复溶    
Identification of single nucleotide polymorphisms in the TNFRSF17 gene and their association with gastrointestinal disorders. Chae SC, et al. Mol Cells, 2010 Jan. PMID 20016944.Association between genetic variants in VEGF, ERCC3 and occupational benzene haematotoxicity. Hosgood HD 3rd, et al. Occup Environ Med, 2009 Dec. PMID 19773279.Gut-associated lymphoid tissue contains the molecular machinery to support T-cell-dependent and T-cell-independent class switch recombination. Barone F, et al. Mucosal Immunol, 2009 Nov. PMID 19741596.Local network topology in human protein interaction data predicts functional association. Li H, et al. PLoS One, 2009 Jul 29. PMID 19641626.Common variants at ten loci influence QT interval duration in the QTGEN Study. Newton-Cheh C, et al. Nat Genet, 2009 Apr. PMID 19305408.
储存条件    Human
储存溶液    Tumor necrosis factor receptor superfamily member 17, B-cell maturation protein, CD269, TNFRSF17, BCM, BCMA
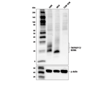
应用    WB~~1:500~1000

Monoclonal Anti-TNFR;Anti-TNFRSF17抗体;Anti-TNFRSF17;

公司简介

安诺伦(北京)生物科技有限公司是一家创办于2015年的创新型高科技企业。公司由在国内科研试剂领域有着十几年从业经验的专业技术团队和企业管理团队组建而成,专门从事以抗体、蛋白、细胞、化学品为核心的试剂产品研发与销售工作。 公司自成立以来一直秉承着“客户第一”的价值观念,坚守着始终如一的热忱服务,专注于为生命科学和生物技术领域的客户提供优质的产品和技术服务。在不断了解客户需求、方便客户采购的基础上,我公司搭建了集科研试剂检索、采购一体化的网站平台——安诺伦商城(www.annoron.com)。该网站基本涵盖所有的生物试剂门类,尤其是二三线高质量品牌产品!为了进一步服务客户,我公司自主创立了品牌科研试剂——Leading Biology,品质卓越、行业领先。在国内众多重点实验室广泛使用,深受广大科研人员的好评。Leading Biology品牌产品自推出以来已先后在Nature、PNAS、Cell Research等国际权威杂志文章中被引用。

成立日期 (12年)
注册资本 300万人民币
员工人数 50-100人
年营业额 ¥ 300万-500万
经营模式 试剂,定制,服务
主营行业 生物化工

Monoclonal Anti-TNFRSF17 antibody produced in mouse相关厂家报价 更多

内容声明
拨打电话 立即询价